JavaScript is disabled in your browser. Please enable JavaScript to view this website.
AB85028

Anti-DHX15/prp43 antibody

Be the first to review this product! Submit a review

|

(1 Publication)

Rabbit Polyclonal DHX15/prp43 antibody. Suitable for IHC-P and reacts with Human samples. Cited in 1 publication. Immunogen corresponding to Synthetic Peptide within Human DHX15 aa 350-400.

View Alternative Names

DBP1, DDX15, DHX15, ATP-dependent RNA helicase DHX15, ATP-dependent RNA helicase #46, DEAH box protein 15, Splicing factor Prp43, hPrp43

1 Images
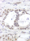
Immunohistochemistry (Formalin/PFA-fixed paraffin-embedded sections) - Anti-DHX15/prp43 antibody (AB85028)
  • IHC-P

Unknown

Immunohistochemistry (Formalin/PFA-fixed paraffin-embedded sections) - Anti-DHX15/prp43 antibody (AB85028)

ab85028 at 1/250 dilution staining DHX15/prp43 in human ovarian tumor by Immunohistochemistry, Formalin-fixed, Paraffin-embedded tissue. Detection : DAB staining.

Key facts

Host species

Rabbit

Clonality

Polyclonal

Isotype

IgG

Carrier free

No

Reacts with

Human

Applications

IHC-P

applications

Immunogen

Synthetic Peptide within Human DHX15 aa 350-400. The exact immunogen used to generate this antibody is proprietary information.

O43143

Reactivity data

{ "title": "Reactivity Data", "filters": { "stats": ["", "Species", "Dilution Info", "Notes"], "tabs": { "all-applications": {"fullname" : "All Applications", "shortname": "All Applications"}, "IHCP" : {"fullname" : "Immunohistochemistry (Formalin/PFA-fixed paraffin-embedded sections)", "shortname":"IHC-P"} }, "product-promise": { "all": "all", "testedAndGuaranteed": "tested", "guaranteed": "expected", "predicted": "predicted", "notRecommended": "not-recommended" } }, "values": { "Human": { "IHCP-species-checked": "testedAndGuaranteed", "IHCP-species-dilution-info": "1/100 - 1/500", "IHCP-species-notes": "<p>Epitope exposure with citrate buffer will enhance staining.</p>" }, "Mouse": { "IHCP-species-checked": "predicted", "IHCP-species-dilution-info": "", "IHCP-species-notes": "" }, "Rat": { "IHCP-species-checked": "predicted", "IHCP-species-dilution-info": "", "IHCP-species-notes": "" }, "Chimpanzee": { "IHCP-species-checked": "predicted", "IHCP-species-dilution-info": "", "IHCP-species-notes": "" }, "Cow": { "IHCP-species-checked": "predicted", "IHCP-species-dilution-info": "", "IHCP-species-notes": "" }, "Dog": { "IHCP-species-checked": "predicted", "IHCP-species-dilution-info": "", "IHCP-species-notes": "" }, "Gorilla": { "IHCP-species-checked": "predicted", "IHCP-species-dilution-info": "", "IHCP-species-notes": "" }, "Guinea pig": { "IHCP-species-checked": "predicted", "IHCP-species-dilution-info": "", "IHCP-species-notes": "" }, "Horse": { "IHCP-species-checked": "predicted", "IHCP-species-dilution-info": "", "IHCP-species-notes": "" }, "Medaka fish": { "IHCP-species-checked": "predicted", "IHCP-species-dilution-info": "", "IHCP-species-notes": "" }, "Orangutan": { "IHCP-species-checked": "predicted", "IHCP-species-dilution-info": "", "IHCP-species-notes": "" }, "Pig": { "IHCP-species-checked": "predicted", "IHCP-species-dilution-info": "", "IHCP-species-notes": "" }, "Platypus": { "IHCP-species-checked": "predicted", "IHCP-species-dilution-info": "", "IHCP-species-notes": "" }, "Rabbit": { "IHCP-species-checked": "predicted", "IHCP-species-dilution-info": "", "IHCP-species-notes": "" }, "Rhesus monkey": { "IHCP-species-checked": "predicted", "IHCP-species-dilution-info": "", "IHCP-species-notes": "" }, "Tilapia": { "IHCP-species-checked": "predicted", "IHCP-species-dilution-info": "", "IHCP-species-notes": "" } } }

Properties and storage information

Form
Liquid
Purification technique
Affinity purification Immunogen
Storage buffer
pH: 6.8 - 7.4 Preservative: 0.09% Sodium azide Constituents: Tris buffered saline, 0.1% BSA
Shipped at conditions
Blue Ice
Appropriate short-term storage conditions
+4°C
Appropriate long-term storage conditions
+4°C
Aliquoting information
Upon delivery aliquot
Storage information
Avoid freeze / thaw cycle

Supplementary information

This supplementary information is collated from multiple sources and compiled automatically.

DHX15 also known as DEAH-Box Protein 15 or prp43 forms part of the DExH/D-box helicase family. This protein functions in the ATP-dependent unwinding of RNA and has a molecular mass of approximately 95 kDa. Expression of DHX15 is found in various tissues with high levels in heart and skeletal muscle. The protein is involved in the splicing of pre-mRNA and rRNA processing where its enzymatic activities ensure the proper modification and maturation of RNA molecules.
Biological function summary

The splicing complex involves DHX15 as an important component. This protein plays a role in the disassembly of spliceosomes leading to spliceosome recycling essential for efficient mRNA processing. DHX15 associates with other proteins within the spliceosome helping to coordinate the removal of introns from pre-mRNA. As part of the broader RNA processing machinery DHX15 ensures the accurate and efficient production of mature RNA necessary for proper gene expression and cellular function.

Pathways

DHX15 participates in the mRNA splicing and ribosome biogenesis pathways. It works alongside related proteins like SF3B1 within the spliceosome for mRNA splicing. Ribosome biogenesis involves DHX15 acting in concert with several factors to facilitate rRNA maturation impacting protein synthesis capacities of cells. These pathways which require precise RNA processing and protein assembly highlight DHX15's roles in cellular metabolism and regulatory mechanisms.

DHX15 associates with myelodysplastic syndrome and congenital heart defects. Mutations or dysregulation of DHX15 disrupt RNA processing contributing to these conditions. The protein SF3B1 interacts with DHX15 in myelodysplastic syndrome. In congenital heart defects disrupted DHX15 function correlates with improper heart and vascular formation during development. Understanding these associations points to the significance of DHX15 in maintaining RNA processing fidelity and its broader implications in human health.

Product protocols

For this product, it's our understanding that no specific protocols are required. You can visit:

Target data

RNA helicase involved in mRNA processing and antiviral innate immunity (PubMed : 19103666, PubMed : 19432882, PubMed : 24782566, PubMed : 24990078, PubMed : 32179686, PubMed : 34161762). Pre-mRNA processing factor involved in disassembly of spliceosomes after the release of mature mRNA (PubMed : 19103666). In cooperation with TFIP11 seem to be involved in the transition of the U2, U5 and U6 snRNP-containing IL complex to the snRNP-free IS complex leading to efficient debranching and turnover of excised introns (PubMed : 19103666). Plays a key role in antiviral innate immunity by promoting both MAVS-dependent signaling and NLRP6 inflammasome (PubMed : 24782566, PubMed : 24990078, PubMed : 34161762). Acts as an RNA virus sensor : recognizes and binds viral double stranded RNA (dsRNA) and activates the MAVS-dependent signaling to produce interferon-beta and interferon lambda-3 (IFNL3) (PubMed : 24782566, PubMed : 24990078, PubMed : 34161762). Involved in intestinal antiviral innate immunity together with NLRP6 : recognizes and binds viral dsRNA and promotes activation of the NLRP6 inflammasome in intestinal epithelial cells to restrict infection by enteric viruses (PubMed : 34161762). The NLRP6 inflammasome acts by promoting maturation and secretion of IL18 in the extracellular milieu (PubMed : 34161762). Also involved in antibacterial innate immunity by promoting Wnt-induced antimicrobial protein expression in Paneth cells (By similarity).
See full target information DHX15

Publications (1)

Recent publications for all applications. Explore the full list and refine your search

Physiological reports 11:e15784 PubMed37549955

2023

Cold water immersion in recovery following a single bout resistance exercise suppresses mechanisms of miRNA nuclear export and maturation.

Applications

Unspecified application

Species

Unspecified reactive species

Randall F D'Souza,Vandre C Figueiredo,James F Markworth,Nina Zeng,Christopher P Hedges,Llion A Roberts,Truls Raastad,Jeff S Coombes,Jonathan M Peake,Cameron J Mitchell,David Cameron-Smith
View all publications

Product promise

We are committed to supporting your work with high-quality reagents, and we're here for you every step of the way. In the unlikely event that one of our products does not perform as expected, you're protected by our Product Promise.
For full details, please see our Terms & Conditions

Please note: All products are 'FOR RESEARCH USE ONLY. NOT FOR USE IN DIAGNOSTIC OR THERAPEUTIC PROCEDURES'.

For licensing inquiries, please contact partnerships@abcam.com