JavaScript is disabled in your browser. Please enable JavaScript to view this website.
AB225893

Anti-DFNA5/GSDME antibody [EPR19859-60] - BSA and Azide free

Be the first to review this product! Submit a review

|

(4 Publications)

Rabbit Recombinant Monoclonal DFNA5/GSDME antibody. Carrier free. Suitable for IP, WB and reacts with Human samples. Cited in 4 publications.

View Alternative Names

DFNA5, ICERE1, GSDME, Gasdermin-E, Inversely correlated with estrogen receptor expression 1, Non-syndromic hearing impairment protein 5, ICERE-1

3 Images
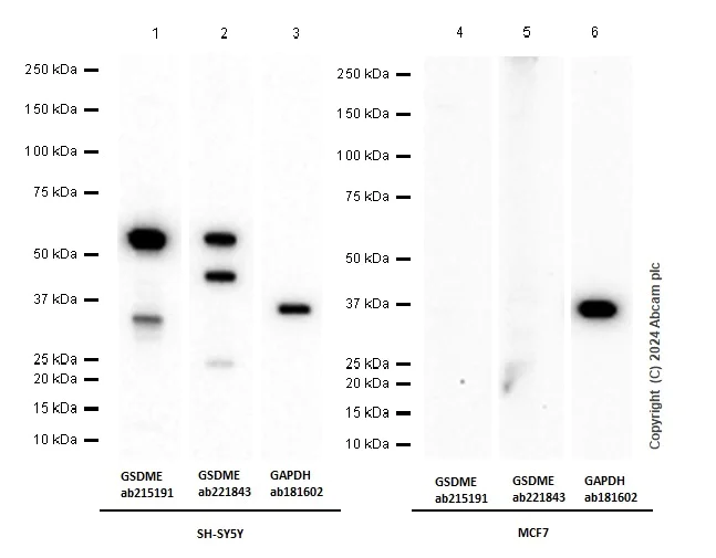
Western blot - Anti-DFNA5/GSDME antibody [EPR19859-60] - BSA and Azide free (AB225893)
  • WB

Lab

Western blot - Anti-DFNA5/GSDME antibody [EPR19859-60] - BSA and Azide free (AB225893)

Blocking and dilution buffer : 5% NFDM/TBST.

Exposure time : Lanes 1-3 : 10 seconds , Lanes 4-6 : 40 seconds.

Both ab215191 and ab221843 show negative result in MCF7, which is also consistent with the predicted expression pattern.

This data was developed using ab221843 , the same antibody clone in a different buffer formulation.

Lanes 1 and 4:

Western blot - Anti-DFNA5/GSDME antibody [EPR19859] - N-terminal (<a href='/en-us/products/primary-antibodies/dfna5-gsdme-antibody-epr19859-n-terminal-ab215191'>ab215191</a>) at 1/1000 dilution

Lanes 2 and 5:

Western blot - Anti-DFNA5/GSDME antibody [EPR19859-60] - C-terminal (<a href='/en-us/products/primary-antibodies/dfna5-gsdme-antibody-epr19859-60-c-terminal-ab221843'>ab221843</a>) at 1/1000 dilution

Lanes 1 - 3:

SH-SY5Y (Human neuroblastoma epithelial cell) whole cell lysate at 20 µg

Lanes 4 - 6:

MCF7 (Human breast adenocarcinoma epithelial cell) whole cell lysate at 20 µg

Secondary

All lanes:

Western blot - Goat Anti-Rabbit IgG H&L (HRP) (<a href='/en-us/products/secondary-antibodies/goat-rabbit-igg-h-l-hrp-ab97051'>ab97051</a>) at 1/20000 dilution

Predicted band size: 54 kDa

Observed band size: 55 kDa

false

Immunoprecipitation - Anti-DFNA5/GSDME antibody [EPR19859-60] - BSA and Azide free (AB225893)
  • IP

Supplier Data

Immunoprecipitation - Anti-DFNA5/GSDME antibody [EPR19859-60] - BSA and Azide free (AB225893)

DFNA5/GSDME was immunoprecipitated from 0.35 mg of SH-SY5Y (human neuroblastoma epithelial cell) whole cell lysate with ab221843 at 1/40 dilution. Western blot was performed from the immunoprecipitate using ab221843 at 1/500 dilution. VeriBlot for IP Detection Reagent (HRP) (ab131366), was used for detection at 1/1000 dilution.
Lane 1 : SH-SY5Y whole cell lysate 10ug (Input).
Lane 2 : ab221843 IP in SH-SY5Y whole cell lysate.
Lane 3 : Rabbit monoclonal IgG (ab172730) instead of ab221843 in SH-SY5Y whole cell lysate.
Blocking and dilution buffer and concentration : 5% NFDM/TBST.
Observed MW 55 kDa.
Exposure time : 1 second.

This data was developed using the same antibody clone in a different buffer formulation containing PBS, BSA, glycerol, and sodium azide (ab221843).

All lanes:

Immunoprecipitation - Anti-DFNA5/GSDME antibody [EPR19859-60] - C-terminal (<a href='/en-us/products/primary-antibodies/dfna5-gsdme-antibody-epr19859-60-c-terminal-ab221843'>ab221843</a>)

Predicted band size: 54 kDa

false

Western blot - Anti-DFNA5/GSDME antibody [EPR19859-60] - BSA and Azide free (AB225893)
  • WB

Supplier Data

Western blot - Anti-DFNA5/GSDME antibody [EPR19859-60] - BSA and Azide free (AB225893)

Blocking/Dilution : 5% NFDM/TBST.

The cell lysates were kindly provided by our collaborator, Dr. Feng Shao, NIBS.

This data was developed using the same antibody clone in a different buffer formulation containing PBS, BSA, glycerol, and sodium azide (ab221843).

All lanes:

Western blot - Anti-DFNA5/GSDME antibody [EPR19859-60] - BSA and Azide free (ab225893) at 1/5000 dilution

Lane 1:

SH-SY5Y (human neuroblastoma epithelial cell), whole cell lysate at 10 µg

Lane 2:

DFNA5/GSDME knockout SH-SY5Y, whole cell lysate at 10 µg

Secondary

All lanes:

Western blot - Goat Anti-Rabbit IgG H&L (HRP) (<a href='/en-us/products/secondary-antibodies/goat-rabbit-igg-h-l-hrp-ab97051'>ab97051</a>) at 1/100000 dilution

Predicted band size: 54 kDa

false

Exposure time: 30s

Key facts

Host species

Rabbit

Clonality

Monoclonal

Clone number

EPR19859-60

Isotype

IgG

Carrier free

Yes

Reacts with

Human

Applications

WB, IP

applications

Immunogen

The exact immunogen used to generate this antibody is proprietary information.

Specificity

Expression levels of the target protein vary with sample type and some optimisation may be required.

Reactivity data

{ "title": "Reactivity Data", "filters": { "stats": ["", "Species", "Dilution Info", "Notes"], "tabs": { "all-applications": {"fullname" : "All Applications", "shortname": "All Applications"}, "IP" : {"fullname" : "Immunoprecipitation", "shortname":"IP"}, "WB" : {"fullname" : "Western blot", "shortname":"WB"} }, "product-promise": { "all": "all", "testedAndGuaranteed": "tested", "guaranteed": "expected", "predicted": "predicted", "notRecommended": "not-recommended" } }, "values": { "Human": { "IP-species-checked": "testedAndGuaranteed", "IP-species-dilution-info": "", "IP-species-notes": "<p></p>", "WB-species-checked": "testedAndGuaranteed", "WB-species-dilution-info": "", "WB-species-notes": "<p></p>" } } }

Product details

ab225893 is the carrier-free version of ab221843.

Patented technology
Our RabMAb® technology is a patented hybridoma-based technology for making rabbit monoclonal antibodies. For details on our patents, please refer to RabMAb® patents.

What are the advantages of a recombinant monoclonal antibody?
This product is a recombinant monoclonal antibody, which offers several advantages including:

  • - High batch-to-batch consistency and reproducibility
  • - Improved sensitivity and specificity
  • - Long-term security of supply
  • - Animal-free batch production

For more information, read more on recombinant antibodies.

Conjugation ready
Our carrier-free antibodies are typically supplied in a PBS-only formulation, purified and free of BSA, sodium azide and glycerol. This conjugation-ready format is designed for use with fluorochromes, metal isotopes, oligonucleotides, and enzymes, which makes them ideal for antibody labelling, functional and cell-based assays, flow-based assays (e.g. mass cytometry) and Multiplex Imaging applications.

Use our conjugation kits for antibody conjugates that are ready-to-use in as little as 20 minutes with 1 minute hands-on-time and 100% antibody recovery: available for fluorescent dyes, HRP, biotin and gold.

Compatibility
This product is compatible with the Maxpar® Antibody Labeling Kit from Fluidigm, without the need for antibody preparation. Maxpar® is a trademark of Fluidigm Canada Inc.

Properties and storage information

Form
Liquid
Purification technique
Affinity purification Protein A
Storage buffer
pH: 7.2 - 7.4 Constituents: PBS
Shipped at conditions
Blue Ice
Appropriate short-term storage conditions
+4°C
Appropriate long-term storage conditions
+4°C
Storage information
Do Not Freeze

Supplementary information

This supplementary information is collated from multiple sources and compiled automatically.

DFNA5 also known as GSDME (Gasdermin E) is a protein encoded by the GSDME gene. It has a molecular mass of approximately 59 kDa. The protein is expressed in various tissues including the cochlea in the inner ear and some epithelial tissues. Mechanically DFNA5/GSDME plays a role in inducing cell membrane pore formation leading to cell lysis. This activity relates to its involvement in processes like cell death specifically pyroptosis where the cell undergoes a form of programmed necrosis.
Biological function summary

DFNA5/GSDME serves as a pore-forming protein that facilitates pyroptotic cell death usually upon cleavage by caspase-3. This activity is important for innate immune response and the maintenance of cellular homeostasis. DFNA5/GSDME operates independently and does not form part of large protein complexes. The cleaved form inserts into the lipid bilayer of cell membranes contributing to the execution of cell death particularly under stress conditions or cellular insult.

Pathways

DFNA5/GSDME is involved in the pyroptosis and apoptosis pathways. It plays an essential role in the cellular response to inflammation and stress signals by interacting with caspase-3 a critical protease in the apoptosis pathway. The balance between apoptosis and pyroptosis decides cell fate with DFNA5/GSDME activation tipping towards pyroptotic cell death. The interconnection with other gasdermin family proteins such as GSDMD is notable as they share functional and structural similarities in promoting necrosis-like cell death processes.

Mutations in the DFNA5 gene relate to progressive hearing loss (nonsyndromic sensorineural deafness). Dysregulation of GSDME has also been implicated in cancer where altered expression promotes tumorigenesis or tumor suppression depending on the context. In hearing loss GSDME's interaction with pathways influencing apoptosis highlights its pathogenic role while in cancer connections to caspase-3 show a potential dichotomy in cell survival and cell death regulation.

Product protocols

For this product, it's our understanding that no specific protocols are required. You can visit:

Target data

Gasdermin-E. Precursor of a pore-forming protein that converts non-inflammatory apoptosis to pyroptosis (PubMed : 27281216, PubMed : 28459430, PubMed : 33852854, PubMed : 35594856, PubMed : 36607699). This form constitutes the precursor of the pore-forming protein : upon cleavage, the released N-terminal moiety (Gasdermin-E, N-terminal) binds to membranes and forms pores, triggering pyroptosis (PubMed : 28459430).. Gasdermin-E, N-terminal. Pore-forming protein produced by cleavage by CASP3 or granzyme B (GZMB), which converts non-inflammatory apoptosis to pyroptosis or promotes granzyme-mediated pyroptosis, respectively (PubMed : 27281216, PubMed : 28459430, PubMed : 32188940, PubMed : 33852854, PubMed : 35594856). After cleavage, moves to the plasma membrane, homooligomerizes within the membrane and forms pores of 10-15 nanometers (nm) of inner diameter, allowing the release of mature interleukins (IL1B and IL16) and triggering pyroptosis (PubMed : 28459430, PubMed : 32188940, PubMed : 33852854, PubMed : 35594856). Binds to inner leaflet lipids, bisphosphorylated phosphatidylinositols, such as phosphatidylinositol (4,5)-bisphosphate (PubMed : 28459430). Cleavage by CASP3 switches CASP3-mediated apoptosis induced by TNF or danger signals, such as chemotherapy drugs, to pyroptosis (PubMed : 27281216, PubMed : 28459430, PubMed : 32188940). Mediates secondary necrosis downstream of the mitochondrial apoptotic pathway and CASP3 activation as well as in response to viral agents (PubMed : 28045099). Exhibits bactericidal activity (PubMed : 27281216). Cleavage by GZMB promotes tumor suppressor activity by triggering robust anti-tumor immunity (PubMed : 21522185, PubMed : 32188940). Suppresses tumors by mediating granzyme-mediated pyroptosis in target cells of natural killer (NK) cells : cleavage by granzyme B (GZMB), delivered to target cells from NK-cells, triggers pyroptosis of tumor cells and tumor suppression (PubMed : 31953257, PubMed : 32188940). May play a role in the p53/TP53-regulated cellular response to DNA damage (PubMed : 16897187).. Gasdermin-E, N-terminal. (Microbial infection) Pore-forming protein, which promotes maternal placental pyroptosis in response to Zika virus infection, contributing to adverse fetal outcomes.
See full target information GSDME

Publications (4)

Recent publications for all applications. Explore the full list and refine your search

Cell death & disease 15:402 PubMed38851795

2024

Genetic influence on vascular smooth muscle cell apoptosis.

Applications

Unspecified application

Species

Unspecified reactive species

David G McVey,Catherine Andreadi,Peng Gong,Paulina J Stanczyk,Charles U Solomon,Lenka Turner,Liu Yan,Runji Chen,Junjun Cao,Christopher P Nelson,John R Thompson,Haojie Yu,Tom R Webb,Nilesh J Samani,Shu Ye

Frontiers in pharmacology 13:854526 PubMed35662735

2022

Aloe-Emodin Induces Mitochondrial Dysfunction and Pyroptosis by Activation of the Caspase-9/3/Gasdermin E Axis in HeLa Cells.

Applications

Unspecified application

Species

Unspecified reactive species

Tonghui Li,Liuliu Shi,Wenqiang Liu,Xuhao Hu,Yuanjian Hui,Maojun Di,Shen Xue,Yan Zheng,Mengjuan Yao,Chen Li,Kun Meng

Cell death & disease 11:281 PubMed32332857

2020

Chemotherapy-induced pyroptosis is mediated by BAK/BAX-caspase-3-GSDME pathway and inhibited by 2-bromopalmitate.

Applications

Unspecified application

Species

Unspecified reactive species

Lei Hu,Meng Chen,Xueran Chen,Chenggang Zhao,Zhiyou Fang,Hongzhi Wang,Haiming Dai

Nature 547:99-103 PubMed28459430

2017

Chemotherapy drugs induce pyroptosis through caspase-3 cleavage of a gasdermin.

Applications

Unspecified application

Species

Unspecified reactive species

Yupeng Wang,Wenqing Gao,Xuyan Shi,Jingjin Ding,Wang Liu,Huabin He,Kun Wang,Feng Shao
View all publications

Product promise

We are committed to supporting your work with high-quality reagents, and we're here for you every step of the way. In the unlikely event that one of our products does not perform as expected, you're protected by our Product Promise.
For full details, please see our Terms & Conditions

Please note: All products are 'FOR RESEARCH USE ONLY. NOT FOR USE IN DIAGNOSTIC OR THERAPEUTIC PROCEDURES'.

For licensing inquiries, please contact partnerships@abcam.com