JavaScript is disabled in your browser. Please enable JavaScript to view this website.
AB282282

Anti-DIMT1L antibody [EPR24385-100] - BSA and Azide free

Be the first to review this product! Submit a review

|

(0 Publication)

Rabbit Recombinant Monoclonal DIMT1L antibody. Carrier free. Suitable for ICC/IF, Flow Cyt, WB, Flow Cyt (Intra) and reacts with Mouse, Human samples.

View Alternative Names

DIMT1L, HUSSY-05, DIMT1, Dimethyladenosine transferase, 18S rRNA (adenine(1779)-N(6)/adenine(1780)-N(6))-dimethyltransferase, 18S rRNA dimethylase, DIM1 dimethyladenosine transferase 1 homolog, DIM1 dimethyladenosine transferase 1-like

5 Images
Immunocytochemistry/ Immunofluorescence - Anti-DIMT1L antibody [EPR24385-100] - BSA and Azide free (AB282282)
  • ICC/IF

Supplier Data

Immunocytochemistry/ Immunofluorescence - Anti-DIMT1L antibody [EPR24385-100] - BSA and Azide free (AB282282)

This data was developed using ab271003, the same antibody clone in a different buffer formulation.

Immunofluorescent analysis of 4% Paraformaldehyde-fixed, 0.1% Triton X-100 permeabilized HeLa cells labelling DIMT1 with ab271003 at 1/100 (5.78 ug/ml) dilution, followed by ab150077 Goat Anti-Rabbit IgG H&L (Alexa Fluor® 488) antibody at 1/1000 dilution (Green) Confocal image showing nucleolar staining in HeLa cell line.

ab195889 Anti-alpha Tubulin mouse monoclonal antibody - Microtubule Marker (Alexa Fluor® 594) was used to counterstain tubulin at 1/200 dilution (Red). The Nuclear counterstain was DAPI (Blue).

Secondary antibody only control : Secondary antibody is ab150077 Goat Anti-Rabbit IgG H&L (Alexa Fluor® 488) at 1/1000 dilution.

Flow Cytometry (Intracellular) - Anti-DIMT1L antibody [EPR24385-100] - BSA and Azide free (AB282282)
  • Flow Cyt (Intra)

Supplier Data

Flow Cytometry (Intracellular) - Anti-DIMT1L antibody [EPR24385-100] - BSA and Azide free (AB282282)

This data was developed using ab271003, the same antibody clone in a different buffer formulation.

Flow cytometric analysis of 4% paraformaldehyde-fixed, 90% methanol-permeabilized HeLa (Human cervix adenocarcinoma cell) cells labelling DIMT1 with ab271003 at 1/50 dilution (1ug) (Red) compared with a Rabbit monoclonal IgG (ab172730) (Black) isotype control and an unlabelled control (cells without incubation with primary antibody and secondary antibody) (Blue). A Goat anti rabbit IgG (Alexa Fluor® 488, ab150077) at 1/2000 dilution was used as the secondary antibody.

Immunocytochemistry/ Immunofluorescence - Anti-DIMT1L antibody [EPR24385-100] - BSA and Azide free (AB282282)
  • ICC/IF

Supplier Data

Immunocytochemistry/ Immunofluorescence - Anti-DIMT1L antibody [EPR24385-100] - BSA and Azide free (AB282282)

This data was developed using ab271003, the same antibody clone in a different buffer formulation.

Immunofluorescent analysis of 4% Paraformaldehyde-fixed, 0.1% TritonX-100 permeabilized RAW 264.7 cells labelling DIMT1 with ab271003 at 1/100 (5.78 ug/ml) dilution, followed by ab150077 Goat Anti-Rabbit IgG H&L (Alexa Fluor® 488) antibody at 1/1000 dilution (Green) Confocal image showing nucleolar staining in RAW 264.7 cell line.

ab195889 Anti-alpha Tubulin mouse monoclonal antibody - Microtubule Marker (Alexa Fluor® 594) was used to counterstain tubulin at 1/200 dilution (Red). The Nuclear counterstain was DAPI (Blue).

Secondary antibody only control : Secondary antibody is ab150077 Goat Anti-Rabbit IgG H&L (Alexa Fluor® 488) at 1/1000 dilution.

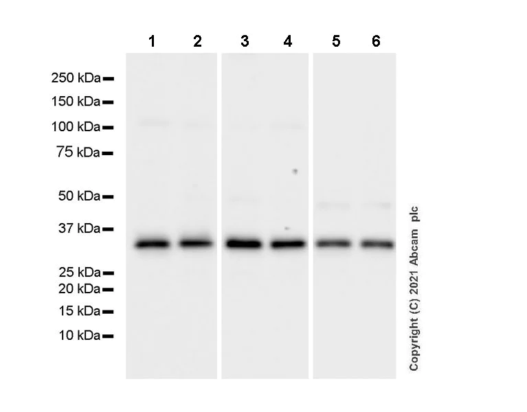
Western blot - Anti-DIMT1L antibody [EPR24385-100] - BSA and Azide free (AB282282)
  • WB

Lab

Western blot - Anti-DIMT1L antibody [EPR24385-100] - BSA and Azide free (AB282282)

This data was developed using 271003, the same antibody clone in a different buffer formulation.

Blocking and diluting buffer and concentration : 5% NFDM/TBST.

Exposure time : 26 seconds.

All lanes:

Western blot - Anti-DIMT1L antibody [EPR24385-100] (<a href='/en-us/products/primary-antibodies/dimt1l-antibody-epr24385-100-ab271003'>ab271003</a>) at 1/1000 dilution

Lane 1:

HeLa (human cervix adenocarcinoma epithelial cell), whole cell lysate at 20 µg

Lane 2:

HEK-293T (human embryonic kidney epithelial cell), whole cell lysate at 20 µg

Lane 3:

K562 (human chronic myelogenous leukemia lymphoblast), whole cell lysate at 20 µg

Lane 4:

Raji (human Burkitts lymphoma B lymphocyte), whole cell lysate at 20 µg

Lane 5:

NIH/3T3 (mouse embryonic fibroblast), whole cell lysate at 20 µg

Lane 6:

WEHI-231 (mouse B cell lymphoma B lymphocyte), whole cell lysate at 20 µg

Secondary

All lanes:

Western blot - Goat Anti-Rabbit IgG H&L (HRP) (<a href='/en-us/products/secondary-antibodies/goat-rabbit-igg-h-l-hrp-ab97051'>ab97051</a>) at 1/100000 dilution

Predicted band size: 35 kDa

Observed band size: 35 kDa

false

Western blot - Anti-DIMT1L antibody [EPR24385-100] - BSA and Azide free (AB282282)
  • WB

Lab

Western blot - Anti-DIMT1L antibody [EPR24385-100] - BSA and Azide free (AB282282)

This data was developed using 271003, the same antibody clone in a different buffer formulation.

Blocking and diluting buffer and concentration : 5% NFDM/TBST.

Exposure time : 81 seconds.

All lanes:

Western blot - Anti-DIMT1L antibody [EPR24385-100] (<a href='/en-us/products/primary-antibodies/dimt1l-antibody-epr24385-100-ab271003'>ab271003</a>) at 1/1000 dilution

Lane 1:

HeLa (human cervix adenocarcinoma epithelial cell), transfected with scrambled siRNA control whole cell lysate at 20 µg

Lane 2:

HeLa transfected with siRNA specifically targeting DIMT1 whole cell lysate at 20 µg

Secondary

All lanes:

Western blot - Goat Anti-Rabbit IgG H&L (HRP) (<a href='/en-us/products/secondary-antibodies/goat-rabbit-igg-h-l-hrp-ab97051'>ab97051</a>) at 1/100000 dilution

Predicted band size: 35 kDa

Observed band size: 35 kDa

false

Key facts

Host species

Rabbit

Clonality

Monoclonal

Clone number

EPR24385-100

Isotype

IgG

Carrier free

Yes

Reacts with

Mouse, Human

Applications

Flow Cyt, Flow Cyt (Intra), WB, ICC/IF

applications

Immunogen

The exact immunogen used to generate this antibody is proprietary information.

Reactivity data

{ "title": "Reactivity Data", "filters": { "stats": ["", "Species", "Dilution Info", "Notes"], "tabs": { "all-applications": {"fullname" : "All Applications", "shortname": "All Applications"}, "ICCIF" : {"fullname" : "Immunocytochemistry/ Immunofluorescence", "shortname":"ICC/IF"}, "IP" : {"fullname" : "Immunoprecipitation", "shortname":"IP"}, "FlowCyt" : {"fullname" : "Flow Cytometry", "shortname":"Flow Cyt"}, "WB" : {"fullname" : "Western blot", "shortname":"WB"}, "IHCP" : {"fullname" : "Immunohistochemistry (Formalin/PFA-fixed paraffin-embedded sections)", "shortname":"IHC-P"}, "FlowCytIntra" : {"fullname" : "Flow Cytometry (Intracellular)", "shortname":"Flow Cyt (Intra)"} }, "product-promise": { "all": "all", "testedAndGuaranteed": "tested", "guaranteed": "expected", "predicted": "predicted", "notRecommended": "not-recommended" } }, "values": { "Human": { "ICCIF-species-checked": "testedAndGuaranteed", "ICCIF-species-dilution-info": "", "ICCIF-species-notes": "<p></p>", "IP-species-checked": "notRecommended", "IP-species-dilution-info": "", "IP-species-notes": "<p></p>", "FlowCyt-species-checked": "guaranteed", "FlowCyt-species-dilution-info": "", "FlowCyt-species-notes": "<p></p>", "WB-species-checked": "testedAndGuaranteed", "WB-species-dilution-info": "", "WB-species-notes": "<p></p>", "IHCP-species-checked": "notRecommended", "IHCP-species-dilution-info": "", "IHCP-species-notes": "<p></p>", "FlowCytIntra-species-checked": "testedAndGuaranteed", "FlowCytIntra-species-dilution-info": "", "FlowCytIntra-species-notes": "<p></p>" }, "Mouse": { "ICCIF-species-checked": "testedAndGuaranteed", "ICCIF-species-dilution-info": "", "ICCIF-species-notes": "<p></p>", "IP-species-checked": "notRecommended", "IP-species-dilution-info": "", "IP-species-notes": "", "FlowCyt-species-checked": "guaranteed", "FlowCyt-species-dilution-info": "", "FlowCyt-species-notes": "<p></p>", "WB-species-checked": "testedAndGuaranteed", "WB-species-dilution-info": "", "WB-species-notes": "<p></p>", "IHCP-species-checked": "notRecommended", "IHCP-species-dilution-info": "", "IHCP-species-notes": "<p></p>", "FlowCytIntra-species-checked": "guaranteed", "FlowCytIntra-species-dilution-info": "", "FlowCytIntra-species-notes": "" }, "Rat": { "ICCIF-species-checked": "notRecommended", "ICCIF-species-dilution-info": "", "ICCIF-species-notes": "", "IP-species-checked": "notRecommended", "IP-species-dilution-info": "", "IP-species-notes": "", "FlowCyt-species-checked": "notRecommended", "FlowCyt-species-dilution-info": "", "FlowCyt-species-notes": "", "WB-species-checked": "notRecommended", "WB-species-dilution-info": "", "WB-species-notes": "<p></p>", "IHCP-species-checked": "notRecommended", "IHCP-species-dilution-info": "", "IHCP-species-notes": "<p></p>", "FlowCytIntra-species-checked": "notRecommended", "FlowCytIntra-species-dilution-info": "", "FlowCytIntra-species-notes": "" } } }

Product details

ab282282 is the carrier-free version of ab271003.

Patented technology
Our RabMAb® technology is a patented hybridoma-based technology for making rabbit monoclonal antibodies. For details on our patents, please refer to RabMAb® patents.

What are the advantages of a recombinant monoclonal antibody?
This product is a recombinant monoclonal antibody, which offers several advantages including:

  • - High batch-to-batch consistency and reproducibility
  • - Improved sensitivity and specificity
  • - Long-term security of supply
  • - Animal-free batch production

For more information, read more on recombinant antibodies.

Conjugation ready
Our carrier-free antibodies are typically supplied in a PBS-only formulation, purified and free of BSA, sodium azide and glycerol. This conjugation-ready format is designed for use with fluorochromes, metal isotopes, oligonucleotides, and enzymes, which makes them ideal for antibody labelling, functional and cell-based assays, flow-based assays (e.g. mass cytometry) and Multiplex Imaging applications.

Use our conjugation kits for antibody conjugates that are ready-to-use in as little as 20 minutes with 1 minute hands-on-time and 100% antibody recovery: available for fluorescent dyes, HRP, biotin and gold.

Compatibility
This product is compatible with the Maxpar® Antibody Labeling Kit from Fluidigm, without the need for antibody preparation. Maxpar® is a trademark of Fluidigm Canada Inc.

Properties and storage information

Form
Liquid
Purification technique
Affinity purification Protein A
Storage buffer
pH: 7.2 - 7.4 Constituents: PBS
Shipped at conditions
Blue Ice
Appropriate short-term storage conditions
+4°C
Appropriate long-term storage conditions
+4°C

Supplementary information

This supplementary information is collated from multiple sources and compiled automatically.

DIMT1L also known as DIMT1 or Nsun5 is a 58 kDa protein involved in ribosomal RNA methylation. It functions as a methyltransferase introducing methyl groups at specific adenine residues in the small subunit ribosomal RNA (rRNA). The protein shows expression mainly in tissues with high rates of protein synthesis such as liver kidney and pancreas reflecting its role in ribosome biogenesis. Its widespread expression in proliferative tissues highlights its importance for cellular growth and division.
Biological function summary

The protein DIMT1L plays an important role in assembling the 40S ribosomal subunit a part of the eukaryotic 80S ribosome. As a methyltransferase this protein methylates adenine residues in rRNA influencing the ribosome's structural and functional integrity. It usually functions as a monomer not requiring large complexes to exert its effects. This methyltransferase activity is important for correct ribosome maturation which in turn affects protein synthesis capacity within cells.

Pathways

DIMT1L activity is integral to ribosome biogenesis and rRNA processing pathways. The protein interacts with components of the ribonucleoprotein complex to facilitate the final maturation steps of the 40S subunit. It associates with proteins like Nop14 which participate in similar rRNA processing pathways ensuring the fidelity of ribosome assembly. Its role in these pathways highlights the importance of ribosomal integrity for effective translation and overall cellular function.

Research links DIMT1L to certain cancers and growth defects. Aberrations in its expression or function can lead to dysregulation in ribosome production contributing to tumorigenesis. The protein sometimes connects to pathways involving tumor suppressor proteins like p53 where disruption can accelerate cancer progression. Beyond cancer other proliferative disorders might arise from alterations in DIMT1L-mediated processes highlighting the need for further exploration into its mechanistic impacts on human health.

Product protocols

For this product, it's our understanding that no specific protocols are required. You can visit:

Target data

Specifically dimethylates two adjacent adenosines in the loop of a conserved hairpin near the 3'-end of 18S rRNA in the 40S particle (PubMed : 25851604). Involved in the pre-rRNA processing steps leading to small-subunit rRNA production independently of its RNA-modifying catalytic activity (PubMed : 25851604). Part of the small subunit (SSU) processome, first precursor of the small eukaryotic ribosomal subunit. During the assembly of the SSU processome in the nucleolus, many ribosome biogenesis factors, an RNA chaperone and ribosomal proteins associate with the nascent pre-rRNA and work in concert to generate RNA folding, modifications, rearrangements and cleavage as well as targeted degradation of pre-ribosomal RNA by the RNA exosome (PubMed : 34516797).
See full target information DIMT1

Product promise

We are committed to supporting your work with high-quality reagents, and we're here for you every step of the way. In the unlikely event that one of our products does not perform as expected, you're protected by our Product Promise.
For full details, please see our Terms & Conditions

Please note: All products are 'FOR RESEARCH USE ONLY. NOT FOR USE IN DIAGNOSTIC OR THERAPEUTIC PROCEDURES'.

For licensing inquiries, please contact partnerships@abcam.com