JavaScript is disabled in your browser. Please enable JavaScript to view this website.
AB152159

Anti-Dihydrofolate reductase (DHFR) antibody

Be the first to review this product! Submit a review

|

(1 Publication)

Rabbit Polyclonal Dihydrofolate reductase (DHFR) antibody. Suitable for IP, IHC-P, WB, ICC/IF and reacts with Human, Rat samples. Cited in 1 publication. Immunogen corresponding to Recombinant Fragment Protein within Human Dihydrofolate reductase aa 1 to C-terminus.

View Alternative Names

Dihydrofolate reductase, DHFR

5 Images
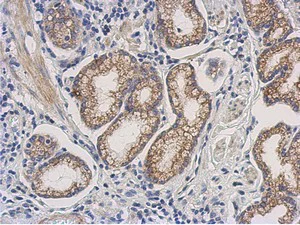
Immunohistochemistry (Formalin/PFA-fixed paraffin-embedded sections) - Anti-Dihydrofolate reductase (DHFR) antibody (AB152159)
  • IHC-P

Unknown

Immunohistochemistry (Formalin/PFA-fixed paraffin-embedded sections) - Anti-Dihydrofolate reductase (DHFR) antibody (AB152159)

Immunohistochemical analysis of paraffin-embedded Human colon carcinoma tissue, staining Dihydrofolate reductase (DHFR) using ab152159 at a 1/500 dilution.

Immunocytochemistry/ Immunofluorescence - Anti-Dihydrofolate reductase (DHFR) antibody (AB152159)
  • ICC/IF

Unknown

Immunocytochemistry/ Immunofluorescence - Anti-Dihydrofolate reductase (DHFR) antibody (AB152159)

Immunofluorescence analysis of paraformaldehyde-fixed A431 cells, staining Dihydrofolate reductase (DHFR) using ab152159 at a 1/200 dilution.

Immunoprecipitation - Anti-Dihydrofolate reductase (DHFR) antibody (AB152159)
  • IP

Supplier Data

Immunoprecipitation - Anti-Dihydrofolate reductase (DHFR) antibody (AB152159)

Immunoprecipitation of DHFR protein from 293T whole cell extracts using 5 µg of ab152159. Western blot analysis was performed using ab152159.

All lanes:

Immunoprecipitation - Anti-Dihydrofolate reductase (DHFR) antibody (ab152159) at 5 µg

Lane 1:

293T whole cell lysates

Lane 2:

293T whole cell lysates with Control IgG

Lane 3:

293T whole cell lysates with ab152159

Secondary

All lanes:

EasyBlot anti Rabbit IgG

Predicted band size: 21 kDa

false

Western blot - Anti-Dihydrofolate reductase (DHFR) antibody (AB152159)
  • WB

Supplier Data

Western blot - Anti-Dihydrofolate reductase (DHFR) antibody (AB152159)

Samples were separated by 12% SDS-PAGE. The signal was developed with Trident ECL plus Enhanced.

All lanes:

Western blot - Anti-Dihydrofolate reductase (DHFR) antibody (ab152159) at 1/1000 dilution

All lanes:

293T whole cell lysates at 30 µg

Secondary

All lanes:

HRP conjugated anti rabbit IgG antibody

Predicted band size: 21 kDa

true

Western blot - Anti-Dihydrofolate reductase (DHFR) antibody (AB152159)
  • WB

Supplier Data

Western blot - Anti-Dihydrofolate reductase (DHFR) antibody (AB152159)

Samples were separated by 12% SDS-PAGE.

All lanes:

Western blot - Anti-Dihydrofolate reductase (DHFR) antibody (ab152159) at 1/1000 dilution

All lanes:

PC 12 whole cell lysate at 30 µg

Secondary

All lanes:

HRP conjugated anti rabbit IgG antibody

Predicted band size: 21 kDa

false

Key facts

Host species

Rabbit

Clonality

Polyclonal

Isotype

IgG

Carrier free

No

Reacts with

Rat, Human

Applications

IP, ICC/IF, WB, IHC-P

applications

Immunogen

Recombinant Fragment Protein within Human Dihydrofolate reductase aa 1 to C-terminus. The exact immunogen used to generate this antibody is proprietary information.

P00374

Reactivity data

{ "title": "Reactivity Data", "filters": { "stats": ["", "Species", "Dilution Info", "Notes"], "tabs": { "all-applications": {"fullname" : "All Applications", "shortname": "All Applications"}, "IP" : {"fullname" : "Immunoprecipitation", "shortname":"IP"}, "IHCP" : {"fullname" : "Immunohistochemistry (Formalin/PFA-fixed paraffin-embedded sections)", "shortname":"IHC-P"}, "WB" : {"fullname" : "Western blot", "shortname":"WB"}, "ICCIF" : {"fullname" : "Immunocytochemistry/ Immunofluorescence", "shortname":"ICC/IF"} }, "product-promise": { "all": "all", "testedAndGuaranteed": "tested", "guaranteed": "expected", "predicted": "predicted", "notRecommended": "not-recommended" } }, "values": { "Human": { "IP-species-checked": "testedAndGuaranteed", "IP-species-dilution-info": "1/100 - 1/500", "IP-species-notes": "<p></p>", "IHCP-species-checked": "testedAndGuaranteed", "IHCP-species-dilution-info": "1/100 - 1/1000", "IHCP-species-notes": "<p>Antigen retrieval also possible using Tris-EDTA buffer (pH8.0).</p> Perform heat-mediated antigen retrieval with citrate buffer pH 6 before commencing with IHC staining protocol.", "WB-species-checked": "testedAndGuaranteed", "WB-species-dilution-info": "1/500 - 1/3000", "WB-species-notes": "<p></p>", "ICCIF-species-checked": "testedAndGuaranteed", "ICCIF-species-dilution-info": "1/100 - 1/1000", "ICCIF-species-notes": "<p></p>" }, "Rat": { "IP-species-checked": "guaranteed", "IP-species-dilution-info": "", "IP-species-notes": "", "IHCP-species-checked": "guaranteed", "IHCP-species-dilution-info": "", "IHCP-species-notes": "", "WB-species-checked": "testedAndGuaranteed", "WB-species-dilution-info": "1/500 - 1/3000", "WB-species-notes": "<p></p>", "ICCIF-species-checked": "guaranteed", "ICCIF-species-dilution-info": "", "ICCIF-species-notes": "" } } }

Properties and storage information

Form
Liquid
Purification technique
Affinity purification Immunogen
Storage buffer
pH: 7 Preservative: 0.025% Proclin 300 Constituents: PBS, 20% Glycerol (glycerin, glycerine)
Shipped at conditions
Blue Ice
Appropriate short-term storage conditions
+4°C
Appropriate long-term storage conditions
-20°C
Aliquoting information
Upon delivery aliquot
Storage information
Avoid freeze / thaw cycle

Product protocols

For this product, it's our understanding that no specific protocols are required. You can visit:

Target data

Key enzyme in folate metabolism. Contributes to the de novo mitochondrial thymidylate biosynthesis pathway. Catalyzes an essential reaction for de novo glycine and purine synthesis, and for DNA precursor synthesis. Binds its own mRNA and that of DHFR2.
See full target information Dihydrofolate reductase

Publications (1)

Recent publications for all applications. Explore the full list and refine your search

Frontiers in endocrinology 16:1610882 PubMed40958910

2025

Bioinformatics-based analysis and experimental validation of PANoptosis-related biomarkers and immune infiltration in diabetic nephropathy.

Applications

Unspecified application

Species

Unspecified reactive species

Su Zhang,Yun Zhang,Weitao Hu,Chunyan Huang,Yifang Zhang,Xiaoqing Chen
View all publications

Product promise

We are committed to supporting your work with high-quality reagents, and we're here for you every step of the way. In the unlikely event that one of our products does not perform as expected, you're protected by our Product Promise.
For full details, please see our Terms & Conditions

Please note: All products are 'FOR RESEARCH USE ONLY. NOT FOR USE IN DIAGNOSTIC OR THERAPEUTIC PROCEDURES'.

For licensing inquiries, please contact partnerships@abcam.com