JavaScript is disabled in your browser. Please enable JavaScript to view this website.
AB187532

Anti-Dkk3 antibody

Be the first to review this product! Submit a review

|

(12 Publications)

Rabbit Polyclonal Dkk3 antibody. Suitable for WB, IHC-P and reacts with Mouse, Human samples. Cited in 12 publications. Immunogen corresponding to Recombinant Fragment Protein within Human DKK3.

View Alternative Names

REIC, UNQ258/PRO295, DKK3, Dickkopf-related protein 3, Dickkopf-3, Dkk-3, hDkk-3

4 Images
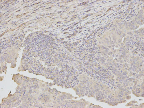
Immunohistochemistry (Formalin/PFA-fixed paraffin-embedded sections) - Anti-Dkk3 antibody (AB187532)
  • IHC-P

Unknown

Immunohistochemistry (Formalin/PFA-fixed paraffin-embedded sections) - Anti-Dkk3 antibody (AB187532)

Immunohistochemistry (Formalin/PFA-fixed paraffin-embedded sections) analysis of human endometrial cancer tissue labelling Dkk3 with ab187532 at 1/100. Magnification : 200x.

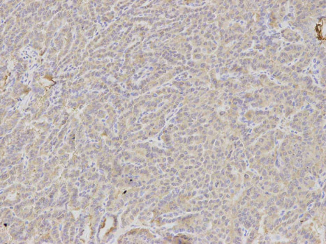
Immunohistochemistry (Formalin/PFA-fixed paraffin-embedded sections) - Anti-Dkk3 antibody (AB187532)
  • IHC-P

Unknown

Immunohistochemistry (Formalin/PFA-fixed paraffin-embedded sections) - Anti-Dkk3 antibody (AB187532)

Immunohistochemistry (Formalin/PFA-fixed paraffin-embedded sections) analysis of human thyroid cancer tissue labelling Dkk3 with ab187532 at 1/100. Magnification : 200x.

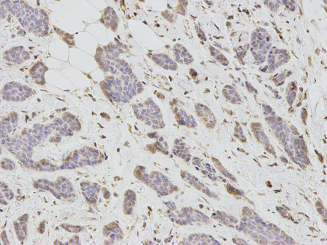
Immunohistochemistry (Formalin/PFA-fixed paraffin-embedded sections) - Anti-Dkk3 antibody (AB187532)
  • IHC-P

Unknown

Immunohistochemistry (Formalin/PFA-fixed paraffin-embedded sections) - Anti-Dkk3 antibody (AB187532)

Immunohistochemistry (Formalin/PFA-fixed paraffin-embedded sections) analysis of human breast cancer tissue labelling Dkk3 with ab187532 at 1/100. Magnification : 200x.

Western blot - Anti-Dkk3 antibody (AB187532)
  • WB

Supplier Data

Western blot - Anti-Dkk3 antibody (AB187532)

All lanes:

Western blot - Anti-Dkk3 antibody (ab187532) at 1/500 dilution

All lanes:

Mouse brain extract

Predicted band size: 38 kDa

false

Key facts

Host species

Rabbit

Clonality

Polyclonal

Isotype

IgG

Carrier free

No

Reacts with

Mouse, Human

Applications

WB, IHC-P

applications

Immunogen

Recombinant Fragment Protein within Human DKK3. The exact immunogen used to generate this antibody is proprietary information.

Q9UBP4

Reactivity data

{ "title": "Reactivity Data", "filters": { "stats": ["", "Species", "Dilution Info", "Notes"], "tabs": { "all-applications": {"fullname" : "All Applications", "shortname": "All Applications"}, "WB" : {"fullname" : "Western blot", "shortname":"WB"}, "IHCP" : {"fullname" : "Immunohistochemistry (Formalin/PFA-fixed paraffin-embedded sections)", "shortname":"IHC-P"} }, "product-promise": { "all": "all", "testedAndGuaranteed": "tested", "guaranteed": "expected", "predicted": "predicted", "notRecommended": "not-recommended" } }, "values": { "Human": { "WB-species-checked": "guaranteed", "WB-species-dilution-info": "", "WB-species-notes": "", "IHCP-species-checked": "testedAndGuaranteed", "IHCP-species-dilution-info": "1/50 - 1/200", "IHCP-species-notes": "<p></p>" }, "Mouse": { "WB-species-checked": "testedAndGuaranteed", "WB-species-dilution-info": "1/500 - 1/2000", "WB-species-notes": "<p></p>", "IHCP-species-checked": "guaranteed", "IHCP-species-dilution-info": "", "IHCP-species-notes": "" } } }

Properties and storage information

Form
Liquid
Purification technique
Affinity purification Immunogen
Storage buffer
pH: 7.3 Preservative: 0.02% Sodium azide Constituents: PBS, 50% Glycerol (glycerin, glycerine)
Shipped at conditions
Blue Ice
Appropriate short-term storage duration
1-2 weeks
Appropriate short-term storage conditions
+4°C
Appropriate long-term storage conditions
-20°C
Aliquoting information
Upon delivery aliquot
Storage information
Avoid freeze / thaw cycle

Product protocols

For this product, it's our understanding that no specific protocols are required. You can visit:

Target data

Antagonizes canonical Wnt signaling by inhibiting LRP5/6 interaction with Wnt and by forming a ternary complex with the transmembrane protein KREMEN that promotes internalization of LRP5/6. DKKs play an important role in vertebrate development, where they locally inhibit Wnt regulated processes such as antero-posterior axial patterning, limb development, somitogenesis and eye formation. In the adult, Dkks are implicated in bone formation and bone disease, cancer and Alzheimer disease (By similarity).
See full target information DKK3

Publications (12)

Recent publications for all applications. Explore the full list and refine your search

Journal of cachexia, sarcopenia and muscle 16:e70002 PubMed40745399

2025

Exogenous Nucleotides Supplementation Attenuates Age-Related Sarcopenia.

Applications

Unspecified application

Species

Unspecified reactive species

Xin Wu,Rui Liu,Na Zhu,Xiujuan Wang,Chan Wei,Xiaoyang An,Meihong Xu,Yong Li

Renal failure 46:2343817 PubMed38682264

2024

DKK3 promotes renal fibrosis by increasing MFF-mediated mitochondrial dysfunction in Wnt/β-catenin pathway-dependent manner.

Applications

Unspecified application

Species

Unspecified reactive species

Jianling Song,Yanxia Chen,Yan Chen,Minzi Qiu,Wenliu Xiang,Ben Ke,Xiangdong Fang

iScience 26:107379 PubMed37705954

2023

Single-cell and bulk tissue sequencing unravels the heterogeneity of synovial microenvironment in arthrofibrosis.

Applications

Unspecified application

Species

Unspecified reactive species

Xi Chen,Lihua Gong,Cheng Li,Siyuan Wang,Ziyuan Wang,Ming Chu,Yixin Zhou

Frontiers in immunology 14:978236 PubMed36845147

2023

's protective role in prostate cancer is partly due to the modulation of immune-related pathways.

Applications

Unspecified application

Species

Unspecified reactive species

Zainab Al Shareef,Mahmood Y Hachim,Iman M Talaat,Poorna Manasa Bhamidimarri,Mai Nidal Asad Ershaid,Burcu Yener Ilce,Thenmozhi Venkatachalam,Abdulla Eltayeb,Rifat Hamoudi,Ibrahim Y Hachim

Current urology 16:246-255 PubMed36714231

2022

polymorphism and prostate cancer prognosis.

Applications

Unspecified application

Species

Unspecified reactive species

Ahmed Z El-Attar,Samia Hussein,Mariam F A Salama,Hanaa M Ibrahim,Amira S AlKaramany,Mansour K Elsawi,Mohamed Hemeda,Ahmed Algazeery

Journal of clinical laboratory analysis 36:e24360 PubMed35303365

2022

MiR-363-3p promotes prostate cancer tumor progression by targeting Dickkopf 3.

Applications

Unspecified application

Species

Unspecified reactive species

Li-Zhe Xu,Jin-Zhuo Ning,Yuan Ruan,Fan Cheng

International journal of molecular medicine 49: PubMed34970696

2022

lnc‑MICAL2‑1 sponges miR‑25 to regulate DKK3 expression and inhibits activation of the Wnt/β‑catenin signaling pathway in breast cancer.

Applications

Unspecified application

Species

Unspecified reactive species

Jia Yao,Guanqiao Li,Minfeng Liu,Shiping Yang,Huiluan Su,Changsheng Ye

Journal of Cancer 11:3424-3432 PubMed32284738

2020

MiR-425 Promotes Migration and Invasion in Bladder Cancer by Targeting Dickkopf 3.

Applications

Unspecified application

Species

Unspecified reactive species

Jin-Zhuo Ning,Wei-Min Yu,Fan Cheng,Ting Rao,Yuan Ruan

Experimental and therapeutic medicine 18:769-778 PubMed31258712

2019

miR-25-3p promotes glioma cell proliferation and migration by targeting FBXW7 and DKK3.

Applications

Unspecified application

Species

Unspecified reactive species

Gang Peng,Chenxing Yang,Yi Liu,Chenfu Shen

Journal of cellular and molecular medicine 22:5833-5846 PubMed30246484

2018

Meridianin C inhibits the growth of YD-10B human tongue cancer cells through macropinocytosis and the down-regulation of Dickkopf-related protein-3.

Applications

Unspecified application

Species

Unspecified reactive species

Nam-Sook Park,Yu-Kyoung Park,Mahesh Ramalingam,Anil Kumar Yadav,Hyo-Rim Cho,Victor Sukbong Hong,Kunal N More,Jae-Hoon Bae,David Bishop-Bailey,Junko Kano,Masayuki Noguchi,Ik-Soon Jang,Kyung-Bok Lee,Jinho Lee,Jong-Soon Choi,Byeong-Churl Jang
View all publications

Product promise

We are committed to supporting your work with high-quality reagents, and we're here for you every step of the way. In the unlikely event that one of our products does not perform as expected, you're protected by our Product Promise.
For full details, please see our Terms & Conditions

Please note: All products are 'FOR RESEARCH USE ONLY. NOT FOR USE IN DIAGNOSTIC OR THERAPEUTIC PROCEDURES'.

For licensing inquiries, please contact partnerships@abcam.com