JavaScript is disabled in your browser. Please enable JavaScript to view this website.
AB129167

Anti-DIAPH1 antibody [EPR7948]

  • BOND RX™ Validated
  • RabMAb
  • Recombinant
  • KO Validated
  • What is this?

5

(1 Review)

|

(19 Publications)

Rabbit Recombinant Monoclonal DIAPH1 antibody. Suitable for IHC-P, ICC/IF, WB, Flow Cyt (Intra) and reacts with Mouse, Rat, Human samples. Cited in 19 publications.

View Alternative Names

DIAP1, DIAPH1, Protein diaphanous homolog 1, Diaphanous-related formin-1, DRF1

9 Images
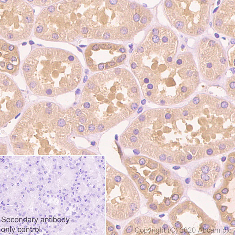
Immunohistochemistry (Formalin/PFA-fixed paraffin-embedded sections) - Anti-DIAPH1 antibody [EPR7948] (AB129167)
  • IHC-P

Lab

Immunohistochemistry (Formalin/PFA-fixed paraffin-embedded sections) - Anti-DIAPH1 antibody [EPR7948] (AB129167)

Immunohistochemistry (Formalin/PFA-fixed paraffin-embedded sections) analysis of human kidney tissue sections labeling DIAPH1 with Purified ab129167 at 1/100 dilution (5.96 µg/mL). Heat mediated antigen retrieval using Bond™ Epitope Retrieval Solution 2 (pH 9.0). Rabbit specific IHC polymer detection kit HRP/DAB (ab209101) was used as the secondary antibody. Negative control : PBS instead of the primary antibody. Hematoxylin was used as a counterstain.

Flow Cytometry (Intracellular) - Anti-DIAPH1 antibody [EPR7948] (AB129167)
  • Flow Cyt (Intra)

Lab

Flow Cytometry (Intracellular) - Anti-DIAPH1 antibody [EPR7948] (AB129167)

Intracellular Flow Cytometry analysis of HeLa (human epithelial cell line from cervix adenocarcinoma) cells labeling DIAPH1 with purified ab129167 at 1/50 dilution. Cells were fixed with 4% paraformaldehyde and permeabilised with 90% methanol. Goat Anti-Rabbit IgG H&L (Alexa Fluor® 488) (ab150077) at 1/2000 was used as the secondary antibody (red). Rabbit monoclonal IgG (ab172730) was used as the isotype control (black). Cells without incubation with primary and secondary antibodies were used as the unlabeled control (blue).

Immunocytochemistry/ Immunofluorescence - Anti-DIAPH1 antibody [EPR7948] (AB129167)
  • ICC/IF

Lab

Immunocytochemistry/ Immunofluorescence - Anti-DIAPH1 antibody [EPR7948] (AB129167)

Immunocytochemistry analysis of HeLa (Human cervix adenocarcinoma epithelial cell) cells labeling DIAPH1 with Purified ab129167 at 1/50 dilution (10 µg/mL). Cells were fixed in 4% Paraformaldehyde and permeabilized with 0.1% tritonX-100. Cells were counterstained with ab195889 Anti-alpha Tubulin antibody [DM1A] - Microtubule Marker (Alexa Fluor® 594) 1/200 dilution (2.5 µg/mL). Goat anti rabbit IgG (Alexa Fluor® 488, ab150077) was used as the secondary antibody at 1/1000 dilution (2 µg/mL). DAPI (blue) was used as nuclear counterstain. PBS instead of the primary antibody was used as the secondary antibody only control.

Immunohistochemistry (Formalin/PFA-fixed paraffin-embedded sections) - Anti-DIAPH1 antibody [EPR7948] (AB129167)
  • IHC-P

Lab

Immunohistochemistry (Formalin/PFA-fixed paraffin-embedded sections) - Anti-DIAPH1 antibody [EPR7948] (AB129167)

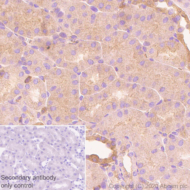
Immunohistochemistry (Formalin/PFA-fixed paraffin-embedded sections) analysis of mouse kidney tissue sections labeling DIAPH1 with Purified ab129167 at 1/100 dilution (5.96 µg/mL). Heat mediated antigen retrieval using Bond™ Epitope Retrieval Solution 2 (pH 9.0). Rabbit specific IHC polymer detection kit HRP/DAB (ab209101) was used as the secondary antibody. Negative control : PBS instead of the primary antibody. Hematoxylin was used as a counterstain.

Immunohistochemistry (Formalin/PFA-fixed paraffin-embedded sections) - Anti-DIAPH1 antibody [EPR7948] (AB129167)
  • IHC-P

Lab

Immunohistochemistry (Formalin/PFA-fixed paraffin-embedded sections) - Anti-DIAPH1 antibody [EPR7948] (AB129167)

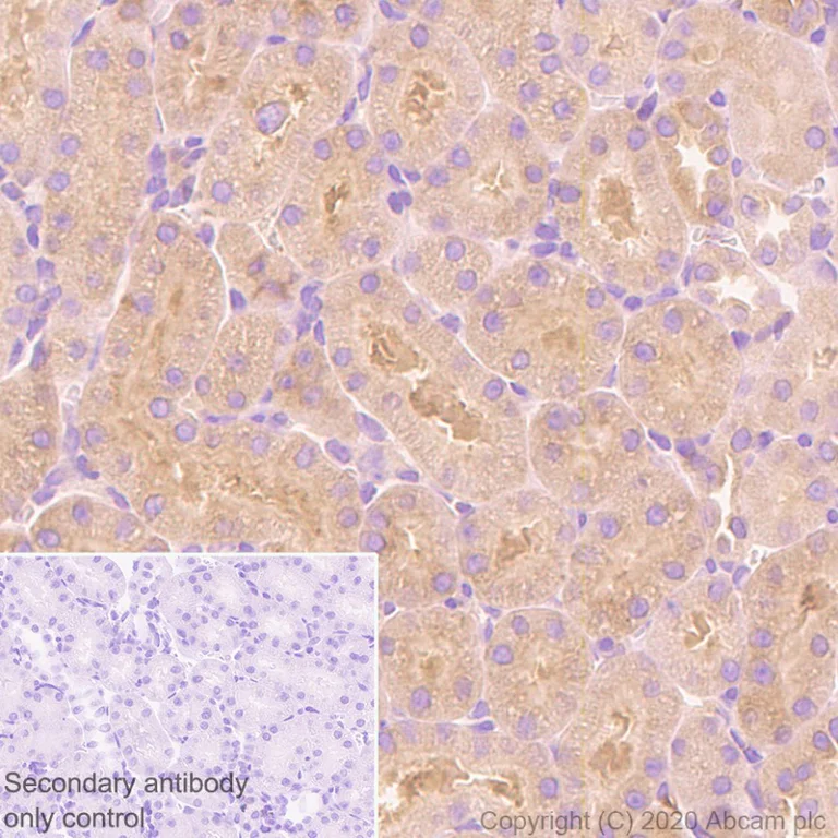
Immunohistochemistry (Formalin/PFA-fixed paraffin-embedded sections) analysis of rat kidney tissue sections labeling DIAPH1 with Purified ab129167 at 1/100 dilution (5.96 µg/mL). Heat mediated antigen retrieval using Bond™ Epitope Retrieval Solution 2 (pH 9.0). Rabbit specific IHC polymer detection kit HRP/DAB (ab209101) was used as the secondary antibody. Negative control : PBS instead of the primary antibody. Hematoxylin was used as a counterstain.

Western blot - Anti-DIAPH1 antibody [EPR7948] (AB129167)
  • WB

Unknown

Western blot - Anti-DIAPH1 antibody [EPR7948] (AB129167)

All lanes:

Western blot - Anti-DIAPH1 antibody [EPR7948] (ab129167) at 1/1000 dilution

Lane 1:

HEK-293 (Human embryonic kidney epithelial cell) whole cell lysate at 20 µg

Lane 2:

Human brain lysate at 20 µg

Lane 3:

RAW 264.7 (Mouse Abelson murine leukemia virus-induced tumor macrophage) whole cell lysate at 20 µg

Secondary

All lanes:

Goat Anti-Rabbit IgG (HRP) with minimal cross-reactivity with human IgG at 1/2000 dilution

Predicted band size: 141 kDa

false

Western blot - Anti-DIAPH1 antibody [EPR7948] (AB129167)
  • WB

Lab

Western blot - Anti-DIAPH1 antibody [EPR7948] (AB129167)

Lanes 1 - 2 : Merged signal (red and green). Green - ab129167 observed at 155 kDa. Red - loading control ab8245 (Mouse anti-GAPDH antibody [6C5]) observed at 37kDa.

ab129167 was shown to react with DIAPH1 in wild-type HCT 116 cells in western blot with loss of signal observed in DIAPH1 knockout cell line ab273727 (DIAPH1 knockout cell lysate ab275252). Wild-type and DIAPH1 knockout HCT 116 cell lysates were subjected to SDS-PAGE. Membranes were blocked in 3% milk in TBS-T (0.1% Tween®) before incubation with ab129167 and ab8245 (Mouse anti-GAPDH antibody [6C5]) overnight at 4°C at a 1 in 1000 dilution and a 1 in 20000 dilution respectively. Blots were incubated with Goat anti-Rabbit IgG H&L (IRDye® 800CW) preabsorbed (ab216773) and Goat anti-Mouse IgG H&L (IRDye® 680RD) preabsorbed (ab216776) secondary antibodies at 1 in 20000 dilution for 1 hour at room temperature before imaging.

All lanes:

Western blot - Anti-DIAPH1 antibody [EPR7948] (ab129167) at 1/1000 dilution

Lane 1:

Wild-type HCT116 cell lysate at 20 µg

Lane 2:

DIAPH1 knockout HCT116 cell lysate at 20 µg

Lane 2:

Western blot - Human DIAPH1 knockout HEK-293T cell line (<a href='/en-us/products/cell-lines/human-diaph1-knockout-hek-293t-cell-line-ab266120'>ab266120</a>)

Predicted band size: 141 kDa

Observed band size: 155 kDa

false

Western blot - Anti-DIAPH1 antibody [EPR7948] (AB129167)
  • WB

Lab

Western blot - Anti-DIAPH1 antibody [EPR7948] (AB129167)

Lanes 1- 2 : Merged signal (red and green). Green - ab129167 observed at 150 kDa. Red - Anti-alpha Tubulin antibody [DM1A] - Loading Control (ab7291) observed at 50 kDa.

ab129167 was shown to react with DIAPH1 in wild-type HEK-293T cells in western blot. Loss of signal was observed when knockout cell line ab266120 (knockout cell lysate ab257411) was used. Wild-type HEK-293T and DIAPH1 knockout HEK-293T cell lysates were subjected to SDS-PAGE. Membrane was blocked for 1 hour at room temperature in 0.1% TBST with 3% non-fat dried milk. ab129167 and Anti-alpha Tubulin antibody [DM1A] - Loading Control (ab7291) overnight at 4°C at a 1 in 1000 dilution and a 1 in 20000 dilution respectively. Blots were developed with Goat anti-Rabbit IgG H&L (IRDye®800CW) preadsorbed (ab216773) and Goat anti-Mouse IgG H&L (IRDye®680RD) preadsorbed (ab216776) secondary antibodies at 1 in 20000 dilution for 1 hour at room temperature before imaging.

All lanes:

Western blot - Anti-DIAPH1 antibody [EPR7948] (ab129167) at 1/1000 dilution

Lane 1:

Wild-type HEK-293T cell lysate at 20 µg

Lane 2:

DIAPH1 knockout HEK-293T cell lysate at 20 µg

Lane 2:

Western blot - Human DIAPH1 knockout HCT116 cell line (<a href='/en-us/products/cell-lines/human-diaph1-knockout-hct116-cell-line-ab273727'>ab273727</a>)

Predicted band size: 141 kDa

Observed band size: 150 kDa

false

Western blot - Anti-DIAPH1 antibody [EPR7948] (AB129167)
  • WB

Unknown

Western blot - Anti-DIAPH1 antibody [EPR7948] (AB129167)

All lanes:

Western blot - Anti-DIAPH1 antibody [EPR7948] (ab129167) at 1/10000 dilution

Lane 1:

PC-12 (Rat adrenal gland pheochromocytoma ) whole cell lysate at 20 µg

Lane 2:

MCF7 (Human breast adenocarcinoma epithelial cell) whole cell lysate at 20 µg

Secondary

All lanes:

Goat Anti-Rabbit IgG (HRP) with minimal cross-reactivity with human IgG at 1/2000 dilution

Predicted band size: 141 kDa

false

  • 665 Alexa Fluor® 647

    Alexa Fluor® 647 Anti-DIAPH1 antibody [EPR7948]

  • Carrier free

    Anti-DIAPH1 antibody [EPR7948] - BSA and Azide free

  • 660 APC

    APC Anti-DIAPH1 antibody [EPR7948]

  • HRP

    HRP Anti-DIAPH1 antibody [EPR7948]

  • 617 Alexa Fluor® 594

    Alexa Fluor® 594 Anti-DIAPH1 antibody [EPR7948]

  • 519 Alexa Fluor® 488

    Alexa Fluor® 488 Anti-DIAPH1 antibody [EPR7948]

  • 565 Alexa Fluor® 555

    Alexa Fluor® 555 Anti-DIAPH1 antibody [EPR7948]

  • 603 Alexa Fluor® 568

    Alexa Fluor® 568 Anti-DIAPH1 antibody [EPR7948]

  • 578 PE

    PE Anti-DIAPH1 antibody [EPR7948]

  • 775 Alexa Fluor® 750

    Alexa Fluor® 750 Anti-DIAPH1 antibody [EPR7948]

Key facts

Host species

Rabbit

Clonality

Monoclonal

Clone number

EPR7948

Isotype

IgG

Carrier free

No

Reacts with

Mouse, Rat, Human

Applications

WB, IHC-P, Flow Cyt (Intra), ICC/IF

applications

Immunogen

The exact immunogen used to generate this antibody is proprietary information.

Reactivity data

{ "title": "Reactivity Data", "filters": { "stats": ["", "Species", "Dilution Info", "Notes"], "tabs": { "all-applications": {"fullname" : "All Applications", "shortname": "All Applications"}, "IHCP" : {"fullname" : "Immunohistochemistry (Formalin/PFA-fixed paraffin-embedded sections)", "shortname":"IHC-P"}, "ICCIF" : {"fullname" : "Immunocytochemistry/ Immunofluorescence", "shortname":"ICC/IF"}, "WB" : {"fullname" : "Western blot", "shortname":"WB"}, "FlowCytIntra" : {"fullname" : "Flow Cytometry (Intracellular)", "shortname":"Flow Cyt (Intra)"} }, "product-promise": { "all": "all", "testedAndGuaranteed": "tested", "guaranteed": "expected", "predicted": "predicted", "notRecommended": "not-recommended" } }, "values": { "Human": { "IHCP-species-checked": "testedAndGuaranteed", "IHCP-species-dilution-info": "1/50 - 1/100", "IHCP-species-notes": "<p></p>", "ICCIF-species-checked": "testedAndGuaranteed", "ICCIF-species-dilution-info": "1/50", "ICCIF-species-notes": "<p><strong>For unpurified use at 1/100 - 1/250.</strong></p>", "WB-species-checked": "testedAndGuaranteed", "WB-species-dilution-info": "1/1000 - 1/10000", "WB-species-notes": "<p></p>", "FlowCytIntra-species-checked": "testedAndGuaranteed", "FlowCytIntra-species-dilution-info": "1/50", "FlowCytIntra-species-notes": "<p></p>" }, "Mouse": { "IHCP-species-checked": "testedAndGuaranteed", "IHCP-species-dilution-info": "1/50 - 1/100", "IHCP-species-notes": "<p></p>", "ICCIF-species-checked": "guaranteed", "ICCIF-species-dilution-info": "", "ICCIF-species-notes": "", "WB-species-checked": "guaranteed", "WB-species-dilution-info": "", "WB-species-notes": "", "FlowCytIntra-species-checked": "guaranteed", "FlowCytIntra-species-dilution-info": "", "FlowCytIntra-species-notes": "" }, "Rat": { "IHCP-species-checked": "testedAndGuaranteed", "IHCP-species-dilution-info": "1/50 - 1/100", "IHCP-species-notes": "<p></p>", "ICCIF-species-checked": "guaranteed", "ICCIF-species-dilution-info": "", "ICCIF-species-notes": "", "WB-species-checked": "testedAndGuaranteed", "WB-species-dilution-info": "1/1000 - 1/10000", "WB-species-notes": "<p></p>", "FlowCytIntra-species-checked": "guaranteed", "FlowCytIntra-species-dilution-info": "", "FlowCytIntra-species-notes": "" } } }

Product details

Patented technology
Our RabMAb® technology is a patented hybridoma-based technology for making rabbit monoclonal antibodies. For details on our patents, please refer to RabMAb® patents.

What are the advantages of a recombinant monoclonal antibody?
This product is a recombinant monoclonal antibody, which offers several advantages including:

  • - High batch-to-batch consistency and reproducibility
  • - Improved sensitivity and specificity
  • - Long-term security of supply
  • - Animal-free batch production

For more information, read more on recombinant antibodies.

Properties and storage information

Form
Liquid
Purification technique
Affinity purification Protein A
Storage buffer
pH: 7.2 - 7.4 Preservative: 0.01% Sodium azide Constituents: PBS, 40% Glycerol (glycerin, glycerine), 0.05% BSA
Shipped at conditions
Blue Ice
Appropriate short-term storage duration
1-2 weeks
Appropriate short-term storage conditions
+4°C
Appropriate long-term storage conditions
-20°C
Aliquoting information
Upon delivery aliquot
Storage information
Avoid freeze / thaw cycle

Supplementary information

This supplementary information is collated from multiple sources and compiled automatically.

DIAPH1 also known as Diaphanous-related formin 1 operates mainly in actin polymerization and is critical for filament formation. It weighs approximately 140 kDa. DIAPH1 expresses in a variety of tissues including heart liver and kidney making it a target of interest in multiple biological contexts. The protein plays a role in maintaining proper cytoskeletal dynamics by regulating the assembly of actin filaments.
Biological function summary

DIAPH1 functions as part of the formin family which are important in cytoskeletal organization. It interacts with other proteins to initiate and elongate actin filaments often acting within larger protein complexes that control cellular morphology and movement. DIAPH1 contributes to muscle contraction cell division and cell migration highlighting its importance in cellular structure and dynamics.

Pathways

DIAPH1 plays a significant role in the Rho GTPase signaling pathway. This pathway connects to cytoskeleton remodeling impacting cell shape and movement. DIAPH1 associates with proteins like RhoA which regulates its activity. Additionally DIAPH1 influences the Wnt signaling pathway known for its involvement in cell proliferation and differentiation.

DIAPH1 is connected to a form of sensorineural hearing loss and leukemia. Mutations in DIAPH1 can lead to autosomal dominant deafness as it affects the proper maintenance of actin structures in hair cells within the inner ear. The protein also interacts with genes linked to cancer development including those coding for p53 influencing tumorigenesis and cell cycle regulation.

Product protocols

For this product, it's our understanding that no specific protocols are required. You can visit:

Target data

Actin nucleation and elongation factor required for the assembly of F-actin structures, such as actin cables and stress fibers (By similarity). Binds to the barbed end of the actin filament and slows down actin polymerization and depolymerization (By similarity). Required for cytokinesis, and transcriptional activation of the serum response factor (By similarity). DFR proteins couple Rho and Src tyrosine kinase during signaling and the regulation of actin dynamics (By similarity). Functions as a scaffold protein for MAPRE1 and APC to stabilize microtubules and promote cell migration (By similarity). Has neurite outgrowth promoting activity. Acts in a Rho-dependent manner to recruit PFY1 to the membrane (By similarity). In hear cells, it may play a role in the regulation of actin polymerization in hair cells (PubMed : 20937854, PubMed : 21834987, PubMed : 26912466). The MEMO1-RHOA-DIAPH1 signaling pathway plays an important role in ERBB2-dependent stabilization of microtubules at the cell cortex (PubMed : 20937854, PubMed : 21834987). It controls the localization of APC and CLASP2 to the cell membrane, via the regulation of GSK3B activity (PubMed : 20937854, PubMed : 21834987). In turn, membrane-bound APC allows the localization of the MACF1 to the cell membrane, which is required for microtubule capture and stabilization (PubMed : 20937854, PubMed : 21834987). Plays a role in the regulation of cell morphology and cytoskeletal organization. Required in the control of cell shape (PubMed : 20937854, PubMed : 21834987). Plays a role in brain development (PubMed : 24781755). Also acts as an actin nucleation and elongation factor in the nucleus by promoting nuclear actin polymerization inside the nucleus to drive serum-dependent SRF-MRTFA activity (By similarity).
See full target information DIAPH1

Publications (19)

Recent publications for all applications. Explore the full list and refine your search

Cancer cell international 25:226 PubMed40544244

2025

Prognostic and therapeutic potential of disulfidptosis-related genes in colon adenocarcinoma: a comprehensive multi-omics study.

Applications

Unspecified application

Species

Unspecified reactive species

Ye Song,Haoran Zhu,Junyang Wei,Shanxue Yin

eLife 12: PubMed38502163

2024

Rho GTPase signaling and mDia facilitate endocytosis via presynaptic actin.

Applications

Unspecified application

Species

Unspecified reactive species

Kristine Oevel,Svea Hohensee,Atul Kumar,Irving Rosas-Brugada,Francesca Bartolini,Tolga Soykan,Volker Haucke

Nature communications 14:6900 PubMed37903764

2023

DIAPH1-MFN2 interaction regulates mitochondria-SR/ER contact and modulates ischemic/hypoxic stress.

Applications

Unspecified application

Species

Unspecified reactive species

Gautham Yepuri,Lisa M Ramirez,Gregory G Theophall,Sergei V Reverdatto,Nosirudeen Quadri,Syed Nurul Hasan,Lei Bu,Devi Thiagarajan,Robin Wilson,Raquel López Díez,Paul F Gugger,Kaamashri Mangar,Navneet Narula,Stuart D Katz,Boyan Zhou,Huilin Li,Aleksandr B Stotland,Roberta A Gottlieb,Ann Marie Schmidt,Alexander Shekhtman,Ravichandran Ramasamy

Journal of molecular medicine (Berlin, Germany) 101:1015-1028 PubMed37462767

2023

Novel insights into the nervous system affected by prolonged hyperglycemia.

Applications

Unspecified application

Species

Unspecified reactive species

Kamila Zglejc-Waszak,Konark Mukherjee,Agnieszka Korytko,Bogdan Lewczuk,Andrzej Pomianowski,Joanna Wojtkiewicz,Marta Banach,Michał Załęcki,Natalia Nowicka,Julia Jarosławska,Bernard Kordas,Krzysztof Wąsowicz,Judyta K Juranek

Communications biology 6:280 PubMed36932214

2023

DIAPH1 mediates progression of atherosclerosis and regulates hepatic lipid metabolism in mice.

Applications

Unspecified application

Species

Unspecified reactive species

Laura Senatus,Lander Egaña-Gorroño,Raquel López-Díez,Sonia Bergaya,Juan Francisco Aranda,Jaume Amengual,Lakshmi Arivazhagan,Michaele B Manigrasso,Gautham Yepuri,Ramesh Nimma,Kaamashri N Mangar,Rollanda Bernadin,Boyan Zhou,Paul F Gugger,Huilin Li,Richard A Friedman,Neil D Theise,Alexander Shekhtman,Edward A Fisher,Ravichandran Ramasamy,Ann Marie Schmidt

Frontiers in molecular biosciences 9:910950 PubMed36589226

2022

Diaphanous-related formin subfamily: Novel prognostic biomarkers and tumor microenvironment regulators for pancreatic adenocarcinoma.

Applications

Unspecified application

Species

Unspecified reactive species

Bixi Zhang,Qing Hu,Yanchun Li,Canxia Xu,Xiaoran Xie,Peng Liu,Meihua Xu,Siming Gong,Hao Wu

Frontiers in cell and developmental biology 10:1008898 PubMed36274843

2022

Ena/VASP proteins at the crossroads of actin nucleation pathways in dendritic cell migration.

Applications

Unspecified application

Species

Unspecified reactive species

Sai Prasanna Visweshwaran,Hafiza Nayab,Lennart Hoffmann,Marine Gil,Fan Liu,Ronald Kühne,Tanja Maritzen

eLife 11: PubMed35442189

2022

Correction: Generation of stress fibers through myosin-driven reorganization of the actin cortex.

Applications

Unspecified application

Species

Unspecified reactive species

Jaakko I Lehtimäki,Eeva Kaisa Rajakylä,Sari Tojkander,Pekka Lappalainen

The Journal of cell biology 221: PubMed35323863

2022

Dia1 coordinates differentiation and cell sorting in a stratified epithelium.

Applications

Unspecified application

Species

Unspecified reactive species

Robert M Harmon,John Devany,Margaret L Gardel

Frontiers in oncology 11:716876 PubMed34631544

2021

DIAPH1 Promotes Laryngeal Squamous Cell Carcinoma Progression Through Cell Cycle Regulation.

Applications

Unspecified application

Species

Unspecified reactive species

Jiechao Yang,Qiang Huang,Yang Guo,Zheqiang Wei,Liang Zhou,Hui Chen
View all publications

Product promise

We are committed to supporting your work with high-quality reagents, and we're here for you every step of the way. In the unlikely event that one of our products does not perform as expected, you're protected by our Product Promise.
For full details, please see our Terms & Conditions

Please note: All products are 'FOR RESEARCH USE ONLY. NOT FOR USE IN DIAGNOSTIC OR THERAPEUTIC PROCEDURES'.

For licensing inquiries, please contact partnerships@abcam.com