JavaScript is disabled in your browser. Please enable JavaScript to view this website.
AB271882

Anti-DKK1 antibody [EPR4759] - BSA and Azide free

Be the first to review this product! Submit a review

|

(0 Publication)

Rabbit Recombinant Monoclonal DKK1 antibody. Carrier free. Suitable for WB, IHC-P and reacts with Human, Recombinant full length protein - Human samples.

View Alternative Names

UNQ492/PRO1008, DKK1, Dickkopf-related protein 1, Dickkopf-1, Dkk-1, hDkk-1, SK

3 Images
Immunohistochemistry (Formalin/PFA-fixed paraffin-embedded sections) - Anti-DKK1 antibody [EPR4759] - BSA and Azide free (AB271882)
  • IHC-P

Unknown

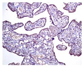
Immunohistochemistry (Formalin/PFA-fixed paraffin-embedded sections) - Anti-DKK1 antibody [EPR4759] - BSA and Azide free (AB271882)

Immunohistochemical analysis of paraffin-embedded Human placenta tissue using 1/100 unpurified ab109416.

This data was developed using the same antibody clone in a different buffer formulation containing PBS, BSA, glycerol, and sodium azide (ab109416).

Immunohistochemistry (Formalin/PFA-fixed paraffin-embedded sections) - Anti-DKK1 antibody [EPR4759] - BSA and Azide free (AB271882)
  • IHC-P

Unknown

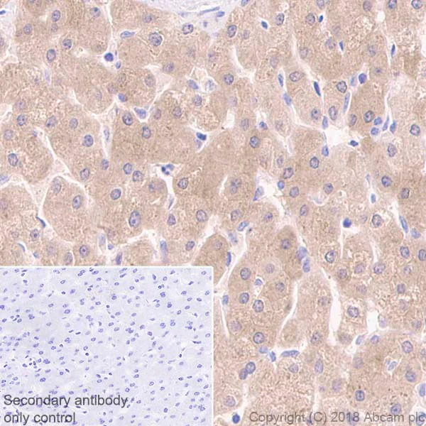
Immunohistochemistry (Formalin/PFA-fixed paraffin-embedded sections) - Anti-DKK1 antibody [EPR4759] - BSA and Azide free (AB271882)

Immunohistochemistry (Formalin/PFA-fixed paraffin-embedded sections) analysis of Human liver tissue sections labeling DKK1 with Purified ab109416 at 1 : 800 dilution (1.04 μg/ml). Heat mediated antigen retrieval was performed using using ab93684 (Tris/EDTA buffer, pH 9.0)ImmunoHistoProbe one step HRP Polymer (ready to use)was used as the secondary antibody.Negative control : PBS instead of the primary antibody.Hematoxylinwas used as a counterstain.

This data was developed using the same antibody clone in a different buffer formulation containing PBS, BSA, glycerol, and sodium azide (ab109416).

Western blot - Anti-DKK1 antibody [EPR4759] - BSA and Azide free (AB271882)
  • WB

Lab

Western blot - Anti-DKK1 antibody [EPR4759] - BSA and Azide free (AB271882)

False colour image of Western blot : Anti-DKK1 antibody [EPR4759] staining at 1/2000 dilution, shown in green; Mouse anti-Alpha Tubulin [DM1A] (ab7291) loading control staining at 1/20000 dilution, shown in red. To generate this image, samples were run on an SDS-PAGE gel then transferred onto a nitrocellulose membrane. Membranes were blocked in 3 % milk in TBS-0.1 % Tween® 20 (TBS-T) before incubation with primary antibodies overnight at 4 °C. Blots were washed four times in TBS-T, incubated with secondary antibodies for 1 h at room temperature, washed again four times then imaged. Secondary antibodies used were Goat anti-Rabbit IgG H&L (IRDye® 800CW) preabsorbed (ab216773) and Goat anti-Mouse IgG H&L (IRDye® 680RD) preabsorbed (ab216776) at 1/20000 dilution.

This data was developed using the same antibody clone in a different buffer formulation containing PBS, BSA, glycerol, and sodium azide (ab109416).

All lanes:

Western blot - Anti-DKK1 antibody [EPR4759] (<a href='/en-us/products/primary-antibodies/dkk1-antibody-epr4759-ab109416'>ab109416</a>) at 1/2000 dilution

Lane 1:

Caco-2 cell lysate at 20 µg

Lane 2:

PC-3 cell lysate at 20 µg

Lane 3:

U-2 OS cell lysate at 20 µg

Lane 4:

MOLT4 cell lysate at 20 µg

Lane 5:

HEK-293 cell lysate at 20 µg

Predicted band size: 29 kDa

Observed band size: 30-45 kDa

false

Key facts

Host species

Rabbit

Clonality

Monoclonal

Clone number

EPR4759

Isotype

IgG

Carrier free

Yes

Reacts with

Human

Applications

IHC-P, WB

applications

Immunogen

The exact immunogen used to generate this antibody is proprietary information.

Reactivity data

{ "title": "Reactivity Data", "filters": { "stats": ["", "Species", "Dilution Info", "Notes"], "tabs": { "all-applications": {"fullname" : "All Applications", "shortname": "All Applications"}, "FlowCyt" : {"fullname" : "Flow Cytometry", "shortname":"Flow Cyt"}, "ICCIF" : {"fullname" : "Immunocytochemistry/ Immunofluorescence", "shortname":"ICC/IF"}, "WB" : {"fullname" : "Western blot", "shortname":"WB"}, "IHCP" : {"fullname" : "Immunohistochemistry (Formalin/PFA-fixed paraffin-embedded sections)", "shortname":"IHC-P"} }, "product-promise": { "all": "all", "testedAndGuaranteed": "tested", "guaranteed": "expected", "predicted": "predicted", "notRecommended": "not-recommended" } }, "values": { "Human": { "FlowCyt-species-checked": "notRecommended", "FlowCyt-species-dilution-info": "", "FlowCyt-species-notes": "<p></p>", "ICCIF-species-checked": "notRecommended", "ICCIF-species-dilution-info": "", "ICCIF-species-notes": "<p></p>", "WB-species-checked": "testedAndGuaranteed", "WB-species-dilution-info": "", "WB-species-notes": "<p></p>", "IHCP-species-checked": "testedAndGuaranteed", "IHCP-species-dilution-info": "", "IHCP-species-notes": "<p>See IHC antigen retrieval protocols.1/250 - 1/500.</p>" }, "Recombinant full length protein - Human": { "FlowCyt-species-checked": "notRecommended", "FlowCyt-species-dilution-info": "", "FlowCyt-species-notes": "", "ICCIF-species-checked": "notRecommended", "ICCIF-species-dilution-info": "", "ICCIF-species-notes": "", "WB-species-checked": "testedAndGuaranteed", "WB-species-dilution-info": "", "WB-species-notes": "<p></p>", "IHCP-species-checked": "notRecommended", "IHCP-species-dilution-info": "", "IHCP-species-notes": "" } } }

Product details

ab271882 is the carrier-free version of ab109416.

Patented technology
Our RabMAb® technology is a patented hybridoma-based technology for making rabbit monoclonal antibodies. For details on our patents, please refer to RabMAb® patents.

What are the advantages of a recombinant monoclonal antibody?
This product is a recombinant monoclonal antibody, which offers several advantages including:

  • - High batch-to-batch consistency and reproducibility
  • - Improved sensitivity and specificity
  • - Long-term security of supply
  • - Animal-free batch production

For more information, read more on recombinant antibodies.

Conjugation ready
Our carrier-free antibodies are typically supplied in a PBS-only formulation, purified and free of BSA, sodium azide and glycerol. This conjugation-ready format is designed for use with fluorochromes, metal isotopes, oligonucleotides, and enzymes, which makes them ideal for antibody labelling, functional and cell-based assays, flow-based assays (e.g. mass cytometry) and Multiplex Imaging applications.

Use our conjugation kits for antibody conjugates that are ready-to-use in as little as 20 minutes with 1 minute hands-on-time and 100% antibody recovery: available for fluorescent dyes, HRP, biotin and gold.

Compatibility
This product is compatible with the Maxpar® Antibody Labeling Kit from Fluidigm, without the need for antibody preparation. Maxpar® is a trademark of Fluidigm Canada Inc.

Properties and storage information

Form
Liquid
Purification technique
Affinity purification Protein A
Storage buffer
pH: 7.2 - 7.4 Constituents: PBS
Shipped at conditions
Blue Ice
Appropriate short-term storage conditions
+4°C
Appropriate long-term storage conditions
+4°C
Storage information
Do Not Freeze

Supplementary information

This supplementary information is collated from multiple sources and compiled automatically.

The DKK1 protein also known as Dickkopf-1 is a secreted protein with a mass of approximately 28-30 kDa. It plays a mechanical role in inhibiting the Wnt signaling pathway by binding to LRP5/6 co-receptors preventing Wnt ligands from activating the pathway. DKK1 is expressed in various tissues including the bone brain and placenta reflecting its involvement in several biological processes. Its capacity to bind and neutralize the Wnt pathway components cements DKK1's role as a significant modulator of cellular functions.
Biological function summary

The inhibition of the Wnt signaling by DKK1 alters cell proliferation differentiation and migration. DKK1 does not function as part of a large multi-protein complex but interacts directly with specific co-receptors and modulates the activity of key signaling molecules. This regulatory mechanism controls processes like bone formation and neurogenesis indicating DKK1's broad impact in development and tissue homeostasis. Its expression pattern and biological role position it as an important player in maintaining proper cellular signaling environments.

Pathways

DKK1 is a critical player in the Wnt signaling and bone remodeling pathways. Through its interaction with Wnt pathway components like LRP5/6 DKK1 modulates these pathways affecting downstream proteins such as β-catenin and influencing gene transcription. In the bone remodeling context DKK1's ability to regulate osteoblast activity connects it to other related proteins like sclerostin contributing to bone density and health.

Elevated levels of DKK1 are observed in conditions like osteoporosis and cancer. In osteoporosis DKK1's inhibition of Wnt signaling leads to reduced bone formation implicating it alongside proteins like sclerostin in deteriorating bone health. In cancer DKK1's dysregulation can promote tumorigenesis by altering cell signaling and microenvironment interactions. These roles underline the potential of targeting DKK1 for therapeutic purposes in treating these diseases.

Product protocols

For this product, it's our understanding that no specific protocols are required. You can visit:

Target data

Antagonizes canonical Wnt signaling by inhibiting LRP5/6 interaction with Wnt and by forming a ternary complex with the transmembrane protein KREMEN that promotes internalization of LRP5/6 (PubMed : 22000856). DKKs play an important role in vertebrate development, where they locally inhibit Wnt regulated processes such as antero-posterior axial patterning, limb development, somitogenesis and eye formation. In the adult, Dkks are implicated in bone formation and bone disease, cancer and Alzheimer disease (PubMed : 17143291). Inhibits the pro-apoptotic function of KREMEN1 in a Wnt-independent manner, and has anti-apoptotic activity (By similarity).
See full target information DKK1

Product promise

We are committed to supporting your work with high-quality reagents, and we're here for you every step of the way. In the unlikely event that one of our products does not perform as expected, you're protected by our Product Promise.
For full details, please see our Terms & Conditions

Please note: All products are 'FOR RESEARCH USE ONLY. NOT FOR USE IN DIAGNOSTIC OR THERAPEUTIC PROCEDURES'.

For licensing inquiries, please contact partnerships@abcam.com