JavaScript is disabled in your browser. Please enable JavaScript to view this website.
AB183743

Anti-Desmoglein 3/PVA antibody [EPR14101]

Be the first to review this product! Submit a review

|

(2 Publications)

Anti-Desmoglein 3/PVA antibody [EPR14101] (ab183743) is a rabbit monoclonal antibody detecting Desmoglein 3/PVA in IHC-P. Suitable for Human.

- Biophysical QC for unrivalled batch-batch consistency

View Alternative Names

CDHF6, DSG3, Desmoglein-3, 130 kDa pemphigus vulgaris antigen, Cadherin family member 6, PVA

1 Images
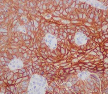
Immunohistochemistry (Formalin/PFA-fixed paraffin-embedded sections) - Anti-Desmoglein 3/PVA antibody [EPR14101] (AB183743)
  • IHC-P

Supplier Data

Immunohistochemistry (Formalin/PFA-fixed paraffin-embedded sections) - Anti-Desmoglein 3/PVA antibody [EPR14101] (AB183743)

Immunohistochemical analysis of Human esophagus staining Desmoglein 3/PVA with ab183743 at 1/250 dilution. Detected using HRP Polymer for Rabbit IgG and counter-stained using hematoxylin.

Perform heat mediated antigen retrieval with EDTA buffer pH 9 before commencing with IHC staining protocol.

Key facts

Host species

Rabbit

Clonality

Monoclonal

Clone number

EPR14101

Isotype

IgG

Carrier free

No

Reacts with

Human

Applications

IHC-P

applications

Immunogen

The exact immunogen used to generate this antibody is proprietary information.

Reactivity data

{ "title": "Reactivity Data", "filters": { "stats": ["", "Species", "Dilution Info", "Notes"], "tabs": { "all-applications": {"fullname" : "All Applications", "shortname": "All Applications"}, "IHCP" : {"fullname" : "Immunohistochemistry (Formalin/PFA-fixed paraffin-embedded sections)", "shortname":"IHC-P"} }, "product-promise": { "all": "all", "testedAndGuaranteed": "tested", "guaranteed": "expected", "predicted": "predicted", "notRecommended": "not-recommended" } }, "values": { "Human": { "IHCP-species-checked": "testedAndGuaranteed", "IHCP-species-dilution-info": "1/250", "IHCP-species-notes": "<p></p>" } } }

Product details

What is this antibody validated in?
Anti-Desmoglein 3/PVA antibody [EPR14101] (ab183743) is a rabbit recombinant monoclonal antibody and is validated for use in Immunohistochemistry (IHC-P) in Human samples.

Trial sizes available!
Test your antibody or perform pre-screening before committing to a larger quantity. Sold in 10µl. Discover our selection of trial-size antibodies.

Other related products
We have a range of other formats of antibody clone [EPR14101] also available for your convenience: ab183743, Carrier free - ab250705

Patented technology
Our RabMAb® technology is a patented hybridoma-based technology for making rabbit monoclonal antibodies. For details on our patents, please refer to RabMAb® patents.

What are the advantages of a recombinant monoclonal antibody?
This product is a recombinant monoclonal antibody, which offers several advantages including:

  • - High batch-to-batch consistency and reproducibility
  • - Improved sensitivity and specificity
  • - Long-term security of supply
  • - Animal-free batch production

For more information, read more on recombinant antibodies.

Properties and storage information

Form
Liquid
Purification technique
Affinity purification Protein A
Storage buffer
pH: 7.2 Preservative: 0.01% Sodium azide Constituents: PBS, 40% Glycerol (glycerin, glycerine), 0.05% BSA
Shipped at conditions
Blue Ice
Appropriate short-term storage duration
1-2 weeks
Appropriate short-term storage conditions
+4°C
Appropriate long-term storage conditions
-20°C
Aliquoting information
Upon delivery aliquot
Storage information
Avoid freeze / thaw cycle

Supplementary information

This supplementary information is collated from multiple sources and compiled automatically.

Desmoglein 3 (DSG3) also known as anti-DSG3 is an important component in maintaining cellular adhesion within epithelial tissues. It belongs to the cadherin family and has a mass of approximately 130 kDa. You will find DSG3 expressed mainly in epithelial cells particularly in the skin and mucosal linings. As a transmembrane glycoprotein DSG3 interacts with other desmoglein proteins such as desmoglein 1 to form desmosomes which are essential for the mechanical coupling of cells.
Biological function summary

This protein plays a fundamental role in cell adhesion by contributing to the integrity and strength of desmosomes. These are multi-protein complexes that secure cell-to-cell attachments in tissues exposed to mechanical stress. Within the desmosomes DSG3 interacts closely with other proteins including plakoglobin and plakophilins ensuring the stability of the cellular junctions. This makes DSG3 an integral part of maintaining tissue structure and resilience.

Pathways

Desmoglein 3 participates notably in the WNT signaling pathway and is involved in pathways associated with cell adhesion. In these pathways its interaction with plakoglobin which is also known as gamma-catenin plays an important role. This interaction influences signaling processes that modulate cellular adhesion and proliferation. Desmosomes facilitated by DSG3 are connective points in epidermal growth regulation pathways emphasizing DSG3's involvement in cellular cohesion and communication.

Desmoglein 3 is strongly linked to the autoimmune disease pemphigus vulgaris. In this condition autoantibodies target DSG3 disrupting its function in desmosomes and leading to blistering of the skin and mucous membranes. Desmoglein 3's relationship with desmoglein 1 is also relevant in the disease process as these proteins' shared function in cell adhesion becomes compromised. Therefore understanding DSG3's interactions and functions is vital for exploring therapeutic strategies in treating such disorders.

Product protocols

For this product, it's our understanding that no specific protocols are required. You can visit:

Target data

A component of desmosome cell-cell junctions which are required for positive regulation of cellular adhesion (PubMed : 31835537). Required for adherens and desmosome junction assembly in response to mechanical force in keratinocytes (PubMed : 31835537). Required for desmosome-mediated cell-cell adhesion of cells surrounding the telogen hair club and the basal layer of the outer root sheath epithelium, consequently is essential for the anchoring of telogen hairs in the hair follicle (PubMed : 9701552). Required for the maintenance of the epithelial barrier via promoting desmosome-mediated intercellular attachment of suprabasal epithelium to basal cells (By similarity). May play a role in the protein stability of the desmosome plaque components DSP, JUP, PKP1, PKP2 and PKP3 (PubMed : 22294297). Required for YAP1 localization at the plasma membrane in keratinocytes in response to mechanical strain, via the formation of an interaction complex composed of DSG3, PKP1 and YWHAG (PubMed : 31835537). May also be involved in the positive regulation of YAP1 target gene transcription and as a result cell proliferation (PubMed : 31835537). Positively regulates cellular contractility and cell junction formation via organization of cortical F-actin bundles and anchoring of actin to tight junctions, in conjunction with RAC1 (PubMed : 22796473). The cytoplasmic pool of DSG3 is required for the localization of CDH1 and CTNNB1 at developing adherens junctions, potentially via modulation of SRC activity (PubMed : 22294297). Inhibits keratinocyte migration via suppression of p38MAPK signaling, may therefore play a role in moderating wound healing (PubMed : 26763450).
See full target information DSG3

Publications (2)

Recent publications for all applications. Explore the full list and refine your search

Journal of cancer research and clinical oncology 150:312 PubMed38900156

2024

Mutant TP53 promotes invasion of lung cancer cells by regulating desmoglein 3.

Applications

Unspecified application

Species

Unspecified reactive species

Yu Feng,Rulin Qian,Dong Cui,Jiaqiang Luan,Mingxing Xu,Ling Wang,Ruijie Li,Xiao Wu,Chaoying Chang

Journal of thoracic disease 7:1398-405 PubMed26380766

2015

Identification of immunohistochemical markers for distinguishing lung adenocarcinoma from squamous cell carcinoma.

Applications

Unspecified application

Species

Unspecified reactive species

Cheng Zhan,Li Yan,Lin Wang,Yang Sun,Xingxing Wang,Zongwu Lin,Yongxing Zhang,Yu Shi,Wei Jiang,Qun Wang
View all publications

Product promise

We are committed to supporting your work with high-quality reagents, and we're here for you every step of the way. In the unlikely event that one of our products does not perform as expected, you're protected by our Product Promise.
For full details, please see our Terms & Conditions

Please note: All products are 'FOR RESEARCH USE ONLY. NOT FOR USE IN DIAGNOSTIC OR THERAPEUTIC PROCEDURES'.

For licensing inquiries, please contact partnerships@abcam.com