JavaScript is disabled in your browser. Please enable JavaScript to view this website.
AB124814

Anti-Dihydrofolate reductase (DHFR) antibody [EPR5285]

4

(1 Review)

|

(15 Publications)

Rabbit Recombinant Monoclonal Dihydrofolate reductase (DHFR) antibody. Suitable for IHC-P, WB and reacts with Human, Mouse, Rat samples. Cited in 15 publications.

View Alternative Names

Dihydrofolate reductase, DHFR

2 Images
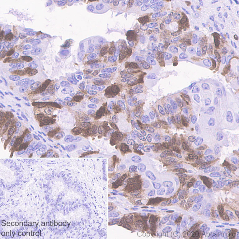
Immunohistochemistry (Formalin/PFA-fixed paraffin-embedded sections) - Anti-Dihydrofolate reductase (DHFR) antibody [EPR5285] (AB124814)
  • IHC-P

Lab

Immunohistochemistry (Formalin/PFA-fixed paraffin-embedded sections) - Anti-Dihydrofolate reductase (DHFR) antibody [EPR5285] (AB124814)

Immunohistochemistry (Formalin/PFA-fixed paraffin-embedded sections) analysis of human endometrial cancer tissue sections labeling Dihydrofolate reductase (DHFR) with purified ab124814 at 1/1000 dilution (0.20 μg/mL). Heat mediated antigen retrieval was performed using Perform heat mediated antigen retrieval using ab93684 (Tris/EDTA buffer, pH 9.0). Tissue was counterstained with Hematoxylin. Rabbit specific IHC polymer detection kit HRP/DAB (ab209101) secondary antibody was used at 1/0 dilution. PBS instead of the primary antibody was used as the negative control.

The immunostaining was performed on a Leica Biosystems BOND® RX instrument.

Western blot - Anti-Dihydrofolate reductase (DHFR) antibody [EPR5285] (AB124814)
  • WB

Unknown

Western blot - Anti-Dihydrofolate reductase (DHFR) antibody [EPR5285] (AB124814)

All lanes:

Western blot - Anti-Dihydrofolate reductase (DHFR) antibody [EPR5285] (ab124814) at 1/10000 dilution

Lane 1:

HeLa (Human cervix adenocarcinoma epithelial cell) whole cell lysate

Lane 2:

Jurkat (Human T cell leukemia T lymphocyte) whole cell lysate

Lane 3:

HEK-293 (Human embryonic kidney epithelial cell) whole cell lysate

Lane 4:

Y79 (Human retinoblastoma retinoblastoma) whole cell lysate

Lane 5:

RAW 264.7 (Mouse Abelson murine leukemia virus-induced tumor macrophage) whole cell lysate

Lane 6:

Mouse spleen lysate

Lane 7:

Mouse kidney lysate

Lane 8:

Rat kidney lysate

Lane 9:

PC-12 (Rat adrenal gland pheochromocytoma ) whole cell lysate

Secondary

Lanes 1 - 7:

Western blot - Goat Anti-Rabbit IgG H&L (HRP) (<a href='/en-us/products/secondary-antibodies/goat-rabbit-igg-h-l-hrp-ab97051'>ab97051</a>) at 1/20000 dilution

Lanes 8 - 9:

Goat Anti-Rabbit IgG, (H+L), Peroxidase conjugated at 1/20000 dilution

Predicted band size: 21 kDa

false

  • Carrier free

    Anti-Dihydrofolate reductase (DHFR) antibody [EPR5285] - BSA and Azide free

  • 617 Alexa Fluor® 594

    Alexa Fluor® 594 Anti-Dihydrofolate reductase (DHFR) antibody [EPR5285]

  • 519 Alexa Fluor® 488

    Alexa Fluor® 488 Anti-Dihydrofolate reductase (DHFR) antibody [EPR5285]

  • 660 APC

    APC Anti-Dihydrofolate reductase (DHFR) antibody [EPR5285]

  • 565 Alexa Fluor® 555

    Alexa Fluor® 555 Anti-Dihydrofolate reductase (DHFR) antibody [EPR5285]

  • 665 Alexa Fluor® 647

    Alexa Fluor® 647 Anti-Dihydrofolate reductase (DHFR) antibody [EPR5285]

  • 578 PE

    PE Anti-Dihydrofolate reductase (DHFR) antibody [EPR5285]

  • 775 Alexa Fluor® 750

    Alexa Fluor® 750 Anti-Dihydrofolate reductase (DHFR) antibody [EPR5285]

Key facts

Host species

Rabbit

Clonality

Monoclonal

Clone number

EPR5285

Isotype

IgG

Carrier free

No

Reacts with

Mouse, Rat, Human

Applications

WB, IHC-P

applications

Immunogen

The exact immunogen used to generate this antibody is proprietary information.

Specificity

The mouse and rat recommendation is based on the WB results. We do not guarantee IHC-P for mouse and rat.

Reactivity data

{ "title": "Reactivity Data", "filters": { "stats": ["", "Species", "Dilution Info", "Notes"], "tabs": { "all-applications": {"fullname" : "All Applications", "shortname": "All Applications"}, "IHCP" : {"fullname" : "Immunohistochemistry (Formalin/PFA-fixed paraffin-embedded sections)", "shortname":"IHC-P"}, "IP" : {"fullname" : "Immunoprecipitation", "shortname":"IP"}, "FlowCyt" : {"fullname" : "Flow Cytometry", "shortname":"Flow Cyt"}, "WB" : {"fullname" : "Western blot", "shortname":"WB"} }, "product-promise": { "all": "all", "testedAndGuaranteed": "tested", "guaranteed": "expected", "predicted": "predicted", "notRecommended": "not-recommended" } }, "values": { "Human": { "IHCP-species-checked": "testedAndGuaranteed", "IHCP-species-dilution-info": "1/1000", "IHCP-species-notes": "<p>(Heat to 98°C, allow to cool for 10-20 minutes)</p><p>The mouse and rat recommendation is based on the WB results. We do not guarantee IHC-P for mouse and rat.</p>", "IP-species-checked": "notRecommended", "IP-species-dilution-info": "", "IP-species-notes": "<p></p>", "FlowCyt-species-checked": "notRecommended", "FlowCyt-species-dilution-info": "", "FlowCyt-species-notes": "<p></p>", "WB-species-checked": "testedAndGuaranteed", "WB-species-dilution-info": "1/10000 - 1/50000", "WB-species-notes": "<p></p>" }, "Mouse": { "IHCP-species-checked": "guaranteed", "IHCP-species-dilution-info": "", "IHCP-species-notes": "", "IP-species-checked": "notRecommended", "IP-species-dilution-info": "", "IP-species-notes": "<p></p>", "FlowCyt-species-checked": "notRecommended", "FlowCyt-species-dilution-info": "", "FlowCyt-species-notes": "<p></p>", "WB-species-checked": "testedAndGuaranteed", "WB-species-dilution-info": "1/10000 - 1/50000", "WB-species-notes": "<p></p>" }, "Rat": { "IHCP-species-checked": "guaranteed", "IHCP-species-dilution-info": "", "IHCP-species-notes": "", "IP-species-checked": "notRecommended", "IP-species-dilution-info": "", "IP-species-notes": "<p></p>", "FlowCyt-species-checked": "notRecommended", "FlowCyt-species-dilution-info": "", "FlowCyt-species-notes": "<p></p>", "WB-species-checked": "testedAndGuaranteed", "WB-species-dilution-info": "1/10000 - 1/50000", "WB-species-notes": "<p></p>" } } }

Product details

Patented technology
Our RabMAb® technology is a patented hybridoma-based technology for making rabbit monoclonal antibodies. For details on our patents, please refer to RabMAb® patents.

What are the advantages of a recombinant monoclonal antibody?
This product is a recombinant monoclonal antibody, which offers several advantages including:

  • - High batch-to-batch consistency and reproducibility
  • - Improved sensitivity and specificity
  • - Long-term security of supply
  • - Animal-free batch production

For more information, read more on recombinant antibodies.

Properties and storage information

Form
Liquid
Purification technique
Affinity purification Protein A
Storage buffer
pH: 7.2 - 7.4 Preservative: 0.01% Sodium azide Constituents: PBS, 40% Glycerol (glycerin, glycerine), 0.05% BSA
Shipped at conditions
Blue Ice
Appropriate short-term storage conditions
+4°C
Appropriate long-term storage conditions
-20°C
Storage information
Stable for 12 months at -20°C

Product protocols

For this product, it's our understanding that no specific protocols are required. You can visit:

Target data

Key enzyme in folate metabolism. Contributes to the de novo mitochondrial thymidylate biosynthesis pathway. Catalyzes an essential reaction for de novo glycine and purine synthesis, and for DNA precursor synthesis. Binds its own mRNA and that of DHFR2.
See full target information Dihydrofolate reductase

Publications (15)

Recent publications for all applications. Explore the full list and refine your search

Nature communications 16:4342 PubMed40346061

2025

A general assay platform to study protein pharmacology using ligand-dependent structural dynamics.

Applications

Unspecified application

Species

Unspecified reactive species

Daniel A Ciulla,Patricia K Dranchak,Mahesh Aitha,Renier H P van Neer,Divia Shah,Ravi Tharakan,Kelli M Wilson,Yuhong Wang,John C Braisted,James Inglese

FASEB journal : official publication of the Federation of American Societies for Experimental Biology 39:e70391 PubMed39957677

2025

DHFR2 RNA directly regulates dihydrofolate reductase and its expression level impacts folate one carbon metabolism.

Applications

Unspecified application

Species

Unspecified reactive species

Paola Drago,Niamh Bookey,Kit-Yi Leung,Michael Henry,Paula Meleady,Nicholas D E Greene,Anne Parle-McDermott

International journal of molecular sciences 25: PubMed39337378

2024

Replicative Endothelial Cell Senescence May Lead to Endothelial Dysfunction by Increasing the BH2/BH4 Ratio Induced by Oxidative Stress, Reducing BH4 Availability, and Decreasing the Expression of eNOS.

Applications

Unspecified application

Species

Unspecified reactive species

Ignacio Hernandez-Navarro,Laura Botana,Javier Diez-Mata,Laura Tesoro,Beatriz Jimenez-Guirado,Claudia Gonzalez-Cucharero,Nunzio Alcharani,Jose Luis Zamorano,Marta Saura,Carlos Zaragoza

American journal of physiology. Gastrointestinal and liver physiology 327:G235-G253 PubMed38915277

2024

SGLT2 inhibition leads to a restoration of hepatic and circulating metabolites involved in the folate cycle and pyrimidine biosynthesis.

Applications

Unspecified application

Species

Unspecified reactive species

Ileana Mendez Espinoza,Elijah N D Choos,Carolyn M Ecelbarger,Blythe D Shepard

Cell chemical biology 31:221-233.e14 PubMed37875111

2023

Methotrexate-based PROTACs as DHFR-specific chemical probes.

Applications

Unspecified application

Species

Unspecified reactive species

Sandeep Rana,Patricia Dranchak,Jayme L Dahlin,Laurence Lamy,Wenqing Li,Erin Oliphant,Jonathan H Shrimp,Girish H Rajacharya,Ravi Tharakan,David O Holland,Apryl S Whitten,Kelli M Wilson,Pankaj K Singh,Scott K Durum,Dingyin Tao,Ganesha Rai,James Inglese

Frontiers in molecular neuroscience 16:1121944 PubMed37063365

2023

Increased NOX2 expression in astrocytes leads to eNOS uncoupling through dihydrofolate reductase in endothelial cells after subarachnoid hemorrhage.

Applications

Unspecified application

Species

Unspecified reactive species

Shu-Hao Miao,Sheng-Qing Gao,Hui-Xin Li,Yun-Song Zhuang,Xue Wang,Tao Li,Chao-Chao Gao,Yan-Ling Han,Jia-Yin Qiu,Meng-Liang Zhou

Molecular cancer research : MCR 21:411-427 PubMed36669126

2023

BAP1 Loss Is Associated with Higher ASS1 Expression in Epithelioid Mesothelioma: Implications for Therapeutic Stratification.

Applications

Unspecified application

Species

Unspecified reactive species

Sarah E Barnett,Jenna Kenyani,Martina Tripari,Zohra Butt,Rudi Grosman,Francesca Querques,Liam Shaw,Luisa C Silva,Zoe Goate,Stefan J Marciniak,Doris M Rassl,Richard Jackson,Lu-Yun Lian,Peter W Szlosarek,Joseph J Sacco,Judy M Coulson

Cellular and molecular life sciences : CMLS 79:553 PubMed36251090

2022

A plant-based mutant huntingtin model-driven discovery of impaired expression of GTPCH and DHFR.

Applications

Unspecified application

Species

Unspecified reactive species

Chiu-Yueh Hung,Chuanshu Zhu,Farooqahmed S Kittur,Maotao He,Erland Arning,Jianhui Zhang,Asia J Johnson,Gurpreet S Jawa,Michelle D Thomas,Tomas T Ding,Jiahua Xie

Frontiers in pharmacology 12:718675 PubMed34646134

2021

Upregulation of Thymidylate Synthase Induces Pemetrexed Resistance in Malignant Pleural Mesothelioma.

Applications

Unspecified application

Species

Unspecified reactive species

Yuzo Sato,Masaru Tomita,Tomoyoshi Soga,Atsushi Ochiai,Hideki Makinoshima

Virus research 302:198469 PubMed34090962

2021

The folate antagonist methotrexate diminishes replication of the coronavirus SARS-CoV-2 and enhances the antiviral efficacy of remdesivir in cell culture models.

Applications

Unspecified application

Species

Unspecified reactive species

Kim M Stegmann,Antje Dickmanns,Sabrina Gerber,Vella Nikolova,Luisa Klemke,Valentina Manzini,Denise Schlösser,Cathrin Bierwirth,Julia Freund,Maren Sitte,Raimond Lugert,Gabriela Salinas,Toni Luise Meister,Stephanie Pfaender,Dirk Görlich,Bernd Wollnik,Uwe Groß,Matthias Dobbelstein
View all publications

Product promise

We are committed to supporting your work with high-quality reagents, and we're here for you every step of the way. In the unlikely event that one of our products does not perform as expected, you're protected by our Product Promise.
For full details, please see our Terms & Conditions

Please note: All products are 'FOR RESEARCH USE ONLY. NOT FOR USE IN DIAGNOSTIC OR THERAPEUTIC PROCEDURES'.

For licensing inquiries, please contact partnerships@abcam.com