JavaScript is disabled in your browser. Please enable JavaScript to view this website.
AB204904

Anti-DGAT2L4 antibody

Be the first to review this product! Submit a review

|

(2 Publications)

Rabbit Polyclonal DGAT2L4 antibody. Suitable for IHC-P and reacts with Human samples. Cited in 2 publications. Immunogen corresponding to Recombinant Fragment Protein within Human AWAT2 aa 200-300.

View Alternative Names

DC4, DGAT2L4, MFAT, WS, AWAT2, Acyl-CoA wax alcohol acyltransferase 2, 11-cis-specific retinyl-ester synthase, Acyl-CoA retinol O-fatty-acyltransferase, Diacylglycerol O-acyltransferase 2-like protein 4, Diacylglycerol O-acyltransferase candidate 4, Long-chain-alcohol O-fatty-acyltransferase 2, Multifunctional O-acyltransferase, Wax synthase, 11-cis-RE-synthase, ARAT, Retinol O-fatty-acyltransferase, hDC4, hWS

3 Images
Immunohistochemistry (Formalin/PFA-fixed paraffin-embedded sections) - Anti-DGAT2L4 antibody (AB204904)
  • IHC-P

Supplier Data

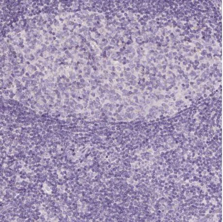
Immunohistochemistry (Formalin/PFA-fixed paraffin-embedded sections) - Anti-DGAT2L4 antibody (AB204904)

Immunohistochemical analysis of human tonsil tissue labeling DGAT2L4 with ab204904 at a 1/1000 dilution. No positivity as expected.

Performed heat mediated antigen retrieval with citrate buffer pH 6 before commencing with IHC staining protocol.

Immunohistochemistry (Formalin/PFA-fixed paraffin-embedded sections) - Anti-DGAT2L4 antibody (AB204904)
  • IHC-P

Supplier Data

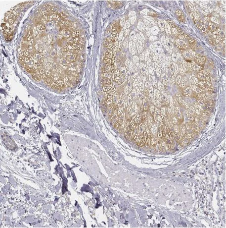
Immunohistochemistry (Formalin/PFA-fixed paraffin-embedded sections) - Anti-DGAT2L4 antibody (AB204904)

Immunohistochemical analysis of human skin tissue labeling DGAT2L4 in the cytoplasm of cells in sebaceous gland with ab204904 at a 1/1000 dilution.

Performed heat mediated antigen retrieval with citrate buffer pH 6 before commencing with IHC staining protocol.

Immunohistochemistry (Formalin/PFA-fixed paraffin-embedded sections) - Anti-DGAT2L4 antibody (AB204904)
  • IHC-P

Supplier Data

Immunohistochemistry (Formalin/PFA-fixed paraffin-embedded sections) - Anti-DGAT2L4 antibody (AB204904)

Immunohistochemical analysis of human tonsil tissue labeling DGAT2L4 with ab204904 at a 1/1000 dilution. No positivity as expected.

Performed heat mediated antigen retrieval with citrate buffer pH 6 before commencing with IHC staining protocol.

Key facts

Host species

Rabbit

Clonality

Polyclonal

Isotype

IgG

Carrier free

No

Reacts with

Human

Applications

IHC-P

applications

Immunogen

Recombinant Fragment Protein within Human AWAT2 aa 200-300. The exact immunogen used to generate this antibody is proprietary information.

Q6E213

Reactivity data

{ "title": "Reactivity Data", "filters": { "stats": ["", "Species", "Dilution Info", "Notes"], "tabs": { "all-applications": {"fullname" : "All Applications", "shortname": "All Applications"}, "IHCP" : {"fullname" : "Immunohistochemistry (Formalin/PFA-fixed paraffin-embedded sections)", "shortname":"IHC-P"} }, "product-promise": { "all": "all", "testedAndGuaranteed": "tested", "guaranteed": "expected", "predicted": "predicted", "notRecommended": "not-recommended" } }, "values": { "Human": { "IHCP-species-checked": "testedAndGuaranteed", "IHCP-species-dilution-info": "1/1000 - 1/2500", "IHCP-species-notes": "<p></p> Perform heat-mediated antigen retrieval with citrate buffer pH 6 before commencing with IHC staining protocol." }, "Mouse": { "IHCP-species-checked": "predicted", "IHCP-species-dilution-info": "", "IHCP-species-notes": "" } } }

Properties and storage information

Form
Liquid
Purification technique
Affinity purification Immunogen
Storage buffer
pH: 7.2 Preservative: 0.02% Sodium azide Constituents: PBS, 40% Glycerol (glycerin, glycerine)
Shipped at conditions
Blue Ice
Appropriate short-term storage duration
1-2 weeks
Appropriate short-term storage conditions
+4°C
Appropriate long-term storage conditions
-20°C
Aliquoting information
Upon delivery aliquot
Storage information
Avoid freeze / thaw cycle

Supplementary information

This supplementary information is collated from multiple sources and compiled automatically.

DGAT2L4 a member of the diacylglycerol acyltransferase (DGAT) family catalyzes the final step in triglyceride biosynthesis by converting diglycerides and fatty acyl-CoA to triglycerides. This enzymatic function is critical for lipid metabolism and energy storage. The molecular mass of DGAT2L4 is approximately 58 kDa. It expresses in several tissues including liver adipose tissue and muscle indicating its role in lipid deposition and storage processes.
Biological function summary

Diacylglycerol acyltransferase homologue is important in maintaining lipid homeostasis and membrane phospholipid composition. DGAT2L4 is involved in the synthesis of triglycerides an important component of cellular energy reserve and metabolism. It is a part of a complex lipid synthesis network which helps regulate cellular lipid levels and influences metabolic pathways relevant to energy balance.

Pathways

DGAT2L4 operates prominently within the triglyceride biosynthesis and lipid metabolism pathways. Within these pathways it interacts with other enzymes like DGAT1 which shares a similar role but might differ in regulatory mechanisms. These pathways contribute to lipid homeostasis and are fundamental for processes such as lipogenesis and energy production in cells.

Dysfunction in DGAT2L4 activity associates with metabolic conditions like obesity and type 2 diabetes. Altered triglyceride synthesis can influence systemic lipid profiles contributing to pathophysiological states linked with metabolic disorders. In these contexts DGAT2L4 may interact or influence the performance of proteins such as PPARG an important regulator of adipogenesis and insulin sensitivity highlighting its relevance in metabolic health.

Product protocols

For this product, it's our understanding that no specific protocols are required. You can visit:

Target data

Acyltransferase that catalyzes the formation of ester bonds between fatty alcohols and fatty acyl-CoAs to form wax monoesters (PubMed : 15220349, PubMed : 15671038, PubMed : 16106050, PubMed : 28420705). Shows a preference for medium chain acyl-CoAs from C12 to C16 in length and fatty alcohols shorter than C20, as the acyl donors and acceptors, respectively (PubMed : 15220349, PubMed : 15671038). Also possesses acyl-CoA retinol acyltransferase (ARAT) activity that preferentially esterifies 11-cis-retinol, a chromophore precursor of bleached opsin pigments in cone cells (PubMed : 16106050, PubMed : 24799687). Shows higher catalytic efficiency toward 11-cis-retinol versus 9-cis-retinol, 13-cis-retinol, and all-trans-retinol substrates (PubMed : 24799687).
See full target information AWAT2

Publications (2)

Recent publications for all applications. Explore the full list and refine your search

The ocular surface 23:60-70 PubMed34838721

2021

Expression of Acyl-CoA wax-alcohol acyltransferase 2 (AWAT2) by human and rabbit meibomian glands and meibocytes.

Applications

Unspecified application

Species

Unspecified reactive species

Chang Rae Rho,Sun Woong Kim,Shelley Lane,Fangyuna Gao,Jinseor Kim,Yilu Xie,Donald J Brown,Dorota Skowronska-Krawczyk,James V Jester

Nature communications 9:3425 PubMed30143626

2018

JunB defines functional and structural integrity of the epidermo-pilosebaceous unit in the skin.

Applications

Unspecified application

Species

Unspecified reactive species

Karmveer Singh,Emanuela Camera,Linda Krug,Abhijit Basu,Rajeev Kumar Pandey,Saira Munir,Meinhard Wlaschek,Stefan Kochanek,Marina Schorpp-Kistner,Mauro Picardo,Peter Angel,Catherin Niemann,Pallab Maity,Karin Scharffetter-Kochanek
View all publications

Product promise

We are committed to supporting your work with high-quality reagents, and we're here for you every step of the way. In the unlikely event that one of our products does not perform as expected, you're protected by our Product Promise.
For full details, please see our Terms & Conditions

Please note: All products are 'FOR RESEARCH USE ONLY. NOT FOR USE IN DIAGNOSTIC OR THERAPEUTIC PROCEDURES'.

For licensing inquiries, please contact partnerships@abcam.com