JavaScript is disabled in your browser. Please enable JavaScript to view this website.
AB189994

Anti-DGAT1 antibody

Be the first to review this product! Submit a review

|

(4 Publications)

Goat Polyclonal DGAT1 antibody. Suitable for WB, IHC-P and reacts with Mouse, Human samples. Cited in 4 publications. Immunogen corresponding to Synthetic Peptide within Human DGAT1 aa 50-100.

View Alternative Names

AGRP1, DGAT, DGAT1, Diacylglycerol O-acyltransferase 1, ACAT-related gene product 1, Acyl-CoA retinol O-fatty-acyltransferase, Diglyceride acyltransferase, ARAT, Retinol O-fatty-acyltransferase

2 Images
Western blot - Anti-DGAT1 antibody (AB189994)
  • WB

Supplier Data

Western blot - Anti-DGAT1 antibody (AB189994)

All lanes:

Western blot - Anti-DGAT1 antibody (ab189994) at 0.5 µg/mL

All lanes:

Mouse duodenum lysate in RIPA buffer at 35 µg

Predicted band size: 55 kDa

Observed band size: 50 kDa,55 kDa

true

Exposure time: 1hr

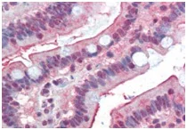
Immunohistochemistry (Formalin/PFA-fixed paraffin-embedded sections) - Anti-DGAT1 antibody (AB189994)
  • IHC-P

Supplier Data

Immunohistochemistry (Formalin/PFA-fixed paraffin-embedded sections) - Anti-DGAT1 antibody (AB189994)

Immunohistochemical analysis of formalin fixed, paraffin embedded Human small intestine tissue labeling DGAT1 with ab189994 at 5 μg/ml.

Key facts

Host species

Goat

Clonality

Polyclonal

Isotype

IgG

Carrier free

No

Reacts with

Mouse, Human

Applications

WB, IHC-P

applications

Immunogen

Synthetic Peptide within Human DGAT1 aa 50-100. The exact immunogen used to generate this antibody is proprietary information.

O75907

Reactivity data

{ "title": "Reactivity Data", "filters": { "stats": ["", "Species", "Dilution Info", "Notes"], "tabs": { "all-applications": {"fullname" : "All Applications", "shortname": "All Applications"}, "WB" : {"fullname" : "Western blot", "shortname":"WB"}, "IHCP" : {"fullname" : "Immunohistochemistry (Formalin/PFA-fixed paraffin-embedded sections)", "shortname":"IHC-P"} }, "product-promise": { "all": "all", "testedAndGuaranteed": "tested", "guaranteed": "expected", "predicted": "predicted", "notRecommended": "not-recommended" } }, "values": { "Human": { "WB-species-checked": "guaranteed", "WB-species-dilution-info": "", "WB-species-notes": "", "IHCP-species-checked": "testedAndGuaranteed", "IHCP-species-dilution-info": "5 µg/mL", "IHCP-species-notes": "<p></p>" }, "Mouse": { "WB-species-checked": "testedAndGuaranteed", "WB-species-dilution-info": "0.5-2 µg/mL", "WB-species-notes": "<p></p>", "IHCP-species-checked": "guaranteed", "IHCP-species-dilution-info": "", "IHCP-species-notes": "" }, "Rat": { "WB-species-checked": "predicted", "WB-species-dilution-info": "", "WB-species-notes": "", "IHCP-species-checked": "predicted", "IHCP-species-dilution-info": "", "IHCP-species-notes": "" }, "Cat": { "WB-species-checked": "predicted", "WB-species-dilution-info": "", "WB-species-notes": "", "IHCP-species-checked": "predicted", "IHCP-species-dilution-info": "", "IHCP-species-notes": "" }, "Chimpanzee": { "WB-species-checked": "predicted", "WB-species-dilution-info": "", "WB-species-notes": "", "IHCP-species-checked": "predicted", "IHCP-species-dilution-info": "", "IHCP-species-notes": "" }, "Common marmoset": { "WB-species-checked": "predicted", "WB-species-dilution-info": "", "WB-species-notes": "", "IHCP-species-checked": "predicted", "IHCP-species-dilution-info": "", "IHCP-species-notes": "" }, "Cow": { "WB-species-checked": "predicted", "WB-species-dilution-info": "", "WB-species-notes": "", "IHCP-species-checked": "predicted", "IHCP-species-dilution-info": "", "IHCP-species-notes": "" }, "Dog": { "WB-species-checked": "predicted", "WB-species-dilution-info": "", "WB-species-notes": "", "IHCP-species-checked": "predicted", "IHCP-species-dilution-info": "", "IHCP-species-notes": "" }, "Goat": { "WB-species-checked": "predicted", "WB-species-dilution-info": "", "WB-species-notes": "", "IHCP-species-checked": "predicted", "IHCP-species-dilution-info": "", "IHCP-species-notes": "" }, "Gorilla": { "WB-species-checked": "predicted", "WB-species-dilution-info": "", "WB-species-notes": "", "IHCP-species-checked": "predicted", "IHCP-species-dilution-info": "", "IHCP-species-notes": "" }, "Guinea pig": { "WB-species-checked": "predicted", "WB-species-dilution-info": "", "WB-species-notes": "", "IHCP-species-checked": "predicted", "IHCP-species-dilution-info": "", "IHCP-species-notes": "" }, "Horse": { "WB-species-checked": "predicted", "WB-species-dilution-info": "", "WB-species-notes": "", "IHCP-species-checked": "predicted", "IHCP-species-dilution-info": "", "IHCP-species-notes": "" }, "Monkey": { "WB-species-checked": "predicted", "WB-species-dilution-info": "", "WB-species-notes": "", "IHCP-species-checked": "predicted", "IHCP-species-dilution-info": "", "IHCP-species-notes": "" }, "Pig": { "WB-species-checked": "predicted", "WB-species-dilution-info": "", "WB-species-notes": "", "IHCP-species-checked": "predicted", "IHCP-species-dilution-info": "", "IHCP-species-notes": "" }, "Rabbit": { "WB-species-checked": "predicted", "WB-species-dilution-info": "", "WB-species-notes": "", "IHCP-species-checked": "predicted", "IHCP-species-dilution-info": "", "IHCP-species-notes": "" }, "Sheep": { "WB-species-checked": "predicted", "WB-species-dilution-info": "", "WB-species-notes": "", "IHCP-species-checked": "predicted", "IHCP-species-dilution-info": "", "IHCP-species-notes": "" } } }

Properties and storage information

Form
Liquid
Purification technique
Affinity purification Immunogen
Storage buffer
pH: 7.3 Preservative: 0.02% Sodium azide Constituents: 99% Tris buffered saline, 0.5% BSA
Shipped at conditions
Blue Ice
Appropriate short-term storage duration
1-2 weeks
Appropriate short-term storage conditions
+4°C
Appropriate long-term storage conditions
-20°C
Aliquoting information
Upon delivery aliquot
Storage information
Avoid freeze / thaw cycle

Supplementary information

This supplementary information is collated from multiple sources and compiled automatically.

DGAT1 also known as acyl CoA:diacylglycerol acyltransferase 1 is an enzyme with a molecular mass of approximately 55 kDa. DGAT1 is expressed in various tissues with high levels noted in adipose tissue and the intestines. The enzyme catalyzes the final step in triglyceride synthesis by transferring acyl-CoA to diacylglycerol to form triglycerides. This process is essential in lipid metabolism impacting both energy storage and membrane synthesis.
Biological function summary

DGAT1 plays a significant role in lipid homeostasis and energy balance across multiple biological systems. This enzyme is key in the conversion of dietary fats into stored energy and it does not exist as part of a complex. DGAT1's activity contributes to the maintenance of cellular lipid droplets and it has implications therefore in conditions where lipid metabolism is disrupted.

Pathways

DGAT1 is a part of the triglyceride biosynthesis pathway an important route within the lipid metabolism framework. In this context the enzyme works alongside other lipogenic proteins such as acetyl-CoA carboxylase and fatty acid synthase to synthesize triglycerides. DGAT1's role in this pathway has implications for how the body manages fat storage and utilization linking it to the regulation of systemic energy levels.

Aberrant DGAT1 activity links to metabolic conditions such as obesity and type 2 diabetes. Alterations in DGAT1 expression can affect lipid storage and mobilization contributing to these disorders. Within this pathogenic context DGAT1 also interacts with proteins like adipose triglyceride lipase which further influences the breakdown of stored triglycerides impacting adipose tissue accumulation and insulin sensitivity.

Product protocols

For this product, it's our understanding that no specific protocols are required. You can visit:

Target data

Catalyzes the terminal and only committed step in triacylglycerol synthesis by using diacylglycerol and fatty acyl CoA as substrates (PubMed : 16214399, PubMed : 18768481, PubMed : 28420705, PubMed : 32433610, PubMed : 32433611, PubMed : 9756920). Highly expressed in epithelial cells of the small intestine and its activity is essential for the absorption of dietary fats (PubMed : 18768481). In liver, plays a role in esterifying exogenous fatty acids to glycerol, and is required to synthesize fat for storage (PubMed : 16214399). Also present in female mammary glands, where it produces fat in the milk (By similarity). May be involved in VLDL (very low density lipoprotein) assembly (PubMed : 18768481). In contrast to DGAT2 it is not essential for survival (By similarity). Functions as the major acyl-CoA retinol acyltransferase (ARAT) in the skin, where it acts to maintain retinoid homeostasis and prevent retinoid toxicity leading to skin and hair disorders (PubMed : 16214399). Exhibits additional acyltransferase activities, includin acyl CoA : monoacylglycerol acyltransferase (MGAT), wax monoester and wax diester synthases (By similarity). Also able to use 1-monoalkylglycerol (1-MAkG) as an acyl acceptor for the synthesis of monoalkyl-monoacylglycerol (MAMAG) (PubMed : 28420705).
See full target information DGAT1

Publications (4)

Recent publications for all applications. Explore the full list and refine your search

Clinical medicine insights. Endocrinology and diabetes 16:11795514221148556 PubMed36685045

2023

A Cortisol-Secreting Adrenal Adenoma Combined With a Micro-Pheochromocytoma: Case Report and Literature Review.

Applications

Unspecified application

Species

Unspecified reactive species

Kimiko Sakai,Mai Asano,Masahide Hamaguchi,Hidefumi Taniguchi,Osamu Ukimura,Michiaki Fukui

Journal of dairy science 105:9191-9205 PubMed36114053

2022

Effects of diacylglycerol O-acyltransferase 1 (DGAT1) on endoplasmic reticulum stress and inflammatory responses in adipose tissue of ketotic dairy cows.

Applications

Unspecified application

Species

Unspecified reactive species

Qiushi Xu,Yunhui Fan,Juan J Loor,Qianming Jiang,Xidan Zheng,Zhijie Wang,Tong Yang,Xudong Sun,Hongdou Jia,Xinwei Li,Chuang Xu

Animals : an open access journal from MDPI 12: PubMed35883393

2022

Overexpression of DGAT2 Stimulates Lipid Droplet Formation and Triacylglycerol Accumulation in Bovine Satellite Cells.

Applications

Unspecified application

Species

Unspecified reactive species

Jun-Fang Zhang,Seong-Ho Choi,Qiang Li,Ying Wang,Bin Sun,Lin Tang,En-Ze Wang,Huan Hua,Xiang-Zi Li

Canadian journal of physiology and pharmacology 100:393-401 PubMed34851748

2021

The anti-anginal ranolazine does not confer beneficial actions against hepatic steatosis in male mice subjected to high-fat diet and streptozotocin-induced type 2 diabetes.

Applications

Unspecified application

Species

Unspecified reactive species

Christina T Saed,Amanda A Greenwell,Seyed Amirhossein Tabatabaei Dakhili,Keshav Gopal,Farah Eaton,John R Ussher
View all publications

Product promise

We are committed to supporting your work with high-quality reagents, and we're here for you every step of the way. In the unlikely event that one of our products does not perform as expected, you're protected by our Product Promise.
For full details, please see our Terms & Conditions

Please note: All products are 'FOR RESEARCH USE ONLY. NOT FOR USE IN DIAGNOSTIC OR THERAPEUTIC PROCEDURES'.

For licensing inquiries, please contact partnerships@abcam.com