JavaScript is disabled in your browser. Please enable JavaScript to view this website.
AB124941

Anti-Dishevelled 2 (phospho T224) antibody [EPNCIR146]

Be the first to review this product! Submit a review

|

(7 Publications)

Rabbit Recombinant Monoclonal Dishevelled 2 phospho T224 antibody. Suitable for WB and reacts with Human samples. Cited in 7 publications.

View Alternative Names

Segment polarity protein dishevelled homolog DVL-2, Dishevelled-2, DSH homolog 2, DVL2

1 Images
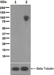
Western blot - Anti-Dishevelled 2 (phospho T224) antibody [EPNCIR146] (AB124941)
  • WB

Unknown

Western blot - Anti-Dishevelled 2 (phospho T224) antibody [EPNCIR146] (AB124941)

All lanes:

Western blot - Anti-Dishevelled 2 (phospho T224) antibody [EPNCIR146] (ab124941) at 1/1000 dilution

Lane 1:

HeLa cell lysate untreated at 10 µg

Lane 2:

HeLa cell lysate treated with Calyculin A at 10 µg

Secondary

All lanes:

HRP labelled Goat anti Rabbit IgG at 1/2000 dilution

Predicted band size: 78 kDa

Observed band size: 95 kDa

false

  • Carrier free

    Anti-Dishevelled 2 (phospho T224) antibody [EPNCIR146] - BSA and Azide free

Key facts

Host species

Rabbit

Clonality

Monoclonal

Clone number

EPNCIR146

Isotype

IgG

Carrier free

No

Reacts with

Human

Applications

WB

applications

Immunogen

The exact immunogen used to generate this antibody is proprietary information.

Reactivity data

{ "title": "Reactivity Data", "filters": { "stats": ["", "Species", "Dilution Info", "Notes"], "tabs": { "all-applications": {"fullname" : "All Applications", "shortname": "All Applications"}, "ICCIF" : {"fullname" : "Immunocytochemistry/ Immunofluorescence", "shortname":"ICC/IF"}, "FlowCyt" : {"fullname" : "Flow Cytometry", "shortname":"Flow Cyt"}, "WB" : {"fullname" : "Western blot", "shortname":"WB"}, "IHCP" : {"fullname" : "Immunohistochemistry (Formalin/PFA-fixed paraffin-embedded sections)", "shortname":"IHC-P"} }, "product-promise": { "all": "all", "testedAndGuaranteed": "tested", "guaranteed": "expected", "predicted": "predicted", "notRecommended": "not-recommended" } }, "values": { "Human": { "ICCIF-species-checked": "notRecommended", "ICCIF-species-dilution-info": "", "ICCIF-species-notes": "<p></p>", "FlowCyt-species-checked": "notRecommended", "FlowCyt-species-dilution-info": "", "FlowCyt-species-notes": "<p></p>", "WB-species-checked": "testedAndGuaranteed", "WB-species-dilution-info": "1/1000 - 1/10000", "WB-species-notes": "<p></p>", "IHCP-species-checked": "notRecommended", "IHCP-species-dilution-info": "", "IHCP-species-notes": "<p></p>" }, "Mouse": { "ICCIF-species-checked": "notRecommended", "ICCIF-species-dilution-info": "", "ICCIF-species-notes": "", "FlowCyt-species-checked": "notRecommended", "FlowCyt-species-dilution-info": "", "FlowCyt-species-notes": "", "WB-species-checked": "predicted", "WB-species-dilution-info": "", "WB-species-notes": "", "IHCP-species-checked": "notRecommended", "IHCP-species-dilution-info": "", "IHCP-species-notes": "" }, "Rat": { "ICCIF-species-checked": "notRecommended", "ICCIF-species-dilution-info": "", "ICCIF-species-notes": "", "FlowCyt-species-checked": "notRecommended", "FlowCyt-species-dilution-info": "", "FlowCyt-species-notes": "", "WB-species-checked": "predicted", "WB-species-dilution-info": "", "WB-species-notes": "", "IHCP-species-checked": "notRecommended", "IHCP-species-dilution-info": "", "IHCP-species-notes": "" } } }

Product details

This antibody was developed as part of a collaboration between Epitomics, the National Cancer Institute's Center for Cancer Research and the lab of Kyung Lee. View antibodies from NCI Center for Cancer Research Collaboration.

Patented technology
Our RabMAb® technology is a patented hybridoma-based technology for making rabbit monoclonal antibodies. For details on our patents, please refer to RabMAb® patents.

What are the advantages of a recombinant monoclonal antibody?
This product is a recombinant monoclonal antibody, which offers several advantages including:

  • - High batch-to-batch consistency and reproducibility
  • - Improved sensitivity and specificity
  • - Long-term security of supply
  • - Animal-free batch production

For more information, read more on recombinant antibodies.

Properties and storage information

Form
Liquid
Purification technique
Affinity purification Protein A
Storage buffer
pH: 7.2 - 7.4 Preservative: 0.05% Sodium azide Constituents: 50% Tissue culture supernatant, 40% Glycerol (glycerin, glycerine), 9.85% Tris glycine
Shipped at conditions
Blue Ice
Appropriate short-term storage conditions
+4°C
Appropriate long-term storage conditions
-20°C
Storage information
Stable for 12 months at -20°C

Product protocols

For this product, it's our understanding that no specific protocols are required. You can visit:

Target data

Plays a role in the signal transduction pathways mediated by multiple Wnt genes (PubMed : 24616100). Participates both in canonical and non-canonical Wnt signaling by binding to the cytoplasmic C-terminus of frizzled family members and transducing the Wnt signal to down-stream effectors. Promotes internalization and degradation of frizzled proteins upon Wnt signaling.
See full target information DVL2 phospho T224

Publications (7)

Recent publications for all applications. Explore the full list and refine your search

Glia 72:411-432 PubMed37904612

2023

Wnt5a/Ror2 promotes Nrf2-mediated tissue protective function of astrocytes after brain injury.

Applications

Unspecified application

Species

Unspecified reactive species

Mitsuharu Endo,Yuki Tanaka,Mayo Fukuoka,Hayata Suzuki,Yasuhiro Minami

Aging 15:10193-10212 PubMed37787983

2023

CK1ε drives osteogenic differentiation of bone marrow mesenchymal stem cells via activating Wnt/β-catenin pathway.

Applications

Unspecified application

Species

Unspecified reactive species

Zhentang Yu,Xijia Jiang,Jianjian Yin,Lei Han,Chengwei Xiong,Zhennan Huo,Jie Xu,Jingjing Shang,Kun Xi,Luming Nong,Yong Huang,Xindie Zhou

Biochemical and biophysical research communication 532:406-413 PubMed32888647

2020

The Daple-CK1ε complex regulates Dvl2 phosphorylation and canonical Wnt signaling.

Applications

Unspecified application

Species

Unspecified reactive species

Nobutoshi Esaki,Atsushi Enomoto,Maki Takagishi,Yasuyuki Mizutani,Tadashi Iida,Kaori Ushida,Yukihiro Shiraki,Shinji Mii,Masahide Takahashi

FASEB journal : official publication of the Federation of American Societies for Experimental Biology 34:3413-3428 PubMed31922321

2020

E2F1-Ror2 signaling mediates coordinated transcriptional regulation to promote G1/S phase transition in bFGF-stimulated NIH/3T3 fibroblasts.

Applications

Unspecified application

Species

Unspecified reactive species

Mitsuharu Endo,Yuki Tanaka,Mako Otsuka,Yasuhiro Minami

Oncology letters 18:3845-3856 PubMed31579410

2019

The CK2 inhibitor CX4945 reverses cisplatin resistance in the A549/DDP human lung adenocarcinoma cell line.

Applications

Unspecified application

Species

Unspecified reactive species

Chengji Jin,Ping Song,Ji Pang

Science (New York, N.Y.) 361: PubMed30026314

2018

A molecular mechanism for Wnt ligand-specific signaling.

Applications

Unspecified application

Species

Unspecified reactive species

Marie Eubelen,Naguissa Bostaille,Pauline Cabochette,Anne Gauquier,Patricia Tebabi,Andra C Dumitru,Melanie Koehler,Philipp Gut,David Alsteens,Didier Y R Stainier,Abel Garcia-Pino,Benoit Vanhollebeke

PloS one 9:e110543 PubMed25334044

2014

Marked cortisol production by intracrine ACTH in GIP-treated cultured adrenal cells in which the GIP receptor was exogenously introduced.

Applications

Unspecified application

Species

Unspecified reactive species

Hiroko Fujii,Mimi Tamamori-Adachi,Kousuke Uchida,Takao Susa,Takashi Nakakura,Haruo Hagiwara,Masayoshi Iizuka,Hiroko Okinaga,Yuji Tanaka,Tomoki Okazaki
View all publications

Product promise

We are committed to supporting your work with high-quality reagents, and we're here for you every step of the way. In the unlikely event that one of our products does not perform as expected, you're protected by our Product Promise.
For full details, please see our Terms & Conditions

Please note: All products are 'FOR RESEARCH USE ONLY. NOT FOR USE IN DIAGNOSTIC OR THERAPEUTIC PROCEDURES'.

For licensing inquiries, please contact partnerships@abcam.com