JavaScript is disabled in your browser. Please enable JavaScript to view this website.
AB315232

Anti-Dicer antibody [EPR27386-39]

  • BOND RX™ Validated
  • 20ul selling size
  • RabMAb
  • Recombinant
  • KO Validated
  • What is this?

Be the first to review this product! Submit a review

|

(0 Publication)

Knockout Tested Rabbit Recombinant Monoclonal DICER antibody. Suitable for WB, IHC-P, IP, Flow Cyt (Intra) and reacts with Human, Mouse, Rat samples.

View Alternative Names

DICER, HERNA, KIAA0928, DICER1, Endoribonuclease Dicer, Helicase with RNase motif, Helicase MOI

9 Images
Flow Cytometry (Intracellular) - Anti-Dicer antibody [EPR27386-39] (AB315232)
  • Flow Cyt (Intra)

Supplier Data

Flow Cytometry (Intracellular) - Anti-Dicer antibody [EPR27386-39] (AB315232)

Flow cytometric analysis of 4% paraformaldehyde fixed 90% methanol permeabilized HEK-293 (human embryonic kidney epithelial cell) cells labelling Dicer with ab315232 at 1/50 dilution (1 ug, Red) compared with a Rabbit monoclonal IgG (ab172730) (Black) isotype control and an unlabelled control (cells without incubation with primary antibody and secondary antibody) (Blue).

Goat Anti-Rabbit IgG (Alexa Fluor® 488, ab150081) at 1/5000 dilution was used as the secondary antibody.

Immunoprecipitation - Anti-Dicer antibody [EPR27386-39] (AB315232)
  • IP

Supplier Data

Immunoprecipitation - Anti-Dicer antibody [EPR27386-39] (AB315232)

Dicer was immunoprecipitated from 0.35 mg HEK-293 (human embryonic kidney epithelial cell) whole cell lysate with ab315232 at 1/30 dilution (2ug in 0.35mg lysates). Western blot was performed on the immunoprecipitate using ab315232 at 1/1000 dilution. VeriBlot for IP secondary antibody(HRP)(ab131366) was used at 1/5000 dilution.

Lane 1 : HEK-293 (human embryonic kidney epithelial cell) whole cell lysate

Lane 2 : ab315232 IP in HEK-293 (human embryonic kidney epithelial cell) whole cell lysate

Lane 3 : Rabbit monoclonal IgG (ab172730) instead of ab315232 in HEK-293 whole cell lysate

Blocking and dilution buffer and concentration : 5% NFDM/TBST.

All lanes:

Immunoprecipitation - Anti-Dicer antibody [EPR27386-39] (ab315232) at 1/30 dilution

All lanes:

HEK-293 (human embryonic kidney epithelial cell) whole cell lysate

Secondary

All lanes:

Immunoprecipitation - VeriBlot for IP Detection Reagent (HRP) (<a href='/en-us/products/reagents/veriblot-for-ip-detection-reagent-hrp-ab131366'>ab131366</a>) at 1/5000 dilution

false

Exposure time: 180s

Immunohistochemistry (Formalin/PFA-fixed paraffin-embedded sections) - Anti-Dicer antibody [EPR27386-39] (AB315232)
  • IHC-P

Supplier Data

Immunohistochemistry (Formalin/PFA-fixed paraffin-embedded sections) - Anti-Dicer antibody [EPR27386-39] (AB315232)

Immunohistochemical analysis of paraffin-embedded Mouse testis tissue labeling Dicer with ab315232 at 1/100 (4.99 ug/ml) dilution, followed by a ready to use LeicaDS9800 (Bond™ Polymer Refine Detection).

Positive staining on mouse testis. The section was incubated with ab315232 for 30 mins at room temperature. The immunostaining was performed on a Leica Biosystems BOND® RX instrument Counterstained with Hematoxylin.

Secondary antibody only control : Secondary antibody is a ready to use LeicaDS9800 (Bond™ Polymer Refine Detection).

Heat mediated antigen retrieval was performed with Tris-EDTA buffer (pH 9.0, Epitope Retrieval Solution2) for 20 mins

Immunohistochemistry (Formalin/PFA-fixed paraffin-embedded sections) - Anti-Dicer antibody [EPR27386-39] (AB315232)
  • IHC-P

Supplier Data

Immunohistochemistry (Formalin/PFA-fixed paraffin-embedded sections) - Anti-Dicer antibody [EPR27386-39] (AB315232)

Immunohistochemical analysis of paraffin-embedded Rat testis tissue labeling Dicer with ab315232 at 1/100 (4.99 ug/ml) dilution, followed by a ready to use LeicaDS9800 (Bond™ Polymer Refine Detection).

Positive staining on rat testis. The section was incubated with ab315232 for 30 mins at room temperature. The immunostaining was performed on a Leica Biosystems BOND® RX instrument Counterstained with Hematoxylin.

Secondary antibody only control : Secondary antibody is a ready to use LeicaDS9800 (Bond™ Polymer Refine Detection).

Heat mediated antigen retrieval was performed with Tris-EDTA buffer (pH 9.0, Epitope Retrieval Solution2) for 20 mins

Immunohistochemistry (Formalin/PFA-fixed paraffin-embedded sections) - Anti-Dicer antibody [EPR27386-39] (AB315232)
  • IHC-P

Supplier Data

Immunohistochemistry (Formalin/PFA-fixed paraffin-embedded sections) - Anti-Dicer antibody [EPR27386-39] (AB315232)

Immunohistochemical analysis of paraffin-embedded Mouse cerebrum tissue labeling Dicer with ab315232 at 1/100 (5.03 ug/ml) dilution, followed by a ready to use LeicaDS9800 (Bond™ Polymer Refine Detection).

Positive staining on mouse cerebrum. The section was incubated with ab315232 for 30 mins at room temperature. The immunostaining was performed on a Leica Biosystems BOND® RX instrument Counterstained with Hematoxylin.

Secondary antibody only control : Secondary antibody is a ready to use LeicaDS9800 (Bond™ Polymer Refine Detection).

Heat mediated antigen retrieval was performed with Tris-EDTA buffer (pH 9.0, Epitope Retrieval Solution2) for 20 mins

Western blot - Anti-Dicer antibody [EPR27386-39] (AB315232)
  • WB

Supplier Data

Western blot - Anti-Dicer antibody [EPR27386-39] (AB315232)

Blocking and diluting buffer and concentration : 5% NFDM/TBST.

Lysates was were freshly made and used for Western blotting immediately to minimize protein degradation.

Exposure time : Lanes 1, 3 and 4 : 180 seconds, lane 2 : 26 seconds.

All lanes:

Western blot - Anti-Dicer antibody [EPR27386-39] (ab315232) at 1/1000 dilution

Lane 1:

A549 (human lung carcinoma epithelial cell) whole cell lysate at 20 µg

Lane 2:

HepG2 (human hepatocellular carcinoma epithelial cell) whole cell lysate at 20 µg

Lane 3:

HeLa (human cervix adenocarcinoma epithelial cell) whole cell lysate at 20 µg

Lane 4:

HEK-293 (human embryonic kidney epithelial cell) whole cell lysate at 20 µg

Secondary

All lanes:

Western blot - Goat Anti-Rabbit IgG H&L (HRP) (<a href='/en-us/products/secondary-antibodies/goat-rabbit-igg-h-l-hrp-ab97051'>ab97051</a>) at 1/100000 dilution

Observed band size: 250 kDa

false

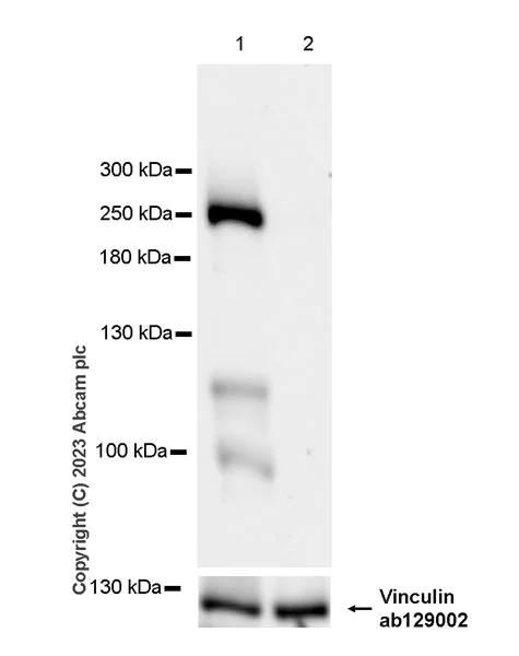
Western blot - Anti-Dicer antibody [EPR27386-39] (AB315232)
  • WB

Supplier Data

Western blot - Anti-Dicer antibody [EPR27386-39] (AB315232)

Blocking and diluting buffer and concentration : 5% NFDM/TBST.

In Western blot, ab315232 was shown to bind specifically to Dicer. A band was observed at 250 kDa in wild-type HAP1 cell lysates whereas no signal observed at this size in DICER1 knockout cell line.

In Western blot, Anti-Vinculin antibody [EPR8185] (ab129002) staining at 1/10000 dilution.

All lanes:

Western blot - Anti-Dicer antibody [EPR27386-39] (ab315232) at 1/1000 dilution

Lane 1:

Wild-type HAP1 (human chronic myelogenous leukemia near-haploid cell) whole cell lysate at 20 µg

Lane 2:

DICER1 knockout HAP1 whole cell lysate at 20 µg

Secondary

All lanes:

Western blot - Goat Anti-Rabbit IgG H&L (HRP) (<a href='/en-us/products/secondary-antibodies/goat-rabbit-igg-h-l-hrp-ab97051'>ab97051</a>) at 1/100000 dilution

Observed band size: 250 kDa,124 kDa

false

Exposure time: 37s

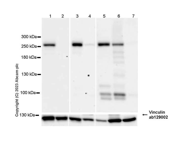
Western blot - Anti-Dicer antibody [EPR27386-39] (AB315232)
  • WB

Supplier Data

Western blot - Anti-Dicer antibody [EPR27386-39] (AB315232)

Blocking and diluting buffer and concentration : 5% NFDM/TBST.

Low expression : skeletal muscle (PMID : 11889553).

In Western blot, Anti-Vinculin antibody [EPR8185] (ab129002) staining at 1/10000 dilution.

Exposure time : Lanes 1-2 : 26 seconds, lanes 3-7 : 59 seconds.

All lanes:

Western blot - Anti-Dicer antibody [EPR27386-39] (ab315232) at 1/1000 dilution

Lane 1:

Mouse testis tissue lysate at 20 µg

Lane 2:

Mouse skeletal muscle tissue lysate at 20 µg

Lane 3:

Rat testis tissue lysate at 20 µg

Lane 4:

Rat skeletal muscle tissue lysate at 20 µg

Lane 5:

Human brain tissue lysate at 20 µg

Lane 6:

Human testis tissue lysate at 20 µg

Lane 7:

Human skeletal muscle tissue lysate at 20 µg

Secondary

Lanes 1 - 4:

Western blot - Goat Anti-Rabbit IgG H&L (HRP) (<a href='/en-us/products/secondary-antibodies/goat-rabbit-igg-h-l-hrp-ab97051'>ab97051</a>) at 1/2000 dilution

Lanes 5 - 7:

Goat Anti-Rabbit IgG (HRP) with minimal cross-reactivity with human IgG at 1/100000 dilution

Observed band size: 250 kDa,124 kDa

false

Western blot - Anti-Dicer antibody [EPR27386-39] (AB315232)
  • WB

Supplier Data

Western blot - Anti-Dicer antibody [EPR27386-39] (AB315232)

Blocking and diluting buffer and concentration : 5% NFDM/TBST.

Lysates was were freshly made and used for Western blotting immediately to minimize protein degradation.

All lanes:

Western blot - Anti-Dicer antibody [EPR27386-39] (ab315232) at 1/1000 dilution

Lane 1:

Mouse brain tissue lysate at 20 µg

Lane 2:

Mouse liver tissue lysate at 20 µg

Lane 3:

Mouse testis tissue lysate at 20 µg

Lane 4:

Rat brain tissue lysate at 20 µg

Lane 5:

Rat liver tissue lysate at 20 µg

Lane 6:

Rat testis tissue lysate at 20 µg

Secondary

All lanes:

Western blot - Goat Anti-Rabbit IgG H&L (HRP) (<a href='/en-us/products/secondary-antibodies/goat-rabbit-igg-h-l-hrp-ab97051'>ab97051</a>) at 1/100000 dilution

Observed band size: 250 kDa

false

Exposure time: 180s

Key facts

Host species

Rabbit

Clonality

Monoclonal

Clone number

EPR27386-39

Isotype

IgG

Carrier free

No

Reacts with

Human, Mouse, Rat

Applications

WB, IP, IHC-P, Flow Cyt (Intra)

applications

Immunogen

The exact immunogen used to generate this antibody is proprietary information.

Specificity

Unsuitable for human IHC.

Reactivity data

{ "title": "Reactivity Data", "filters": { "stats": ["", "Species", "Dilution Info", "Notes"], "tabs": { "all-applications": {"fullname" : "All Applications", "shortname": "All Applications"}, "WB" : {"fullname" : "Western blot", "shortname":"WB"}, "IHCP" : {"fullname" : "Immunohistochemistry (Formalin/PFA-fixed paraffin-embedded sections)", "shortname":"IHC-P"}, "IP" : {"fullname" : "Immunoprecipitation", "shortname":"IP"}, "FlowCytIntra" : {"fullname" : "Flow Cytometry (Intracellular)", "shortname":"Flow Cyt (Intra)"}, "ChIPseq" : {"fullname" : "ChIP-sequencing", "shortname":"ChIP-seq"}, "ICCIF" : {"fullname" : "Immunocytochemistry/ Immunofluorescence", "shortname":"ICC/IF"} }, "product-promise": { "all": "all", "testedAndGuaranteed": "tested", "guaranteed": "expected", "predicted": "predicted", "notRecommended": "not-recommended" } }, "values": { "Human": { "WB-species-checked": "testedAndGuaranteed", "WB-species-dilution-info": "1/1000", "WB-species-notes": "<p></p>", "IHCP-species-checked": "notRecommended", "IHCP-species-dilution-info": "", "IHCP-species-notes": "<p></p>", "IP-species-checked": "testedAndGuaranteed", "IP-species-dilution-info": "1/30", "IP-species-notes": "<p></p>", "FlowCytIntra-species-checked": "testedAndGuaranteed", "FlowCytIntra-species-dilution-info": "1/50", "FlowCytIntra-species-notes": "<p></p>", "ChIPseq-species-checked": "notRecommended", "ChIPseq-species-dilution-info": "", "ChIPseq-species-notes": "<p></p>", "ICCIF-species-checked": "notRecommended", "ICCIF-species-dilution-info": "", "ICCIF-species-notes": "<p></p>" }, "Mouse": { "WB-species-checked": "testedAndGuaranteed", "WB-species-dilution-info": "1/1000", "WB-species-notes": "<p></p>", "IHCP-species-checked": "testedAndGuaranteed", "IHCP-species-dilution-info": "1/100", "IHCP-species-notes": "<p></p>", "IP-species-checked": "guaranteed", "IP-species-dilution-info": "", "IP-species-notes": "", "FlowCytIntra-species-checked": "guaranteed", "FlowCytIntra-species-dilution-info": "", "FlowCytIntra-species-notes": "", "ChIPseq-species-checked": "notRecommended", "ChIPseq-species-dilution-info": "", "ChIPseq-species-notes": "", "ICCIF-species-checked": "notRecommended", "ICCIF-species-dilution-info": "", "ICCIF-species-notes": "" }, "Rat": { "WB-species-checked": "testedAndGuaranteed", "WB-species-dilution-info": "1/1000", "WB-species-notes": "<p></p>", "IHCP-species-checked": "testedAndGuaranteed", "IHCP-species-dilution-info": "1/100", "IHCP-species-notes": "<p></p>", "IP-species-checked": "guaranteed", "IP-species-dilution-info": "", "IP-species-notes": "", "FlowCytIntra-species-checked": "guaranteed", "FlowCytIntra-species-dilution-info": "", "FlowCytIntra-species-notes": "", "ChIPseq-species-checked": "notRecommended", "ChIPseq-species-dilution-info": "", "ChIPseq-species-notes": "", "ICCIF-species-checked": "notRecommended", "ICCIF-species-dilution-info": "", "ICCIF-species-notes": "" } } }

Product details

Patented technology
Our RabMAb® technology is a patented hybridoma-based technology for making rabbit monoclonal antibodies. For details on our patents, please refer to RabMAb® patents.

What are the advantages of a recombinant monoclonal antibody?
This product is a recombinant monoclonal antibody, which offers several advantages including:

  • - High batch-to-batch consistency and reproducibility
  • - Improved sensitivity and specificity
  • - Long-term security of supply
  • - Animal-free batch production

For more information, read more on recombinant antibodies.

Properties and storage information

Form
Liquid
Purification technique
Affinity purification Protein A
Storage buffer
pH: 7.2 - 7.4 Preservative: 0.01% Sodium azide Constituents: PBS, 40% Glycerol (glycerin, glycerine), 0.05% BSA
Shipped at conditions
Blue Ice
Appropriate short-term storage duration
1-2 weeks
Appropriate short-term storage conditions
+4°C
Appropriate long-term storage conditions
-20°C
Aliquoting information
Upon delivery aliquot
Storage information
Avoid freeze / thaw cycle

Product protocols

For this product, it's our understanding that no specific protocols are required. You can visit:

Target data

Double-stranded RNA (dsRNA) endoribonuclease playing a central role in short dsRNA-mediated post-transcriptional gene silencing. Cleaves naturally occurring long dsRNAs and short hairpin pre-microRNAs (miRNA) into fragments of twenty-one to twenty-three nucleotides with 3' overhang of two nucleotides, producing respectively short interfering RNAs (siRNA) and mature microRNAs. SiRNAs and miRNAs serve as guide to direct the RNA-induced silencing complex (RISC) to complementary RNAs to degrade them or prevent their translation. Gene silencing mediated by siRNAs, also called RNA interference, controls the elimination of transcripts from mobile and repetitive DNA elements of the genome but also the degradation of exogenous RNA of viral origin for instance. The miRNA pathway on the other side is a mean to specifically regulate the expression of target genes.
See full target information DICER1

Product promise

We are committed to supporting your work with high-quality reagents, and we're here for you every step of the way. In the unlikely event that one of our products does not perform as expected, you're protected by our Product Promise.
For full details, please see our Terms & Conditions

Please note: All products are 'FOR RESEARCH USE ONLY. NOT FOR USE IN DIAGNOSTIC OR THERAPEUTIC PROCEDURES'.

For licensing inquiries, please contact partnerships@abcam.com