JavaScript is disabled in your browser. Please enable JavaScript to view this website.
AB156021

Anti-DHRS7 antibody [EPR9339(B)]

Be the first to review this product! Submit a review

|

(2 Publications)

Rabbit Recombinant Monoclonal DHRS7 antibody. Suitable for IHC-P, WB and reacts with Human samples. Cited in 2 publications.

View Alternative Names

DHRS7A, RETSDR4, SDR34C1, CGI-86, UNQ285/PRO3448, DHRS7, Dehydrogenase/reductase SDR family member 7, Retinal short-chain dehydrogenase/reductase 4, Short chain dehydrogenase/reductase family 34C member 1, retSDR4, Protein SDR34C1

3 Images
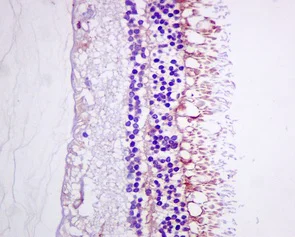
Immunohistochemistry (Formalin/PFA-fixed paraffin-embedded sections) - Anti-DHRS7 antibody [EPR9339(B)] (AB156021)
  • IHC-P

Unknown

Immunohistochemistry (Formalin/PFA-fixed paraffin-embedded sections) - Anti-DHRS7 antibody [EPR9339(B)] (AB156021)

Immunohistochemical analysis of paraffin-embedded Human retina tissue labeling DHRS7 using ab156021 at a 1/50 dilution.

Perform heat mediated antigen retrieval with citrate buffer pH 6 before commencing with IHC staining protocol.

Immunohistochemistry (Formalin/PFA-fixed paraffin-embedded sections) - Anti-DHRS7 antibody [EPR9339(B)] (AB156021)
  • IHC-P

Unknown

Immunohistochemistry (Formalin/PFA-fixed paraffin-embedded sections) - Anti-DHRS7 antibody [EPR9339(B)] (AB156021)

Immunohistochemical analysis of paraffin-embedded Human thyroid gland tissue labeling DHRS7 using ab156021 at a 1/50 dilution.

Perform heat mediated antigen retrieval with citrate buffer pH 6 before commencing with IHC staining protocol.

Western blot - Anti-DHRS7 antibody [EPR9339(B)] (AB156021)
  • WB

Unknown

Western blot - Anti-DHRS7 antibody [EPR9339(B)] (AB156021)

All lanes:

Western blot - Anti-DHRS7 antibody [EPR9339(B)] (ab156021) at 1/1000 dilution

Lane 1:

Human fetal liver tissue lysate at 10 µg

Lane 2:

MCF7 cell lysate at 10 µg

Secondary

All lanes:

HRP labelled goat anti-rabbit at 1/2000 dilution

Predicted band size: 38 kDa

false

Key facts

Host species

Rabbit

Clonality

Monoclonal

Clone number

EPR9339(B)

Isotype

IgG

Carrier free

No

Reacts with

Human

Applications

IHC-P, WB

applications

Immunogen

The exact immunogen used to generate this antibody is proprietary information.

Reactivity data

{ "title": "Reactivity Data", "filters": { "stats": ["", "Species", "Dilution Info", "Notes"], "tabs": { "all-applications": {"fullname" : "All Applications", "shortname": "All Applications"}, "IHCP" : {"fullname" : "Immunohistochemistry (Formalin/PFA-fixed paraffin-embedded sections)", "shortname":"IHC-P"}, "ICCIF" : {"fullname" : "Immunocytochemistry/ Immunofluorescence", "shortname":"ICC/IF"}, "IP" : {"fullname" : "Immunoprecipitation", "shortname":"IP"}, "FlowCyt" : {"fullname" : "Flow Cytometry", "shortname":"Flow Cyt"}, "WB" : {"fullname" : "Western blot", "shortname":"WB"} }, "product-promise": { "all": "all", "testedAndGuaranteed": "tested", "guaranteed": "expected", "predicted": "predicted", "notRecommended": "not-recommended" } }, "values": { "Human": { "IHCP-species-checked": "testedAndGuaranteed", "IHCP-species-dilution-info": "1/50 - 1/100", "IHCP-species-notes": "<p></p>", "ICCIF-species-checked": "notRecommended", "ICCIF-species-dilution-info": "", "ICCIF-species-notes": "<p></p>", "IP-species-checked": "notRecommended", "IP-species-dilution-info": "", "IP-species-notes": "<p></p>", "FlowCyt-species-checked": "notRecommended", "FlowCyt-species-dilution-info": "", "FlowCyt-species-notes": "<p></p>", "WB-species-checked": "testedAndGuaranteed", "WB-species-dilution-info": "1/1000 - 1/10000", "WB-species-notes": "<p></p>" } } }

Product details

Species reactivity
Mouse, Rat: We have preliminary internal testing data to indicate this antibody may not react with these species.
Please contact us for more information.

Patented technology
Our RabMAb® technology is a patented hybridoma-based technology for making rabbit monoclonal antibodies. For details on our patents, please refer to RabMAb® patents.

What are the advantages of a recombinant monoclonal antibody?
This product is a recombinant monoclonal antibody, which offers several advantages including:

  • - High batch-to-batch consistency and reproducibility
  • - Improved sensitivity and specificity
  • - Long-term security of supply
  • - Animal-free batch production

For more information, read more on recombinant antibodies.

Properties and storage information

Form
Liquid
Purification technique
Affinity purification Protein A
Storage buffer
pH: 7.2 - 7.4 Preservative: 0.01% Sodium azide Constituents: PBS, 50% Tissue culture supernatant, 40% Glycerol (glycerin, glycerine), 0.05% BSA
Shipped at conditions
Blue Ice
Appropriate short-term storage conditions
+4°C
Appropriate long-term storage conditions
-20°C
Aliquoting information
Upon delivery aliquot
Storage information
Avoid freeze / thaw cycle

Supplementary information

This supplementary information is collated from multiple sources and compiled automatically.

DHRS7 short for dehydrogenase/reductase 7 is an enzyme involved in oxidation-reduction reactions. This protein has a molecular mass of approximately 37 kDa. As part of the short-chain dehydrogenase/reductase family which is notable for its role in metabolizing a wide range of substrates DHRS7 is expressed in several tissues including liver kidney and brain. It contributes to the conversion of various small molecules although the specific substrates it acts on remain less completely defined.
Biological function summary

DHRS7 influences cellular processes by participating in steroid and retinoid metabolism. It operates as an independent enzyme rather than as part of a larger complex. Its activity affects the balance of oxidized and reduced states of substrates impacting cell signaling and homeostasis. The enzyme modifies key signaling molecules potentially influencing the receptor activities that these molecules regulate therefore playing a role in cellular responses and adaptation.

Pathways

DHRS7 integrates into metabolic and signaling pathways through its function in oxidation-reduction reactions. It participates in the steroid metabolism pathway where it perhaps interacts with cytochrome P450 enzymes that mediate a variety of biosynthetic processes. DHRS7 may also engage in the retinoid metabolic pathway related through the mutual need for enzymes capable of handling lipid-soluble vitamins and hormones. Its interaction with other enzymes in these pathways helps maintain cellular equilibrium and contributes to broader metabolic networks.

DHRS7 interactions have been linked with metabolic syndrome and liver disease. Abnormal activities of DHRS7 have been observed in conditions involving disrupted metabolic states suggesting a link to liver disease through impaired processing of substrates in the liver. The altered function of this enzyme can also affect pathways involving other proteins like cytochrome P450 leading to ripple effects in metabolic disorders such as atypical steroid processing in metabolic syndrome indicating the importance of DHRS7 in maintaining normal cellular physiology.

Product protocols

For this product, it's our understanding that no specific protocols are required. You can visit:

Target data

NADPH-dependent oxidoreductase which catalyzes the reduction of a variety of compounds bearing carbonyl groups including steroids, retinoids and xenobiotics (PubMed : 24246760, PubMed : 26466768, PubMed : 28457967, PubMed : 28687384). Catalyzes the reduction/inactivation of 5alpha-dihydrotestosterone to 3alpha-androstanediol, with a possible role in the modulation of androgen receptor function (PubMed : 28457967, PubMed : 28687384). Involved in the reduction of all-trans-retinal to all-trans-retinol (PubMed : 26466768). Converts cortisone to 20beta-dihydrocortisone in vitro, although the physiological relevance of this activity is questionable (PubMed : 28457967). Reduces exogenous compounds such as quinones (1,2-naphtoquinone, 9,10-phenantrenequinone and benzoquinone) and other xenobiotics (alpha-diketones) in vitro, suggesting a role in the biotransformation of xenobiotics with carbonyl group (PubMed : 24246760, PubMed : 26466768). A dehydrogenase activity has not been detected so far (PubMed : 24246760). May play a role as tumor suppressor (PubMed : 26311046).
See full target information DHRS7

Publications (2)

Recent publications for all applications. Explore the full list and refine your search

Cells 13: PubMed38201261

2024

Reduction in Nuclear Size by DHRS7 in Prostate Cancer Cells and by Estradiol Propionate in DHRS7-Depleted Cells.

Applications

Unspecified application

Species

Unspecified reactive species

Andrea Rizzotto,Sylvain Tollis,Nhan T Pham,Yijing Zheng,Maria Alba Abad,Jan Wildenhain,A Arockia Jeyaprakash,Manfred Auer,Mike Tyers,Eric C Schirmer

Nature communications 14:1277 PubMed36882470

2023

CTCF controls three-dimensional enhancer network underlying the inflammatory response of bone marrow-derived dendritic cells.

Applications

Unspecified application

Species

Unspecified reactive species

Bobae Yang,Sueun Kim,Woong-Jae Jung,Kyungwoo Kim,Sugyung Kim,Yong-Jin Kim,Tae-Gyun Kim,Eun-Chong Lee,Jung-Sik Joo,Chae Gyu Park,Sumin Oh,Kyung Hyun Yoo,Hyoung-Pyo Kim
View all publications

Product promise

We are committed to supporting your work with high-quality reagents, and we're here for you every step of the way. In the unlikely event that one of our products does not perform as expected, you're protected by our Product Promise.
For full details, please see our Terms & Conditions

Please note: All products are 'FOR RESEARCH USE ONLY. NOT FOR USE IN DIAGNOSTIC OR THERAPEUTIC PROCEDURES'.

For licensing inquiries, please contact partnerships@abcam.com