JavaScript is disabled in your browser. Please enable JavaScript to view this website.
AB251924

Anti-Dexras1 antibody

0

(1 Review)

|

(3 Publications)

Rabbit Polyclonal Dexras1 antibody. Suitable for IHC-P, WB, ICC/IF and reacts with Human samples. Cited in 3 publications. Immunogen corresponding to Recombinant Fragment Protein within Human RASD1 aa 100-200.

View Alternative Names

AGS1, DEXRAS1, RASD1, Dexamethasone-induced Ras-related protein 1, Activator of G-protein signaling 1

6 Images
Immunohistochemistry (Formalin/PFA-fixed paraffin-embedded sections) - Anti-Dexras1 antibody (AB251924)
  • IHC-P

Supplier Data

Immunohistochemistry (Formalin/PFA-fixed paraffin-embedded sections) - Anti-Dexras1 antibody (AB251924)

Immunohistochemical analysis of human cerebral cortex tissue labeling Dexras1 with ab251924 at a 1/200 dilution.

Immunocytochemistry/ Immunofluorescence - Anti-Dexras1 antibody (AB251924)
  • ICC/IF

Unknown

Immunocytochemistry/ Immunofluorescence - Anti-Dexras1 antibody (AB251924)

PFA-fixed, Triton X-100 permeabilized MCF7 (human breast adenocarcinoma cell line) cells stained for Dexras1 (green) using ab251924 at 4 µg/ml in ICC/IF.

Immunohistochemistry (Formalin/PFA-fixed paraffin-embedded sections) - Anti-Dexras1 antibody (AB251924)
  • IHC-P

Supplier Data

Immunohistochemistry (Formalin/PFA-fixed paraffin-embedded sections) - Anti-Dexras1 antibody (AB251924)

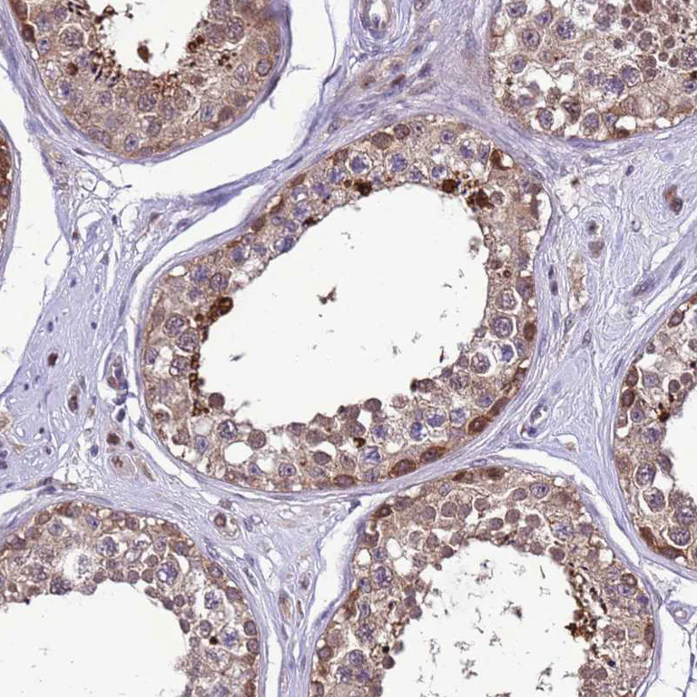
Immunohistochemical analysis of human testis tissue labeling Dexras1 with ab251924 at a 1/200 dilution.

Immunohistochemistry (Formalin/PFA-fixed paraffin-embedded sections) - Anti-Dexras1 antibody (AB251924)
  • IHC-P

Supplier Data

Immunohistochemistry (Formalin/PFA-fixed paraffin-embedded sections) - Anti-Dexras1 antibody (AB251924)

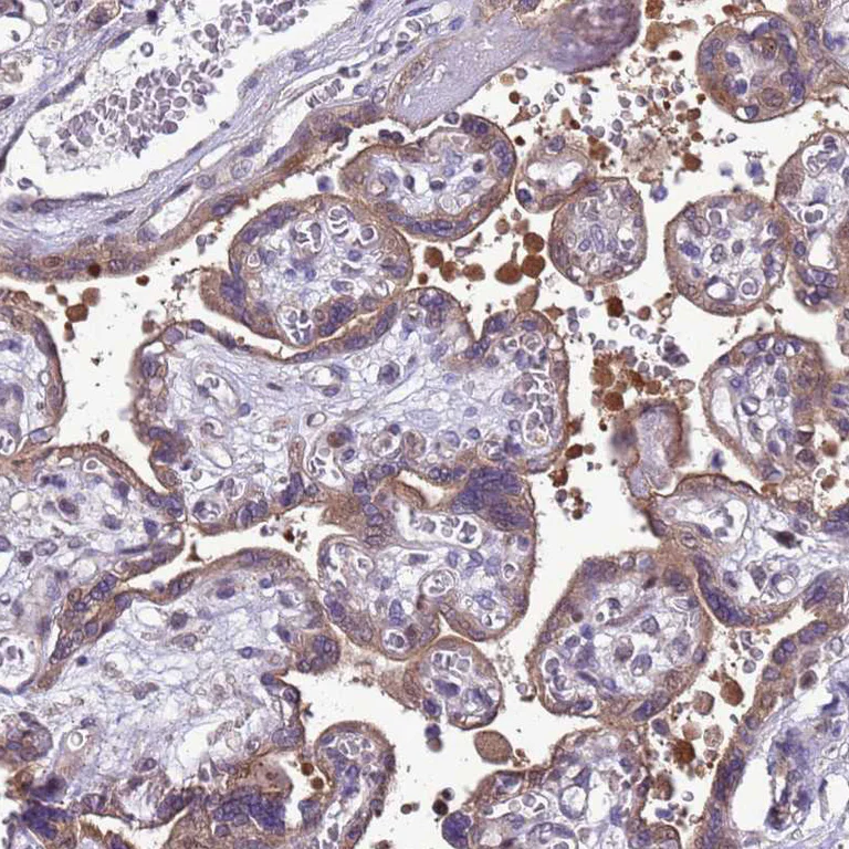
Immunohistochemical analysis of human placenta tissue labeling Dexras1 with ab251924 at a 1/200 dilution.

Immunohistochemistry (Formalin/PFA-fixed paraffin-embedded sections) - Anti-Dexras1 antibody (AB251924)
  • IHC-P

Supplier Data

Immunohistochemistry (Formalin/PFA-fixed paraffin-embedded sections) - Anti-Dexras1 antibody (AB251924)

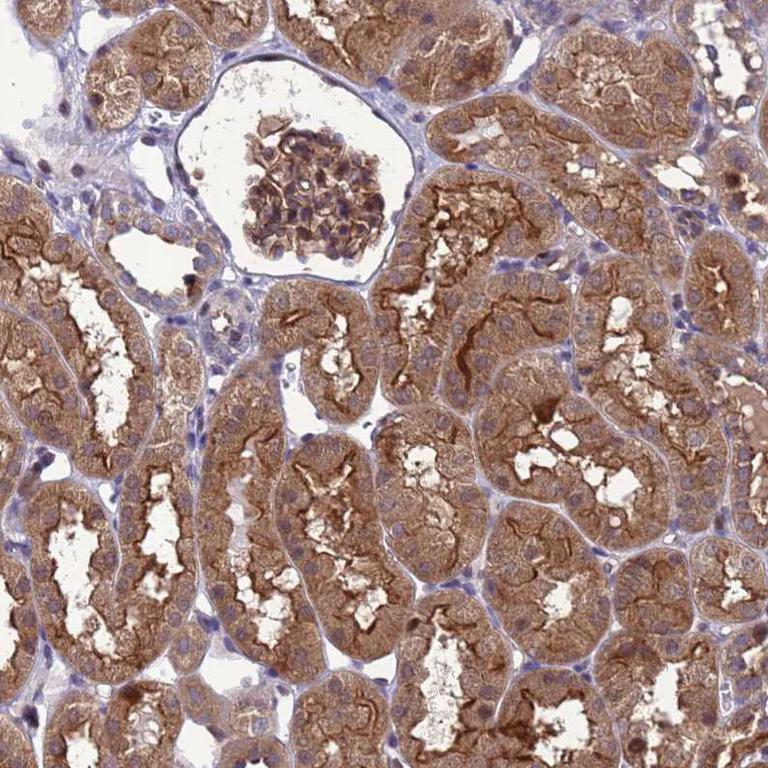
Immunohistochemical analysis of human kidney tissue labeling Dexras1 with ab251924 at a 1/200 dilution.

Western blot - Anti-Dexras1 antibody (AB251924)
  • WB

Unknown

Western blot - Anti-Dexras1 antibody (AB251924)

All lanes:

Western blot - Anti-Dexras1 antibody (ab251924) at 0.4 µg/mL

Lane 1:

Vector only transfected HEK-293T (human epithelial cell line from embryonic kidney transformed with large T antigen) whole cell lysate

Lane 2:

HEK-293T overexpressing Dexras1 with a C-terminal myc-DDK tag, whole cell lysate

Predicted band size: 32 kDa

false

Key facts

Host species

Rabbit

Clonality

Polyclonal

Isotype

IgG

Carrier free

No

Reacts with

Human

Applications

ICC/IF, WB, IHC-P

applications

Immunogen

Recombinant Fragment Protein within Human RASD1 aa 100-200. The exact immunogen used to generate this antibody is proprietary information.

Q9Y272

Reactivity data

{ "title": "Reactivity Data", "filters": { "stats": ["", "Species", "Dilution Info", "Notes"], "tabs": { "all-applications": {"fullname" : "All Applications", "shortname": "All Applications"}, "IHCP" : {"fullname" : "Immunohistochemistry (Formalin/PFA-fixed paraffin-embedded sections)", "shortname":"IHC-P"}, "WB" : {"fullname" : "Western blot", "shortname":"WB"}, "ICCIF" : {"fullname" : "Immunocytochemistry/ Immunofluorescence", "shortname":"ICC/IF"} }, "product-promise": { "all": "all", "testedAndGuaranteed": "tested", "guaranteed": "expected", "predicted": "predicted", "notRecommended": "not-recommended" } }, "values": { "Human": { "IHCP-species-checked": "testedAndGuaranteed", "IHCP-species-dilution-info": "1/50 - 1/200", "IHCP-species-notes": "<p></p> Perform heat-mediated antigen retrieval with citrate buffer pH 6 before commencing with IHC staining protocol.", "WB-species-checked": "testedAndGuaranteed", "WB-species-dilution-info": "0.04-0.4 µg/mL", "WB-species-notes": "<p></p>", "ICCIF-species-checked": "testedAndGuaranteed", "ICCIF-species-dilution-info": "0.25-2 µg/mL", "ICCIF-species-notes": "<p>Fixation/Permeabilization: PFA/Triton X-100.</p>" }, "Mouse": { "IHCP-species-checked": "predicted", "IHCP-species-dilution-info": "", "IHCP-species-notes": "", "WB-species-checked": "predicted", "WB-species-dilution-info": "", "WB-species-notes": "", "ICCIF-species-checked": "predicted", "ICCIF-species-dilution-info": "", "ICCIF-species-notes": "" }, "Rat": { "IHCP-species-checked": "predicted", "IHCP-species-dilution-info": "", "IHCP-species-notes": "", "WB-species-checked": "predicted", "WB-species-dilution-info": "", "WB-species-notes": "", "ICCIF-species-checked": "predicted", "ICCIF-species-dilution-info": "", "ICCIF-species-notes": "" } } }

Properties and storage information

Form
Liquid
Purification technique
Affinity purification Immunogen
Storage buffer
pH: 7.2 Preservative: 0.02% Sodium azide Constituents: PBS, 40% Glycerol (glycerin, glycerine)
Shipped at conditions
Blue Ice
Appropriate short-term storage duration
1-2 weeks
Appropriate short-term storage conditions
+4°C
Appropriate long-term storage conditions
-20°C
Aliquoting information
Upon delivery aliquot
Storage information
Avoid freeze / thaw cycle

Supplementary information

This supplementary information is collated from multiple sources and compiled automatically.

Dexras1 also known as DEXRAS1 or RHES is a small GTPase with a molecular weight of approximately 33 kDa. This protein is part of the Ras superfamily specifically the Ras-Dex subfamily involved in signal transduction. It has a strong expression in the brain particularly in the striatum and other areas with high neuronal activity. Dexras1 acts as a molecular switch by cycling between an active GTP-bound state and an inactive GDP-bound state modulating various intracellular signaling pathways.
Biological function summary

Small GTP-binding proteins like Dexras1 participate in intracellular signaling through interactions with other proteins. Dexras1 plays a role in the regulation of circadian rhythms possibly through interaction with the photic entrainment of the circadian clock. Additionally it contributes to the modulation of neuronal signaling and neurotransmitter release potentially by complex formation with other signaling molecules. Research also suggests its involvement in oxidative stress response due to its influence on the production of reactive oxygen species in cells.

Pathways

Proteins like Dexras1 influence both MAPK and nitric oxide signaling pathways. In the MAPK pathway Dexras1 interacts with proteins like Raf-1 and MEK helping modulate cellular responses to growth signals. Through nitric oxide signaling it plays a role in neuronal communication and vascular relaxation processes. These pathways highlight its importance in integrative functions that involve other Ras-related proteins and kinases contributing to complex signal transduction networks within the cell.

Research connects Dexras1 with neurological conditions and some forms of cancer. Altered expressions or mutations in Dexras1 may contribute to neurodegenerative diseases potentially through dysregulated neuronal signaling and oxidative stress pathways with related impacts on proteins like NMDA receptors. In cancer its pathways may influence proliferative and apoptotic processes revealing potential crosstalk with oncogenic Ras proteins which are implicated in various malignancies. These connections suggest that Dexras1 could serve as a potential target for therapeutic interventions in these disorders.

Product protocols

For this product, it's our understanding that no specific protocols are required. You can visit:

Target data

Small GTPase. Negatively regulates the transcription regulation activity of the APBB1/FE65-APP complex via its interaction with APBB1/FE65 (By similarity).
See full target information RASD1

Publications (3)

Recent publications for all applications. Explore the full list and refine your search

Frontiers in cell and developmental biology 10:946484 PubMed35938163

2022

Histone methyltransferase KMT2D contributes to the protection of myocardial ischemic injury.

Applications

Unspecified application

Species

Unspecified reactive species

Shu-Bao Liu,Xiang-Min Meng,Yu-Meng Li,Jun-Meng Wang,Hui-Hui Guo,Chaochen Wang,Bing-Mei Zhu

Frontiers in immunology 13:873382 PubMed35720361

2022

Adiponectin Ameliorates GMH-Induced Brain Injury by Regulating Microglia M1/M2 Polarization AdipoR1/APPL1/AMPK/PPARγ Signaling Pathway in Neonatal Rats.

Applications

Unspecified application

Species

Unspecified reactive species

Ningbo Xu,Xifeng Li,Jun Weng,Chunhua Wei,Zhenyan He,Desislava Met Doycheva,Cameron Lenahan,Wenhui Tang,Jian Zhou,Yanchao Liu,Qiang Xu,Yahong Liu,Xuying He,Jiping Tang,John H Zhang,Chuanzhi Duan

Aging 13:13333-13348 PubMed33982674

2021

Sevoflurane protects against ischemia-reperfusion injury in mice after total knee arthroplasty via facilitating RASD1-mediated protein kinase A pathway activation.

Applications

Unspecified application

Species

Unspecified reactive species

Tao Li,Yangdong Han,Baofu Guo,Peng Chen,Yingchun Wan,Baoguo Ye
View all publications

Product promise

We are committed to supporting your work with high-quality reagents, and we're here for you every step of the way. In the unlikely event that one of our products does not perform as expected, you're protected by our Product Promise.
For full details, please see our Terms & Conditions

Please note: All products are 'FOR RESEARCH USE ONLY. NOT FOR USE IN DIAGNOSTIC OR THERAPEUTIC PROCEDURES'.

For licensing inquiries, please contact partnerships@abcam.com