JavaScript is disabled in your browser. Please enable JavaScript to view this website.
AB246893

Anti-DHODH antibody

Be the first to review this product! Submit a review

|

(1 Publication)

Rabbit Polyclonal DHODH antibody. Suitable for IHC-P, WB, ICC/IF and reacts with Human samples. Cited in 1 publication. Immunogen corresponding to Recombinant Fragment Protein within Human DHODH aa 200-350.

View Alternative Names

DHOdehase, Dihydroorotate oxidase, DHODH

6 Images
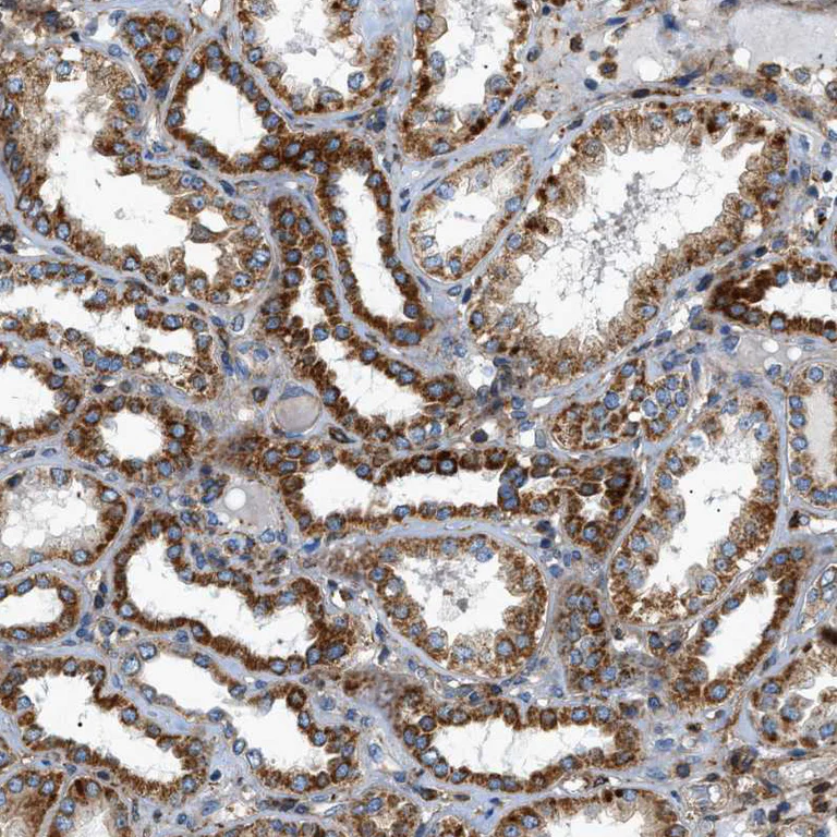
Immunohistochemistry (Formalin/PFA-fixed paraffin-embedded sections) - Anti-DHODH antibody (AB246893)
  • IHC-P

Supplier Data

Immunohistochemistry (Formalin/PFA-fixed paraffin-embedded sections) - Anti-DHODH antibody (AB246893)

Formalin-fixed, paraffin-embedded human kidney tissue stained for DHODH with ab246893 at a 1/50 dilution in immunohistochemical analysis.

Immunohistochemistry (Formalin/PFA-fixed paraffin-embedded sections) - Anti-DHODH antibody (AB246893)
  • IHC-P

Supplier Data

Immunohistochemistry (Formalin/PFA-fixed paraffin-embedded sections) - Anti-DHODH antibody (AB246893)

Formalin-fixed, paraffin-embedded human endometrium tissue stained for DHODH with ab246893 at a 1/50 dilution in immunohistochemical analysis.

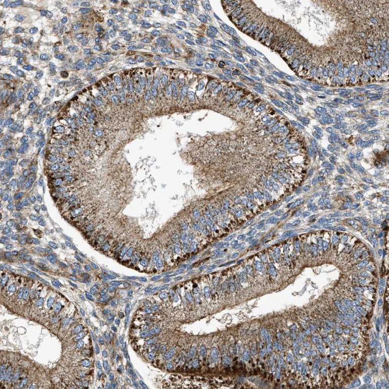
Immunohistochemistry (Formalin/PFA-fixed paraffin-embedded sections) - Anti-DHODH antibody (AB246893)
  • IHC-P

Supplier Data

Immunohistochemistry (Formalin/PFA-fixed paraffin-embedded sections) - Anti-DHODH antibody (AB246893)

Formalin-fixed, paraffin-embedded human duodenum tissue stained for DHODH with ab246893 at a 1/50 dilution in immunohistochemical analysis.

Immunocytochemistry/ Immunofluorescence - Anti-DHODH antibody (AB246893)
  • ICC/IF

Unknown

Immunocytochemistry/ Immunofluorescence - Anti-DHODH antibody (AB246893)

PFA-fixed, Triton X-100 permeabilized MCF7 (human breast adenocarcinoma cell line) cells stained for DHOHD (green) using ab246893 at 4 μg/ml in ICC/IF.

Immunohistochemistry (Formalin/PFA-fixed paraffin-embedded sections) - Anti-DHODH antibody (AB246893)
  • IHC-P

Supplier Data

Immunohistochemistry (Formalin/PFA-fixed paraffin-embedded sections) - Anti-DHODH antibody (AB246893)

Formalin-fixed, paraffin-embedded human liver tissue stained for DHODH with ab246893 at a 1/50 dilution in immunohistochemical analysis.

Western blot - Anti-DHODH antibody (AB246893)
  • WB

Unknown

Western blot - Anti-DHODH antibody (AB246893)

Western blot analysis in control (vector only transfected HEK293T lysate) and DHODH over-expression lysate (Co-expressed with a C-terminal myc-DDK tag (~3.1 kDa) in mammalian HEK293T cells, LY419975).

All lanes:

Western blot - Anti-DHODH antibody (ab246893) at 0.4 µg

Lane 1:

Vector only-transfected HEK-293T cell lysate

Lane 2:

DHODH over-expression HEK-293T (human epithelial cell line from embryonic kidney transformed with large T antigen) whole cell lysate

Predicted band size: 43 kDa

false

Key facts

Host species

Rabbit

Clonality

Polyclonal

Isotype

IgG

Carrier free

No

Reacts with

Human

Applications

ICC/IF, WB, IHC-P

applications

Immunogen

Recombinant Fragment Protein within Human DHODH aa 200-350. The exact immunogen used to generate this antibody is proprietary information.

Q02127

Reactivity data

{ "title": "Reactivity Data", "filters": { "stats": ["", "Species", "Dilution Info", "Notes"], "tabs": { "all-applications": {"fullname" : "All Applications", "shortname": "All Applications"}, "IHCP" : {"fullname" : "Immunohistochemistry (Formalin/PFA-fixed paraffin-embedded sections)", "shortname":"IHC-P"}, "WB" : {"fullname" : "Western blot", "shortname":"WB"}, "ICCIF" : {"fullname" : "Immunocytochemistry/ Immunofluorescence", "shortname":"ICC/IF"} }, "product-promise": { "all": "all", "testedAndGuaranteed": "tested", "guaranteed": "expected", "predicted": "predicted", "notRecommended": "not-recommended" } }, "values": { "Human": { "IHCP-species-checked": "testedAndGuaranteed", "IHCP-species-dilution-info": "1/50 - 1/200", "IHCP-species-notes": "<p></p> Perform heat-mediated antigen retrieval with citrate buffer pH 6 before commencing with IHC staining protocol.", "WB-species-checked": "testedAndGuaranteed", "WB-species-dilution-info": "0.04-0.4 µg/mL", "WB-species-notes": "<p></p>", "ICCIF-species-checked": "testedAndGuaranteed", "ICCIF-species-dilution-info": "0.25-2 µg/mL", "ICCIF-species-notes": "<p>Fixation/Permeabilization: PFA/Triton X-100</p>" }, "Rat": { "IHCP-species-checked": "predicted", "IHCP-species-dilution-info": "", "IHCP-species-notes": "", "WB-species-checked": "predicted", "WB-species-dilution-info": "", "WB-species-notes": "", "ICCIF-species-checked": "predicted", "ICCIF-species-dilution-info": "", "ICCIF-species-notes": "" }, "Cow": { "IHCP-species-checked": "predicted", "IHCP-species-dilution-info": "", "IHCP-species-notes": "", "WB-species-checked": "predicted", "WB-species-dilution-info": "", "WB-species-notes": "", "ICCIF-species-checked": "predicted", "ICCIF-species-dilution-info": "", "ICCIF-species-notes": "" }, "Orangutan": { "IHCP-species-checked": "predicted", "IHCP-species-dilution-info": "", "IHCP-species-notes": "", "WB-species-checked": "predicted", "WB-species-dilution-info": "", "WB-species-notes": "", "ICCIF-species-checked": "predicted", "ICCIF-species-dilution-info": "", "ICCIF-species-notes": "" } } }

Properties and storage information

Form
Liquid
Purification technique
Affinity purification Immunogen
Storage buffer
pH: 7.2 Preservative: 0.02% Sodium azide Constituents: PBS, 40% Glycerol (glycerin, glycerine)
Shipped at conditions
Blue Ice
Appropriate short-term storage duration
1-2 weeks
Appropriate short-term storage conditions
+4°C
Appropriate long-term storage conditions
-20°C
Aliquoting information
Upon delivery aliquot
Storage information
Avoid freeze / thaw cycle

Supplementary information

This supplementary information is collated from multiple sources and compiled automatically.

Dihydroorotate dehydrogenase (DHODH) also known as URA1 is an enzyme weighing approximately 43 kDa. It plays a critical role in the de novo pyrimidine biosynthesis pathway. DHODH is mainly expressed in the inner mitochondrial membrane where it catalyzes the conversion of dihydroorotate to orotate. This reaction involves ubiquinone as an electron acceptor making DHODH an important player in cellular respiration. Its functionality is essential for the synthesis of nucleotides particularly in rapidly proliferating cells.
Biological function summary

Dihydroorotate dehydrogenase is involved in establishing the pyrimidine pool necessary for DNA and RNA synthesis. It is a single-component enzyme but its activity supports the function of other enzymes in the pathway such as carbamoyl-phosphate synthetase. The proper regulation of DHODH is integral to cellular proliferation and immune responses. Cells that synthesize nucleotides at high rates such as immune cells and cancer cells heavily depend on its activity.

Pathways

Dihydroorotate dehydrogenase is an important player in the pyrimidine biosynthesis pathway and links to the mitochondrial electron transport chain. Its interaction with ubiquinone underlines its role in energy production connecting it to respiratory complexes. DHODH works alongside proteins such as orotate phosphoribosyltransferase which further transforms orotate to orotidine-5'-monophosphate in pyrimidine biosynthesis. These pathways are vital for maintaining the balance of nucleotide levels impacting processes like DNA replication.

Dihydroorotate dehydrogenase is relevant to autoimmune diseases like rheumatoid arthritis and cancers. Inhibitors such as leflunomide and brequinar target DHODH to disrupt the proliferation of rapidly dividing cells. Leflunomide which is metabolized to teriflunomide reduces immune cell turnover in rheumatoid arthritis illustrating DHODH's therapeutic importance. Similarly it is a target in cancer treatment where its inhibition can slow down tumor growth interfacing with other metabolic regulators active in malignancies.

Product protocols

For this product, it's our understanding that no specific protocols are required. You can visit:

Target data

Catalyzes the conversion of dihydroorotate to orotate with quinone as electron acceptor. Required for UMP biosynthesis via de novo pathway.
See full target information DHODH

Publications (1)

Recent publications for all applications. Explore the full list and refine your search

Acta biochimica et biophysica Sinica : PubMed40999902

2025

KDM4A regulates microglial polarization after ischemic stroke by regulating SPINK5 signaling.

Applications

Unspecified application

Species

Unspecified reactive species

Xiaoli Min,Lei Xian,Ting Liu,Mengze Wang,Qing Zhao,Jiayi Hu,Rui Jing
View all publications

Product promise

We are committed to supporting your work with high-quality reagents, and we're here for you every step of the way. In the unlikely event that one of our products does not perform as expected, you're protected by our Product Promise.
For full details, please see our Terms & Conditions

Please note: All products are 'FOR RESEARCH USE ONLY. NOT FOR USE IN DIAGNOSTIC OR THERAPEUTIC PROCEDURES'.

For licensing inquiries, please contact partnerships@abcam.com