JavaScript is disabled in your browser. Please enable JavaScript to view this website.
AB249288

Anti-DKC1/Dyskerin antibody [EPR10399] - BSA and Azide free

Be the first to review this product! Submit a review

|

(0 Publication)

Rabbit Recombinant Monoclonal DKC1/Dyskerin antibody. Carrier free. Suitable for IHC-P, ICC/IF, WB and reacts with Human samples.

View Alternative Names

NOLA4, DKC1, H/ACA ribonucleoprotein complex subunit DKC1, CBF5 homolog, Dyskerin, Nopp140-associated protein of 57 kDa, Nucleolar protein NAP57, Nucleolar protein family A member 4, snoRNP protein DKC1

4 Images
Immunohistochemistry (Formalin/PFA-fixed paraffin-embedded sections) - Anti-DKC1/Dyskerin antibody [EPR10399] - BSA and Azide free (AB249288)
  • IHC-P

Unknown

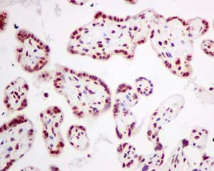
Immunohistochemistry (Formalin/PFA-fixed paraffin-embedded sections) - Anti-DKC1/Dyskerin antibody [EPR10399] - BSA and Azide free (AB249288)

This data was developed using ab156877, the same antibody clone in a different buffer formulation.

Immunohistochemical analysis of paraffin embedded Human placenta tissue labeling DKC1/Dyskerin with ab156877 antibody at a dilution of 1/50.

Perform heat mediated antigen retrieval via the pressure cooker method before commencing with IHC staining protocol.

Western blot - Anti-DKC1/Dyskerin antibody [EPR10399] - BSA and Azide free (AB249288)
  • WB

Unknown

Western blot - Anti-DKC1/Dyskerin antibody [EPR10399] - BSA and Azide free (AB249288)

This data was developed using ab156877, the same antibody clone in a different buffer formulation.

All lanes:

Western blot - Anti-DKC1/Dyskerin antibody [EPR10399] (<a href='/en-us/products/primary-antibodies/dkc1-dyskerin-antibody-epr10399-ab156877'>ab156877</a>) at 1/1000 dilution

Lane 1:

SW480 cell lysate at 10 µg

Lane 2:

HeLa cell lysate at 10 µg

Lane 3:

MCF-7 cell lysate at 10 µg

Predicted band size: 58 kDa

true

Immunocytochemistry/ Immunofluorescence - Anti-DKC1/Dyskerin antibody [EPR10399] - BSA and Azide free (AB249288)
  • ICC/IF

Unknown

Immunocytochemistry/ Immunofluorescence - Anti-DKC1/Dyskerin antibody [EPR10399] - BSA and Azide free (AB249288)

This data was developed using ab156877, the same antibody clone in a different buffer formulation.

Immunofluorescence analysis of HeLa cells labeling DKC1/Dyskerin with ab156877 antibody at a dilution of 1/100.

Immunohistochemistry (Formalin/PFA-fixed paraffin-embedded sections) - Anti-DKC1/Dyskerin antibody [EPR10399] - BSA and Azide free (AB249288)
  • IHC-P

Unknown

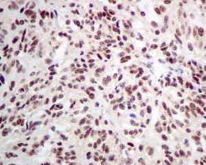
Immunohistochemistry (Formalin/PFA-fixed paraffin-embedded sections) - Anti-DKC1/Dyskerin antibody [EPR10399] - BSA and Azide free (AB249288)

This data was developed using ab156877, the same antibody clone in a different buffer formulation.

Immunohistochemical analysis of paraffin embedded Human melanoma tissue labeling DKC1/Dyskerin with ab156877 antibody at a dilution of 1/50.

Perform heat mediated antigen retrieval via the pressure cooker method before commencing with IHC staining protocol.

Key facts

Host species

Rabbit

Clonality

Monoclonal

Clone number

EPR10399

Isotype

IgG

Carrier free

Yes

Reacts with

Human

Applications

WB, ICC/IF, IHC-P

applications

Immunogen

The exact immunogen used to generate this antibody is proprietary information.

Reactivity data

{ "title": "Reactivity Data", "filters": { "stats": ["", "Species", "Dilution Info", "Notes"], "tabs": { "all-applications": {"fullname" : "All Applications", "shortname": "All Applications"}, "IHCP" : {"fullname" : "Immunohistochemistry (Formalin/PFA-fixed paraffin-embedded sections)", "shortname":"IHC-P"}, "ICCIF" : {"fullname" : "Immunocytochemistry/ Immunofluorescence", "shortname":"ICC/IF"}, "IP" : {"fullname" : "Immunoprecipitation", "shortname":"IP"}, "FlowCyt" : {"fullname" : "Flow Cytometry", "shortname":"Flow Cyt"}, "WB" : {"fullname" : "Western blot", "shortname":"WB"} }, "product-promise": { "all": "all", "testedAndGuaranteed": "tested", "guaranteed": "expected", "predicted": "predicted", "notRecommended": "not-recommended" } }, "values": { "Human": { "IHCP-species-checked": "testedAndGuaranteed", "IHCP-species-dilution-info": "", "IHCP-species-notes": "<p></p> Perform heat-mediated antigen retrieval via the pressure cooker method before commencing with IHC staining protocol.", "ICCIF-species-checked": "testedAndGuaranteed", "ICCIF-species-dilution-info": "", "ICCIF-species-notes": "<p></p>", "IP-species-checked": "notRecommended", "IP-species-dilution-info": "", "IP-species-notes": "<p></p>", "FlowCyt-species-checked": "notRecommended", "FlowCyt-species-dilution-info": "", "FlowCyt-species-notes": "<p></p>", "WB-species-checked": "testedAndGuaranteed", "WB-species-dilution-info": "", "WB-species-notes": "<p></p>" }, "Mouse": { "IHCP-species-checked": "predicted", "IHCP-species-dilution-info": "", "IHCP-species-notes": "", "ICCIF-species-checked": "predicted", "ICCIF-species-dilution-info": "", "ICCIF-species-notes": "", "IP-species-checked": "notRecommended", "IP-species-dilution-info": "", "IP-species-notes": "", "FlowCyt-species-checked": "notRecommended", "FlowCyt-species-dilution-info": "", "FlowCyt-species-notes": "", "WB-species-checked": "predicted", "WB-species-dilution-info": "", "WB-species-notes": "" }, "Rat": { "IHCP-species-checked": "predicted", "IHCP-species-dilution-info": "", "IHCP-species-notes": "", "ICCIF-species-checked": "predicted", "ICCIF-species-dilution-info": "", "ICCIF-species-notes": "", "IP-species-checked": "notRecommended", "IP-species-dilution-info": "", "IP-species-notes": "", "FlowCyt-species-checked": "notRecommended", "FlowCyt-species-dilution-info": "", "FlowCyt-species-notes": "", "WB-species-checked": "predicted", "WB-species-dilution-info": "", "WB-species-notes": "" } } }

Product details

Properties and storage information

Form
Liquid
Purification technique
Affinity purification
Storage buffer
pH: 7.2 - 7.4 Constituents: PBS
Shipped at conditions
Blue Ice
Appropriate short-term storage conditions
+4°C
Appropriate long-term storage conditions
+4°C
Storage information
Do Not Freeze

Supplementary information

This supplementary information is collated from multiple sources and compiled automatically.

DKC1 also known as Dyskerin is a protein weighing approximately 57 kDa. It shows high expression in the nucleolus of cells aiding in key cellular processes. Dyskerin acts mechanically as a pseudouridine synthase which catalyzes the isomerization of uridine to pseudouridine in RNA molecules. This activity plays a significant role in rRNA modification and stabilization. Also Dyskerin functions as a scaffold within ribonucleoprotein complexes which is fundamental for ribosome biogenesis.
Biological function summary

Dyskerin is essential for maintaining the integrity of ribosomal RNA through its action within the H/ACA ribonucleoprotein complex. The protein binds H/ACA box small nucleolar RNAs (snoRNAs) which guides it to specific uridine residues in rRNA thereby modifying them to pseudouridine. These modifications have an important role in forming functional ribosomes. Additionally Dyskerin contributes to the stabilization of telomerase RNA component which impacts telomere maintenance and length regulation.

Pathways

The role of Dyskerin in ribosome biogenesis directly connects it to cellular growth and protein synthesis pathways. It associates with NOP10 GAR1 and NHP2 in the H/ACA ribonucleoprotein complex contributing to the processing of precursor rRNA. Dyskerin also associates with telomerase complex proteins like TERT functioning in the telomere maintenance pathway. In these pathways its activity ensures the accurate synthesis of proteins and the preservation of genomic stability.

Dyskerin mutations relate to X-linked dyskeratosis congenita a condition characterized by impaired telomere maintenance leading to bone marrow failure. Additionally abnormal levels of Dyskerin have associations with certain cancers due to its role in rRNA processing and telomere regulation which can drive malignant transformation. Proteins like TERC which forms part of the telomerase complex are frequently involved in these Dyskerin-related disorders highlighting Dyskerin's critical involvement in cellular division and stability.

Product protocols

For this product, it's our understanding that no specific protocols are required. You can visit:

Target data

Isoform 1. Catalytic subunit of H/ACA small nucleolar ribonucleoprotein (H/ACA snoRNP) complex, which catalyzes pseudouridylation of rRNA (PubMed : 25219674, PubMed : 32554502). This involves the isomerization of uridine such that the ribose is subsequently attached to C5, instead of the normal N1 (PubMed : 25219674). Each rRNA can contain up to 100 pseudouridine ('psi') residues, which may serve to stabilize the conformation of rRNAs. Required for ribosome biogenesis and telomere maintenance (PubMed : 19179534, PubMed : 25219674). Also required for correct processing or intranuclear trafficking of TERC, the RNA component of the telomerase reverse transcriptase (TERT) holoenzyme (PubMed : 19179534).. Isoform 3. Promotes cell to cell and cell to substratum adhesion, increases the cell proliferation rate and leads to cytokeratin hyper-expression.
See full target information DKC1

Product promise

We are committed to supporting your work with high-quality reagents, and we're here for you every step of the way. In the unlikely event that one of our products does not perform as expected, you're protected by our Product Promise.
For full details, please see our Terms & Conditions

Please note: All products are 'FOR RESEARCH USE ONLY. NOT FOR USE IN DIAGNOSTIC OR THERAPEUTIC PROCEDURES'.

For licensing inquiries, please contact partnerships@abcam.com