JavaScript is disabled in your browser. Please enable JavaScript to view this website.
AB269459

Anti-DGKA antibody [EPR23176-101] - BSA and Azide free

Be the first to review this product! Submit a review

|

(0 Publication)

Rabbit Recombinant Monoclonal DGKA antibody. Carrier free. Suitable for IP, WB, IHC-P and reacts with Human samples.

View Alternative Names

DAGK, DAGK1, DGKA, Diacylglycerol kinase alpha, DAG kinase alpha, 80 kDa diacylglycerol kinase, Diglyceride kinase alpha, DGK-alpha

3 Images
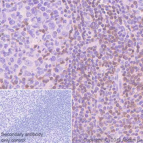
Immunohistochemistry (Formalin/PFA-fixed paraffin-embedded sections) - Anti-DGKA antibody [EPR23176-101] - BSA and Azide free (AB269459)
  • IHC-P

Unknown

Immunohistochemistry (Formalin/PFA-fixed paraffin-embedded sections) - Anti-DGKA antibody [EPR23176-101] - BSA and Azide free (AB269459)

Immunohistochemical analysis of paraffin-embedded Human tonsil tissue labeling DGKA with ab243647 at 1/4000 dilution (0.163 ug/ml) followed by a ready to use Rabbit specific IHC polymer detection kit HRP/DAB (ab209101). Positive staining on T cells of human tonsil. The section was incubated with ab243647 for 30 mins at room temperature. The immunostaining was performed on a Leica Biosystems BOND® RX instrument. Counterstained with Hematoxylin.

Secondary antibody only control : Secondary antibody is a ready to use Rabbit specific IHC polymer detection kit HRP/DAB (ab209101).

Heat mediated antigen retrieval with Tris-EDTA buffer (pH 9.0, epitope retrieval solution 2) for 20 mins.

This data was developed using the same antibody clone in a different buffer formulation containing PBS, BSA, glycerol, and sodium azide (ab243647).

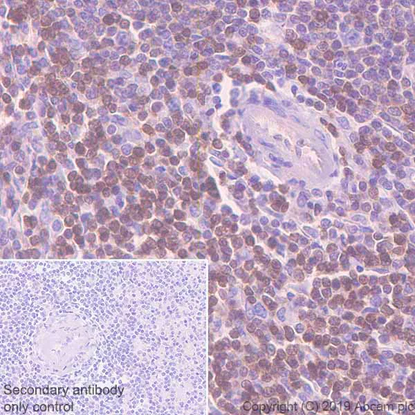
Immunohistochemistry (Formalin/PFA-fixed paraffin-embedded sections) - Anti-DGKA antibody [EPR23176-101] - BSA and Azide free (AB269459)
  • IHC-P

Unknown

Immunohistochemistry (Formalin/PFA-fixed paraffin-embedded sections) - Anti-DGKA antibody [EPR23176-101] - BSA and Azide free (AB269459)

Immunohistochemical analysis of paraffin-embedded Human spleen tissue labeling DGKA with ab243647 at 1/4000 dilution (0.163 ug/ml) followed by a ready to use Rabbit specific IHC polymer detection kit HRP/DAB (ab209101). Positive staining on human spleen is observed. The section was incubated with ab243647 for 30 mins at room temperature. The immunostaining was performed on a Leica Biosystems BOND® RX instrument. Counterstained with Hematoxylin.

Secondary antibody only control : Secondary antibody is a ready to use Rabbit specific IHC polymer detection kit HRP/DAB (ab209101).

Heat mediated antigen retrieval with Tris-EDTA buffer (pH 9.0, epitope retrieval solution 2) for 20 mins.

This data was developed using the same antibody clone in a different buffer formulation containing PBS, BSA, glycerol, and sodium azide (ab243647).

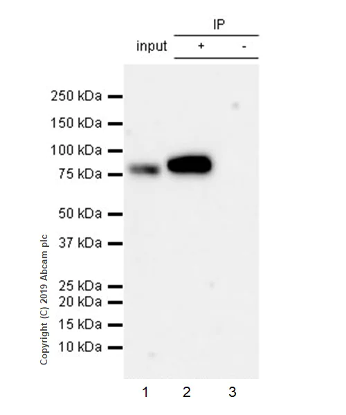
Immunoprecipitation - Anti-DGKA antibody [EPR23176-101] - BSA and Azide free (AB269459)
  • IP

Unknown

Immunoprecipitation - Anti-DGKA antibody [EPR23176-101] - BSA and Azide free (AB269459)

DGKA was immunoprecipitated from 0.35 mg Jurkat (human T cell leukemia T lymphocyte) whole cell lysate with ab243647 at 1/30 dilution (2ug in 0.35mg lysates). Western blot was performed on the immunoprecipitate using ab243647 at 1/1000 dilution. VeriBlot for IP Detection Reagent (HRP) (ab131366) was used at 1/5000 dilution.

Lane 1 : Jurkat (human T cell leukemia T lymphocyte) whole cell lysate 10ug

Lane 2 : ab243647 IP in Jurkat whole cell lysate

Lane 3 : Rabbit monoclonal IgG (ab172730) instead of ab243647 in Jurkat whole cell lysate

Blocking and dilution buffer and concentration : 5% NFDM/TBST.

Exposure time : 40 seconds.

This data was developed using the same antibody clone in a different buffer formulation containing PBS, BSA, glycerol, and sodium azide (ab243647).

All lanes:

Immunoprecipitation - Anti-DGKA antibody [EPR23176-101] (<a href='/en-us/products/primary-antibodies/dgka-antibody-epr23176-101-ab243647'>ab243647</a>)

Predicted band size: 83 kDa

Observed band size: 83 kDa

false

Key facts

Host species

Rabbit

Clonality

Monoclonal

Clone number

EPR23176-101

Isotype

IgG

Carrier free

Yes

Reacts with

Human

Applications

IHC-P, IP, WB

applications

Immunogen

The exact immunogen used to generate this antibody is proprietary information.

Reactivity data

{ "title": "Reactivity Data", "filters": { "stats": ["", "Species", "Dilution Info", "Notes"], "tabs": { "all-applications": {"fullname" : "All Applications", "shortname": "All Applications"}, "IP" : {"fullname" : "Immunoprecipitation", "shortname":"IP"}, "FlowCyt" : {"fullname" : "Flow Cytometry", "shortname":"Flow Cyt"}, "WB" : {"fullname" : "Western blot", "shortname":"WB"}, "ICCIF" : {"fullname" : "Immunocytochemistry/ Immunofluorescence", "shortname":"ICC/IF"}, "IHCP" : {"fullname" : "Immunohistochemistry (Formalin/PFA-fixed paraffin-embedded sections)", "shortname":"IHC-P"} }, "product-promise": { "all": "all", "testedAndGuaranteed": "tested", "guaranteed": "expected", "predicted": "predicted", "notRecommended": "not-recommended" } }, "values": { "Human": { "IP-species-checked": "testedAndGuaranteed", "IP-species-dilution-info": "", "IP-species-notes": "<p></p>", "FlowCyt-species-checked": "notRecommended", "FlowCyt-species-dilution-info": "", "FlowCyt-species-notes": "<p></p>", "WB-species-checked": "guaranteed", "WB-species-dilution-info": "", "WB-species-notes": "<p></p>", "ICCIF-species-checked": "notRecommended", "ICCIF-species-dilution-info": "", "ICCIF-species-notes": "<p></p>", "IHCP-species-checked": "testedAndGuaranteed", "IHCP-species-dilution-info": "", "IHCP-species-notes": "<p></p> Perform heat-mediated antigen retrieval with Tris/EDTA buffer pH 9.0 before commencing with IHC staining protocol." }, "Mouse": { "IP-species-checked": "notRecommended", "IP-species-dilution-info": "", "IP-species-notes": "", "FlowCyt-species-checked": "notRecommended", "FlowCyt-species-dilution-info": "", "FlowCyt-species-notes": "", "WB-species-checked": "notRecommended", "WB-species-dilution-info": "", "WB-species-notes": "", "ICCIF-species-checked": "notRecommended", "ICCIF-species-dilution-info": "", "ICCIF-species-notes": "<p></p>", "IHCP-species-checked": "notRecommended", "IHCP-species-dilution-info": "", "IHCP-species-notes": "<p></p> Perform heat-mediated antigen retrieval with Tris/EDTA buffer pH 9.0 before commencing with IHC staining protocol." }, "Rat": { "IP-species-checked": "notRecommended", "IP-species-dilution-info": "", "IP-species-notes": "", "FlowCyt-species-checked": "notRecommended", "FlowCyt-species-dilution-info": "", "FlowCyt-species-notes": "", "WB-species-checked": "notRecommended", "WB-species-dilution-info": "", "WB-species-notes": "", "ICCIF-species-checked": "notRecommended", "ICCIF-species-dilution-info": "", "ICCIF-species-notes": "", "IHCP-species-checked": "notRecommended", "IHCP-species-dilution-info": "", "IHCP-species-notes": "<p></p> Perform heat-mediated antigen retrieval with Tris/EDTA buffer pH 9.0 before commencing with IHC staining protocol." } } }

Product details

ab269459 is the carrier-free version of ab243647.

Patented technology
Our RabMAb® technology is a patented hybridoma-based technology for making rabbit monoclonal antibodies. For details on our patents, please refer to RabMAb® patents.

What are the advantages of a recombinant monoclonal antibody?
This product is a recombinant monoclonal antibody, which offers several advantages including:

  • - High batch-to-batch consistency and reproducibility
  • - Improved sensitivity and specificity
  • - Long-term security of supply
  • - Animal-free batch production

For more information, read more on recombinant antibodies.

Conjugation ready
Our carrier-free antibodies are typically supplied in a PBS-only formulation, purified and free of BSA, sodium azide and glycerol. This conjugation-ready format is designed for use with fluorochromes, metal isotopes, oligonucleotides, and enzymes, which makes them ideal for antibody labelling, functional and cell-based assays, flow-based assays (e.g. mass cytometry) and Multiplex Imaging applications.

Use our conjugation kits for antibody conjugates that are ready-to-use in as little as 20 minutes with 1 minute hands-on-time and 100% antibody recovery: available for fluorescent dyes, HRP, biotin and gold.

Compatibility
This product is compatible with the Maxpar® Antibody Labeling Kit from Fluidigm, without the need for antibody preparation. Maxpar® is a trademark of Fluidigm Canada Inc.

Properties and storage information

Form
Liquid
Purification technique
Affinity purification Protein A
Storage buffer
pH: 7.2 - 7.4 Constituents: PBS
Shipped at conditions
Blue Ice
Appropriate short-term storage conditions
+4°C
Appropriate long-term storage conditions
+4°C
Storage information
Do Not Freeze

Supplementary information

This supplementary information is collated from multiple sources and compiled automatically.

DGKA also known as diacylglycerol kinase alpha plays an important role in the conversion of diacylglycerol (DAG) to phosphatidic acid (PA) by transferring a phosphate group from ATP. This enzymatic process regulates levels of DAG and PA which are critical molecules for signaling processes. DGKA has a molecular weight of approximately 80 kDa. Expression of DGKA occurs in various tissues with notable presence in the brain and immune system highlighting its significance in neurological and immunological functions.
Biological function summary

DGKA modulates multiple signaling pathways by controlling the availability of DAG and PA essential intermediates in intracellular signaling. It operates as part of a complex that interacts with various phosphorylated proteins to affect downstream signaling. The enzyme influences cellular processes such as proliferation differentiation and apoptosis by modulating DAG-dependent signaling pathways.

Pathways

DGKA integrates into significant signaling cascades including the PI3K/Akt and MAPK pathways. In the PI3K/Akt pathway DGKA modulates the activity of proteins like PKC through its DAG-regulating function. Alternatively in the MAPK pathway it influences protein phosphorylation through effects on upstream kinases. This regulation highlights the enzyme's role in critical cell fate decisions.

DGKA has associations with certain cancers and immune-related diseases. Aberrant DGKA activity links to oncogenic processes influencing tumor growth and progression via its impact on the PI3K/Akt pathway. In immune disorders dysregulated DGKA activity connects to excessive inflammation affecting proteins such as PKC that are involved in immune responses. Understanding DGKA's role in these diseases could drive new therapeutic strategies.

Product protocols

For this product, it's our understanding that no specific protocols are required. You can visit:

Target data

Diacylglycerol kinase that converts diacylglycerol/DAG into phosphatidic acid/phosphatidate/PA and regulates the respective levels of these two bioactive lipids (PubMed : 15544348, PubMed : 2175712). Thereby, acts as a central switch between the signaling pathways activated by these second messengers with different cellular targets and opposite effects in numerous biological processes (PubMed : 15544348, PubMed : 2175712). Also plays an important role in the biosynthesis of complex lipids (Probable). Can also phosphorylate 1-alkyl-2-acylglycerol in vitro as efficiently as diacylglycerol provided it contains an arachidonoyl group (PubMed : 15544348). Also involved in the production of alkyl-lysophosphatidic acid, another bioactive lipid, through the phosphorylation of 1-alkyl-2-acetyl glycerol (PubMed : 22627129).
See full target information DGKA

Product promise

We are committed to supporting your work with high-quality reagents, and we're here for you every step of the way. In the unlikely event that one of our products does not perform as expected, you're protected by our Product Promise.
For full details, please see our Terms & Conditions

Please note: All products are 'FOR RESEARCH USE ONLY. NOT FOR USE IN DIAGNOSTIC OR THERAPEUTIC PROCEDURES'.

For licensing inquiries, please contact partnerships@abcam.com