JavaScript is disabled in your browser. Please enable JavaScript to view this website.
AB317305

Anti-DGAT1 antibody [EPR28418-75]

Be the first to review this product! Submit a review

|

(0 Publication)

Rabbit Recombinant Monoclonal DGAT1 antibody. Suitable for WB, ICC/IF and reacts with Mouse samples.

View Alternative Names

Dgat, Diacylglycerol O-acyltransferase 1, Acyl-CoA retinol O-fatty-acyltransferase, Diglyceride acyltransferase, ARAT, Retinol O-fatty-acyltransferase

3 Images
Immunocytochemistry/ Immunofluorescence - Anti-DGAT1 antibody [EPR28418-75] (AB317305)
  • ICC/IF

Supplier Data

Immunocytochemistry/ Immunofluorescence - Anti-DGAT1 antibody [EPR28418-75] (AB317305)

Immunofluorescent analysis of 100% methanol-fixed, 0.1% TritonX-100 permeabilized 3T3-L1 (mouse embryonic fibroblast) cells labelling DGAT1 with ab317305 at 1/100 (5.14 ug/ml) dilution, followed by ab150081 Goat Anti-Rabbit IgG H&L (Alexa Fluor® 488) preadsorbed antibody at 1/1000 (2 ug/ml) dilution (Green).

Confocal image showing endoplasmic reticulum staining in differentiated 3T3-L1 cells (shown in green). The counterstain was observed in magenta. Nuclear DNA was labeled with DAPI (shown in blue).
Image was taken with a confocal microscope(Leica-Microsystems, TCS SP8).

Anti-KDEL mouse monoclonal antibody was used to counterstain at 1/200 (2.5ug/ml) dilution (Magenta). The Nuclear counterstain was DAPI (Blue).

Secondary antibody only control : Secondary antibody is ab150081 Goat Anti-Rabbit IgG H&L (Alexa Fluor® 488) preadsorbed at 1/1000 (2 ug/ml) dilution.

Western blot - Anti-DGAT1 antibody [EPR28418-75] (AB317305)
  • WB

Supplier Data

Western blot - Anti-DGAT1 antibody [EPR28418-75] (AB317305)

The identity of the lower and higher MW bands are unknown.

In Western blot, Anti-GAPDH antibody [EPR16891] - Loading Control (ab181602) staining at 1/200000 dilution.

All lanes:

Western blot - Anti-DGAT1 antibody [EPR28418-75] (ab317305) at 1/1000 dilution

Lane 1:

Undifferentiated 3T3-L1 (mouse embryonic fibroblast) whole cell lysate at 20 µg with NFDM/TBST

Lane 2:

3T3-L1 differentiated for 6 days whole cell lysate at 20 µg with NFDM/TBST

Secondary

All lanes:

Western blot - Goat Anti-Rabbit IgG H&L (HRP) (<a href='/en-us/products/secondary-antibodies/goat-rabbit-igg-h-l-hrp-ab97051'>ab97051</a>) at 1/20000 dilution

Observed band size: 50 kDa,36 kDa

false

Exposure time: 103s

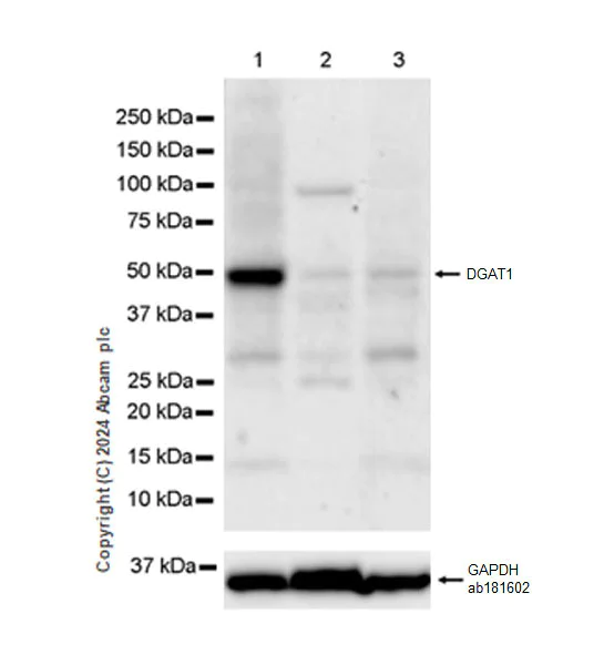
Western blot - Anti-DGAT1 antibody [EPR28418-75] (AB317305)
  • WB

Supplier Data

Western blot - Anti-DGAT1 antibody [EPR28418-75] (AB317305)

Low expression : skeletal muscle, heart (PMID : 10802663).

The identity of the lower and higher MW bands are unknown.

In Western blot, Anti-GAPDH antibody [EPR16891] - Loading Control (ab181602) staining at 1/200000 dilution.

All lanes:

Western blot - Anti-DGAT1 antibody [EPR28418-75] (ab317305) at 1/1000 dilution

Lane 1:

Mouse brown fat tissue lysate at 20 µg with NFDM/TBST

Lane 2:

Mouse skeletal muscle tissue lysate at 20 µg with NFDM/TBST

Lane 3:

Mouse heart tissue lysate at 20 µg with NFDM/TBST

Secondary

All lanes:

Western blot - Goat Anti-Rabbit IgG H&L (HRP) (<a href='/en-us/products/secondary-antibodies/goat-rabbit-igg-h-l-hrp-ab97051'>ab97051</a>) at 1/20000 dilution

Observed band size: 50 kDa,36 kDa

false

Exposure time: 125s

  • Carrier free

    Anti-DGAT1 antibody [EPR28418-75] - BSA and Azide free

Key facts

Host species

Rabbit

Clonality

Monoclonal

Clone number

EPR28418-75

Isotype

IgG

Carrier free

No

Reacts with

Mouse

Applications

WB, ICC/IF

applications

Immunogen

The exact immunogen used to generate this antibody is proprietary information.

Specificity

A band at ~25 KDa has been observed in Mouse brown fat tissue stored at -80° prior to Western Blotting. The identify of this band is unknown.

Reactivity data

{ "title": "Reactivity Data", "filters": { "stats": ["", "Species", "Dilution Info", "Notes"], "tabs": { "all-applications": {"fullname" : "All Applications", "shortname": "All Applications"}, "WB" : {"fullname" : "Western blot", "shortname":"WB"}, "ICCIF" : {"fullname" : "Immunocytochemistry/ Immunofluorescence", "shortname":"ICC/IF"}, "FlowCytIntra" : {"fullname" : "Flow Cytometry (Intracellular)", "shortname":"Flow Cyt (Intra)"}, "IP" : {"fullname" : "Immunoprecipitation", "shortname":"IP"}, "IHCP" : {"fullname" : "Immunohistochemistry (Formalin/PFA-fixed paraffin-embedded sections)", "shortname":"IHC-P"} }, "product-promise": { "all": "all", "testedAndGuaranteed": "tested", "guaranteed": "expected", "predicted": "predicted", "notRecommended": "not-recommended" } }, "values": { "Human": { "WB-species-checked": "notRecommended", "WB-species-dilution-info": "", "WB-species-notes": "<p></p>", "ICCIF-species-checked": "notRecommended", "ICCIF-species-dilution-info": "", "ICCIF-species-notes": "", "FlowCytIntra-species-checked": "notRecommended", "FlowCytIntra-species-dilution-info": "", "FlowCytIntra-species-notes": "", "IP-species-checked": "notRecommended", "IP-species-dilution-info": "", "IP-species-notes": "", "IHCP-species-checked": "notRecommended", "IHCP-species-dilution-info": "", "IHCP-species-notes": "<p></p>" }, "Mouse": { "WB-species-checked": "testedAndGuaranteed", "WB-species-dilution-info": "1/1000", "WB-species-notes": "<p></p>", "ICCIF-species-checked": "testedAndGuaranteed", "ICCIF-species-dilution-info": "1/100", "ICCIF-species-notes": "<p></p>", "FlowCytIntra-species-checked": "notRecommended", "FlowCytIntra-species-dilution-info": "", "FlowCytIntra-species-notes": "<p></p>", "IP-species-checked": "notRecommended", "IP-species-dilution-info": "", "IP-species-notes": "<p></p>", "IHCP-species-checked": "notRecommended", "IHCP-species-dilution-info": "", "IHCP-species-notes": "<p></p>" }, "Rat": { "WB-species-checked": "notRecommended", "WB-species-dilution-info": "", "WB-species-notes": "<p></p>", "ICCIF-species-checked": "notRecommended", "ICCIF-species-dilution-info": "", "ICCIF-species-notes": "", "FlowCytIntra-species-checked": "notRecommended", "FlowCytIntra-species-dilution-info": "", "FlowCytIntra-species-notes": "", "IP-species-checked": "notRecommended", "IP-species-dilution-info": "", "IP-species-notes": "", "IHCP-species-checked": "notRecommended", "IHCP-species-dilution-info": "", "IHCP-species-notes": "<p></p>" } } }

You may be interested in:

AB65336

Triglyceride Assay Kit - Quantification

4

4 Reviews

View product

We recommend this product because it’s often used in the same experiment or related research.

We advise that you always check the datasheet to ensure it fits your experiments, or contact ourtechnical teamfor help.

Product details

Patented technology
Our RabMAb® technology is a patented hybridoma-based technology for making rabbit monoclonal antibodies. For details on our patents, please refer to RabMAb® patents.

What are the advantages of a recombinant monoclonal antibody?
This product is a recombinant monoclonal antibody, which offers several advantages including:

  • - High batch-to-batch consistency and reproducibility
  • - Improved sensitivity and specificity
  • - Long-term security of supply
  • - Animal-free batch production

For more information, read more on recombinant antibodies.

Properties and storage information

Form
Liquid
Purification technique
Affinity purification Protein A
Storage buffer
pH: 7.2 - 7.4 Preservative: 0.01% Sodium azide Constituents: PBS, 40% Glycerol (glycerin, glycerine), 0.05% BSA
Shipped at conditions
Blue Ice
Appropriate short-term storage duration
1-2 weeks
Appropriate short-term storage conditions
+4°C
Appropriate long-term storage conditions
-20°C
Aliquoting information
Upon delivery aliquot
Storage information
Avoid freeze / thaw cycle

Supplementary information

This supplementary information is collated from multiple sources and compiled automatically.

DGAT1 also known as acyl CoA:diacylglycerol acyltransferase 1 is an enzyme with a molecular mass of approximately 55 kDa. DGAT1 is expressed in various tissues with high levels noted in adipose tissue and the intestines. The enzyme catalyzes the final step in triglyceride synthesis by transferring acyl-CoA to diacylglycerol to form triglycerides. This process is essential in lipid metabolism impacting both energy storage and membrane synthesis.
Biological function summary

DGAT1 plays a significant role in lipid homeostasis and energy balance across multiple biological systems. This enzyme is key in the conversion of dietary fats into stored energy and it does not exist as part of a complex. DGAT1's activity contributes to the maintenance of cellular lipid droplets and it has implications therefore in conditions where lipid metabolism is disrupted.

Pathways

DGAT1 is a part of the triglyceride biosynthesis pathway an important route within the lipid metabolism framework. In this context the enzyme works alongside other lipogenic proteins such as acetyl-CoA carboxylase and fatty acid synthase to synthesize triglycerides. DGAT1's role in this pathway has implications for how the body manages fat storage and utilization linking it to the regulation of systemic energy levels.

Aberrant DGAT1 activity links to metabolic conditions such as obesity and type 2 diabetes. Alterations in DGAT1 expression can affect lipid storage and mobilization contributing to these disorders. Within this pathogenic context DGAT1 also interacts with proteins like adipose triglyceride lipase which further influences the breakdown of stored triglycerides impacting adipose tissue accumulation and insulin sensitivity.

Product protocols

For this product, it's our understanding that no specific protocols are required. You can visit:

Target data

Catalyzes the terminal and only committed step in triacylglycerol synthesis by using diacylglycerol and fatty acyl CoA as substrates (PubMed : 15834126, PubMed : 19028692, PubMed : 20876538, PubMed : 22493088, PubMed : 28420705). Highly expressed in epithelial cells of the small intestine and its activity is essential for the absorption of dietary fats (By similarity). In liver, plays a role in esterifying exogenous fatty acids to glycerol, and is required to synthesize fat for storage (PubMed : 15834126). Also present in female mammary glands, where it produces fat in the milk (By similarity). May be involved in VLDL (very low density lipoprotein) assembly (By similarity). In contrast to DGAT2 it is not essential for survival (PubMed : 11959864). Functions as the major acyl-CoA retinol acyltransferase (ARAT) in the skin, where it acts to maintain retinoid homeostasis and prevent retinoid toxicity leading to skin and hair disorders (PubMed : 19028692). Exhibits additional acyltransferase activities, includin acyl CoA : monoacylglycerol acyltransferase (MGAT), wax monoester and wax diester synthases (PubMed : 15834126). Also able to use 1-monoalkylglycerol (1-MAkG) as an acyl acceptor for the synthesis of monoalkyl-monoacylglycerol (MAMAG) (PubMed : 28420705).
See full target information Dgat1

Product promise

We are committed to supporting your work with high-quality reagents, and we're here for you every step of the way. In the unlikely event that one of our products does not perform as expected, you're protected by our Product Promise.
For full details, please see our Terms & Conditions

Please note: All products are 'FOR RESEARCH USE ONLY. NOT FOR USE IN DIAGNOSTIC OR THERAPEUTIC PROCEDURES'.

For licensing inquiries, please contact partnerships@abcam.com