JavaScript is disabled in your browser. Please enable JavaScript to view this website.
AB230833

Anti-Desmoglein 2/DSG2 antibody [EPR6768] - Low endotoxin, Azide free

Be the first to review this product! Submit a review

|

(1 Publication)

Rabbit Recombinant Monoclonal Desmoglein 2/DSG2 antibody. Carrier free. Suitable for IHC-P, WB and reacts with Human, Mouse, Rat samples. Cited in 1 publication.

View Alternative Names

CDHF5, DSG2, Desmoglein-2, Cadherin family member 5, HDGC

3 Images
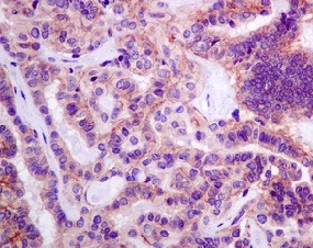
Immunohistochemistry (Formalin/PFA-fixed paraffin-embedded sections) - Anti-Desmoglein 2/DSG2 antibody [EPR6768] - Low endotoxin, Azide free (AB230833)
  • IHC-P

Unknown

Immunohistochemistry (Formalin/PFA-fixed paraffin-embedded sections) - Anti-Desmoglein 2/DSG2 antibody [EPR6768] - Low endotoxin, Azide free (AB230833)

This IHC data was generated using the same anti-Desmoglein 2/DSG2 antibody clone EPR6768 in a different buffer formulation (cat# ab150372).

Immunohistochemical analysis of paraffin embedded Human thyroid gland papillary carcinoma tissue labeling Desmoglein 2/DSG2 with ab150372 at a 1/250 dilution.

Heat mediated antigen retrieval was performed before commencing with IHC staining protocol.

Western blot - Anti-Desmoglein 2/DSG2 antibody [EPR6768] - Low endotoxin, Azide free (AB230833)
  • WB

Lab

Western blot - Anti-Desmoglein 2/DSG2 antibody [EPR6768] - Low endotoxin, Azide free (AB230833)

This data was developed using the same antibody clone in a different buffer formulation (ab150372).

Lanes 1- 2 : Merged signal (red and green). Green - ab150372 observed at 90-160 kDa. Red - Anti-GAPDH antibody [6C5] - Loading Control (ab8245) observed at 37 kDa.

ab150372 was shown to react with Desmoglein 2/DSG2 in wild-type HeLa cells in western blot. Loss of signal was observed when knockout cell line ab261826 (knockout cell lysate ab257158) was used. Wild-type HeLa and DSG2 knockout HeLa cell lysates were subjected to SDS-PAGE. Membrane was blocked for 1 hour at room temperature in 0.1% TBST with 3% non-fat dried milk. ab150372 and Anti-GAPDH antibody [6C5] - Loading Control (ab8245) overnight at 4°C at a 1 in 10000 dilution and a 1 in 20000 dilution respectively. Blots were developed with Goat anti-Rabbit IgG H&L (IRDye®800CW) preadsorbed (ab216773) and Goat anti-Mouse IgG H&L (IRDye®680RD) preadsorbed (ab216776) secondary antibodies at 1 in 20000 dilution for 1 hour at room temperature before imaging.

All lanes:

Western blot - Anti-Desmoglein 2/DSG2 antibody [EPR6768] (<a href='/en-us/products/primary-antibodies/desmoglein-2-dsg2-antibody-epr6768-ab150372'>ab150372</a>) at 1/10000 dilution

Lane 1:

Wild-type HeLa cell lysate at 20 µg

Lane 2:

DSG2 knockout HeLa cell lysate at 20 µg

Lane 2:

Western blot - Human DSG2 (Desmoglein 2) knockout HeLa cell line (<a href='/en-us/products/cell-lines/human-dsg2-desmoglein-2-knockout-hela-cell-line-ab261826'>ab261826</a>)

Predicted band size: 122 kDa

Observed band size: 90-160 kDa

false

Western blot - Anti-Desmoglein 2/DSG2 antibody [EPR6768] - Low endotoxin, Azide free (AB230833)
  • WB

Lab

Western blot - Anti-Desmoglein 2/DSG2 antibody [EPR6768] - Low endotoxin, Azide free (AB230833)

This data was developed using the same antibody clone in a different buffer formulation (ab150372).

Lanes 1 - 6 : Merged signal (red and green). Green - ab150372 observed at 95 kDa. Red - loading control ab8245 (Mouse anti-GAPDH antibody [6C5]) observed at 37kDa.

ab150372 was shown to react with Desmoglein 2 in wild-type HAP1 cells in western blot with loss of signal observed in DSG2 knockout sample. Wild-type and DSG2 knockout HAP1 cell lysates were subjected to SDS-PAGE. Membranes were blocked in 3% milk in TBS-T (0.1% Tween®) before incubation with ab150372 and ab8245 (Mouse anti-GAPDH antibody [6C5]) overnight at 4°C at a 1 in 10000 dilution and a 1 in 20000 dilution respectively. Blots were incubated with Goat anti-Rabbit IgG H&L (IRDye® 800CW) preabsorbed (ab216773) and Goat anti-Mouse IgG H&L (IRDye® 680RD) preabsorbed (ab216776) secondary antibodies at 1 in 20000 dilution for 1 hour at room temperature before imaging.

All lanes:

Western blot - Anti-Desmoglein 2/DSG2 antibody [EPR6768] (<a href='/en-us/products/primary-antibodies/desmoglein-2-dsg2-antibody-epr6768-ab150372'>ab150372</a>) at 1/10000 dilution

Lane 1:

Trypsinised HAP1 cell lysate at 40 µg

Lane 2:

Scraped HAP1 cell lysate at 40 µg

Lane 3:

Trypsinised DSG2 knockout HAP1 cell lysate at 40 µg

Lane 4:

Scraped DSG2 knockout HAP1 cell lysate at 40 µg

Lane 5:

Trypsinised A431 cell lysate at 40 µg

Lane 6:

Scraped A431 cell lysate at 40 µg

Predicted band size: 122 kDa

Observed band size: 95 kDa

false

  • Unconjugated

    Anti-Desmoglein 2/DSG2 antibody [EPR6768]

  • Carrier free

    Anti-Desmoglein 2/DSG2 antibody [EPR6768] - BSA and Azide free

  • 665 Alexa Fluor® 647

    Alexa Fluor® 647 Anti-Desmoglein 2/DSG2 antibody [EPR6768]

  • 519 Alexa Fluor® 488

    Alexa Fluor® 488 Anti-Desmoglein 2/DSG2 antibody [EPR6768]

Key facts

Host species

Rabbit

Clonality

Monoclonal

Clone number

EPR6768

Isotype

IgG

Carrier free

Yes

Reacts with

Mouse, Rat, Human

Applications

IHC-P, WB

applications

Immunogen

The exact immunogen used to generate this antibody is proprietary information.

Reactivity data

{ "title": "Reactivity Data", "filters": { "stats": ["", "Species", "Dilution Info", "Notes"], "tabs": { "all-applications": {"fullname" : "All Applications", "shortname": "All Applications"}, "IHCP" : {"fullname" : "Immunohistochemistry (Formalin/PFA-fixed paraffin-embedded sections)", "shortname":"IHC-P"}, "IP" : {"fullname" : "Immunoprecipitation", "shortname":"IP"}, "FlowCyt" : {"fullname" : "Flow Cytometry", "shortname":"Flow Cyt"}, "WB" : {"fullname" : "Western blot", "shortname":"WB"}, "ICCIF" : {"fullname" : "Immunocytochemistry/ Immunofluorescence", "shortname":"ICC/IF"} }, "product-promise": { "all": "all", "testedAndGuaranteed": "tested", "guaranteed": "expected", "predicted": "predicted", "notRecommended": "not-recommended" } }, "values": { "Human": { "IHCP-species-checked": "testedAndGuaranteed", "IHCP-species-dilution-info": "", "IHCP-species-notes": "<p></p>", "IP-species-checked": "notRecommended", "IP-species-dilution-info": "", "IP-species-notes": "<p></p>", "FlowCyt-species-checked": "notRecommended", "FlowCyt-species-dilution-info": "", "FlowCyt-species-notes": "<p></p>", "WB-species-checked": "testedAndGuaranteed", "WB-species-dilution-info": "", "WB-species-notes": "<p></p>", "ICCIF-species-checked": "notRecommended", "ICCIF-species-dilution-info": "", "ICCIF-species-notes": "<p></p>" }, "Mouse": { "IHCP-species-checked": "guaranteed", "IHCP-species-dilution-info": "", "IHCP-species-notes": "", "IP-species-checked": "notRecommended", "IP-species-dilution-info": "", "IP-species-notes": "<p></p>", "FlowCyt-species-checked": "notRecommended", "FlowCyt-species-dilution-info": "", "FlowCyt-species-notes": "<p></p>", "WB-species-checked": "testedAndGuaranteed", "WB-species-dilution-info": "", "WB-species-notes": "<p></p>", "ICCIF-species-checked": "notRecommended", "ICCIF-species-dilution-info": "", "ICCIF-species-notes": "<p></p>" }, "Rat": { "IHCP-species-checked": "guaranteed", "IHCP-species-dilution-info": "", "IHCP-species-notes": "", "IP-species-checked": "notRecommended", "IP-species-dilution-info": "", "IP-species-notes": "<p></p>", "FlowCyt-species-checked": "notRecommended", "FlowCyt-species-dilution-info": "", "FlowCyt-species-notes": "<p></p>", "WB-species-checked": "testedAndGuaranteed", "WB-species-dilution-info": "", "WB-species-notes": "<p></p>", "ICCIF-species-checked": "notRecommended", "ICCIF-species-dilution-info": "", "ICCIF-species-notes": "<p></p>" }, "Monkey": { "IHCP-species-checked": "predicted", "IHCP-species-dilution-info": "", "IHCP-species-notes": "", "IP-species-checked": "notRecommended", "IP-species-dilution-info": "", "IP-species-notes": "", "FlowCyt-species-checked": "notRecommended", "FlowCyt-species-dilution-info": "", "FlowCyt-species-notes": "", "WB-species-checked": "predicted", "WB-species-dilution-info": "", "WB-species-notes": "", "ICCIF-species-checked": "notRecommended", "ICCIF-species-dilution-info": "", "ICCIF-species-notes": "" } } }

Product details

ab230833 is the carrier-free version of ab150372.

Conjugation ready
Our carrier-free antibodies are typically supplied in a PBS-only formulation, purified and free of BSA, sodium azide and glycerol. This conjugation-ready format is designed for use with fluorochromes, metal isotopes, oligonucleotides, and enzymes, which makes them ideal for antibody labelling, functional and cell-based assays, flow-based assays (e.g. mass cytometry) and Multiplex Imaging applications.

Use our conjugation kits for antibody conjugates that are ready-to-use in as little as 20 minutes with 1 minute hands-on-time and 100% antibody recovery: available for fluorescent dyes, HRP, biotin and gold.

What does low endotoxin mean?
Our low endotoxin, azide-free formats have low endotoxin level (1 EU/mg, determined by the TAL assay) and are free from azide, to achieve consistent experimental results in functional assays.

Properties and storage information

Form
Liquid
Purification technique
Affinity purification Protein A
Storage buffer
pH: 7.2 - 7.4 Constituents: PBS
Shipped at conditions
Blue Ice
Appropriate short-term storage conditions
+4°C
Appropriate long-term storage conditions
+4°C
Storage information
Do Not Freeze

Supplementary information

This supplementary information is collated from multiple sources and compiled automatically.

Desmoglein 2 (DSG2) is a member of the desmoglein family of proteins sometimes referred to as desmoglein-2 or DSG 2. This protein is a calcium-binding transmembrane glycoprotein and part of the cadherin family with a molecular mass of approximately 122 kDa. DSG2 plays a mechanical role in cell-cell adhesion by forming desmosomes which are specialized structures for maintaining the integrity of tissues. DSG2 is mainly expressed in epithelial cells including those found in the heart skin and certain internal organs.
Biological function summary

DSG2 contributes to the structural stability of tissues by locking cells together forming a mechanical and signaling function. The protein is integral to the composition of desmosomes complexes that include other components such as plakoglobin and desmoplakin. These complexes strengthen intercellular adhesion which is essential for tissues that experience constant physical stress like the heart and skin. DSG2 actively participates in cell signaling impacting cellular behavior and communication.

Pathways

DSG2 plays significant roles in the heart development and epidermal differentiation pathways. DSG2 interacts with several other proteins including plakoglobin and desmoplakin to maintain cellular adhesion and tissue morphogenesis. In the cardiac setting the heart development pathway connects DSG2 with other proteins essential for maintaining the integrity and signaling within the cardiac muscle. This interaction helps modulate pathways that ensure proper cardiac function and repair processes.

DSG2 is linked to arrhythmogenic right ventricular cardiomyopathy (ARVC) which affects the heart's rhythm and muscle structure. DSG2 mutations can disrupt desmosomal structure weakening cell adhesion and leading to disease. Another related disorder is pemphigus vulgaris an autoimmune disease where antibodies target DSG2 among other desmogleins disrupting cell adhesion in the skin and mucous membranes. In ARVC DSG2 frequently connects with other proteins like plakoglobin that are involved in desmosomal interactions leading to the structural and functional deficits seen in the disease.

Product protocols

For this product, it's our understanding that no specific protocols are required. You can visit:

Target data

Component of intercellular desmosome junctions. Involved in the interaction of plaque proteins and intermediate filaments mediating cell-cell adhesion.
See full target information DSG2

Publications (1)

Recent publications for all applications. Explore the full list and refine your search

Virologica Sinica 38:900-910 PubMed37714433

2023

Classical swine fever virus NS5A protein antagonizes innate immune response by inhibiting the NF-κB signaling.

Applications

Unspecified application

Species

Unspecified reactive species

Jinfu Sun,Jiaying Li,Liming Li,Haixiao Yu,Ping Ma,Yingnan Wang,Jinqi Zhu,Zezhong Feng,Changchun Tu
View all publications

Product promise

We are committed to supporting your work with high-quality reagents, and we're here for you every step of the way. In the unlikely event that one of our products does not perform as expected, you're protected by our Product Promise.
For full details, please see our Terms & Conditions

Please note: All products are 'FOR RESEARCH USE ONLY. NOT FOR USE IN DIAGNOSTIC OR THERAPEUTIC PROCEDURES'.

For licensing inquiries, please contact partnerships@abcam.com