JavaScript is disabled in your browser. Please enable JavaScript to view this website.
AB325949

Anti-DHCR7 antibody [EPR28927-528] - BSA and Azide free

Be the first to review this product! Submit a review

|

(0 Publication)

Rabbit Recombinant Monoclonal DHCR7 antibody. Carrier free. Suitable for ICC/IF, IHC-P, WB and reacts with Human samples.

View Alternative Names

D7SR, DHCR7, 7-dehydrocholesterol reductase, 7-DHC reductase, Delta7-sterol reductase, Sterol Delta(7)-reductase, Sterol reductase SR-2

8 Images
Immunohistochemistry (Formalin/PFA-fixed paraffin-embedded sections) - Anti-DHCR7 antibody [EPR28927-528] - BSA and Azide free (AB325949)
  • IHC-P

Supplier Data

Immunohistochemistry (Formalin/PFA-fixed paraffin-embedded sections) - Anti-DHCR7 antibody [EPR28927-528] - BSA and Azide free (AB325949)

This data was developed using ab324106, the same antibody clone in a different buffer formulation.

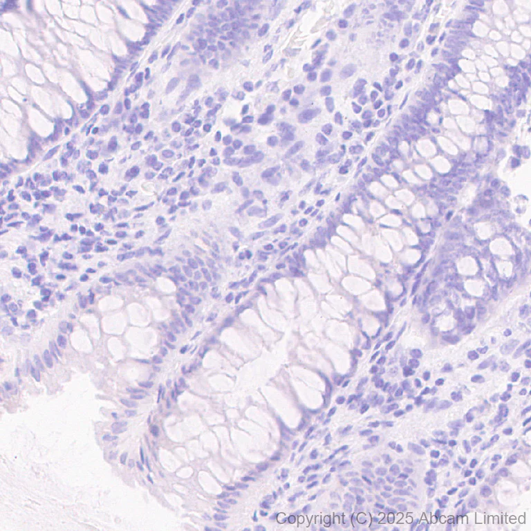
Immunohistochemical analysis of paraffin-embedded Human colon tissue labeling DHCR7 with ab324106 at 1/2000 (0.26 ug/ml) dilution followed by a ready to use LeicaDS9800 (Bond™ Polymer Refine Detection).

Low expression : no staining on human colon (PMID : 9465114). The primary antibody was incubated for 30 mins at room temperature.
The immunostaining was performed on a Leica Biosystems BOND® RX instrument

Counterstained with Hematoxylin.

Secondary antibody only control : Secondary antibody is a ready to use LeicaDS9800 (Bond™ Polymer Refine Detection).

Heat mediated antigen retrieval was performed with Tris-EDTA buffer (pH 9.0 Epitope Retrieval Solution2) for 20 mins

Immunocytochemistry/ Immunofluorescence - Anti-DHCR7 antibody [EPR28927-528] - BSA and Azide free (AB325949)
  • ICC/IF

Supplier Data

Immunocytochemistry/ Immunofluorescence - Anti-DHCR7 antibody [EPR28927-528] - BSA and Azide free (AB325949)

This data was developed using ab324106, the same antibody clone in a different buffer formulation.

Immunofluorescent analysis of 4% Paraformaldehyde-fixed 0.1% TritonX-100 permeabilized HepG2 (human hepatocellular carcinoma epithelial cell) cells labelling DHCR7 with ab324106 at 1/50 (10.4 ug/ml) dilution followed by ab150081 Goat Anti-Rabbit IgG H&L (AlexaFluor® 488) preadsorbed antibody at 1/1000 2 ug/ml dilution (Green).

Confocal image showing cytoplasmic staining in HepG2 cell line (shown in green). The counterstain was observed in magenta. Nuclear DNA was labelled with DAPI (shown in blue).
Image was taken with a confocal microscope(Leica-Microsystems TCS SP8).

Anti-KDEL mouse monoclonal antibody was used to counterstain tubulin at 1/200 2.5 dilution (Magenta). The Nuclear counterstain was DAPI (Blue).

-ve control 1 : ab324106 at 1/50 dilution followed by ab150120 Goat Anti-Mouse IgG H&L (Alexa Fluor® 594) antibody at 1/1000 dilution.-ve control 2 : Anti-KDEL mouse monoclonal antibody at 1/200 dilution followed by ab150081 Goat Anti-Rabbit IgG H&L (Alexa Fluor® 488) antibody at 1/1000 dilution.

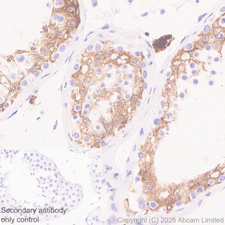
Immunohistochemistry (Formalin/PFA-fixed paraffin-embedded sections) - Anti-DHCR7 antibody [EPR28927-528] - BSA and Azide free (AB325949)
  • IHC-P

Supplier Data

Immunohistochemistry (Formalin/PFA-fixed paraffin-embedded sections) - Anti-DHCR7 antibody [EPR28927-528] - BSA and Azide free (AB325949)

This data was developed using ab324106, the same antibody clone in a different buffer formulation.

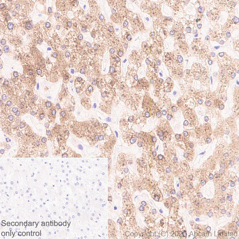
Immunohistochemical analysis of paraffin-embedded Human liver tissue labeling DHCR7 with ab324106 at 1/2000 (0.26 ug/ml) dilution followed by a ready to use LeicaDS9800 (Bond™ Polymer Refine Detection).

Positive staining on human liver. The primary antibody was incubated for 30 mins at room temperature.
The immunostaining was performed on a Leica Biosystems BOND® RX instrument

Counterstained with Hematoxylin.

Secondary antibody only control : Secondary antibody is a ready to use LeicaDS9800 (Bond™ Polymer Refine Detection).

Heat mediated antigen retrieval was performed with Tris-EDTA buffer (pH 9.0 Epitope Retrieval Solution2) for 20 mins

Immunohistochemistry (Formalin/PFA-fixed paraffin-embedded sections) - Anti-DHCR7 antibody [EPR28927-528] - BSA and Azide free (AB325949)
  • IHC-P

Supplier Data

Immunohistochemistry (Formalin/PFA-fixed paraffin-embedded sections) - Anti-DHCR7 antibody [EPR28927-528] - BSA and Azide free (AB325949)

This data was developed using ab324106, the same antibody clone in a different buffer formulation.

Immunohistochemical analysis of paraffin-embedded Human testis tissue labeling DHCR7 with ab324106 at 1/2000 (0.26 ug/ml) dilution followed by a ready to use LeicaDS9800 (Bond™ Polymer Refine Detection).

Positive staining on human testis. The primary antibody was incubated for 30 mins at room temperature.
The immunostaining was performed on a Leica Biosystems BOND® RX instrument

Counterstained with Hematoxylin.

Secondary antibody only control : Secondary antibody is a ready to use LeicaDS9800 (Bond™ Polymer Refine Detection).

Heat mediated antigen retrieval was performed with Tris-EDTA buffer (pH 9.0 Epitope Retrieval Solution2) for 20 mins

Immunohistochemistry (Formalin/PFA-fixed paraffin-embedded sections) - Anti-DHCR7 antibody [EPR28927-528] - BSA and Azide free (AB325949)
  • IHC-P

Supplier Data

Immunohistochemistry (Formalin/PFA-fixed paraffin-embedded sections) - Anti-DHCR7 antibody [EPR28927-528] - BSA and Azide free (AB325949)

This data was developed using ab324106, the same antibody clone in a different buffer formulation.

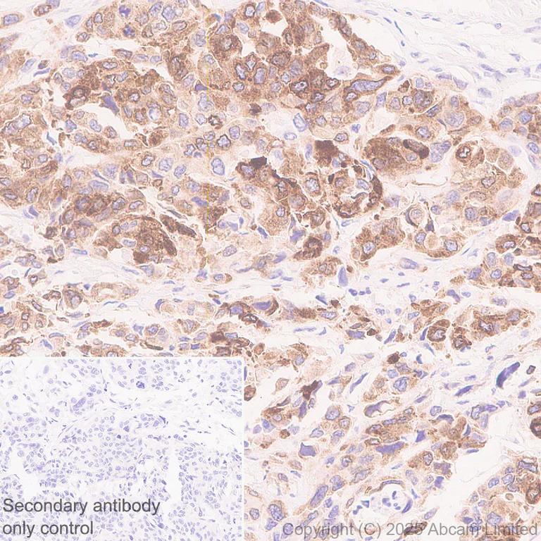
Immunohistochemical analysis of paraffin-embedded Human hepatocellular carcinoma tissue labeling DHCR7 with ab324106 at 1/2000 (0.26 ug/ml) dilution followed by a ready to use LeicaDS9800 (Bond™ Polymer Refine Detection).

Positive staining on human hepatocellular carcinoma. The primary antibody was incubated for 30 mins at room temperature.
The immunostaining was performed on a Leica Biosystems BOND® RX instrument

Counterstained with Hematoxylin.

Secondary antibody only control : Secondary antibody is a ready to use LeicaDS9800 (Bond™ Polymer Refine Detection).

Heat mediated antigen retrieval was performed with Tris-EDTA buffer (pH 9.0 Epitope Retrieval Solution2) for 20 mins

Immunohistochemistry (Formalin/PFA-fixed paraffin-embedded sections) - Anti-DHCR7 antibody [EPR28927-528] - BSA and Azide free (AB325949)
  • IHC-P

Supplier Data

Immunohistochemistry (Formalin/PFA-fixed paraffin-embedded sections) - Anti-DHCR7 antibody [EPR28927-528] - BSA and Azide free (AB325949)

This data was developed using ab324106, the same antibody clone in a different buffer formulation.

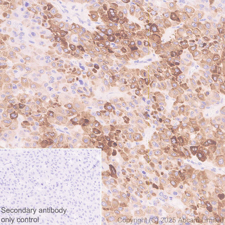
Immunohistochemical analysis of paraffin-embedded Human gastric carcinoma tissue labeling DHCR7 with ab324106 at 1/2000 (0.26 ug/ml) dilution followed by a ready to use LeicaDS9800 (Bond™ Polymer Refine Detection).

Positive staining on human gastric carcinoma. The primary antibody was incubated for 30 mins at room temperature.
The immunostaining was performed on a Leica Biosystems BOND® RX instrument

Counterstained with Hematoxylin.

Secondary antibody only control : Secondary antibody is a ready to use LeicaDS9800 (Bond™ Polymer Refine Detection).

Heat mediated antigen retrieval was performed with Tris-EDTA buffer (pH 9.0 Epitope Retrieval Solution2) for 20 mins

Western blot - Anti-DHCR7 antibody [EPR28927-528] - BSA and Azide free (AB325949)
  • WB

Supplier Data

Western blot - Anti-DHCR7 antibody [EPR28927-528] - BSA and Azide free (AB325949)

This data was developed using ab324106, the same antibody clone in a different buffer formulation.

Blocking and diluting buffer and concentration : 5% NFDM/TBST.

Low expresson : colon(PMID : 9465114)

The samples are unboiled.

The expression profile/ molecular weight observed is consistent with what has been described in the literature (PMID : 37759721 PMID : 9465114).

In Western blot Anti-GAPDH antibody [EPR16891] - Loading Control (ab181602) staining at 1/200000 dilution.

All lanes:

Western blot - Anti-DHCR7 antibody [EPR28927-528] (<a href='/en-us/products/primary-antibodies/dhcr7-antibody-epr28927-528-ab324106'>ab324106</a>) at 1/1000 dilution

Lane 1:

Human testis tissue lysate at 20 µg

Lane 2:

Human liver cancer tissue lysate at 20 µg

Lane 3:

Human colon tissue lysate at 20 µg

Secondary

All lanes:

Goat Anti-Rabbit IgG (HRP) with minimal cross-reactivity with human IgG at 1/2000 dilution

Observed band size: 43 kDa,36 kDa

false

Exposure time: 3s

Western blot - Anti-DHCR7 antibody [EPR28927-528] - BSA and Azide free (AB325949)
  • WB

Supplier Data

Western blot - Anti-DHCR7 antibody [EPR28927-528] - BSA and Azide free (AB325949)

This data was developed using ab324106, the same antibody clone in a different buffer formulation.

Blocking and diluting buffer and concentration : 5% NFDM/TBST.

The samples are unboiled.

The expression profile/ molecular weight observed is consistent with what has been described in the literature (PMID : 37759721 PMID : 9465114).

In Western blot Anti-GAPDH antibody [EPR16891] - Loading Control (ab181602) staining at 1/200000 dilution.

All lanes:

Western blot - Anti-DHCR7 antibody [EPR28927-528] (<a href='/en-us/products/primary-antibodies/dhcr7-antibody-epr28927-528-ab324106'>ab324106</a>) at 1/1000 dilution

Lane 1:

HepG2 (human hepatocellular carcinoma epithelial cell) whole cell lysate at 20 µg

Lane 2:

HeLa (human cervical adenocarcinoma epithelial cell) whole cell lysate at 20 µg

Lane 3:

MCF7 (human breast adenocarcinoma epithelial cell) whole cell lysate at 20 µg

Secondary

All lanes:

Western blot - Goat Anti-Rabbit IgG H&L (HRP) (<a href='/en-us/products/secondary-antibodies/goat-rabbit-igg-h-l-hrp-ab97051'>ab97051</a>) at 1/20000 dilution

Observed band size: 43 kDa,36 kDa

false

Exposure time: 8s

Key facts

Host species

Rabbit

Clonality

Monoclonal

Clone number

EPR28927-528

Isotype

IgG

Carrier free

Yes

Reacts with

Human

Applications

IHC-P, WB, ICC/IF

applications

Immunogen

The exact immunogen used to generate this antibody is proprietary information.

Reactivity data

{ "title": "Reactivity Data", "filters": { "stats": ["", "Species", "Dilution Info", "Notes"], "tabs": { "all-applications": {"fullname" : "All Applications", "shortname": "All Applications"}, "ICCIF" : {"fullname" : "Immunocytochemistry/ Immunofluorescence", "shortname":"ICC/IF"}, "IHCP" : {"fullname" : "Immunohistochemistry (Formalin/PFA-fixed paraffin-embedded sections)", "shortname":"IHC-P"}, "WB" : {"fullname" : "Western blot", "shortname":"WB"} }, "product-promise": { "all": "all", "testedAndGuaranteed": "tested", "guaranteed": "expected", "predicted": "predicted", "notRecommended": "not-recommended" } }, "values": { "Human": { "ICCIF-species-checked": "testedAndGuaranteed", "ICCIF-species-dilution-info": "", "ICCIF-species-notes": "<p></p>", "IHCP-species-checked": "testedAndGuaranteed", "IHCP-species-dilution-info": "", "IHCP-species-notes": "<p></p> Perform heat-mediated antigen retrieval with Tris/EDTA buffer pH 9.0 before commencing with IHC staining protocol.", "WB-species-checked": "testedAndGuaranteed", "WB-species-dilution-info": "", "WB-species-notes": "<p></p>" }, "Mouse": { "ICCIF-species-checked": "notRecommended", "ICCIF-species-dilution-info": "", "ICCIF-species-notes": "<p></p>", "IHCP-species-checked": "notRecommended", "IHCP-species-dilution-info": "", "IHCP-species-notes": "<p></p>", "WB-species-checked": "notRecommended", "WB-species-dilution-info": "", "WB-species-notes": "<p></p>" }, "Rat": { "ICCIF-species-checked": "notRecommended", "ICCIF-species-dilution-info": "", "ICCIF-species-notes": "<p></p>", "IHCP-species-checked": "notRecommended", "IHCP-species-dilution-info": "", "IHCP-species-notes": "<p></p>", "WB-species-checked": "notRecommended", "WB-species-dilution-info": "", "WB-species-notes": "<p></p>" } } }

Product details

ab325949 is the carrier-free version of ab324106

Patented technology
Our RabMAb® technology is a patented hybridoma-based technology for making rabbit monoclonal antibodies. For details on our patents, please refer to RabMAb® patents.

What are the advantages of a recombinant monoclonal antibody?
This product is a recombinant monoclonal antibody, which offers several advantages including:

  • - High batch-to-batch consistency and reproducibility
  • - Improved sensitivity and specificity
  • - Long-term security of supply
  • - Animal-free batch production

For more information, read more on recombinant antibodies.

Conjugation ready
Our carrier-free antibodies are typically supplied in a PBS-only formulation, purified and free of BSA, sodium azide and glycerol. This conjugation-ready format is designed for use with fluorochromes, metal isotopes, oligonucleotides, and enzymes, which makes them ideal for antibody labelling, functional and cell-based assays, flow-based assays (e.g. mass cytometry) and Multiplex Imaging applications.

Use our conjugation kits for antibody conjugates that are ready-to-use in as little as 20 minutes with 1 minute hands-on-time and 100% antibody recovery: available for fluorescent dyes, HRP, biotin and gold.

Compatibility
This product is compatible with the Maxpar® Antibody Labeling Kit from Fluidigm, without the need for antibody preparation. Maxpar® is a trademark of Fluidigm Canada Inc.

Properties and storage information

Form
Liquid
Purification technique
Affinity purification Protein A
Storage buffer
pH: 7.2 - 7.4 Constituents: PBS
Shipped at conditions
Blue Ice
Appropriate short-term storage conditions
+4°C
Appropriate long-term storage conditions
+4°C
Storage information
Do Not Freeze

Product protocols

For this product, it's our understanding that no specific protocols are required. You can visit:

Target data

Oxidoreductase that catalyzes the last step of the cholesterol synthesis pathway, which transforms cholesta-5,7-dien-3beta-ol (7-dehydrocholesterol,7-DHC) into cholesterol by reducing the C7-C8 double bond of its sterol core (PubMed : 25637936, PubMed : 38297129, PubMed : 38297130, PubMed : 9465114, PubMed : 9634533). Can also metabolize cholesta-5,7,24-trien-3beta-ol (7-dehydrodemosterol, 7-DHD) to desmosterol, which is then metabolized by the Delta(24)-sterol reductase (DHCR24) to cholesterol (By similarity). Modulates ferroptosis (a form of regulated cell death driven by iron-dependent lipid peroxidation) through the metabolic breakdown of the anti-ferroptotic metabolites 7-DHC and 7-DHD which, when accumulated, divert the propagation of peroxyl radical-mediated damage from phospholipid components to its sterol core, protecting plasma and mitochondrial membranes from phospholipid autoxidation (PubMed : 38297129, PubMed : 38297130).. Component of the microsomal antiestrogen binding site (AEBS), a multiproteic complex at the ER membrane that consists of an association between cholestenol Delta-isomerase/EBP and DHCR7 (PubMed : 15175332, PubMed : 20615952). This complex is responsible for cholesterol-5,6-epoxide hydrolase (ChEH) activity, which consists in the hydration of cholesterol-5,6-epoxides (5,6-EC) into cholestane-3beta,5alpha,6beta-triol (CT) (PubMed : 20615952). The precise role of each component of this complex has not been described yet (PubMed : 20615952).
See full target information DHCR7

Product promise

We are committed to supporting your work with high-quality reagents, and we're here for you every step of the way. In the unlikely event that one of our products does not perform as expected, you're protected by our Product Promise.
For full details, please see our Terms & Conditions

Please note: All products are 'FOR RESEARCH USE ONLY. NOT FOR USE IN DIAGNOSTIC OR THERAPEUTIC PROCEDURES'.

For licensing inquiries, please contact partnerships@abcam.com