JavaScript is disabled in your browser. Please enable JavaScript to view this website.
AB156877

Anti-DKC1/Dyskerin antibody [EPR10399]

5

(1 Review)

|

(9 Publications)

Rabbit Recombinant Monoclonal DKC1/Dyskerin antibody. Suitable for IHC-P, WB, ICC/IF and reacts with Human, Mouse, Rat samples. Cited in 9 publications.

View Alternative Names

NOLA4, DKC1, H/ACA ribonucleoprotein complex subunit DKC1, CBF5 homolog, Dyskerin, Nopp140-associated protein of 57 kDa, Nucleolar protein NAP57, Nucleolar protein family A member 4, snoRNP protein DKC1

4 Images
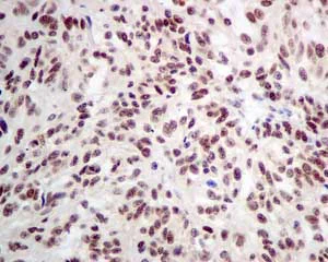
Immunohistochemistry (Formalin/PFA-fixed paraffin-embedded sections) - Anti-DKC1/Dyskerin antibody [EPR10399] (AB156877)
  • IHC-P

Unknown

Immunohistochemistry (Formalin/PFA-fixed paraffin-embedded sections) - Anti-DKC1/Dyskerin antibody [EPR10399] (AB156877)

Immunohistochemical analysis of paraffin embedded Human melanoma tissue labeling DKC1/Dyskerin with ab156877 antibody at a dilution of 1/50.

Perform heat mediated antigen retrieval via the pressure cooker method before commencing with IHC staining protocol.

Immunocytochemistry/ Immunofluorescence - Anti-DKC1/Dyskerin antibody [EPR10399] (AB156877)
  • ICC/IF

Unknown

Immunocytochemistry/ Immunofluorescence - Anti-DKC1/Dyskerin antibody [EPR10399] (AB156877)

Immunofluorescence analysis of HeLa cells labeling DKC1/Dyskerin with ab156877 antibody at a dilution of 1/100.

Immunohistochemistry (Formalin/PFA-fixed paraffin-embedded sections) - Anti-DKC1/Dyskerin antibody [EPR10399] (AB156877)
  • IHC-P

Unknown

Immunohistochemistry (Formalin/PFA-fixed paraffin-embedded sections) - Anti-DKC1/Dyskerin antibody [EPR10399] (AB156877)

Immunohistochemical analysis of paraffin embedded Human placenta tissue labeling DKC1/Dyskerin with ab156877 antibody at a dilution of 1/50.

Perform heat mediated antigen retrieval via the pressure cooker method before commencing with IHC staining protocol.

Western blot - Anti-DKC1/Dyskerin antibody [EPR10399] (AB156877)
  • WB

Unknown

Western blot - Anti-DKC1/Dyskerin antibody [EPR10399] (AB156877)

All lanes:

Western blot - Anti-DKC1/Dyskerin antibody [EPR10399] (ab156877) at 1/1000 dilution

Lane 1:

SW480 cell lysate at 10 µg

Lane 2:

HeLa cell lysate at 10 µg

Lane 3:

MCF-7 cell lysate at 10 µg

Predicted band size: 58 kDa

true

  • Carrier free

    Anti-DKC1/Dyskerin antibody [EPR10399] - BSA and Azide free

Key facts

Host species

Rabbit

Clonality

Monoclonal

Clone number

EPR10399

Isotype

IgG

Carrier free

No

Reacts with

Human

Applications

IHC-P, WB, ICC/IF

applications

Immunogen

The exact immunogen used to generate this antibody is proprietary information.

Reactivity data

{ "title": "Reactivity Data", "filters": { "stats": ["", "Species", "Dilution Info", "Notes"], "tabs": { "all-applications": {"fullname" : "All Applications", "shortname": "All Applications"}, "IHCP" : {"fullname" : "Immunohistochemistry (Formalin/PFA-fixed paraffin-embedded sections)", "shortname":"IHC-P"}, "IP" : {"fullname" : "Immunoprecipitation", "shortname":"IP"}, "FlowCyt" : {"fullname" : "Flow Cytometry", "shortname":"Flow Cyt"}, "WB" : {"fullname" : "Western blot", "shortname":"WB"}, "ICCIF" : {"fullname" : "Immunocytochemistry/ Immunofluorescence", "shortname":"ICC/IF"} }, "product-promise": { "all": "all", "testedAndGuaranteed": "tested", "guaranteed": "expected", "predicted": "predicted", "notRecommended": "not-recommended" } }, "values": { "Human": { "IHCP-species-checked": "testedAndGuaranteed", "IHCP-species-dilution-info": "1/50 - 1/100", "IHCP-species-notes": "<p></p>", "IP-species-checked": "notRecommended", "IP-species-dilution-info": "", "IP-species-notes": "<p></p>", "FlowCyt-species-checked": "notRecommended", "FlowCyt-species-dilution-info": "", "FlowCyt-species-notes": "<p></p>", "WB-species-checked": "testedAndGuaranteed", "WB-species-dilution-info": "1/1000 - 1/10000", "WB-species-notes": "<p></p>", "ICCIF-species-checked": "testedAndGuaranteed", "ICCIF-species-dilution-info": "1/100 - 1/250", "ICCIF-species-notes": "<p></p>" }, "Mouse": { "IHCP-species-checked": "predicted", "IHCP-species-dilution-info": "", "IHCP-species-notes": "", "IP-species-checked": "notRecommended", "IP-species-dilution-info": "", "IP-species-notes": "", "FlowCyt-species-checked": "notRecommended", "FlowCyt-species-dilution-info": "", "FlowCyt-species-notes": "", "WB-species-checked": "guaranteed", "WB-species-dilution-info": "", "WB-species-notes": "<p></p>", "ICCIF-species-checked": "predicted", "ICCIF-species-dilution-info": "", "ICCIF-species-notes": "" }, "Rat": { "IHCP-species-checked": "predicted", "IHCP-species-dilution-info": "", "IHCP-species-notes": "", "IP-species-checked": "notRecommended", "IP-species-dilution-info": "", "IP-species-notes": "", "FlowCyt-species-checked": "notRecommended", "FlowCyt-species-dilution-info": "", "FlowCyt-species-notes": "", "WB-species-checked": "guaranteed", "WB-species-dilution-info": "", "WB-species-notes": "<p></p>", "ICCIF-species-checked": "predicted", "ICCIF-species-dilution-info": "", "ICCIF-species-notes": "" } } }

Product details

Patented technology
Our RabMAb® technology is a patented hybridoma-based technology for making rabbit monoclonal antibodies. For details on our patents, please refer to RabMAb® patents.

What are the advantages of a recombinant monoclonal antibody?
This product is a recombinant monoclonal antibody, which offers several advantages including:

  • - High batch-to-batch consistency and reproducibility
  • - Improved sensitivity and specificity
  • - Long-term security of supply
  • - Animal-free batch production

For more information, read more on recombinant antibodies.

Properties and storage information

Form
Liquid
Purity
Tissue culture supernatant
Storage buffer
pH: 7.2 - 7.4 Preservative: 0.01% Sodium azide Constituents: PBS, 50% Tissue culture supernatant, 40% Glycerol (glycerin, glycerine), 0.05% BSA
Shipped at conditions
Blue Ice
Appropriate short-term storage conditions
+4°C
Appropriate long-term storage conditions
-20°C

Supplementary information

This supplementary information is collated from multiple sources and compiled automatically.

DKC1 also known as Dyskerin is a protein weighing approximately 57 kDa. It shows high expression in the nucleolus of cells aiding in key cellular processes. Dyskerin acts mechanically as a pseudouridine synthase which catalyzes the isomerization of uridine to pseudouridine in RNA molecules. This activity plays a significant role in rRNA modification and stabilization. Also Dyskerin functions as a scaffold within ribonucleoprotein complexes which is fundamental for ribosome biogenesis.
Biological function summary

Dyskerin is essential for maintaining the integrity of ribosomal RNA through its action within the H/ACA ribonucleoprotein complex. The protein binds H/ACA box small nucleolar RNAs (snoRNAs) which guides it to specific uridine residues in rRNA thereby modifying them to pseudouridine. These modifications have an important role in forming functional ribosomes. Additionally Dyskerin contributes to the stabilization of telomerase RNA component which impacts telomere maintenance and length regulation.

Pathways

The role of Dyskerin in ribosome biogenesis directly connects it to cellular growth and protein synthesis pathways. It associates with NOP10 GAR1 and NHP2 in the H/ACA ribonucleoprotein complex contributing to the processing of precursor rRNA. Dyskerin also associates with telomerase complex proteins like TERT functioning in the telomere maintenance pathway. In these pathways its activity ensures the accurate synthesis of proteins and the preservation of genomic stability.

Dyskerin mutations relate to X-linked dyskeratosis congenita a condition characterized by impaired telomere maintenance leading to bone marrow failure. Additionally abnormal levels of Dyskerin have associations with certain cancers due to its role in rRNA processing and telomere regulation which can drive malignant transformation. Proteins like TERC which forms part of the telomerase complex are frequently involved in these Dyskerin-related disorders highlighting Dyskerin's critical involvement in cellular division and stability.

Product protocols

For this product, it's our understanding that no specific protocols are required. You can visit:

Target data

Isoform 1. Catalytic subunit of H/ACA small nucleolar ribonucleoprotein (H/ACA snoRNP) complex, which catalyzes pseudouridylation of rRNA (PubMed : 25219674, PubMed : 32554502). This involves the isomerization of uridine such that the ribose is subsequently attached to C5, instead of the normal N1 (PubMed : 25219674). Each rRNA can contain up to 100 pseudouridine ('psi') residues, which may serve to stabilize the conformation of rRNAs. Required for ribosome biogenesis and telomere maintenance (PubMed : 19179534, PubMed : 25219674). Also required for correct processing or intranuclear trafficking of TERC, the RNA component of the telomerase reverse transcriptase (TERT) holoenzyme (PubMed : 19179534).. Isoform 3. Promotes cell to cell and cell to substratum adhesion, increases the cell proliferation rate and leads to cytokeratin hyper-expression.
See full target information DKC1

Publications (9)

Recent publications for all applications. Explore the full list and refine your search

Scientific reports 15:5728 PubMed39962164

2025

Smug1 alleviates the reproductive toxicity of 5-FU through functioning in rRNA quality control.

Applications

Unspecified application

Species

Unspecified reactive species

Gerile Naren,Debang Li,Danni Xing,Yu Liu,Lu Wang,Na Fan,Haoran Li,Xue Bai,Xiejun Zeng,Jin Wang,Xihe Li,Siqin Bao,Buhe Nashun

Molecular medicine (Cambridge, Mass.) 30:144 PubMed39256642

2024

ZCCHC8 p.P410A disrupts nucleocytoplasmic localization, promoting idiopathic pulmonary fibrosis and chronic obstructive pulmonary disease.

Applications

Unspecified application

Species

Unspecified reactive species

Chen-Yu Wang,Si-Hua Chang,Cheng-Feng Hu,Yi-Qiao Hu,Hong Luo,Lv Liu,Liang-Liang Fan

Nature communications 15:2425 PubMed38499544

2024

NAP-seq reveals multiple classes of structured noncoding RNAs with regulatory functions.

Applications

Unspecified application

Species

Unspecified reactive species

Shurong Liu,Junhong Huang,Jie Zhou,Siyan Chen,Wujian Zheng,Chang Liu,Qiao Lin,Ping Zhang,Di Wu,Simeng He,Jiayi Ye,Shun Liu,Keren Zhou,Bin Li,Lianghu Qu,Jianhua Yang

Human molecular genetics 32:2901-2912 PubMed37440454

2023

Novel pathological variants of NHP2 affect N-terminal domain flexibility, protein stability, H/ACA Ribonucleoprotein (RNP) complex formation and telomerase activity.

Applications

Unspecified application

Species

Unspecified reactive species

Bartosz Maliński,Jacopo Vertemara,Elena Faustini,Claes Ladenvall,Anna Norberg,Yuming Zhang,Eleonore von Castelmur,Panagiotis Baliakas,Renata Tisi,Jörg Cammenga,Francisca Lottersberger

World journal of surgical oncology 21:111 PubMed36973749

2023

Hypoxia-induced lncRNA MRVI1-AS1 accelerates hepatocellular carcinoma progression by recruiting RNA-binding protein CELF2 to stabilize SKA1 mRNA.

Applications

Unspecified application

Species

Unspecified reactive species

Hang Tuo,Runkun Liu,Yufeng Wang,Wei Yang,Qingguang Liu

Frontiers in cell and developmental biology 9:727595 PubMed35118063

2022

Gene Expression-Based Predication of RNA Pseudouridine Modification in Tumor Microenvironment and Prognosis of Glioma Patients.

Applications

Unspecified application

Species

Unspecified reactive species

Lin-Jian Wang,Peipei Lv,Yongli Lou,Jianping Ye

Oncology letters 20:2183-2190 PubMed32782535

2020

LncRNA MEG3 inhibits non-small cell lung cancer via interaction with DKC1 protein.

Applications

Unspecified application

Species

Unspecified reactive species

Zhi Yang,Zitong Wang,Yong Duan

FEBS letters 594:175-188 PubMed31365120

2019

The E3 ubiquitin ligase UBR5 interacts with the H/ACA ribonucleoprotein complex and regulates ribosomal RNA biogenesis in embryonic stem cells.

Applications

Unspecified application

Species

Unspecified reactive species

Isabel Saez,Jennifer V Gerbracht,Seda Koyuncu,Hyun Ju Lee,Moritz Horn,Virginia Kroef,Martin S Denzel,Christoph Dieterich,Niels H Gehring,David Vilchez

Journal of enzyme inhibition and medicinal chemistry 33:1199-1211 PubMed30132373

2018

Discovery of new chromen-4-one derivatives as telomerase inhibitors through regulating expression of dyskerin.

Applications

Unspecified application

Species

Unspecified reactive species

Jie Quan Wang,Meng Di Yang,Xing Chen,Yang Wang,Liu Zeng Chen,Xiu Cheng,Xin Hua Liu
View all publications

Product promise

We are committed to supporting your work with high-quality reagents, and we're here for you every step of the way. In the unlikely event that one of our products does not perform as expected, you're protected by our Product Promise.
For full details, please see our Terms & Conditions

Please note: All products are 'FOR RESEARCH USE ONLY. NOT FOR USE IN DIAGNOSTIC OR THERAPEUTIC PROCEDURES'.

For licensing inquiries, please contact partnerships@abcam.com