JavaScript is disabled in your browser. Please enable JavaScript to view this website.
AB249334

Anti-DLC-A antibody [EPR11240] - BSA and Azide free

Be the first to review this product! Submit a review

|

(0 Publication)

Rabbit Recombinant Monoclonal DLC-A antibody. Carrier free. Suitable for IHC-P, ICC/IF, WB and reacts with Human samples.

View Alternative Names

DNCLI1, DYNC1LI1, Cytoplasmic dynein 1 light intermediate chain 1, LIC1, Dynein light chain A, DLC-A, DLIC-1

5 Images
Immunohistochemistry (Formalin/PFA-fixed paraffin-embedded sections) - Anti-DLC-A antibody [EPR11240] - BSA and Azide free (AB249334)
  • IHC-P

Unknown

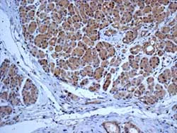
Immunohistochemistry (Formalin/PFA-fixed paraffin-embedded sections) - Anti-DLC-A antibody [EPR11240] - BSA and Azide free (AB249334)

This data was developed using ab157468, the same antibody clone in a different buffer formulation.

Immunohistochemical analysis of paraffin-embedded Human pancreas tissue labeling DLC-A with ab157468 at 1/100 dilution.

Perform heat mediated antigen retrieval with citrate buffer pH 6 before commencing with IHC staining protocol.

Immunocytochemistry/ Immunofluorescence - Anti-DLC-A antibody [EPR11240] - BSA and Azide free (AB249334)
  • ICC/IF

Unknown

Immunocytochemistry/ Immunofluorescence - Anti-DLC-A antibody [EPR11240] - BSA and Azide free (AB249334)

This data was developed using ab157468, the same antibody clone in a different buffer formulation.

Immunofluorescent analysis of K562 cells labeling DLC-A with ab157468 at 1/100 dilution.

Immunohistochemistry (Formalin/PFA-fixed paraffin-embedded sections) - Anti-DLC-A antibody [EPR11240] - BSA and Azide free (AB249334)
  • IHC-P

Unknown

Immunohistochemistry (Formalin/PFA-fixed paraffin-embedded sections) - Anti-DLC-A antibody [EPR11240] - BSA and Azide free (AB249334)

This data was developed using ab157468, the same antibody clone in a different buffer formulation.

Immunohistochemical analysis of paraffin-embedded Human heart tissue labeling DLC-A with ab157468 at 1/100 dilution.

Perform heat mediated antigen retrieval with citrate buffer pH 6 before commencing with IHC staining protocol.

Western blot - Anti-DLC-A antibody [EPR11240] - BSA and Azide free (AB249334)
  • WB

Unknown

Western blot - Anti-DLC-A antibody [EPR11240] - BSA and Azide free (AB249334)

This data was developed using ab157468, the same antibody clone in a different buffer formulation.

All lanes:

Western blot - Anti-DLC-A antibody [EPR11240] (<a href='/en-us/products/primary-antibodies/dlc-a-antibody-epr11240-ab157468'>ab157468</a>) at 1/1000 dilution

Lane 1:

K562 cell lysate at 10 µg

Lane 2:

HeLa cell lysate at 10 µg

Lane 3:

Fetal brain tissue lysate at 10 µg

Lane 4:

Fetal heart tissue lysate at 10 µg

Lane 5:

Jurkat cell lysate at 10 µg

Secondary

All lanes:

HRP labelled goat anti-rabbit at 1/2000 dilution

Predicted band size: 57 kDa

false

Western blot - Anti-DLC-A antibody [EPR11240] - BSA and Azide free (AB249334)
  • WB

Unknown

Western blot - Anti-DLC-A antibody [EPR11240] - BSA and Azide free (AB249334)

This data was developed using ab157468, the same antibody clone in a different buffer formulation.

All lanes:

Western blot - Anti-DLC-A antibody [EPR11240] (<a href='/en-us/products/primary-antibodies/dlc-a-antibody-epr11240-ab157468'>ab157468</a>) at 1/1000 dilution

All lanes:

immunoprecipitation pellet from fetal brain lysate

false

Key facts

Host species

Rabbit

Clonality

Monoclonal

Clone number

EPR11240

Isotype

IgG

Carrier free

Yes

Reacts with

Human

Applications

WB, IHC-P, ICC/IF

applications

Immunogen

The exact immunogen used to generate this antibody is proprietary information.

Reactivity data

{ "title": "Reactivity Data", "filters": { "stats": ["", "Species", "Dilution Info", "Notes"], "tabs": { "all-applications": {"fullname" : "All Applications", "shortname": "All Applications"}, "IHCP" : {"fullname" : "Immunohistochemistry (Formalin/PFA-fixed paraffin-embedded sections)", "shortname":"IHC-P"}, "ICCIF" : {"fullname" : "Immunocytochemistry/ Immunofluorescence", "shortname":"ICC/IF"}, "FlowCyt" : {"fullname" : "Flow Cytometry", "shortname":"Flow Cyt"}, "WB" : {"fullname" : "Western blot", "shortname":"WB"} }, "product-promise": { "all": "all", "testedAndGuaranteed": "tested", "guaranteed": "expected", "predicted": "predicted", "notRecommended": "not-recommended" } }, "values": { "Human": { "IHCP-species-checked": "testedAndGuaranteed", "IHCP-species-dilution-info": "", "IHCP-species-notes": "<p></p> Perform heat-mediated antigen retrieval with citrate buffer pH 6 before commencing with IHC staining protocol.", "ICCIF-species-checked": "testedAndGuaranteed", "ICCIF-species-dilution-info": "", "ICCIF-species-notes": "<p></p>", "FlowCyt-species-checked": "notRecommended", "FlowCyt-species-dilution-info": "", "FlowCyt-species-notes": "<p></p>", "WB-species-checked": "testedAndGuaranteed", "WB-species-dilution-info": "", "WB-species-notes": "<p></p>" }, "Mouse": { "IHCP-species-checked": "predicted", "IHCP-species-dilution-info": "", "IHCP-species-notes": "", "ICCIF-species-checked": "predicted", "ICCIF-species-dilution-info": "", "ICCIF-species-notes": "", "FlowCyt-species-checked": "notRecommended", "FlowCyt-species-dilution-info": "", "FlowCyt-species-notes": "", "WB-species-checked": "predicted", "WB-species-dilution-info": "", "WB-species-notes": "" }, "Rat": { "IHCP-species-checked": "predicted", "IHCP-species-dilution-info": "", "IHCP-species-notes": "", "ICCIF-species-checked": "predicted", "ICCIF-species-dilution-info": "", "ICCIF-species-notes": "", "FlowCyt-species-checked": "notRecommended", "FlowCyt-species-dilution-info": "", "FlowCyt-species-notes": "", "WB-species-checked": "predicted", "WB-species-dilution-info": "", "WB-species-notes": "" } } }

Product details

ab249334 is the carrier-free version of ab157468.

Patented technology
Our RabMAb® technology is a patented hybridoma-based technology for making rabbit monoclonal antibodies. For details on our patents, please refer to RabMAb® patents.

What are the advantages of a recombinant monoclonal antibody?
This product is a recombinant monoclonal antibody, which offers several advantages including:

  • - High batch-to-batch consistency and reproducibility
  • - Improved sensitivity and specificity
  • - Long-term security of supply
  • - Animal-free batch production

For more information, read more on recombinant antibodies.

Conjugation ready
Our carrier-free antibodies are typically supplied in a PBS-only formulation, purified and free of BSA, sodium azide and glycerol. This conjugation-ready format is designed for use with fluorochromes, metal isotopes, oligonucleotides, and enzymes, which makes them ideal for antibody labelling, functional and cell-based assays, flow-based assays (e.g. mass cytometry) and Multiplex Imaging applications.

Use our conjugation kits for antibody conjugates that are ready-to-use in as little as 20 minutes with 1 minute hands-on-time and 100% antibody recovery: available for fluorescent dyes, HRP, biotin and gold.

Compatibility
This product is compatible with the Maxpar® Antibody Labeling Kit from Fluidigm, without the need for antibody preparation. Maxpar® is a trademark of Fluidigm Canada Inc.

Properties and storage information

Form
Liquid
Purification technique
Affinity purification
Storage buffer
pH: 7.2 - 7.4 Constituents: PBS
Shipped at conditions
Blue Ice
Appropriate short-term storage conditions
+4°C
Appropriate long-term storage conditions
+4°C
Storage information
Do Not Freeze

Supplementary information

This supplementary information is collated from multiple sources and compiled automatically.

DLC-A also known as Deleted in Liver Cancer-1 or ARHGEF5 is a Rho guanine nucleotide exchange factor with a mass of approximately 205 kDa. This protein plays a role in cellular processes by activating members of the Rho GTPase family which are key regulators of the cytoskeleton. DLC-A is expressed in various tissues including liver kidney and heart suggesting its broad implication in cellular functions across different organ systems.
Biological function summary

DLC-A acts as a guanine nucleotide exchange factor facilitating the exchange of GDP for GTP on Rho family GTPases. This activity leads to the activation of these GTPases promoting cytoskeletal rearrangements and influencing cell shape motility and growth. DLC-A integrates into large protein complexes interacting with various other signaling molecules that modulate its activity in different cellular contexts highlighting its broad involvement in cell dynamics.

Pathways

Many cellular transformations and regulatory systems involve DLC-A. DLC-A participates in the Rho signaling pathway important for actin cytoskeleton dynamics. It also interacts with the MAPK/ERK pathway which influences cell division and survival. In these pathways DLC-A connects with proteins like RhoA and ERK1/2 showing its pivotal role in signal transduction and cellular responses to external signals.

Genomic alterations and expression changes in DLC-A have links to cancer progression especially in liver cancer. Researchers have found that altered DLC-A expression affects tumor formation and metastasis through its action in cytoskeletal remodeling and cell movement. Furthermore DLC-A relates to cardiovascular disorders due to its significant effects on vascular cell function. In these contexts DLC-A interacts with other proteins like PI3K and Akt which are involved in cell proliferation and survival emphasizing its role in disease etiology.

Product protocols

For this product, it's our understanding that no specific protocols are required. You can visit:

Target data

Acts as one of several non-catalytic accessory components of the cytoplasmic dynein 1 complex that are thought to be involved in linking dynein to cargos and to adapter proteins that regulate dynein function. Cytoplasmic dynein 1 acts as a motor for the intracellular retrograde motility of vesicles and organelles along microtubules. May play a role in binding dynein to membranous organelles or chromosomes. Probably involved in the microtubule-dependent transport of pericentrin. Is required for progress through the spindle assembly checkpoint. The phosphorylated form appears to be involved in the selective removal of MAD1L1 and MAD1L2 but not BUB1B from kinetochores. Forms a functional Rab11/RAB11FIP3/dynein complex onto endosomal membrane that regulates the movement of peripheral sorting endosomes (SE) along microtubule tracks toward the microtubule organizing center/centrosome, generating the endosomal recycling compartment (ERC) (PubMed : 20026645).
See full target information DYNC1LI1

Product promise

We are committed to supporting your work with high-quality reagents, and we're here for you every step of the way. In the unlikely event that one of our products does not perform as expected, you're protected by our Product Promise.
For full details, please see our Terms & Conditions

Please note: All products are 'FOR RESEARCH USE ONLY. NOT FOR USE IN DIAGNOSTIC OR THERAPEUTIC PROCEDURES'.

For licensing inquiries, please contact partnerships@abcam.com