JavaScript is disabled in your browser. Please enable JavaScript to view this website.
AB288373

Anti-Dihydrofolate reductase (DHFR) antibody [9B2]

Be the first to review this product! Submit a review

|

(0 Publication)

Rabbit Recombinant Monoclonal Dihydrofolate reductase (DHFR) antibody. Suitable for IP, WB, IHC-P and reacts with Human, Mouse, Rat samples.

View Alternative Names

Dihydrofolate reductase, DHFR

4 Images
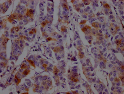
Immunohistochemistry (Formalin/PFA-fixed paraffin-embedded sections) - Anti-Dihydrofolate reductase (DHFR) antibody [9B2] (AB288373)
  • IHC-P

Supplier Data

Immunohistochemistry (Formalin/PFA-fixed paraffin-embedded sections) - Anti-Dihydrofolate reductase (DHFR) antibody [9B2] (AB288373)

IHC image of ab288373 diluted at 1 : 100 and staining in paraffin-embedded human liver cancer performed on a Leica Bond™ system. After dewaxing and hydration, antigen retrieval was mediated by high pressure in a citrate buffer (pH 6.0). Section was blocked with 10% normal goat serum 30 min at RT. Then primary antibody (1% BSA) was incubated at 4°C overnight. The primary is detected by a Goat anti-rabbit IgG polymer labeled by HRP and visualized using 0.05% DAB.

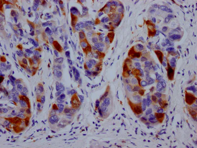
Immunohistochemistry (Formalin/PFA-fixed paraffin-embedded sections) - Anti-Dihydrofolate reductase (DHFR) antibody [9B2] (AB288373)
  • IHC-P

Supplier Data

Immunohistochemistry (Formalin/PFA-fixed paraffin-embedded sections) - Anti-Dihydrofolate reductase (DHFR) antibody [9B2] (AB288373)

IHC image of ab288373 diluted at 1 : 100 and staining in paraffin-embedded human breast cancer performed on a Leica Bond™ system. After dewaxing and hydration, antigen retrieval was mediated by high pressure in a citrate buffer (pH 6.0). Section was blocked with 10% normal goat serum 30 min at RT. Then primary antibody (1% BSA) was incubated at 4°C overnight. The primary is detected by a Goat anti-rabbit IgG polymer labeled by HRP and visualized using 0.05% DAB.

Immunoprecipitation - Anti-Dihydrofolate reductase (DHFR) antibody [9B2] (AB288373)
  • IP

Supplier Data

Immunoprecipitation - Anti-Dihydrofolate reductase (DHFR) antibody [9B2] (AB288373)

Immunoprecipitating DHFR in HeLa whole cell lysate.
Lane 1 : Rabbit control IgG instead of ab288373 in HeLa whole cell lysate. For western blotting,a HRP-conjugated Protein G antibody was used as the secondary antibody (1/2000)
Lane 2 : ab288373 (2 μg)+ HeLa whole cell lysate (500 μg)
Lane 3 : HeLa whole cell lysate (10 μg)

All lanes:

Immunoprecipitation - Anti-Dihydrofolate reductase (DHFR) antibody [9B2] (ab288373)

Predicted band size: 21 kDa

false

Western blot - Anti-Dihydrofolate reductase (DHFR) antibody [9B2] (AB288373)
  • WB

Supplier Data

Western blot - Anti-Dihydrofolate reductase (DHFR) antibody [9B2] (AB288373)

All lanes:

Western blot - Anti-Dihydrofolate reductase (DHFR) antibody [9B2] (ab288373) at 1/2000 dilution

Lane 1:

HeLa (Human epithelial cell line from cervix adenocarcinoma) whole cell lysate

Lane 2:

Jurkat (Human T cell leukemia cell line from peripheral blood) whole cell lysate

Lane 3:

K-562 (Human chronic myelogenous leukemia lymphoblast cell line ) whole cell lysate

Lane 4:

Raji (Human Burkitt's lymphoma cell line) whole cell lysate

Lane 5:

HEK-293T (Human epithelial cell line from embryonic kidney transformed with large T antigen) whole cell lysate

Lane 6:

Rat heart tissue

Lane 7:

Mouse kidney tissue

Lane 8:

Mouse liver tissue

Secondary

All lanes:

Goat polyclonal to rabbit IgG at 1/50000 dilution

Predicted band size: 21 kDa

Observed band size: 22 kDa

false

Key facts

Host species

Rabbit

Clonality

Monoclonal

Clone number

9B2

Isotype

IgG

Carrier free

No

Reacts with

Rat, Human, Mouse

Applications

IHC-P, IP, WB

applications

Immunogen

The exact immunogen used to generate this antibody is proprietary information.

Reactivity data

{ "title": "Reactivity Data", "filters": { "stats": ["", "Species", "Dilution Info", "Notes"], "tabs": { "all-applications": {"fullname" : "All Applications", "shortname": "All Applications"}, "IP" : {"fullname" : "Immunoprecipitation", "shortname":"IP"}, "WB" : {"fullname" : "Western blot", "shortname":"WB"}, "IHCP" : {"fullname" : "Immunohistochemistry (Formalin/PFA-fixed paraffin-embedded sections)", "shortname":"IHC-P"} }, "product-promise": { "all": "all", "testedAndGuaranteed": "tested", "guaranteed": "expected", "predicted": "predicted", "notRecommended": "not-recommended" } }, "values": { "Human": { "IP-species-checked": "testedAndGuaranteed", "IP-species-dilution-info": "", "IP-species-notes": "<p></p>", "WB-species-checked": "testedAndGuaranteed", "WB-species-dilution-info": "1/2000", "WB-species-notes": "<p></p>", "IHCP-species-checked": "testedAndGuaranteed", "IHCP-species-dilution-info": "1/100", "IHCP-species-notes": "<p></p>" }, "Mouse": { "IP-species-checked": "guaranteed", "IP-species-dilution-info": "", "IP-species-notes": "", "WB-species-checked": "testedAndGuaranteed", "WB-species-dilution-info": "1/2000", "WB-species-notes": "<p></p>", "IHCP-species-checked": "guaranteed", "IHCP-species-dilution-info": "", "IHCP-species-notes": "" }, "Rat": { "IP-species-checked": "guaranteed", "IP-species-dilution-info": "", "IP-species-notes": "", "WB-species-checked": "testedAndGuaranteed", "WB-species-dilution-info": "1/2000", "WB-species-notes": "<p></p>", "IHCP-species-checked": "guaranteed", "IHCP-species-dilution-info": "", "IHCP-species-notes": "" } } }

Properties and storage information

Form
Liquid
Purification technique
Affinity purification
Storage buffer
Preservative: 0.02% Sodium azide Constituents: PBS, 50% Glycerol (glycerin, glycerine), 0.87% Sodium chloride
Shipped at conditions
Blue Ice
Appropriate short-term storage duration
1-2 weeks
Appropriate short-term storage conditions
+4°C
Appropriate long-term storage conditions
-20°C
Aliquoting information
Upon delivery aliquot
Storage information
Avoid freeze / thaw cycle

Product protocols

For this product, it's our understanding that no specific protocols are required. You can visit:

Target data

Key enzyme in folate metabolism. Contributes to the de novo mitochondrial thymidylate biosynthesis pathway. Catalyzes an essential reaction for de novo glycine and purine synthesis, and for DNA precursor synthesis. Binds its own mRNA and that of DHFR2.
See full target information Dihydrofolate reductase

Product promise

We are committed to supporting your work with high-quality reagents, and we're here for you every step of the way. In the unlikely event that one of our products does not perform as expected, you're protected by our Product Promise.
For full details, please see our Terms & Conditions

Please note: All products are 'FOR RESEARCH USE ONLY. NOT FOR USE IN DIAGNOSTIC OR THERAPEUTIC PROCEDURES'.

For licensing inquiries, please contact partnerships@abcam.com