JavaScript is disabled in your browser. Please enable JavaScript to view this website.
AB235532

Anti-DIS3L antibody

Be the first to review this product! Submit a review

|

(1 Publication)

Rabbit Polyclonal DIS3L antibody. Suitable for WB, IHC-P and reacts with Human samples. Cited in 1 publication. Immunogen corresponding to Recombinant Fragment Protein within Human DIS3L aa 1-300.

View Alternative Names

DIS3L1, KIAA1955, DIS3L, DIS3-like exonuclease 1

3 Images
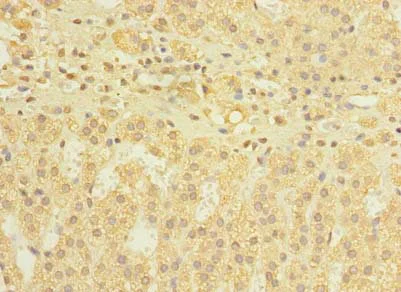
Immunohistochemistry (Formalin/PFA-fixed paraffin-embedded sections) - Anti-DIS3L antibody (AB235532)
  • IHC-P

Supplier Data

Immunohistochemistry (Formalin/PFA-fixed paraffin-embedded sections) - Anti-DIS3L antibody (AB235532)

Paraffin-embedded human adrenal gland tissue stained for DIS3L using ab235532 at 1/100 dilution in immunohistochemical analysis.

Immunohistochemistry (Formalin/PFA-fixed paraffin-embedded sections) - Anti-DIS3L antibody (AB235532)
  • IHC-P

Supplier Data

Immunohistochemistry (Formalin/PFA-fixed paraffin-embedded sections) - Anti-DIS3L antibody (AB235532)

Paraffin-embedded human colon cancer tissue stained for DIS3L using ab235532 at 1/100 dilution in immunohistochemical analysis.

Western blot - Anti-DIS3L antibody (AB235532)
  • WB

Supplier Data

Western blot - Anti-DIS3L antibody (AB235532)

All lanes:

Western blot - Anti-DIS3L antibody (ab235532) at 1/500 dilution

Lane 1:

HeLa (human epithelial cell line from cervix adenocarcinoma) whole cell lysate

Lane 2:

HepG2 (human liver hepatocellular carcinoma cell line) whole cell lysate

Lane 3:

MCF7 (human breast adenocarcinoma cell line) whole cell lysate

Secondary

All lanes:

Goat polyclonal to Rabbit IgG at 1/10000 dilution

Predicted band size: 121 kDa

false

Key facts

Host species

Rabbit

Clonality

Polyclonal

Isotype

IgG

Carrier free

No

Reacts with

Human

Applications

WB, IHC-P

applications

Immunogen

Recombinant Fragment Protein within Human DIS3L aa 1-300. The exact immunogen used to generate this antibody is proprietary information.

Q8TF46

Reactivity data

{ "title": "Reactivity Data", "filters": { "stats": ["", "Species", "Dilution Info", "Notes"], "tabs": { "all-applications": {"fullname" : "All Applications", "shortname": "All Applications"}, "WB" : {"fullname" : "Western blot", "shortname":"WB"}, "IHCP" : {"fullname" : "Immunohistochemistry (Formalin/PFA-fixed paraffin-embedded sections)", "shortname":"IHC-P"} }, "product-promise": { "all": "all", "testedAndGuaranteed": "tested", "guaranteed": "expected", "predicted": "predicted", "notRecommended": "not-recommended" } }, "values": { "Human": { "WB-species-checked": "testedAndGuaranteed", "WB-species-dilution-info": "1/500 - 1/2000", "WB-species-notes": "<p></p>", "IHCP-species-checked": "testedAndGuaranteed", "IHCP-species-dilution-info": "1/20 - 1/200", "IHCP-species-notes": "<p></p>" } } }

Properties and storage information

Form
Liquid
Purification technique
Affinity purification Protein G
Purification notes
Purity >95%
Storage buffer
pH: 7.4 Preservative: 0.03% Proclin 300 Constituents: PBS, 50% Glycerol (glycerin, glycerine)
Shipped at conditions
Blue Ice
Appropriate short-term storage duration
1-2 weeks
Appropriate short-term storage conditions
+4°C
Appropriate long-term storage conditions
-20°C
Aliquoting information
Upon delivery aliquot
Storage information
Avoid freeze / thaw cycle

Supplementary information

This supplementary information is collated from multiple sources and compiled automatically.

DIS3L also known as DIS3-like exonuclease 1 is an important protein involved in RNA metabolism. It exhibits 3'-to-5' exonuclease activity playing an important role in degrading RNA molecules within the cell. DIS3L generally has a mass of approximately 110 kDa. It is widely expressed with notable presence in tissues such as the brain liver and kidney. This protein belongs to the RNase II family sharing structural and functional similarities with other exoribonucleases.
Biological function summary

The mechanisms of DIS3L contribute significantly to the RNA exosome complex a multiprotein complex responsible for processing and degrading RNA molecules. This involvement suggests that DIS3L plays a part in the quality control of RNA ensuring the proper turnover and maturation of various RNA species. By participating in the RNA exosome complex DIS3L contributes to critical cellular processes such as gene expression regulation and RNA surveillance.

Pathways

DIS3L integrates into the RNA degradation pathways and the nonsense-mediated mRNA decay (NMD) pathway. These pathways play essential roles in maintaining cellular RNA balance and regulating gene expression. In the RNA degradation pathway DIS3L acts alongside proteins like SKI2 which further highlights its involvement in preserving RNA homeostasis. DIS3L's function within these pathways underlines its importance in controlling aberrant RNA molecules that can influence cell fate and function.

Disruptions in DIS3L activity appear linked to neurodegenerative diseases and specific cancers. Aberrant function of DIS3L within the RNA exosome complex can lead to the accumulation of faulty RNA molecules contributing to disease onset and progression. Glioblastoma an aggressive brain tumor and Alzheimer's disease represent conditions where altered expression and activity of DIS3L have drawn research interest. Connections between DIS3L and other proteins involved in these diseases such as TDP-43 in neurodegeneration and various oncogenic pathways in cancer highlight its potential role in disease pathogenesis.

Product protocols

For this product, it's our understanding that no specific protocols are required. You can visit:

Target data

Catalytic component of the RNA exosome complex which has 3'->5' exoribonuclease activity and participates in a multitude of cellular RNA processing and degradation events (PubMed : 20531386, PubMed : 20531389, PubMed : 37602378). In the cytoplasm, the RNA exosome complex is involved in general mRNA turnover and specifically degrades inherently unstable mRNAs containing AU-rich elements (AREs) within their 3' untranslated regions, and in RNA surveillance pathways, preventing translation of aberrant mRNAs. It seems to be involved in degradation of histone mRNA (PubMed : 20531386, PubMed : 20531389).
See full target information DIS3L

Publications (1)

Recent publications for all applications. Explore the full list and refine your search

Frontiers in oncology 11:629974 PubMed33968728

2021

DDX19A Promotes Metastasis of Cervical Squamous Cell Carcinoma by Inducing NOX1-Mediated ROS Production.

Applications

Unspecified application

Species

Unspecified reactive species

Yanhui Jiang,Baibin Wang,Yongliang Li,Jiahui Shen,Yutao Wei,Hanjie Li,Shangqiu Chen,Hua Yang,Famin Zeng,Changqing Liu,Feng Wang,Huanhuan He,Yong Chen,Jihong Liu
View all publications

Product promise

We are committed to supporting your work with high-quality reagents, and we're here for you every step of the way. In the unlikely event that one of our products does not perform as expected, you're protected by our Product Promise.
For full details, please see our Terms & Conditions

Please note: All products are 'FOR RESEARCH USE ONLY. NOT FOR USE IN DIAGNOSTIC OR THERAPEUTIC PROCEDURES'.

For licensing inquiries, please contact partnerships@abcam.com