JavaScript is disabled in your browser. Please enable JavaScript to view this website.
AB239790

Anti-DGKZ/DGK-zeta antibody [EPR22040-80] - BSA and Azide free

  • BOND RX™ Validated
  • RabMAb
  • Advanced Validation
  • Recombinant
  • What is this?

Be the first to review this product! Submit a review

|

(0 Publication)

Rabbit Recombinant Monoclonal DGKZ/DGK-zeta antibody. Carrier free. Suitable for mIHC, WB, ICC/IF, Flow Cyt (Intra), IHC-P and reacts with Human, Mouse, Rat samples.

View Alternative Names

DAGK6, DGKZ, Diacylglycerol kinase zeta, DAG kinase zeta, Diglyceride kinase zeta, DGK-zeta

7 Images
Immunohistochemistry (Formalin/PFA-fixed paraffin-embedded sections) - Anti-DGKZ/DGK-zeta antibody [EPR22040-80] - BSA and Azide free (AB239790)
  • IHC-P

Supplier Data

Immunohistochemistry (Formalin/PFA-fixed paraffin-embedded sections) - Anti-DGKZ/DGK-zeta antibody [EPR22040-80] - BSA and Azide free (AB239790)

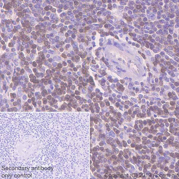
Immunohistochemical analysis of paraffin-embedded human tonsil tissue labeling DGKZ/DGK-zeta with ab239081 at 1/4000 dilution, followed by Goat Anti-Rabbit IgG H&L (HRP) Ready to use. Cytoplasmic staining on subset of immune cells in human tonsil (PMID : 24573202) is observed. Counter stained with Hematoxylin.

Secondary antibody only control : Used PBS instead of primary antibody, secondary antibody is Goat Anti-Rabbit IgG H&L (HRP) Ready to use.

This data was developed using the same antibody clone in a different buffer formulation containing PBS, BSA, glycerol, and sodium azide (ab239081).

Perform heat mediated antigen retrieval with Tris/EDTA buffer pH 9.0 before commencing with IHC staining protocol.

Flow Cytometry (Intracellular) - Anti-DGKZ/DGK-zeta antibody [EPR22040-80] - BSA and Azide free (AB239790)
  • Flow Cyt (Intra)

Unknown

Flow Cytometry (Intracellular) - Anti-DGKZ/DGK-zeta antibody [EPR22040-80] - BSA and Azide free (AB239790)

Intracellular flow cytometric analysis of 4% paraformaldehyde-fixed, 90% methanol permeabilized Jurkat (human T cell leukemia cell line from peripheral blood) cell line labeling DGKZ / DGK-zeta with ab239081 at 1/600 (red) compared with a Rabbit IgG, monoclonal [EPR25A] - Isotype Control (ab172730) (black) and an unlabeled control (cells without incubation with primary antibody and secondary antibody) (blue). Goat Anti-Rabbit IgG H&L (Alexa Fluor® 488) (ab150077) at 1/2000 dilution was used as the secondary antibody.

This data was developed using the same antibody clone in a different buffer formulation containing PBS, BSA, glycerol, and sodium azide (ab239081).

Immunocytochemistry/ Immunofluorescence - Anti-DGKZ/DGK-zeta antibody [EPR22040-80] - BSA and Azide free (AB239790)
  • ICC/IF

Supplier Data

Immunocytochemistry/ Immunofluorescence - Anti-DGKZ/DGK-zeta antibody [EPR22040-80] - BSA and Azide free (AB239790)

Immunofluorescent analysis of 100% methanol-fixed Jurkat (human T cell leukemia cell line from peripheral blood) cells labeling DGKZ/DGK-zeta with ab239081 at 1/50 dilution, followed by Goat Anti-Rabbit IgG H&L (Alexa Fluor® 488) (ab150077) secondary antibody at 1/1000 dilution (green).

Confocal image showing cytoplasmic staining in Jurkat cell line.

Methanol is recommended for fixation as weak signal was observed using 4% PFA.

The nuclear counter stain is DAPI (blue). Tubulin is detected with Anti-alpha Tubulin antibody [DM1A] - Microtubule Marker (Alexa Fluor® 594) (ab195889) (red) at 1/200 dilution.

Secondary antibody only control : Used PBS instead of primary antibody, secondary antibody is Goat Anti-Rabbit IgG H&L (Alexa Fluor® 488) (ab150077) secondary antibody at 1/1000 dilution.

This data was developed using the same antibody clone in a different buffer formulation containing PBS, BSA, glycerol, and sodium azide (ab239081).

Immunohistochemistry (Formalin/PFA-fixed paraffin-embedded sections) - Anti-DGKZ/DGK-zeta antibody [EPR22040-80] - BSA and Azide free (AB239790)
  • IHC-P

Supplier Data

Immunohistochemistry (Formalin/PFA-fixed paraffin-embedded sections) - Anti-DGKZ/DGK-zeta antibody [EPR22040-80] - BSA and Azide free (AB239790)

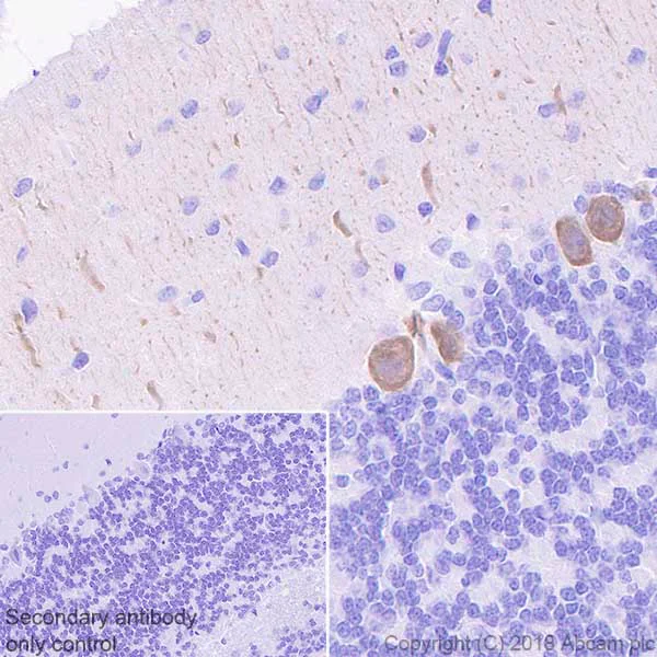
Immunohistochemical analysis of paraffin-embedded mouse cerebellum tissue labeling DGKZ/DGK-zeta with ab239081 at 1/4000 dilution, followed by Goat Anti-Rabbit IgG H&L (HRP) Ready to use. Cytoplasmic and nuclear staining on Purkinje cells of mouse cerebellum (PMID : 14511325; PMID : 24119575) is observed. Counter stained with Hematoxylin.

Secondary antibody only control : Used PBS instead of primary antibody, secondary antibody is Goat Anti-Rabbit IgG H&L (HRP) Ready to use.

This data was developed using the same antibody clone in a different buffer formulation containing PBS, BSA, glycerol, and sodium azide (ab239081).

Perform heat mediated antigen retrieval with Tris/EDTA buffer pH 9.0 before commencing with IHC staining protocol.

Immunohistochemistry (Formalin/PFA-fixed paraffin-embedded sections) - Anti-DGKZ/DGK-zeta antibody [EPR22040-80] - BSA and Azide free (AB239790)
  • IHC-P

Supplier Data

Immunohistochemistry (Formalin/PFA-fixed paraffin-embedded sections) - Anti-DGKZ/DGK-zeta antibody [EPR22040-80] - BSA and Azide free (AB239790)

Immunohistochemical analysis of paraffin-embedded rat cerebellum tissue labeling DGKZ/DGK-zeta with ab239081 at 1/4000 dilution, followed by Goat Anti-Rabbit IgG H&L (HRP) Ready to use. Cytoplasmic and nuclear staining on Purkinje cells of rat cerebellum (PMID : 14511325; PMID : 24119575) is observed. Counter stained with Hematoxylin.

Secondary antibody only control : Used PBS instead of primary antibody, secondary antibody is Goat Anti-Rabbit IgG H&L (HRP) Ready to use.

This data was developed using the same antibody clone in a different buffer formulation containing PBS, BSA, glycerol, and sodium azide (ab239081).

Perform heat mediated antigen retrieval with Tris/EDTA buffer pH 9.0 before commencing with IHC staining protocol.

Immunohistochemistry (Formalin/PFA-fixed paraffin-embedded sections) - Anti-DGKZ/DGK-zeta antibody [EPR22040-80] - BSA and Azide free (AB239790)
  • IHC-P

Supplier Data

Immunohistochemistry (Formalin/PFA-fixed paraffin-embedded sections) - Anti-DGKZ/DGK-zeta antibody [EPR22040-80] - BSA and Azide free (AB239790)

Immunohistochemical analysis of paraffin-embedded human cerebellum tissue labeling DGKZ/DGK-zeta with ab239081 at 1/4000 dilution, followed by Goat Anti-Rabbit IgG H&L (HRP) Ready to use. Cytoplasmic and nuclear staining on Purkinje cells of human cerebellum (PMID : 14511325; PMID : 24119575) is observed. Counter stained with Hematoxylin.

Secondary antibody only control : Used PBS instead of primary antibody, secondary antibody is Goat Anti-Rabbit IgG H&L (HRP) Ready to use.

This data was developed using the same antibody clone in a different buffer formulation containing PBS, BSA, glycerol, and sodium azide (ab239081).

Perform heat mediated antigen retrieval with Tris/EDTA buffer pH 9.0 before commencing with IHC staining protocol.

Immunocytochemistry/ Immunofluorescence - Anti-DGKZ/DGK-zeta antibody [EPR22040-80] - BSA and Azide free (AB239790)
  • ICC/IF

Supplier Data

Immunocytochemistry/ Immunofluorescence - Anti-DGKZ/DGK-zeta antibody [EPR22040-80] - BSA and Azide free (AB239790)

Immunofluorescent analysis of 100% methanol-fixed HuT-78 (human Sezary syndrome cutaneous T lymphocyte cell line) cells labeling DGKZ/DGK-zeta with ab239081 at 1/50 dilution, followed by Goat Anti-Rabbit IgG H&L (Alexa Fluor® 488) (ab150077) secondary antibody at 1/1000 dilution (green).

Confocal image showing cytoplasmic staining in HuT-78 cell line.

Methanol is recommended for fixation as weak signal was observed using 4% PFA.

The nuclear counter stain is DAPI (blue). Tubulin is detected with Anti-alpha Tubulin antibody [DM1A] - Microtubule Marker (Alexa Fluor® 594) (ab195889) (red) at 1/200 dilution.

Secondary antibody only control : Used PBS instead of primary antibody, secondary antibody is Goat Anti-Rabbit IgG H&L (Alexa Fluor® 488) (ab150077) secondary antibody at 1/1000 dilution.

This data was developed using the same antibody clone in a different buffer formulation containing PBS, BSA, glycerol, and sodium azide (ab239081).

Key facts

Host species

Rabbit

Clonality

Monoclonal

Clone number

EPR22040-80

Isotype

IgG

Carrier free

Yes

Reacts with

Mouse, Rat, Human

Applications

WB, mIHC, Flow Cyt (Intra), ICC/IF, IHC-P

applications

Immunogen

The exact immunogen used to generate this antibody is proprietary information.

Reactivity data

{ "title": "Reactivity Data", "filters": { "stats": ["", "Species", "Dilution Info", "Notes"], "tabs": { "all-applications": {"fullname" : "All Applications", "shortname": "All Applications"}, "mIHC" : {"fullname" : "Multiplex immunohistochemistry", "shortname":"mIHC"}, "WB" : {"fullname" : "Western blot", "shortname":"WB"}, "ICCIF" : {"fullname" : "Immunocytochemistry/ Immunofluorescence", "shortname":"ICC/IF"}, "FlowCytIntra" : {"fullname" : "Flow Cytometry (Intracellular)", "shortname":"Flow Cyt (Intra)"}, "IHCP" : {"fullname" : "Immunohistochemistry (Formalin/PFA-fixed paraffin-embedded sections)", "shortname":"IHC-P"} }, "product-promise": { "all": "all", "testedAndGuaranteed": "tested", "guaranteed": "expected", "predicted": "predicted", "notRecommended": "not-recommended" } }, "values": { "Human": { "mIHC-species-checked": "testedAndGuaranteed", "mIHC-species-dilution-info": "1/9000", "mIHC-species-notes": "<p></p>", "WB-species-checked": "guaranteed", "WB-species-dilution-info": "", "WB-species-notes": "<p></p>", "ICCIF-species-checked": "testedAndGuaranteed", "ICCIF-species-dilution-info": "", "ICCIF-species-notes": "<p></p>", "FlowCytIntra-species-checked": "testedAndGuaranteed", "FlowCytIntra-species-dilution-info": "", "FlowCytIntra-species-notes": "<p></p>", "IHCP-species-checked": "testedAndGuaranteed", "IHCP-species-dilution-info": "", "IHCP-species-notes": "<p></p> Perform heat-mediated antigen retrieval with Tris/EDTA buffer pH 9.0 before commencing with IHC staining protocol." }, "Mouse": { "mIHC-species-checked": "predicted", "mIHC-species-dilution-info": "", "mIHC-species-notes": "", "WB-species-checked": "guaranteed", "WB-species-dilution-info": "", "WB-species-notes": "<p></p>", "ICCIF-species-checked": "predicted", "ICCIF-species-dilution-info": "", "ICCIF-species-notes": "", "FlowCytIntra-species-checked": "predicted", "FlowCytIntra-species-dilution-info": "", "FlowCytIntra-species-notes": "", "IHCP-species-checked": "predicted", "IHCP-species-dilution-info": "", "IHCP-species-notes": "" }, "Rat": { "mIHC-species-checked": "predicted", "mIHC-species-dilution-info": "", "mIHC-species-notes": "", "WB-species-checked": "guaranteed", "WB-species-dilution-info": "", "WB-species-notes": "<p></p>", "ICCIF-species-checked": "predicted", "ICCIF-species-dilution-info": "", "ICCIF-species-notes": "", "FlowCytIntra-species-checked": "predicted", "FlowCytIntra-species-dilution-info": "", "FlowCytIntra-species-notes": "", "IHCP-species-checked": "predicted", "IHCP-species-dilution-info": "", "IHCP-species-notes": "" } } }

Product details

ab239790 is the carrier-free version of ab239081.

Patented technology
Our RabMAb® technology is a patented hybridoma-based technology for making rabbit monoclonal antibodies. For details on our patents, please refer to RabMAb® patents.

What are the advantages of a recombinant monoclonal antibody?
This product is a recombinant monoclonal antibody, which offers several advantages including:

  • - High batch-to-batch consistency and reproducibility
  • - Improved sensitivity and specificity
  • - Long-term security of supply
  • - Animal-free batch production

For more information, read more on recombinant antibodies.

Conjugation ready
Our carrier-free antibodies are typically supplied in a PBS-only formulation, purified and free of BSA, sodium azide and glycerol. This conjugation-ready format is designed for use with fluorochromes, metal isotopes, oligonucleotides, and enzymes, which makes them ideal for antibody labelling, functional and cell-based assays, flow-based assays (e.g. mass cytometry) and Multiplex Imaging applications.

Use our conjugation kits for antibody conjugates that are ready-to-use in as little as 20 minutes with 1 minute hands-on-time and 100% antibody recovery: available for fluorescent dyes, HRP, biotin and gold.

Compatibility
This product is compatible with the Maxpar® Antibody Labeling Kit from Fluidigm, without the need for antibody preparation. Maxpar® is a trademark of Fluidigm Canada Inc.

Properties and storage information

Form
Liquid
Purification technique
Affinity purification Protein A
Storage buffer
pH: 7.2 - 7.4 Constituents: PBS
Shipped at conditions
Blue Ice
Appropriate short-term storage conditions
+4°C
Appropriate long-term storage conditions
+4°C
Storage information
Do Not Freeze

Supplementary information

This supplementary information is collated from multiple sources and compiled automatically.

DGKZ also known as DGK-zeta or DGKζ is an enzyme that belongs to the diacylglycerol kinase family and plays an important role in lipid signaling pathways. The 'zeta' isoform of DGK sometimes noted in scientific literature as DGK ART and DGK MEXICO catalyzes the conversion of diacylglycerol (DAG) to phosphatidic acid (PA) by ATP-dependent phosphorylation impacting signal transduction. DGKZ has a molecular mass of approximately 115 kDa. It shows expression in various tissues including brain heart and skeletal muscle with higher expression levels typically seen in the nervous system where it affects neurotransmitter signaling.
Biological function summary

DGKZ influences cellular processes such as growth differentiation and apoptosis by regulating DAG and PA levels. It forms part of a complex network of proteins involved in intracellular signaling cascades exerting effects on protein kinase C (PKC) activity. The regulatory function of DGKZ within cellular activity highlights its role in maintaining normal cellular homeostasis and responding to extracellular signals. Its enzymatic activity influences DAG-mediated pathways which are important for the activation and deactivation of downstream signaling proteins.

Pathways

DGKZ plays a critical role within the signaling pathways such as the phosphoinositide signaling and mTOR pathways. It serves as an important modulator of lipid signaling within the diacylglycerol- and phosphatidic acid-mediated signaling pathways impacting protein interactions and signaling mechanisms. Other proteins related through these pathways include PKC and mTOR with which DGKZ interacts to modulate functions such as cell proliferation and survival. The enzymatic conversion of DAG to PA by DGKZ actively regulates the availability of these lipid signaling molecules and therefore modulates their downstream effects.

DGKZ has associations with neurological disorders and cancer. Abnormal regulation or expression of DGKZ contributes to pathologies such as Alzheimer's disease where impaired lipid signaling affects neuronal function and survival. Additionally its dysregulation may promote cancer progression through aberrant cell signaling pathways. DGKZ interacts with proteins like PKC which play a role in these diseases making it a potential therapeutic target. Understanding its function and interactions helps offer insights into the development of targeted therapies for these conditions.

Product protocols

For this product, it's our understanding that no specific protocols are required. You can visit:

Target data

Diacylglycerol kinase that converts diacylglycerol/DAG into phosphatidic acid/phosphatidate/PA and regulates the respective levels of these two bioactive lipids (PubMed : 15544348, PubMed : 18004883, PubMed : 19744926, PubMed : 22108654, PubMed : 22627129, PubMed : 23949095, PubMed : 9159104). Thereby, acts as a central switch between the signaling pathways activated by these second messengers with different cellular targets and opposite effects in numerous biological processes (PubMed : 15544348, PubMed : 18004883, PubMed : 19744926, PubMed : 22108654, PubMed : 22627129, PubMed : 23949095, PubMed : 9159104). Also plays an important role in the biosynthesis of complex lipids (Probable). Does not exhibit an acyl chain-dependent substrate specificity among diacylglycerol species (PubMed : 19744926, PubMed : 22108654, PubMed : 9159104). Can also phosphorylate 1-alkyl-2-acylglycerol in vitro but less efficiently and with a preference for alkylacylglycerols containing an arachidonoyl group (PubMed : 15544348, PubMed : 19744926, PubMed : 22627129). The biological processes it is involved in include T cell activation since it negatively regulates T-cell receptor signaling which is in part mediated by diacylglycerol (By similarity). By generating phosphatidic acid, stimulates PIP5KIA activity which regulates actin polymerization (PubMed : 15157668). Through the same mechanism could also positively regulate insulin-induced translocation of SLC2A4 to the cell membrane (By similarity).. Isoform 1. Regulates RASGRP1 activity.. Isoform 2. Does not regulate RASGRP1 activity.
See full target information DGKZ

Product promise

We are committed to supporting your work with high-quality reagents, and we're here for you every step of the way. In the unlikely event that one of our products does not perform as expected, you're protected by our Product Promise.
For full details, please see our Terms & Conditions

Please note: All products are 'FOR RESEARCH USE ONLY. NOT FOR USE IN DIAGNOSTIC OR THERAPEUTIC PROCEDURES'.

For licensing inquiries, please contact partnerships@abcam.com