JavaScript is disabled in your browser. Please enable JavaScript to view this website.
AB197249

Anti-DGKA antibody

Be the first to review this product! Submit a review

|

(1 Publication)

Rabbit Polyclonal DGKA antibody. Suitable for WB, IHC-P and reacts with Human samples. Cited in 1 publication. Immunogen corresponding to Recombinant Fragment Protein within Human DGKA aa 100-350.

View Alternative Names

DAGK, DAGK1, DGKA, Diacylglycerol kinase alpha, DAG kinase alpha, 80 kDa diacylglycerol kinase, Diglyceride kinase alpha, DGK-alpha

2 Images
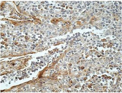
Immunohistochemistry (Formalin/PFA-fixed paraffin-embedded sections) - Anti-DGKA antibody (AB197249)
  • IHC-P

Supplier Data

Immunohistochemistry (Formalin/PFA-fixed paraffin-embedded sections) - Anti-DGKA antibody (AB197249)

Immunohistochemical analysis of formalin-fixed paraffin-embedded Human fetal tonsil tissue labeling DGKA with ab197249 at 1/100.

Western blot - Anti-DGKA antibody (AB197249)
  • WB

Supplier Data

Western blot - Anti-DGKA antibody (AB197249)

All lanes:

Western blot - Anti-DGKA antibody (ab197249) at 1/500 dilution

Lane 1:

Jurkat lysate

Lane 2:

HeLa lysate

Predicted band size: 83 kDa

false

Key facts

Host species

Rabbit

Clonality

Polyclonal

Isotype

IgG

Carrier free

No

Reacts with

Human

Applications

IHC-P, WB

applications

Immunogen

Recombinant Fragment Protein within Human DGKA aa 100-350. The exact immunogen used to generate this antibody is proprietary information.

P23743

Reactivity data

{ "title": "Reactivity Data", "filters": { "stats": ["", "Species", "Dilution Info", "Notes"], "tabs": { "all-applications": {"fullname" : "All Applications", "shortname": "All Applications"}, "WB" : {"fullname" : "Western blot", "shortname":"WB"}, "IHCP" : {"fullname" : "Immunohistochemistry (Formalin/PFA-fixed paraffin-embedded sections)", "shortname":"IHC-P"} }, "product-promise": { "all": "all", "testedAndGuaranteed": "tested", "guaranteed": "expected", "predicted": "predicted", "notRecommended": "not-recommended" } }, "values": { "Human": { "WB-species-checked": "testedAndGuaranteed", "WB-species-dilution-info": "1/200 - 1/1000", "WB-species-notes": "<p></p>", "IHCP-species-checked": "testedAndGuaranteed", "IHCP-species-dilution-info": "1/100 - 1/500", "IHCP-species-notes": "<p></p>" }, "Rat": { "WB-species-checked": "predicted", "WB-species-dilution-info": "", "WB-species-notes": "", "IHCP-species-checked": "predicted", "IHCP-species-dilution-info": "", "IHCP-species-notes": "" }, "Cow": { "WB-species-checked": "predicted", "WB-species-dilution-info": "", "WB-species-notes": "", "IHCP-species-checked": "predicted", "IHCP-species-dilution-info": "", "IHCP-species-notes": "" }, "Pig": { "WB-species-checked": "predicted", "WB-species-dilution-info": "", "WB-species-notes": "", "IHCP-species-checked": "predicted", "IHCP-species-dilution-info": "", "IHCP-species-notes": "" } } }

Properties and storage information

Form
Lyophilized
Reconstitution
reconstitute with water at 200µL
Purification technique
Affinity purification Immunogen
Storage buffer
pH: 7.2 Preservative: 0.02% Sodium azide Constituents: 98% PBS, 1% BSA
Shipped at conditions
Blue Ice
Appropriate short-term storage duration
1-2 weeks
Appropriate short-term storage conditions
+4°C
Appropriate long-term storage conditions
-20°C
Aliquoting information
Upon delivery aliquot
Storage information
Avoid freeze / thaw cycle

Supplementary information

This supplementary information is collated from multiple sources and compiled automatically.

DGKA also known as diacylglycerol kinase alpha plays an important role in the conversion of diacylglycerol (DAG) to phosphatidic acid (PA) by transferring a phosphate group from ATP. This enzymatic process regulates levels of DAG and PA which are critical molecules for signaling processes. DGKA has a molecular weight of approximately 80 kDa. Expression of DGKA occurs in various tissues with notable presence in the brain and immune system highlighting its significance in neurological and immunological functions.
Biological function summary

DGKA modulates multiple signaling pathways by controlling the availability of DAG and PA essential intermediates in intracellular signaling. It operates as part of a complex that interacts with various phosphorylated proteins to affect downstream signaling. The enzyme influences cellular processes such as proliferation differentiation and apoptosis by modulating DAG-dependent signaling pathways.

Pathways

DGKA integrates into significant signaling cascades including the PI3K/Akt and MAPK pathways. In the PI3K/Akt pathway DGKA modulates the activity of proteins like PKC through its DAG-regulating function. Alternatively in the MAPK pathway it influences protein phosphorylation through effects on upstream kinases. This regulation highlights the enzyme's role in critical cell fate decisions.

DGKA has associations with certain cancers and immune-related diseases. Aberrant DGKA activity links to oncogenic processes influencing tumor growth and progression via its impact on the PI3K/Akt pathway. In immune disorders dysregulated DGKA activity connects to excessive inflammation affecting proteins such as PKC that are involved in immune responses. Understanding DGKA's role in these diseases could drive new therapeutic strategies.

Product protocols

For this product, it's our understanding that no specific protocols are required. You can visit:

Target data

Diacylglycerol kinase that converts diacylglycerol/DAG into phosphatidic acid/phosphatidate/PA and regulates the respective levels of these two bioactive lipids (PubMed : 15544348, PubMed : 2175712). Thereby, acts as a central switch between the signaling pathways activated by these second messengers with different cellular targets and opposite effects in numerous biological processes (PubMed : 15544348, PubMed : 2175712). Also plays an important role in the biosynthesis of complex lipids (Probable). Can also phosphorylate 1-alkyl-2-acylglycerol in vitro as efficiently as diacylglycerol provided it contains an arachidonoyl group (PubMed : 15544348). Also involved in the production of alkyl-lysophosphatidic acid, another bioactive lipid, through the phosphorylation of 1-alkyl-2-acetyl glycerol (PubMed : 22627129).
See full target information DGKA

Publications (1)

Recent publications for all applications. Explore the full list and refine your search

Scientific reports 5:17499 PubMed26639561

2015

BIM and mTOR expression levels predict outcome to erlotinib in EGFR-mutant non-small-cell lung cancer.

Applications

WB

Species

Human

Niki Karachaliou,Jordi Codony-Servat,Cristina Teixidó,Sara Pilotto,Ana Drozdowskyj,Carles Codony-Servat,Ana Giménez-Capitán,Miguel Angel Molina-Vila,Jordi Bertrán-Alamillo,Radj Gervais,Bartomeu Massuti,Teresa Morán,Margarita Majem,Enriqueta Felip,Enric Carcereny,Rosario García-Campelo,Santiago Viteri,María González-Cao,Daniela Morales-Espinosa,Alberto Verlicchi,Elisabetta Crisetti,Imane Chaib,Mariacarmela Santarpia,José Luis Ramírez,Joaquim Bosch-Barrera,Andrés Felipe Cardona,Filippo de Marinis,Guillermo López-Vivanco,José Miguel Sánchez,Alain Vergnenegre,José Javier Sánchez Hernández,Isabella Sperduti,Emilio Bria,Rafael Rosell
View all publications

Product promise

We are committed to supporting your work with high-quality reagents, and we're here for you every step of the way. In the unlikely event that one of our products does not perform as expected, you're protected by our Product Promise.
For full details, please see our Terms & Conditions

Please note: All products are 'FOR RESEARCH USE ONLY. NOT FOR USE IN DIAGNOSTIC OR THERAPEUTIC PROCEDURES'.

For licensing inquiries, please contact partnerships@abcam.com