JavaScript is disabled in your browser. Please enable JavaScript to view this website.
AB325939

Anti-Dishevelled 2 antibody [EPR30298-74]

  • RabMAb
  • Recombinant
  • 20ul selling size
  • KO Validated
  • What is this?

Be the first to review this product! Submit a review

|

(0 Publication)

Rabbit Recombinant Monoclonal Dishevelled 2 antibody. Suitable for Dot, IHC-P, WB and reacts with Transfected cell lysate - Human, Human, Mouse samples.

View Alternative Names

Segment polarity protein dishevelled homolog DVL-2, Dishevelled-2, DSH homolog 2, DVL2, Segment polarity protein dishevelled homolog DVL-2, Dishevelled-2, DSH homolog 2

10 Images
Immunohistochemistry (Formalin/PFA-fixed paraffin-embedded sections) - Anti-Dishevelled 2 antibody [EPR30298-74] (AB325939)
  • IHC-P

Lab

Immunohistochemistry (Formalin/PFA-fixed paraffin-embedded sections) - Anti-Dishevelled 2 antibody [EPR30298-74] (AB325939)

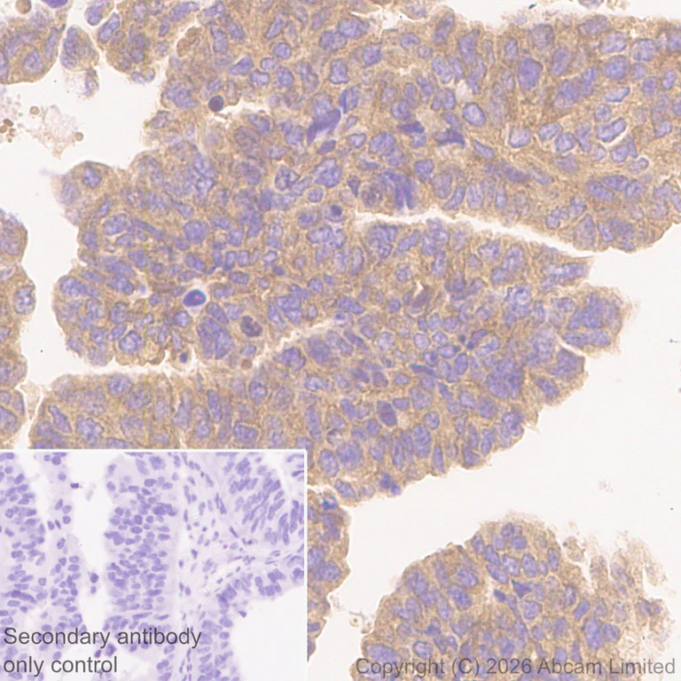
Immunohistochemical analysis of paraffin-embedded Human ovary tissue labeling Dishevelled 2 with ab325939 at 1/1000 (0.509 µg/ml) dilution, followed by a ready to use LeicaDS9800 (Bond™Polymer Refine Detection).

Positive staining on human ovary. The primary antibody was incubated for 30 mins at room temperature.

The immunostaining was performed on a Leica Biosystems BOND®RX instrument

Counterstained with Hematoxylin.

Secondary antibody only control : Secondary antibody is a ready to use LeicaDS9800 (BOND® Polymer Refine Detection).

Heat mediated antigen retrieval was performed with Tris-EDTA buffer (pH 9.0, Epitope Retrieval Solution2) for 20 mins

Immunohistochemistry (Formalin/PFA-fixed paraffin-embedded sections) - Anti-Dishevelled 2 antibody [EPR30298-74] (AB325939)
  • IHC-P

Lab

Immunohistochemistry (Formalin/PFA-fixed paraffin-embedded sections) - Anti-Dishevelled 2 antibody [EPR30298-74] (AB325939)

Immunohistochemical analysis of paraffin-embedded Human cerebrum tissue labeling Dishevelled 2 with ab325939 at 1/1000 (0.509 µg/ml) dilution, followed by a ready to use LeicaDS9800 (Bond™Polymer Refine Detection).

Low expression tissue : no staining on human cerebrum (PMID : 21990322). The primary antibody was incubated for 30 mins at room temperature.

The immunostaining was performed on a Leica Biosystems BOND® RX instrument

Counterstained with Hematoxylin.

Secondary antibody only control : Secondary antibody is a ready to use LeicaDS9800 (Bond™Polymer Refine Detection).

Heat mediated antigen retrieval was performed with Tris-EDTA buffer (pH 9.0, Epitope Retrieval Solution2) for 20 mins

Immunohistochemistry (Formalin/PFA-fixed paraffin-embedded sections) - Anti-Dishevelled 2 antibody [EPR30298-74] (AB325939)
  • IHC-P

Lab

Immunohistochemistry (Formalin/PFA-fixed paraffin-embedded sections) - Anti-Dishevelled 2 antibody [EPR30298-74] (AB325939)

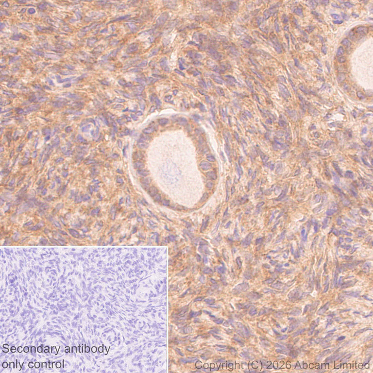
Immunohistochemical analysis of paraffin-embedded Human ovarian cancer tissue labeling Dishevelled 2 with ab325939 at 1/1000 (0.509 µg/ml) dilution, followed by a ready to use LeicaDS9800 (Bond™Polymer Refine Detection).

Positive staining on human ovarian cancer. The primary antibody was incubated for 30 mins at room temperature.

The immunostaining was performed on a Leica Biosystems BOND® RX instrument

Counterstained with Hematoxylin.

Secondary antibody only control : Secondary antibody is a ready to use LeicaDS9800 (Bond™Polymer Refine Detection).

Heat mediated antigen retrieval was performed with Tris-EDTA buffer (pH 9.0, Epitope Retrieval Solution2) for 20 mins

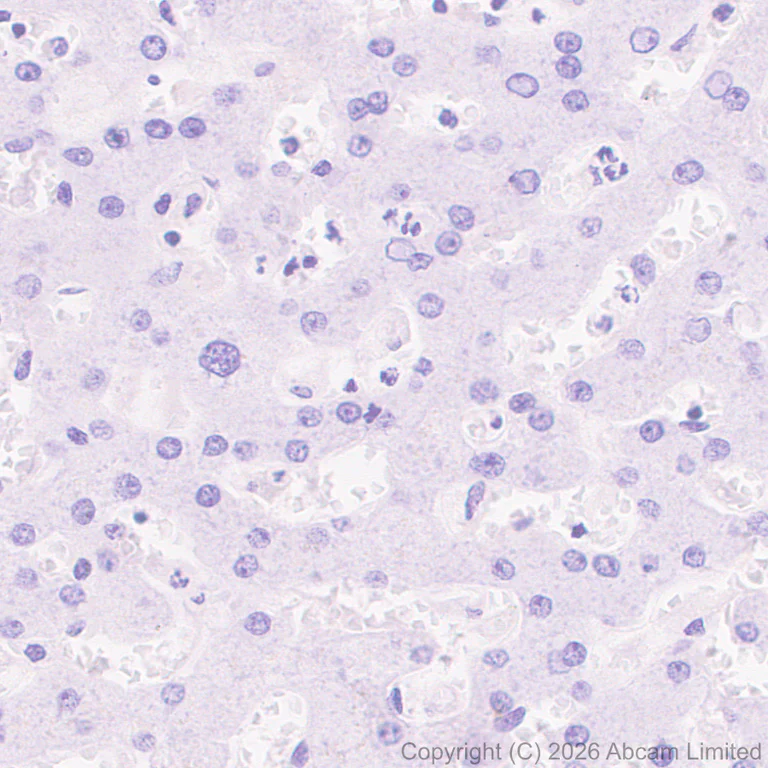
Immunohistochemistry (Formalin/PFA-fixed paraffin-embedded sections) - Anti-Dishevelled 2 antibody [EPR30298-74] (AB325939)
  • IHC-P

Lab

Immunohistochemistry (Formalin/PFA-fixed paraffin-embedded sections) - Anti-Dishevelled 2 antibody [EPR30298-74] (AB325939)

Immunohistochemical analysis of paraffin-embedded Human liver tissue labeling Dishevelled 2 with ab325939 at 1/1000 (0.509 µg/ml) dilution, followed by a ready to use LeicaDS9800 (Bond™ Polymer Refine Detection).

Low expression tissue : no staining on human liver. The primary antibody was incubated for 30 mins at room temperature.

The immunostaining was performed on a Leica Biosystems BOND® RX instrument

Counterstained with Hematoxylin.

Secondary antibody only control : Secondary antibody is a ready to use LeicaDS9800 (Bond™ Polymer Refine Detection).

Heat mediated antigen retrieval was performed with Tris-EDTA buffer (pH 9.0, Epitope Retrieval Solution2) for 20 mins

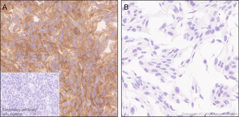
Immunohistochemistry (Formalin/PFA-fixed paraffin-embedded sections) - Anti-Dishevelled 2 antibody [EPR30298-74] (AB325939)
  • IHC-P

Lab

Immunohistochemistry (Formalin/PFA-fixed paraffin-embedded sections) - Anti-Dishevelled 2 antibody [EPR30298-74] (AB325939)

Immunohistochemical analysis of paraffin-embedded (A) Wild-type A549 (human lung carcinoma epithelial cell) cell pellet and (B) DVL2 knockout A549 cell pellet labeling Dishevelled 2 with ab325939 at 1/2000 (0.255 µg/ml) dilution, followed by a ready to use LeicaDS9800 (Bond™Polymer Refine Detection).

Positive staining on (A) Wild-type A549 cell pellet, no staining on (B) DVL2 knockout A549 cell pellet. The primary antibody was incubated for 30 mins at room temperature.

The immunostaining was performed on a Leica Biosystems BOND®RX instrument

Counterstained with Hematoxylin.

Secondary antibody only control : Secondary antibody is a ready to use LeicaDS9800 (Bond™Polymer Refine Detection).

Heat mediated antigen retrieval was performed with Tris-EDTA buffer (pH 9.0, Epitope Retrieval Solution2) for 20 mins

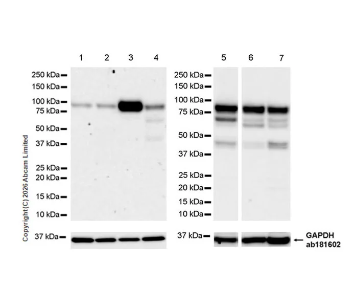
Western blot - Anti-Dishevelled 2 antibody [EPR30298-74] (AB325939)
  • WB

Lab

Western blot - Anti-Dishevelled 2 antibody [EPR30298-74] (AB325939)

Blocking and diluting buffer and concentration : 5% NFDM/TBST.

Performed under reducing conditions.

In Western blot ab325939 was shown to bind specifically to Dishevelled 2. Target of interest was observed at 95 kDa in wild-type A549 cell lysates (lane 3) with no signal observed at this size in Dishevelled 2 knockout cell line (lane 4) (knockout cell line ab277903 / knockout cell lysate ab288317).

Low expression : liver lung.

In Western blot Anti-GAPDH antibody [EPR16891] - Loading Control (ab181602) (1 : 200000) (36KDa).

Exposure time : Lanes 1-4 : 26 seconds; Lane 5 : 6 seconds; Lane 6 : 26 seconds.

All lanes:

Western blot - Anti-Dishevelled 2 antibody [EPR30298-74] (ab325939) at 1/1000 dilution

Lane 1:

Human ovary tissue lysate at 20 µg

Lane 2:

Human testis tissue lysate at 20 µg

Lane 3:

Human liver tissue lysate at 20 µg

Lane 4:

Human lung tissue lysate at 20 µg

Lane 5:

A549 (human lung carcinoma epithelial cell) whole cell lysate at 20 µg

Lane 6:

Dishevelled 2 knockout A549 whole cell lysate at 20 µg

Lane 7:

HeLa (human cervical adenocarcinoma epithelial cell) whole cell lysate at 20 µg

Lane 8:

NCI-H1299 (human lung carcinoma epithelial cell) whole cell lysate at 20 µg

Secondary

All lanes:

Western blot - Goat Anti-Rabbit IgG H&L (HRP) (<a href='/en-us/products/secondary-antibodies/goat-rabbit-igg-h-l-hrp-ab97051'>ab97051</a>) at 1/20000 dilution

Observed band size: 95 kDa,36 kDa

false

Western blot - Anti-Dishevelled 2 antibody [EPR30298-74] (AB325939)
  • WB

Lab

Western blot - Anti-Dishevelled 2 antibody [EPR30298-74] (AB325939)

Blocking and diluting buffer and concentration : 5% NFDM/TBST.

In lanes 1 and 4, the lysates were stored at -80degC prior to Western Blotting. The bands beneath the target band (95 kDa) are likely to be degradation products. In lanes 2-3, to minimize protein degradation, cells were lysed immediately after harvest and then applied to a gel and transfer membrane for Western blotting as soon as possible.

In Western blot, Anti-GAPDH antibody [EPR16891] - Loading Control (ab181602) (1 : 200000) (36KDa).

All lanes:

Western blot - Anti-Dishevelled 2 antibody [EPR30298-74] (ab325939) at 1/1000 dilution

Lane 1:

HEK-293 (human embryonic kidney epithelial cell) frozen whole cell lysate at 20 µg

Lane 2:

HEK-293 (human embryonic kidney epithelial cell) fresh whole cell lysate at 20 µg

Lane 3:

NIH/3T3 (mouse embryonic fibroblast) fresh whole cell lysate at 20 µg

Lane 4:

NIH/3T3 (mouse embryonic fibroblast) frozen whole cell lysate at 20 µg

Secondary

All lanes:

Western blot - Goat Anti-Rabbit IgG H&L (HRP) (<a href='/en-us/products/secondary-antibodies/goat-rabbit-igg-h-l-hrp-ab97051'>ab97051</a>) at 1/20000 dilution

Observed band size: 95 kDa,36 kDa

false

Exposure time: 59s

Western blot - Anti-Dishevelled 2 antibody [EPR30298-74] (AB325939)
  • WB

Lab

Western blot - Anti-Dishevelled 2 antibody [EPR30298-74] (AB325939)

Blocking and diluting buffer and concentration : 5% NFDM/TBST.

Low expression : brain, liver, spleen.

In Western blot, Anti-GAPDH antibody [EPR16891] - Loading Control (ab181602) (1 : 200000) (36KDa).

Exposure time : Lanes 1-2 : 180 seconds; Lanes 3-5 : 6 seconds.

All lanes:

Western blot - Anti-Dishevelled 2 antibody [EPR30298-74] (ab325939) at 1/1000 dilution

Lane 1:

Mouse brain tissue lysate at 20 µg

Lane 2:

Mouse liver tissue lysate at 20 µg

Lane 3:

Mouse testis tissue lysate at 20 µg

Lane 4:

Mouse spleen tissue lysate at 20 µg

Lane 5:

L Cells (mouse Subcutaneous connective tissue fibroblast) whole cell lysate at 20 µg

Lane 6:

Neuro-2a (mouse neuroblastoma neuroblast) whole cell lysate at 20 µg

Lane 7:

CT26.WT (mouse colon fibroblast) whole cell lysate at 20 µg

Secondary

All lanes:

Western blot - Goat Anti-Rabbit IgG H&L (HRP) (<a href='/en-us/products/secondary-antibodies/goat-rabbit-igg-h-l-hrp-ab97051'>ab97051</a>) at 1/20000 dilution

Observed band size: 95 kDa,36 kDa

false

Western blot - Anti-Dishevelled 2 antibody [EPR30298-74] (AB325939)
  • WB

Lab

Western blot - Anti-Dishevelled 2 antibody [EPR30298-74] (AB325939)

Blocking and diluting buffer and concentration : 5% NFDM/TBST.

In Western blot, Anti-GAPDH antibody [EPR16891] - Loading Control (ab181602) (1 : 200000) (36KDa).

All lanes:

Western blot - Anti-Dishevelled 2 antibody [EPR30298-74] (ab325939) at 1/1000 dilution

Lane 1:

HEK-293 (human embryonic kidney epithelial cell) transfected with scrambled siRNA control whole cell lysate at 20 µg

Lane 2:

HEK-293 transfected with siRNA specifically targeting Dishevelled 2 whole cell lysate at 20 µg

Secondary

All lanes:

Western blot - Goat Anti-Rabbit IgG H&L (HRP) (<a href='/en-us/products/secondary-antibodies/goat-rabbit-igg-h-l-hrp-ab97051'>ab97051</a>) at 1/20000 dilution

Observed band size: 95 kDa,36 kDa

false

Exposure time: 59s

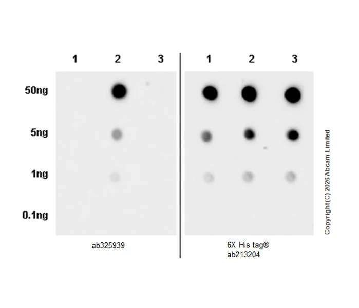
Dot Blot - Anti-Dishevelled 2 antibody [EPR30298-74] (AB325939)
  • Dot

Lab

Dot Blot - Anti-Dishevelled 2 antibody [EPR30298-74] (AB325939)

Dot blot analysis of Dishevelled 2 using ab325939 at 1 : 1000 (0.509 µg/ml) followed by a Goat Anti-Rabbit IgG, (H+L), Peroxidase conjugated (ab97051) at 1 : 100,000 dilution.

Lane 1 : 293T (human embryonic kidney epithelial cell) cells transfected with human Dishevelled 1 expression vector containing a myc-His-tag® whole cell lysate

Lane 2 : 293T cells transfected with human Dishevelled 2 expression vector containing a myc-His-tag® whole cell lysate

Lane 3 : 293T cells transfected with human Dishevelled 3 expression vector containing a myc-His-tag® whole cell lysate

Exposure time : 3 seconds.

Blocking and diluting buffer and concentration : 5% NFDM/TBST.

This antibody does not cross-react with overexpressed human Dishevelled 1 or Dishevelled 3 by dot blot.

All lanes:

Dot Blot - Anti-Dishevelled 2 antibody [EPR30298-74] (ab325939) at 1/1000 dilution

Lane 1:

293T (human embryonic kidney epithelial cell) cells transfected with human Dishevelled 1 expression vector containing a myc-His-tag® whole cell lysate

Lane 2:

293T cells transfected with human Dishevelled 2 expression vector containing a myc-His-tag® whole cell lysate

Lane 3:

293T cells transfected with human Dishevelled 3 expression vector containing a myc-His-tag® whole cell lysate

Secondary

All lanes:

Dot Blot - Goat Anti-Rabbit IgG H&L (HRP) (<a href='/en-us/products/secondary-antibodies/goat-rabbit-igg-h-l-hrp-ab97051'>ab97051</a>) at 1/100000 dilution

false

Exposure time: 3s

Key facts

Host species

Rabbit

Clonality

Monoclonal

Clone number

EPR30298-74

Isotype

IgG

Carrier free

No

Reacts with

Human, Mouse

Applications

WB, Dot, IHC-P

applications

Immunogen

The exact immunogen used to generate this antibody is proprietary information.

Specificity

Unsuitable for IHC-Fr in fresh frozen tissue. This antibody does not cross-react with overexpressed human Dishevelled 1 or Dishevelled 3 by dot blot.

Reactivity data

{ "title": "Reactivity Data", "filters": { "stats": ["", "Species", "Dilution Info", "Notes"], "tabs": { "all-applications": {"fullname" : "All Applications", "shortname": "All Applications"}, "Dot" : {"fullname" : "Dot Blot", "shortname":"Dot"}, "IHCP" : {"fullname" : "Immunohistochemistry (Formalin/PFA-fixed paraffin-embedded sections)", "shortname":"IHC-P"}, "WB" : {"fullname" : "Western blot", "shortname":"WB"} }, "product-promise": { "all": "all", "testedAndGuaranteed": "tested", "guaranteed": "expected", "predicted": "predicted", "notRecommended": "not-recommended" } }, "values": { "Human": { "Dot-species-checked": "guaranteed", "Dot-species-dilution-info": "", "Dot-species-notes": "", "IHCP-species-checked": "testedAndGuaranteed", "IHCP-species-dilution-info": "1/1000", "IHCP-species-notes": "<p></p> Perform heat-mediated antigen retrieval with Tris/EDTA buffer pH 9.0 before commencing with IHC staining protocol.", "WB-species-checked": "testedAndGuaranteed", "WB-species-dilution-info": "1/1000", "WB-species-notes": "<p></p>" }, "Mouse": { "Dot-species-checked": "guaranteed", "Dot-species-dilution-info": "", "Dot-species-notes": "", "IHCP-species-checked": "guaranteed", "IHCP-species-dilution-info": "", "IHCP-species-notes": "", "WB-species-checked": "testedAndGuaranteed", "WB-species-dilution-info": "1/1000", "WB-species-notes": "<p></p>" }, "Transfected cell lysate - Human": { "Dot-species-checked": "testedAndGuaranteed", "Dot-species-dilution-info": "1/1000", "Dot-species-notes": "<p></p>", "IHCP-species-checked": "notRecommended", "IHCP-species-dilution-info": "", "IHCP-species-notes": "", "WB-species-checked": "notRecommended", "WB-species-dilution-info": "", "WB-species-notes": "" } } }

Product details

Patented technology
Our RabMAb® technology is a patented hybridoma-based technology for making rabbit monoclonal antibodies. For details on our patents, please refer to RabMAb® patents.

What are the advantages of a recombinant monoclonal antibody?
This product is a recombinant monoclonal antibody, which offers several advantages including:

  • - High batch-to-batch consistency and reproducibility
  • - Improved sensitivity and specificity
  • - Long-term security of supply
  • - Animal-free batch production

For more information, read more on recombinant antibodies.

Properties and storage information

Form
Liquid
Purification technique
Affinity purification Protein A
Storage buffer
pH: 7.2 - 7.4 Preservative: 0.01% Sodium azide Constituents: PBS, 40% Glycerol (glycerin, glycerine), 0.05% BSA
Shipped at conditions
Blue Ice
Appropriate short-term storage duration
1-2 weeks
Appropriate short-term storage conditions
+4°C
Appropriate long-term storage conditions
-20°C
Aliquoting information
Upon delivery aliquot
Storage information
Avoid freeze / thaw cycle

Product protocols

For this product, it's our understanding that no specific protocols are required. You can visit:

Target data

Plays a role in the signal transduction pathways mediated by multiple Wnt genes (PubMed : 24616100). Participates both in canonical and non-canonical Wnt signaling by binding to the cytoplasmic C-terminus of frizzled family members and transducing the Wnt signal to down-stream effectors. Promotes internalization and degradation of frizzled proteins upon Wnt signaling.
See full target information DVL2

Product promise

We are committed to supporting your work with high-quality reagents, and we're here for you every step of the way. In the unlikely event that one of our products does not perform as expected, you're protected by our Product Promise.
For full details, please see our Terms & Conditions

Please note: All products are 'FOR RESEARCH USE ONLY. NOT FOR USE IN DIAGNOSTIC OR THERAPEUTIC PROCEDURES'.

For licensing inquiries, please contact partnerships@abcam.com