JavaScript is disabled in your browser. Please enable JavaScript to view this website.
AB239024

Anti-DGKE antibody

Be the first to review this product! Submit a review

|

(2 Publications)

Rabbit Polyclonal DGKE antibody. Suitable for IHC-P and reacts with Human samples. Cited in 2 publications. Immunogen corresponding to Recombinant Fragment Protein within Human DGKE aa 1-300.

View Alternative Names

DAGK5, DGKE, Diacylglycerol kinase epsilon, DAG kinase epsilon, Diglyceride kinase epsilon, DGK-epsilon

2 Images
Immunohistochemistry (Formalin/PFA-fixed paraffin-embedded sections) - Anti-DGKE antibody (AB239024)
  • IHC-P

Supplier Data

Immunohistochemistry (Formalin/PFA-fixed paraffin-embedded sections) - Anti-DGKE antibody (AB239024)

Paraffin-embedded human breast cancer tissue stained for DGKE using ab239024 at 1/100 dilution in immunohistochemical analysis.

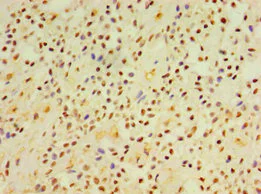
Immunohistochemistry (Formalin/PFA-fixed paraffin-embedded sections) - Anti-DGKE antibody (AB239024)
  • IHC-P

Supplier Data

Immunohistochemistry (Formalin/PFA-fixed paraffin-embedded sections) - Anti-DGKE antibody (AB239024)

Paraffin-embedded human testis tissue stained for DGKE using ab239024 at 1/100 dilution in immunohistochemical analysis.

Key facts

Host species

Rabbit

Clonality

Polyclonal

Isotype

IgG

Carrier free

No

Reacts with

Human

Applications

IHC-P

applications

Immunogen

Recombinant Fragment Protein within Human DGKE aa 1-300. The exact immunogen used to generate this antibody is proprietary information.

P52429

Reactivity data

{ "title": "Reactivity Data", "filters": { "stats": ["", "Species", "Dilution Info", "Notes"], "tabs": { "all-applications": {"fullname" : "All Applications", "shortname": "All Applications"}, "IHCP" : {"fullname" : "Immunohistochemistry (Formalin/PFA-fixed paraffin-embedded sections)", "shortname":"IHC-P"} }, "product-promise": { "all": "all", "testedAndGuaranteed": "tested", "guaranteed": "expected", "predicted": "predicted", "notRecommended": "not-recommended" } }, "values": { "Human": { "IHCP-species-checked": "testedAndGuaranteed", "IHCP-species-dilution-info": "1/20 - 1/200", "IHCP-species-notes": "<p></p>" }, "Mouse": { "IHCP-species-checked": "predicted", "IHCP-species-dilution-info": "", "IHCP-species-notes": "" } } }

Properties and storage information

Form
Liquid
Purification technique
Affinity purification Immunogen
Storage buffer
pH: 7.3 Preservative: 0.02% Sodium azide Constituents: PBS, 50% Glycerol (glycerin, glycerine)
Shipped at conditions
Blue Ice
Appropriate short-term storage duration
1-2 weeks
Appropriate short-term storage conditions
+4°C
Appropriate long-term storage conditions
-20°C
Aliquoting information
Upon delivery aliquot
Storage information
Avoid freeze / thaw cycle

Supplementary information

This supplementary information is collated from multiple sources and compiled automatically.

DGKE also known as diacylglycerol kinase epsilon is an enzyme that catalyzes the phosphorylation of diacylglycerol (DAG) to produce phosphatidic acid. DGKE has a molecular mass of approximately 63 kDa. It shows expression in multiple tissues with notable presence in kidney placenta and lung. In particular DGKE is found in endothelial cells and certain immune cells. DGKE functions as a significant regulator of lipid signaling influencing the balance of diacylglycerol and phosphatidic acid within cells.
Biological function summary

DGKE plays an important role in cellular signaling processes that involve DAG and phosphatidic acid. It is not known to be a component of a larger complex but acts independently to mediate its functions. By regulating DAG levels DGKE impacts several cellular processes such as membrane trafficking cytoskeletal reorganization and activation of protein kinase C. The enzyme also contributes to controlling cell growth and apoptosis by modulating downstream signaling pathways.

Pathways

DGKE is significantly involved in the phosphoinositide signaling pathway and the glycerophospholipid metabolism pathway. In these pathways DGKE interacts with other DAG kinases and phospholipase C. Through these interactions DGKE influences the generation of inositol trisphosphate and diacylglycerol which are important second messengers. Its role supports cellular responses to external stimuli thereby affecting cell proliferation differentiation and survival.

DGKE mutations have been linked to nephrotic syndrome particularly a type associated with early-onset disease called DGKE-associated nephrotic syndrome. Moreover DGKE is connected to thrombosis because its deficiency can lead to abnormal blood clotting. CD2AP another protein involved in the actin cytoskeleton and important for kidney function interacts with DGKE and is often studied together in the context of glomerular diseases. DGKE's relationship with these conditions highlights its importance in vascular and kidney health.

Product protocols

For this product, it's our understanding that no specific protocols are required. You can visit:

Target data

Membrane-bound diacylglycerol kinase that converts diacylglycerol/DAG into phosphatidic acid/phosphatidate/PA and regulates the respective levels of these two bioactive lipids (PubMed : 15544348, PubMed : 19744926, PubMed : 21477596, PubMed : 22108654, PubMed : 23949095). Thereby, acts as a central switch between the signaling pathways activated by these second messengers with different cellular targets and opposite effects in numerous biological processes (PubMed : 15544348, PubMed : 8626589). Also plays an important role in the biosynthesis of complex lipids (PubMed : 8626589). Displays specificity for diacylglycerol substrates with an arachidonoyl acyl chain at the sn-2 position, with the highest activity toward 1-octadecanoyl-2-(5Z,8Z,11Z,14Z-eicosatetraenoyl)-sn-glycerol the main diacylglycerol intermediate within the phosphatidylinositol turnover cycle (PubMed : 19744926, PubMed : 22108654, PubMed : 23274426). Can also phosphorylate diacylglycerol substrates with a linoleoyl acyl chain at the sn-2 position but much less efficiently (PubMed : 22108654).
See full target information DGKE

Publications (2)

Recent publications for all applications. Explore the full list and refine your search

Frontiers in pharmacology 15:1336282 PubMed38576477

2024

PPARδ agonist protects against osteoarthritis by activating AKT/mTOR signaling pathway-mediated autophagy.

Applications

Unspecified application

Species

Unspecified reactive species

Guantong Sun,Xiaodong Li,Pengcheng Liu,Yao Wang,Cheng Yang,Shuhong Zhang,Lei Wang,Xiaoqing Wang

Renal failure 44:902-913 PubMed35616094

2022

Diacylglycerol kinase epsilon protects against renal ischemia/reperfusion injury in mice through Krüppel-like factor 15/klotho pathway.

Applications

Unspecified application

Species

Unspecified reactive species

Ziying Wang,Zhuanli Zhou,Yanan Zhang,Fuwen Zuo,Junyao Du,Mingwei Wang,Muchen Hu,Yu Sun,Xiaojie Wang,Min Liu,Yan Zhang,Wei Tang,Fan Yi
View all publications

Product promise

We are committed to supporting your work with high-quality reagents, and we're here for you every step of the way. In the unlikely event that one of our products does not perform as expected, you're protected by our Product Promise.
For full details, please see our Terms & Conditions

Please note: All products are 'FOR RESEARCH USE ONLY. NOT FOR USE IN DIAGNOSTIC OR THERAPEUTIC PROCEDURES'.

For licensing inquiries, please contact partnerships@abcam.com