JavaScript is disabled in your browser. Please enable JavaScript to view this website.
AB259327

Anti-Dicer antibody [EPR24104-105]

  • BOND RX™ Validated
  • 20ul selling size
  • RabMAb
  • Recombinant
  • KO Validated
  • What is this?

Be the first to review this product! Submit a review

|

(8 Publications)

Rabbit Recombinant Monoclonal DICER antibody. Suitable for WB, IHC-P and reacts with Mouse, Rat, Human samples. Cited in 8 publications.

View Alternative Names

DICER, HERNA, KIAA0928, DICER1, Endoribonuclease Dicer, Helicase with RNase motif, Helicase MOI

9 Images
Immunohistochemistry (Formalin/PFA-fixed paraffin-embedded sections) - Anti-Dicer antibody [EPR24104-105] (AB259327)
  • IHC-P

Supplier Data

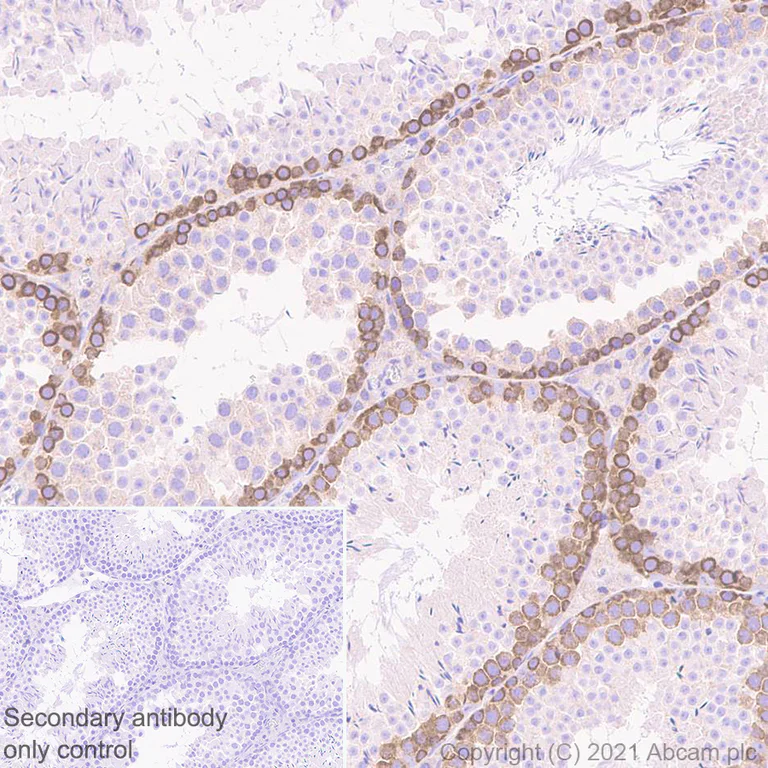
Immunohistochemistry (Formalin/PFA-fixed paraffin-embedded sections) - Anti-Dicer antibody [EPR24104-105] (AB259327)

Immunohistochemical analysis of paraffin-embedded Human testis tissue labelling Dicer with ab259327 at 1/100 dilution (5.05 ug/ml) followed by a ready to use Rabbit specific IHC polymer detection kit HRP/DAB (ab209101). Positive staining on human testis (PMID : 17573847). The section was incubated with ab259327 for 30 mins at room temperature. The immunostaining was performed on a Leica Biosystems BOND® RX instrument. Counterstained with Hematoxylin.

Secondary antibody only control : Secondary antibody is a ready to use Rabbit specific IHC polymer detection kit HRP/DAB (ab209101).

Heat mediated antigen retrieval with Tris-EDTA buffer (pH 9.0, epitope retrieval solution2) for 20 mins

Immunohistochemistry (Formalin/PFA-fixed paraffin-embedded sections) - Anti-Dicer antibody [EPR24104-105] (AB259327)
  • IHC-P

Supplier Data

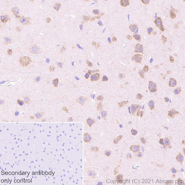
Immunohistochemistry (Formalin/PFA-fixed paraffin-embedded sections) - Anti-Dicer antibody [EPR24104-105] (AB259327)

Immunohistochemical analysis of paraffin-embedded Mouse cerebrum tissue labelling Dicer with ab259327 at 1/100 dilution (5.05 ug/ml) followed by a ready to use Rabbit specific IHC polymer detection kit HRP/DAB (ab209101). Positive staining on mouse cerebrum (PMID : 32737764). The section was incubated with ab259327 for 30 mins at room temperature. The immunostaining was performed on a Leica Biosystems BOND® RX instrument. Counterstained with Hematoxylin.

Secondary antibody only control : Secondary antibody is a ready to use Rabbit specific IHC polymer detection kit HRP/DAB (ab209101).

Heat mediated antigen retrieval with Tris-EDTA buffer (pH 9.0, epitope retrieval solution2) for 20 mins

Immunohistochemistry (Formalin/PFA-fixed paraffin-embedded sections) - Anti-Dicer antibody [EPR24104-105] (AB259327)
  • IHC-P

Supplier Data

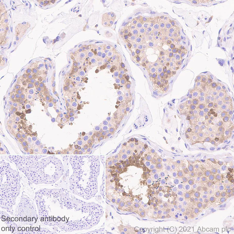
Immunohistochemistry (Formalin/PFA-fixed paraffin-embedded sections) - Anti-Dicer antibody [EPR24104-105] (AB259327)

Immunohistochemical analysis of paraffin-embedded Mouse testis tissue labelling Dicer with ab259327 at 1/100 dilution (5.05 ug/ml) followed by a ready to use Rabbit specific IHC polymer detection kit HRP/DAB (ab209101). Positive staining on mouse testis. The section was incubated with ab259327 for 30 mins at room temperature. The immunostaining was performed on a Leica Biosystems BOND® RX instrument. Counterstained with Hematoxylin.

Secondary antibody only control : Secondary antibody is a ready to use Rabbit specific IHC polymer detection kit HRP/DAB (ab209101).

Heat mediated antigen retrieval with Tris-EDTA buffer (pH 9.0, epitope retrieval solution2) for 20 mins

Immunohistochemistry (Formalin/PFA-fixed paraffin-embedded sections) - Anti-Dicer antibody [EPR24104-105] (AB259327)
  • IHC-P

Supplier Data

Immunohistochemistry (Formalin/PFA-fixed paraffin-embedded sections) - Anti-Dicer antibody [EPR24104-105] (AB259327)

Immunohistochemical analysis of paraffin-embedded Rat testis tissue labelling Dicer with ab259327 at 1/100 dilution (5.05 ug/ml) followed by a ready to use Rabbit specific IHC polymer detection kit HRP/DAB (ab209101). Positive staining on rat testis. The section was incubated with ab259327 for 30 mins at room temperature. The immunostaining was performed on a Leica Biosystems BOND® RX instrument. Counterstained with Hematoxylin.

Secondary antibody only control : Secondary antibody is a ready to use Rabbit specific IHC polymer detection kit HRP/DAB (ab209101).

Heat mediated antigen retrieval with Tris-EDTA buffer (pH 9.0, epitope retrieval solution2) for 20 mins

Western blot - Anti-Dicer antibody [EPR24104-105] (AB259327)
  • WB

Lab

Western blot - Anti-Dicer antibody [EPR24104-105] (AB259327)

False colour image of Western blot : Anti-Dicer antibody [EPR24104-105] staining at 1/1000 dilution, shown in green; Mouse anti-Alpha Tubulin [DM1A] (ab7291) loading control staining at 1/20000 dilution, shown in red. In Western blot, ab259327 was shown to bind specifically to Dicer. A band was observed at 218 kDa in wild-type HEK-293T cell lysates with no signal observed at this size in DICER1 knockout cell line. To generate this image, wild-type and DICER1 knockout HEK-293T cell lysates were analysed. First, samples were run on an SDS-PAGE gel then transferred onto a nitrocellulose membrane. Membranes were blocked in 5 % milk in TBS-0.1 % Tween®$20 (TBS-T) before incubation with primary antibodies overnight at 4 °C. Blots were washed four times in TBS-T, incubated with secondary antibodies for 1 h at room temperature, washed again four times then imaged. Secondary antibodies used were Goat anti-Rabbit IgG H&L 800CW and Goat anti-Mouse IgG H&L 680RD at 1/20000 dilution.

Lanes 1 - 7:

Western blot - Anti-Dicer antibody [EPR24104-105] (ab259327) at 1/1000 dilution

Lanes 1 - 7:

Western blot - Anti-Dicer antibody [EPR24104-105] - BSA and Azide free (<a href='/en-us/products/primary-antibodies/dicer-antibody-epr24104-105-bsa-and-azide-free-ab280957'>ab280957</a>) at 1/1000 dilution

Lane 1:

Wild-type HEK-293T cell lysate at 20 µg

Lane 2:

DICER1 knockout HEK-293T cell lysate at 20 µg

Lane 2:

Western blot - Human DICER1 knockout HEK293T cell line[2-20] (<a href='/en-us/products/cell-lines/human-dicer1-knockout-hek293t-cell-line2-20-ab291116'>ab291116</a>)

Lane 3:

DICER1 2-20 knockout HEK-293T cell lysate at 20 µg

Lane 4:

Empty

Lane 5:

HeLa cell lysate at 20 µg

Lane 6:

Wild-type HAP1 cell lysate at 20 µg

Lane 7:

Dicer1 knockout HAP1 cell lysate at 20 µg

Secondary

All lanes:

Goat anti-Rabbit IgG H&L 800CW and Goat anti-Mouse IgG H&L 680RD at 1/20000 dilution

Observed band size: 218 kDa

false

Western blot - Anti-Dicer antibody [EPR24104-105] (AB259327)
  • WB

Lab

Western blot - Anti-Dicer antibody [EPR24104-105] (AB259327)

Blocking and diluting buffer and concentration : 5% NFDM/TBST

Negative control : THP-1 (PMID : 20584909).

Lysates were made freshly and used in WB test immediately to minimize protein degradation.

Exposure time : 48 seconds

All lanes:

Western blot - Anti-Dicer antibody [EPR24104-105] (ab259327) at 1/1000 dilution

Lane 1:

THP-1 (human monocytic leukemia monocyte) whole cell lysate at 20 µg

Lane 2:

RAW264.7 (mouse Abelson murine leukemia virus-induced tumor macrophage) whole cell lysate at 20 µg

Lane 3:

2.4G2 (rat B cell lymphoma B lymphocyte) whole cell lysate at 20 µg

Secondary

All lanes:

Western blot - Goat Anti-Rabbit IgG H&L (HRP) (<a href='/en-us/products/secondary-antibodies/goat-rabbit-igg-h-l-hrp-ab97051'>ab97051</a>) at 1/100000 dilution

Predicted band size: 218 kDa

Observed band size: 250 kDa

false

Western blot - Anti-Dicer antibody [EPR24104-105] (AB259327)
  • WB

Supplier Data

Western blot - Anti-Dicer antibody [EPR24104-105] (AB259327)

Blocking and diluting buffer and concentration : 5% NFDM/TBST

Lysates were made freshly and used in WB test immediately to minimize protein degradation.

Exposure time : Lane 1, 3, 4 : 3 minutes

Lane 2 : 26 seconds

All lanes:

Western blot - Anti-Dicer antibody [EPR24104-105] (ab259327) at 1/1000 dilution

Lane 1:

HeLa (human cervix adenocarcinoma epithelial cell) whole cell lysate at 20 µg

Lane 2:

293T (human embryonic kidney epithelial cell) whole cell lysate at 20 µg

Lane 3:

NIH/3T3 (mouse embryonic fibroblast) whole cell lysate at 20 µg

Lane 4:

PC-12 (rat adrenal gland pheochromocytoma) whole cell lysate at 20 µg

Secondary

All lanes:

Western blot - Goat Anti-Rabbit IgG H&L (HRP) (<a href='/en-us/products/secondary-antibodies/goat-rabbit-igg-h-l-hrp-ab97051'>ab97051</a>) at 1/100000 dilution

Predicted band size: 218 kDa

Observed band size: 250 kDa

false

Western blot - Anti-Dicer antibody [EPR24104-105] (AB259327)
  • WB

Lab

Western blot - Anti-Dicer antibody [EPR24104-105] (AB259327)

False colour image of Western blot : Anti-Dicer antibody [EPR24104-105] staining at 1/1000 dilution, shown in green; Mouse anti-Alpha Tubulin [DM1A] (ab7291) loading control staining at 1/20000 dilution, shown in red. In Western blot, ab259327 was shown to bind specifically to Dicer. A band was observed at 218 kDa in wild-type HEK-293T cell lysates with no signal observed at this size in DICER1 knockout cell line. To generate this image, wild-type and DICER1 knockout HEK-293T cell lysates were analysed. First, samples were run on an SDS-PAGE gel then transferred onto a nitrocellulose membrane. Membranes were blocked in 5 % milk in TBS-0.1 % Tween® 20 (TBS-T) before incubation with primary antibodies overnight at 4 °C. Blots were washed four times in TBS-T, incubated with secondary antibodies for 1 h at room temperature, washed again four times then imaged. Secondary antibodies used were Goat anti-Rabbit IgG H&L 800CW and Goat anti-Mouse IgG H&L 680RD at 1/20000 dilution.

Lanes 1 - 7:

Western blot - Anti-Dicer antibody [EPR24104-105] (ab259327) at 1/1000 dilution

Lanes 1 - 7:

Western blot - Anti-Dicer antibody [EPR24104-105] - BSA and Azide free (<a href='/en-us/products/primary-antibodies/dicer-antibody-epr24104-105-bsa-and-azide-free-ab280957'>ab280957</a>) at 1/1000 dilution

Lane 1:

Wild-type HEK-293T cell lysate at 20 µg

Lane 2:

DICER1 knockout HEK-293T cell lysate at 20 µg

Lane 3:

DICER1 4-25 knockout HEK-293T cell lysate at 20 µg

Lane 4:

Empty

Lane 5:

HeLa cell lysate at 20 µg

Lane 6:

Wild-type HAP1 cell lysate at 20 µg

Lane 7:

Dicer1 knockout HAP1 cell lysate at 20 µg

Secondary

All lanes:

Goat anti-Rabbit IgG H&L 800CW and Goat anti-Mouse IgG H&L 680RD at 1/20000 dilution

Observed band size: 218 kDa

false

Western blot - Anti-Dicer antibody [EPR24104-105] (AB259327)
  • WB

Lab

Western blot - Anti-Dicer antibody [EPR24104-105] (AB259327)

Lanes 1-4 : Merged signal (red and green). Green - ab259327 observed at 250 kDa. Red - Loading Control ab7291 observed at 50 kDa.

ab259327 was shown to specifically react with Dicer in wild-type HAP1 cells. Loss of signal was observed when Dicer knockout samples were used. Wild-type and Dicer knockout samples were subjected to SDS-PAGE. ab259327 and anti-alpha Tubulin - Loading Control ( ab7291) were incubated at 4℃ overnight at 1 in 1000 dilution and 1 in 20000 dilution respectively. Blots were developed with Goat anti-Rabbit IgG H&L (IRDye® 800CW) preadsorbed (ab216773) and Goat anti-Mouse IgG H&L (IRDye® 680RD) preadsorbed (ab216776) secondary antibodies at 1 in 10000 dilution for 1 hour at room temperature before imaging.

All lanes:

Western blot - Anti-Dicer antibody [EPR24104-105] (ab259327) at 1/1000 dilution

Lane 1:

Wild-type HAP1 (human chronic myelogenous leukemia near-haploid cell) whole cell lysate at 20 µg

Lane 2:

Dicer knockout HAP1 whole cell lysate at 20 µg

Lane 3:

293T (human embryonic kidney epithelial cell) whole cell lysate at 20 µg

Lane 4:

2.4G2 (rat B cell lymphoma B lymphocyte) whole cell lysate at 20 µg

Secondary

All lanes:

Goat Anti-Rabbit IgG H&L (IRDye® 800CW) (<a href='/en-us/products/secondary-antibodies/goat-rabbit-igg-h-l-irdye-800cw-preadsorbed-ab216773'>ab216773</a>) and Goat Anti-Mouse IgG H&L (IRDye® 680RD) (<a href='/en-us/products/secondary-antibodies/goat-mouse-igg-h-l-irdye-680rd-preadsorbed-ab216776'>ab216776</a>) at 1/10000 dilution

Predicted band size: 218 kDa

Observed band size: 250 kDa

false

Key facts

Host species

Rabbit

Clonality

Monoclonal

Clone number

EPR24104-105

Isotype

IgG

Carrier free

No

Reacts with

Mouse, Rat, Human

Applications

WB, IHC-P

applications

Immunogen

The exact immunogen used to generate this antibody is proprietary information.

Reactivity data

{ "title": "Reactivity Data", "filters": { "stats": ["", "Species", "Dilution Info", "Notes"], "tabs": { "all-applications": {"fullname" : "All Applications", "shortname": "All Applications"}, "ICCIF" : {"fullname" : "Immunocytochemistry/ Immunofluorescence", "shortname":"ICC/IF"}, "IP" : {"fullname" : "Immunoprecipitation", "shortname":"IP"}, "WB" : {"fullname" : "Western blot", "shortname":"WB"}, "FlowCytIntra" : {"fullname" : "Flow Cytometry (Intracellular)", "shortname":"Flow Cyt (Intra)"}, "IHCP" : {"fullname" : "Immunohistochemistry (Formalin/PFA-fixed paraffin-embedded sections)", "shortname":"IHC-P"} }, "product-promise": { "all": "all", "testedAndGuaranteed": "tested", "guaranteed": "expected", "predicted": "predicted", "notRecommended": "not-recommended" } }, "values": { "Human": { "ICCIF-species-checked": "notRecommended", "ICCIF-species-dilution-info": "", "ICCIF-species-notes": "<p></p>", "IP-species-checked": "notRecommended", "IP-species-dilution-info": "", "IP-species-notes": "<p></p>", "WB-species-checked": "testedAndGuaranteed", "WB-species-dilution-info": "1/1000", "WB-species-notes": "<p></p>", "FlowCytIntra-species-checked": "notRecommended", "FlowCytIntra-species-dilution-info": "", "FlowCytIntra-species-notes": "<p></p>", "IHCP-species-checked": "testedAndGuaranteed", "IHCP-species-dilution-info": "1/100", "IHCP-species-notes": "<p></p>" }, "Mouse": { "ICCIF-species-checked": "notRecommended", "ICCIF-species-dilution-info": "", "ICCIF-species-notes": "<p></p>", "IP-species-checked": "notRecommended", "IP-species-dilution-info": "", "IP-species-notes": "<p></p>", "WB-species-checked": "testedAndGuaranteed", "WB-species-dilution-info": "1/1000", "WB-species-notes": "<p></p>", "FlowCytIntra-species-checked": "notRecommended", "FlowCytIntra-species-dilution-info": "", "FlowCytIntra-species-notes": "<p></p>", "IHCP-species-checked": "testedAndGuaranteed", "IHCP-species-dilution-info": "1/100", "IHCP-species-notes": "<p></p>" }, "Rat": { "ICCIF-species-checked": "notRecommended", "ICCIF-species-dilution-info": "", "ICCIF-species-notes": "", "IP-species-checked": "notRecommended", "IP-species-dilution-info": "", "IP-species-notes": "", "WB-species-checked": "testedAndGuaranteed", "WB-species-dilution-info": "1/1000", "WB-species-notes": "<p></p>", "FlowCytIntra-species-checked": "notRecommended", "FlowCytIntra-species-dilution-info": "", "FlowCytIntra-species-notes": "<p></p>", "IHCP-species-checked": "testedAndGuaranteed", "IHCP-species-dilution-info": "1/100", "IHCP-species-notes": "<p></p>" } } }

Product details

Patented technology
Our RabMAb® technology is a patented hybridoma-based technology for making rabbit monoclonal antibodies. For details on our patents, please refer to RabMAb® patents.

What are the advantages of a recombinant monoclonal antibody?
This product is a recombinant monoclonal antibody, which offers several advantages including:

  • - High batch-to-batch consistency and reproducibility
  • - Improved sensitivity and specificity
  • - Long-term security of supply
  • - Animal-free batch production

For more information, read more on recombinant antibodies.

Properties and storage information

Form
Liquid
Purification technique
Affinity purification Protein A
Storage buffer
Preservative: 0.01% Sodium azide Constituents: PBS, 40% Glycerol (glycerin, glycerine), 0.05% BSA
Shipped at conditions
Blue Ice
Appropriate short-term storage duration
1-2 weeks
Appropriate short-term storage conditions
+4°C
Appropriate long-term storage conditions
-20°C
Aliquoting information
Upon delivery aliquot
Storage information
Avoid freeze / thaw cycle

Product protocols

For this product, it's our understanding that no specific protocols are required. You can visit:

Target data

Double-stranded RNA (dsRNA) endoribonuclease playing a central role in short dsRNA-mediated post-transcriptional gene silencing. Cleaves naturally occurring long dsRNAs and short hairpin pre-microRNAs (miRNA) into fragments of twenty-one to twenty-three nucleotides with 3' overhang of two nucleotides, producing respectively short interfering RNAs (siRNA) and mature microRNAs. SiRNAs and miRNAs serve as guide to direct the RNA-induced silencing complex (RISC) to complementary RNAs to degrade them or prevent their translation. Gene silencing mediated by siRNAs, also called RNA interference, controls the elimination of transcripts from mobile and repetitive DNA elements of the genome but also the degradation of exogenous RNA of viral origin for instance. The miRNA pathway on the other side is a mean to specifically regulate the expression of target genes.
See full target information DICER1

Publications (8)

Recent publications for all applications. Explore the full list and refine your search

Journal of nanobiotechnology 23:421 PubMed40481520

2025

Targeting Dicer reprograms tumor-associated macrophages to promote anti-tumoral immunity in colorectal cancer liver metastasis.

Applications

Unspecified application

Species

Unspecified reactive species

Shenglong Xia,Wenwen Chen,Zhengyang Xu,Yuzhen Gao,Jingyu Chen,Ning Ding,Ying Zhang,Tianhua Zhou,Xuefei Zhou,Xiangrui Liu,Meng Xue

Experimental dermatology 34:e70110 PubMed40344283

2025

Characteristics of the MicroRNA-Processing Enzymes in Melanocytic Skin Lesions: Dicer and DGCR8 Are Potential Biomarkers for Primary Cutaneous Melanomas.

Applications

Unspecified application

Species

Unspecified reactive species

Fabiola Schafer,Enrique Bellolio,Tatiana Sepúlveda,Mirta Espinoza,Juan-José Orellana,Isabel Bellolio,Miguel Angel Villaseca,Rodrigo Miranda

International journal of molecular sciences 25: PubMed39684657

2024

Platelet-Derived Growth Factor Subunit A Strengthens the Neurovascular Unit and Inhibits Retinal Vascular Regression Under Hyperoxic Conditions.

Applications

Unspecified application

Species

Unspecified reactive species

Kaito Yokota,Haruhiko Yamada,Hidetsugu Mori,Yuki Hattori,Masatoshi Omi,Yuichi Yamamoto,Keiko Toyama,Hisanori Imai

Genome biology 25:80 PubMed38532500

2024

Divergent composition and transposon-silencing activity of small RNAs in mammalian oocytes.

Applications

Unspecified application

Species

Unspecified reactive species

Li Hou,Wei Liu,Hongdao Zhang,Ronghong Li,Miao Liu,Huijuan Shi,Ligang Wu

International journal of molecular sciences 23: PubMed36077457

2022

Tankyrase Inhibition Attenuates Cardiac Dilatation and Dysfunction in Ischemic Heart Failure.

Applications

Unspecified application

Species

Unspecified reactive species

Hong Wang,Heli Segersvärd,Juuso Siren,Sanni Perttunen,Katariina Immonen,Riikka Kosonen,Yu-Chia Chen,Johanna Tolva,Mirjami Laivuori,Mikko I Mäyränpää,Petri T Kovanen,Juha Sinisalo,Mika Laine,Ilkka Tikkanen,Päivi Lakkisto

Cellular and molecular life sciences : CMLS 79:446 PubMed35876890

2022

APE1 controls DICER1 expression in NSCLC through miR-33a and miR-130b.

Applications

Unspecified application

Species

Unspecified reactive species

Giulia Antoniali,Emiliano Dalla,Giovanna Mangiapane,Xiaolong Zhao,Xinming Jing,Yi Cheng,Veronica De Sanctis,Dilara Ayyildiz,Silvano Piazza,Mengxia Li,Gianluca Tell

Journal of oncology 2021:6217469 PubMed34804161

2021

MiR-186 Suppressed Growth, Migration, and Invasion of Lung Adenocarcinoma Cells via Targeting Dicer1.

Applications

Unspecified application

Species

Unspecified reactive species

Juan Wang,Yi Zhang,Fanghong Ge

Journal of diabetes investigation 13:236-248 PubMed34739190

2021

Micro ribonucleic acid-363 regulates the phosphatidylinositol 3-kinase/threonine protein kinase axis by targeting NOTCH1 and forkhead box C2, leading to hepatic glucose and lipids metabolism disorder in type 2 diabetes mellitus.

Applications

Unspecified application

Species

Unspecified reactive species

Yu-Huan Peng,Ping Wang,Xiao-Qun He,Ming-Zhao Hong,Feng Liu
View all publications

Product promise

We are committed to supporting your work with high-quality reagents, and we're here for you every step of the way. In the unlikely event that one of our products does not perform as expected, you're protected by our Product Promise.
For full details, please see our Terms & Conditions

Please note: All products are 'FOR RESEARCH USE ONLY. NOT FOR USE IN DIAGNOSTIC OR THERAPEUTIC PROCEDURES'.

For licensing inquiries, please contact partnerships@abcam.com