JavaScript is disabled in your browser. Please enable JavaScript to view this website.
AB248017

Anti-Dihydrofolate reductase (DHFR) antibody [EPR5285] - BSA and Azide free

Be the first to review this product! Submit a review

|

(1 Publication)

Rabbit Recombinant Monoclonal Dihydrofolate reductase (DHFR) antibody. Carrier free. Suitable for IHC-P, WB and reacts with Human, Mouse, Rat samples. Cited in 1 publication.

View Alternative Names

Dihydrofolate reductase, DHFR

2 Images
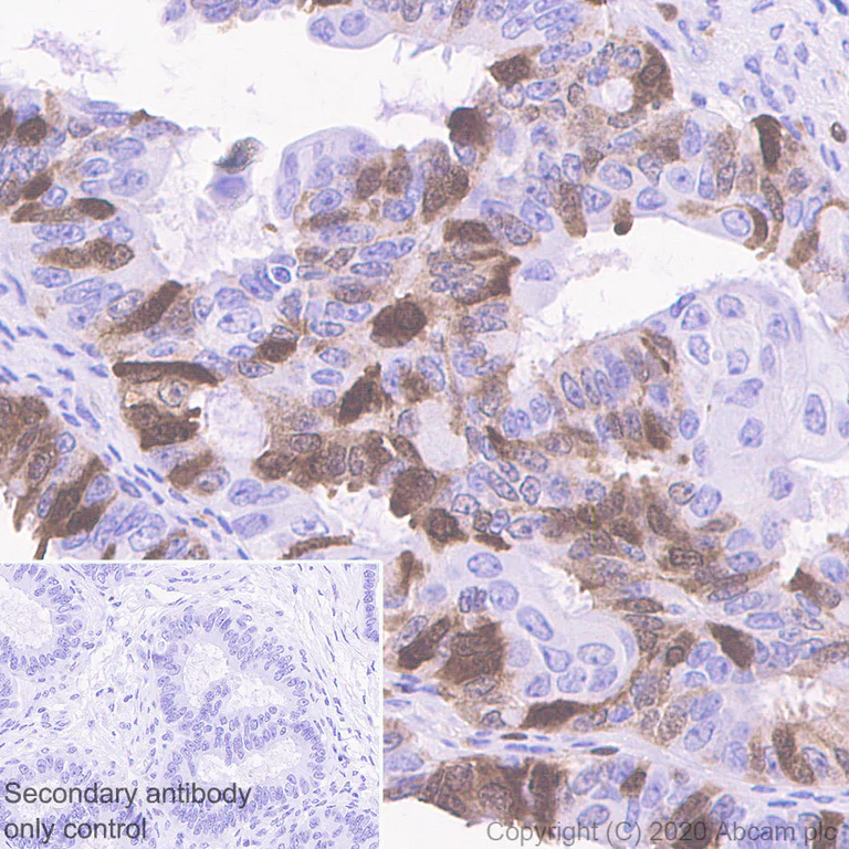
Immunohistochemistry (Formalin/PFA-fixed paraffin-embedded sections) - Anti-Dihydrofolate reductase (DHFR) antibody [EPR5285] - BSA and Azide free (AB248017)
  • IHC-P

Lab

Immunohistochemistry (Formalin/PFA-fixed paraffin-embedded sections) - Anti-Dihydrofolate reductase (DHFR) antibody [EPR5285] - BSA and Azide free (AB248017)

This data was developed using ab124814, the same antibody clone in a different buffer formulation.

Immunohistochemistry (Formalin/PFA-fixed paraffin-embedded sections) analysis of human endometrial cancer tissue sections labeling Dihydrofolate reductase (DHFR) with purified ab124814 at 1/1000 dilution (0.20 μg/mL). Heat mediated antigen retrieval was performed using Perform heat mediated antigen retrieval using ab93684 (Tris/EDTA buffer, pH 9.0). Tissue was counterstained with Hematoxylin. Rabbit specific IHC polymer detection kit HRP/DAB (ab209101) secondary antibody was used. PBS instead of the primary antibody was used as the negative control.
The immunostaining was performed on a Leica Biosystems BOND® RX instrument.

Western blot - Anti-Dihydrofolate reductase (DHFR) antibody [EPR5285] - BSA and Azide free (AB248017)
  • WB

Unknown

Western blot - Anti-Dihydrofolate reductase (DHFR) antibody [EPR5285] - BSA and Azide free (AB248017)

All lanes:

Western blot - Anti-Dihydrofolate reductase (DHFR) antibody [EPR5285] (<a href='/en-us/products/primary-antibodies/dihydrofolate-reductase-dhfr-antibody-epr5285-ab124814'>ab124814</a>) at 1/10000 dilution

Lane 1:

HeLa (Human cervix adenocarcinoma epithelial cell) whole cell lysate

Lane 2:

Jurkat (Human T cell leukemia T lymphocyte) whole cell lysate

Lane 3:

HEK-293 (Human embryonic kidney epithelial cell) whole cell lysate

Lane 4:

Y79 (Human retinoblastoma retinoblastoma) whole cell lysate

Lane 5:

RAW 264.7 (Mouse Abelson murine leukemia virus-induced tumor macrophage) whole cell lysate

Lane 6:

Mouse spleen lysate

Lane 7:

Mouse kidney lysate

Lane 8:

Rat kidney lysate

Lane 9:

PC-12 (Rat adrenal gland pheochromocytoma ) whole cell lysate

Secondary

Lanes 1 - 7:

Western blot - Goat Anti-Rabbit IgG H&L (HRP) (<a href='/en-us/products/secondary-antibodies/goat-rabbit-igg-h-l-hrp-ab97051'>ab97051</a>) at 1/20000 dilution

Lanes 8 - 9:

Goat Anti-Rabbit IgG, (H+L), Peroxidase conjugated at 1/20000 dilution

Predicted band size: 21 kDa

false

  • Unconjugated

    Anti-Dihydrofolate reductase (DHFR) antibody [EPR5285]

  • 617 Alexa Fluor® 594

    Alexa Fluor® 594 Anti-Dihydrofolate reductase (DHFR) antibody [EPR5285]

  • 660 APC

    APC Anti-Dihydrofolate reductase (DHFR) antibody [EPR5285]

  • 519 Alexa Fluor® 488

    Alexa Fluor® 488 Anti-Dihydrofolate reductase (DHFR) antibody [EPR5285]

  • 565 Alexa Fluor® 555

    Alexa Fluor® 555 Anti-Dihydrofolate reductase (DHFR) antibody [EPR5285]

  • 665 Alexa Fluor® 647

    Alexa Fluor® 647 Anti-Dihydrofolate reductase (DHFR) antibody [EPR5285]

  • 578 PE

    PE Anti-Dihydrofolate reductase (DHFR) antibody [EPR5285]

  • 775 Alexa Fluor® 750

    Alexa Fluor® 750 Anti-Dihydrofolate reductase (DHFR) antibody [EPR5285]

Key facts

Host species

Rabbit

Clonality

Monoclonal

Clone number

EPR5285

Isotype

IgG

Carrier free

Yes

Reacts with

Mouse, Rat, Human

Applications

WB, IHC-P

applications

Immunogen

The exact immunogen used to generate this antibody is proprietary information.

Reactivity data

{ "title": "Reactivity Data", "filters": { "stats": ["", "Species", "Dilution Info", "Notes"], "tabs": { "all-applications": {"fullname" : "All Applications", "shortname": "All Applications"}, "IHCP" : {"fullname" : "Immunohistochemistry (Formalin/PFA-fixed paraffin-embedded sections)", "shortname":"IHC-P"}, "IP" : {"fullname" : "Immunoprecipitation", "shortname":"IP"}, "FlowCyt" : {"fullname" : "Flow Cytometry", "shortname":"Flow Cyt"}, "WB" : {"fullname" : "Western blot", "shortname":"WB"} }, "product-promise": { "all": "all", "testedAndGuaranteed": "tested", "guaranteed": "expected", "predicted": "predicted", "notRecommended": "not-recommended" } }, "values": { "Human": { "IHCP-species-checked": "testedAndGuaranteed", "IHCP-species-dilution-info": "", "IHCP-species-notes": "<p>For antigen retrieval, heat up to 98 degree C, below boiling, and then let cool for 10-20 minutes.</p>", "IP-species-checked": "notRecommended", "IP-species-dilution-info": "", "IP-species-notes": "<p></p>", "FlowCyt-species-checked": "notRecommended", "FlowCyt-species-dilution-info": "", "FlowCyt-species-notes": "<p></p>", "WB-species-checked": "testedAndGuaranteed", "WB-species-dilution-info": "", "WB-species-notes": "<p></p>" }, "Mouse": { "IHCP-species-checked": "notRecommended", "IHCP-species-dilution-info": "", "IHCP-species-notes": "<p></p>", "IP-species-checked": "notRecommended", "IP-species-dilution-info": "", "IP-species-notes": "<p></p>", "FlowCyt-species-checked": "notRecommended", "FlowCyt-species-dilution-info": "", "FlowCyt-species-notes": "<p></p>", "WB-species-checked": "testedAndGuaranteed", "WB-species-dilution-info": "", "WB-species-notes": "<p></p>" }, "Rat": { "IHCP-species-checked": "notRecommended", "IHCP-species-dilution-info": "", "IHCP-species-notes": "<p></p>", "IP-species-checked": "notRecommended", "IP-species-dilution-info": "", "IP-species-notes": "<p></p>", "FlowCyt-species-checked": "notRecommended", "FlowCyt-species-dilution-info": "", "FlowCyt-species-notes": "<p></p>", "WB-species-checked": "testedAndGuaranteed", "WB-species-dilution-info": "", "WB-species-notes": "<p></p>" } } }

Product details

ab248017 is the carrier-free version of ab124814.

Patented technology
Our RabMAb® technology is a patented hybridoma-based technology for making rabbit monoclonal antibodies. For details on our patents, please refer to RabMAb® patents.

What are the advantages of a recombinant monoclonal antibody?
This product is a recombinant monoclonal antibody, which offers several advantages including:

  • - High batch-to-batch consistency and reproducibility
  • - Improved sensitivity and specificity
  • - Long-term security of supply
  • - Animal-free batch production

For more information, read more on recombinant antibodies.

Conjugation ready
Our carrier-free antibodies are typically supplied in a PBS-only formulation, purified and free of BSA, sodium azide and glycerol. This conjugation-ready format is designed for use with fluorochromes, metal isotopes, oligonucleotides, and enzymes, which makes them ideal for antibody labelling, functional and cell-based assays, flow-based assays (e.g. mass cytometry) and Multiplex Imaging applications.

Use our conjugation kits for antibody conjugates that are ready-to-use in as little as 20 minutes with 1 minute hands-on-time and 100% antibody recovery: available for fluorescent dyes, HRP, biotin and gold.

Compatibility
This product is compatible with the Maxpar® Antibody Labeling Kit from Fluidigm, without the need for antibody preparation. Maxpar® is a trademark of Fluidigm Canada Inc.

Properties and storage information

Form
Liquid
Purification technique
Affinity purification Protein A
Storage buffer
pH: 7.2 - 7.4 Constituents: PBS
Shipped at conditions
Blue Ice
Appropriate short-term storage conditions
+4°C
Appropriate long-term storage conditions
+4°C
Storage information
Do Not Freeze

Product protocols

For this product, it's our understanding that no specific protocols are required. You can visit:

Target data

Catalyzes the reduction of 7,8-dihydrofolate (DHF) to 5,6,7,8-tetrahydrofolate in a NADPH-dependent manner (PubMed : 12096917, PubMed : 15039552, PubMed : 17569517, PubMed : 19196009, PubMed : 19478082, PubMed : 21876184, PubMed : 9719595). Key enzyme in folate metabolism. Contributes to the nuclear and mitochondrial de novo thymidylate biosynthesis pathway (PubMed : 21876188, PubMed : 22235121). Catalyzes an essential reaction for de novo glycine and purine synthesis, and for DNA precursor synthesis. Binds its own mRNA and that of DHFR2.
See full target information Dihydrofolate reductase

Publications (1)

Recent publications for all applications. Explore the full list and refine your search

Journal of virology 97:e0190722 PubMed36946735

2023

Characterization of the Impact of Merkel Cell Polyomavirus-Induced Interferon Signaling on Viral Infection.

Applications

Unspecified application

Species

Unspecified reactive species

Ranran Wang,June F Yang,Taylor E Senay,Wei Liu,Jianxin You
View all publications

Product promise

We are committed to supporting your work with high-quality reagents, and we're here for you every step of the way. In the unlikely event that one of our products does not perform as expected, you're protected by our Product Promise.
For full details, please see our Terms & Conditions

Please note: All products are 'FOR RESEARCH USE ONLY. NOT FOR USE IN DIAGNOSTIC OR THERAPEUTIC PROCEDURES'.

For licensing inquiries, please contact partnerships@abcam.com