JavaScript is disabled in your browser. Please enable JavaScript to view this website.
AB255694

Anti-DLL3 antibody [EPR22592-18] - BSA and Azide free

Be the first to review this product! Submit a review

|

(1 Publication)

Rabbit Recombinant Monoclonal DLL3 antibody. Carrier free. Suitable for IP, WB, ICC/IF, Flow Cyt (Intra), IHC-P and reacts with Human, Mouse samples. Cited in 1 publication.

View Alternative Names

Delta-like protein 3, Drosophila Delta homolog 3, Delta3, DLL3

8 Images
Flow Cytometry (Intracellular) - Anti-DLL3 antibody [EPR22592-18] - BSA and Azide free (AB255694)
  • Flow Cyt (Intra)

Unknown

Flow Cytometry (Intracellular) - Anti-DLL3 antibody [EPR22592-18] - BSA and Azide free (AB255694)

Intracellular flow cytometric analysis of 4% paraformaldehyde fixed, 90% methanolpermeabilized HEK-293T (human epithelial cell line from embryonic kidney transformed with large T antigen) cells transfected with DLL3 expression construct containing a myc-His-tag® labelling DLL3 with ab229902 at 1/600 dilution (Right) compared with a Rabbit monoclonal IgG (ab172730, Left) isotype control.

Goat anti rabbit IgG (Alexa Fluor®488, ab150077) at 1/2000 dilution was used as the secondary antibody.

Cells were stained with rabbit IgG (Left) or ab229902 (Right). Then stained with anti-myc-tag conjugated to Alexa Fluor®647.

This data was developed using the same antibody clone in a different buffer formulation containing PBS, BSA, glycerol, and sodium azide (ab229902).

Immunohistochemistry (Formalin/PFA-fixed paraffin-embedded sections) - Anti-DLL3 antibody [EPR22592-18] - BSA and Azide free (AB255694)
  • IHC-P

Unknown

Immunohistochemistry (Formalin/PFA-fixed paraffin-embedded sections) - Anti-DLL3 antibody [EPR22592-18] - BSA and Azide free (AB255694)

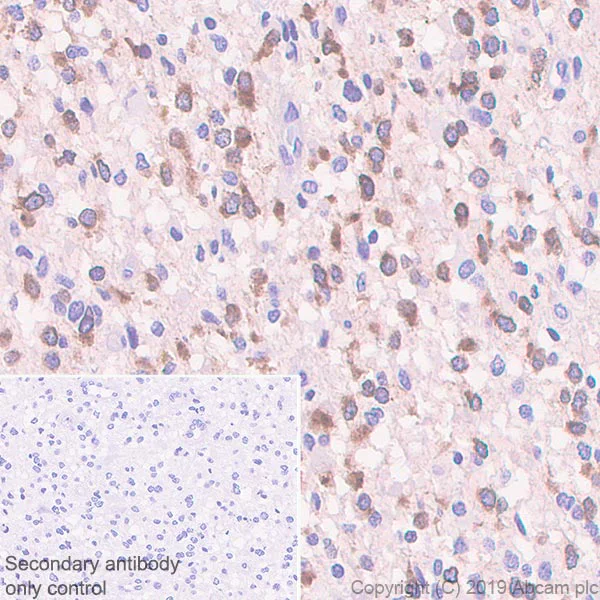
Immunohistochemical analysis of paraffin-embedded human cerebrum tissue labeling DLL3 with ab229902 at 1/100 dilution followed by a ready to use Rabbit specific IHC polymer detection kit HRP/DAB (ab209101). Negative control : no staining on human cerebrum (PMID : 30397180) is observed.

The section was incubated with ab229902 for 30 mins at room temperature.

The immunostaining was performed on a Leica Biosystems BOND® RX instrument. Counterstained with Hematoxylin.

Heat mediated antigen retrieval with Tris-EDTA buffer (pH 9.0, epitope retrieval solution 2) for 20 mins.

Secondary antibody only control : Used PBS instead of primary antibody, secondary antibody is a ready to use Rabbit specific IHC polymer detection kit HRP/DAB (ab209101).

This data was developed using the same antibody clone in a different buffer formulation containing PBS, BSA, glycerol, and sodium azide (ab229902).

Immunocytochemistry/ Immunofluorescence - Anti-DLL3 antibody [EPR22592-18] - BSA and Azide free (AB255694)
  • ICC/IF

Unknown

Immunocytochemistry/ Immunofluorescence - Anti-DLL3 antibody [EPR22592-18] - BSA and Azide free (AB255694)

Immunofluorescent analysis of 4% Paraformaldehyde-fixed, 0.1% TritonX-100 permeabilized HEK-293T (human epithelial cell line from embryonic kidney transformed with large T antigen) cells labelling DLL3 with ab229902 at 1/100 dilution, followed by ab150080 AlexaFluor®594 Goat anti-Rabbit secondary antibody at 1/500 dilution (Green). An anti-myc-tag mAb (Alexa Fluor® 488 Conjugate) was used at 1/100 dilution. Confocal image showing positive staining in HEK-293T cells transfected with DLL3 expression construct containing a myc-His-tag® is observed. The Nuclear counterstain was DAPI (Blue).

Secondary antibody only control : Used PBS instead of primary antibody, secondary antibody is ab150080 AlexaFluor®594 Goat anti-Rabbit secondary at 1/500 dilution.

This data was developed using the same antibody clone in a different buffer formulation containing PBS, BSA, glycerol, and sodium azide (ab229902).

Immunohistochemistry (Formalin/PFA-fixed paraffin-embedded sections) - Anti-DLL3 antibody [EPR22592-18] - BSA and Azide free (AB255694)
  • IHC-P

Unknown

Immunohistochemistry (Formalin/PFA-fixed paraffin-embedded sections) - Anti-DLL3 antibody [EPR22592-18] - BSA and Azide free (AB255694)

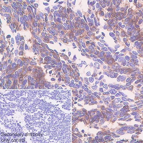
Immunohistochemical analysis of paraffin-embedded human glioma tissue labeling DLL3 with ab229902 at 1/100 dilution followed by a ready to use Rabbit specific IHC polymer detection kit HRP/DAB (ab209101). Positive staining on human glioma (PMID : 30397180) is observed.

The section was incubated with ab229902 for 30 mins at room temperature.

The immunostaining was performed on a Leica Biosystems BOND® RX instrument. Counterstained with Hematoxylin.

Heat mediated antigen retrieval with Tris-EDTA buffer (pH 9.0, epitope retrieval solution 2) for 20 mins.

Secondary antibody only control : Used PBS instead of primary antibody, secondary antibody is a ready to use Rabbit specific IHC polymer detection kit HRP/DAB (ab209101).

This data was developed using the same antibody clone in a different buffer formulation containing PBS, BSA, glycerol, and sodium azide (ab229902).

Immunohistochemistry (Formalin/PFA-fixed paraffin-embedded sections) - Anti-DLL3 antibody [EPR22592-18] - BSA and Azide free (AB255694)
  • IHC-P

Unknown

Immunohistochemistry (Formalin/PFA-fixed paraffin-embedded sections) - Anti-DLL3 antibody [EPR22592-18] - BSA and Azide free (AB255694)

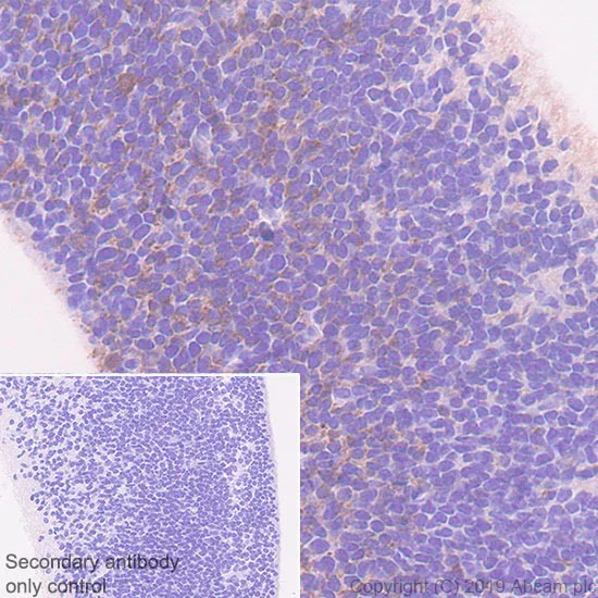
Immunohistochemical analysis of paraffin-embedded human small cell lung cancer tissue labeling DLL3 with ab229902 at 1/100 dilution followed by a ready to use Rabbit specific IHC polymer detection kit HRP/DAB (ab209101). Positive staining on human small cell lung cancer (PMID : 28487384, 30397180) is observed.

Heat mediated antigen retrieval with Tris-EDTA buffer (pH 9.0, epitope retrieval solution 2) for 20 mins.

The section was incubated with ab229902 for 30 mins at room temperature.

The immunostaining was performed on a Leica Biosystems BOND® RX instrument. Counterstained with Hematoxylin.

Secondary antibody only control : Used PBS instead of primary antibody, secondary antibody is a ready to use Rabbit specific IHC polymer detection kit HRP/DAB (ab209101).

This data was developed using the same antibody clone in a different buffer formulation containing PBS, BSA, glycerol, and sodium azide (ab229902).

Immunoprecipitation - Anti-DLL3 antibody [EPR22592-18] - BSA and Azide free (AB255694)
  • IP

Unknown

Immunoprecipitation - Anti-DLL3 antibody [EPR22592-18] - BSA and Azide free (AB255694)

DLL3 was immunoprecipitated from 0.35 mg HEK-293T (human embryonic kidney epithelial cell) transfected with DLL3 expression construct containing a myc-His-tag® whole cell lysate with ab229902 at 1/30 dilution. Western blot was performed on the immunoprecipitate using ab229902 1/1000 dilution. VeriBlot for IP Detection Reagent (HRP) (ab131366) was used as the secondary antibody at 1/5000 dilution.

Lane 1 : HEK-293T (human embryonic kidney epithelial cell) transfected with DLL3 expression construct containing a myc-His-tag® whole cell lysate 10μg

Lane 2 : ab229902 IP in HEK-293T transfected with DLL3 expression construct containing a myc-His-tag® whole cell lysate (Input).

Lane 3 : Rabbit monoclonal IgG (ab172730) instead of ab229902 in HEK-293T transfected with DLL3 expression construct containing a myc-His-tag® whole cell lysate.

Blocking and dilution buffer and concentration : 5% NFDM/TBST.

Exposure time : 15 seconds.

This data was developed using the same antibody clone in a different buffer formulation containing PBS, BSA, glycerol, and sodium azide (ab229902).

All lanes:

Immunoprecipitation - Anti-DLL3 antibody [EPR22592-18] (<a href='/en-us/products/primary-antibodies/dll3-antibody-epr22592-18-ab229902'>ab229902</a>)

Predicted band size: 65 kDa

Observed band size: 55-80 kDa

false

Immunohistochemistry (Formalin/PFA-fixed paraffin-embedded sections) - Anti-DLL3 antibody [EPR22592-18] - BSA and Azide free (AB255694)
  • IHC-P

Unknown

Immunohistochemistry (Formalin/PFA-fixed paraffin-embedded sections) - Anti-DLL3 antibody [EPR22592-18] - BSA and Azide free (AB255694)

Immunohistochemical analysis of paraffin-embedded mouse embryonic brain of day 14.5 tissue labeling DLL3 with ab229902 at 1/100 dilution followed by a ready to use Rabbit specific IHC polymer detection kit HRP/DAB (ab209101). Positive staining on mouse embryonic brain of day 14.5 (PMID : 19389376) is observed.

The section was incubated with ab229902 for 30 mins at room temperature.

The immunostaining was performed on a Leica Biosystems BOND® RX instrument. Counterstained with Hematoxylin.

Heat mediated antigen retrieval with Tris-EDTA buffer (pH 9.0, epitope retrieval solution 2) for 20 mins.

Secondary antibody only control : Used PBS instead of primary antibody, secondary antibody is a ready to use Rabbit specific IHC polymer detection kit HRP/DAB (ab209101).

This data was developed using the same antibody clone in a different buffer formulation containing PBS, BSA, glycerol, and sodium azide (ab229902).

Immunohistochemistry (Formalin/PFA-fixed paraffin-embedded sections) - Anti-DLL3 antibody [EPR22592-18] - BSA and Azide free (AB255694)
  • IHC-P

Unknown

Immunohistochemistry (Formalin/PFA-fixed paraffin-embedded sections) - Anti-DLL3 antibody [EPR22592-18] - BSA and Azide free (AB255694)

Immunohistochemical analysis of paraffin-embedded mouse cerebrum tissue labeling DLL3 with ab229902 at 1/100 dilution followed by a ready to use Rabbit specific IHC polymer detection kit HRP/DAB (ab209101). Negative control : no staining on mouse cerebrum (PMID : 30397180) is observed.

The section was incubated with ab229902 for 30 mins at room temperature.

The immunostaining was performed on a Leica Biosystems BOND® RX instrument. Counterstained with Hematoxylin.

Heat mediated antigen retrieval with Tris-EDTA buffer (pH 9.0, epitope retrieval solution 2) for 20 mins.

Secondary antibody only control : Used PBS instead of primary antibody, secondary antibody is a ready to use Rabbit specific IHC polymer detection kit HRP/DAB (ab209101).

This data was developed using the same antibody clone in a different buffer formulation containing PBS, BSA, glycerol, and sodium azide (ab229902).

  • Unconjugated

    Anti-DLL3 antibody [EPR22592-18]

  • 775 Alexa Fluor® 750

    Alexa Fluor® 750 Anti-DLL3 antibody [EPR22592-18]

  • 578 PE

    PE Anti-DLL3 antibody [EPR22592-18]

  • 660 APC

    APC Anti-DLL3 antibody [EPR22592-18]

  • 617 Alexa Fluor® 594

    Alexa Fluor® 594 Anti-DLL3 antibody [EPR22592-18]

  • 519 Alexa Fluor® 488

    Alexa Fluor® 488 Anti-DLL3 antibody [EPR22592-18]

  • 603 Alexa Fluor® 568

    Alexa Fluor® 568 Anti-DLL3 antibody [EPR22592-18]

  • HRP

    HRP Anti-DLL3 antibody [EPR22592-18]

  • 665 Alexa Fluor® 647

    Alexa Fluor® 647 Anti-DLL3 antibody [EPR22592-18]

  • 565 Alexa Fluor® 555

    Alexa Fluor® 555 Anti-DLL3 antibody [EPR22592-18]

Key facts

Host species

Rabbit

Clonality

Monoclonal

Clone number

EPR22592-18

Isotype

IgG

Carrier free

Yes

Reacts with

Mouse, Human

Applications

Flow Cyt (Intra), ICC/IF, WB, IP, IHC-P

applications

Immunogen

The exact immunogen used to generate this antibody is proprietary information.

Specificity

The mouse recommendation is based on the IHC-P results. We do not guarantee WB for mouse.

Reactivity data

{ "title": "Reactivity Data", "filters": { "stats": ["", "Species", "Dilution Info", "Notes"], "tabs": { "all-applications": {"fullname" : "All Applications", "shortname": "All Applications"}, "IP" : {"fullname" : "Immunoprecipitation", "shortname":"IP"}, "WB" : {"fullname" : "Western blot", "shortname":"WB"}, "ICCIF" : {"fullname" : "Immunocytochemistry/ Immunofluorescence", "shortname":"ICC/IF"}, "FlowCytIntra" : {"fullname" : "Flow Cytometry (Intracellular)", "shortname":"Flow Cyt (Intra)"}, "IHCP" : {"fullname" : "Immunohistochemistry (Formalin/PFA-fixed paraffin-embedded sections)", "shortname":"IHC-P"} }, "product-promise": { "all": "all", "testedAndGuaranteed": "tested", "guaranteed": "expected", "predicted": "predicted", "notRecommended": "not-recommended" } }, "values": { "Human": { "IP-species-checked": "testedAndGuaranteed", "IP-species-dilution-info": "", "IP-species-notes": "<p></p>", "WB-species-checked": "testedAndGuaranteed", "WB-species-dilution-info": "", "WB-species-notes": "<p></p>", "ICCIF-species-checked": "testedAndGuaranteed", "ICCIF-species-dilution-info": "", "ICCIF-species-notes": "<p></p>", "FlowCytIntra-species-checked": "testedAndGuaranteed", "FlowCytIntra-species-dilution-info": "", "FlowCytIntra-species-notes": "<p></p>", "IHCP-species-checked": "testedAndGuaranteed", "IHCP-species-dilution-info": "", "IHCP-species-notes": "<p></p>" }, "Mouse": { "IP-species-checked": "guaranteed", "IP-species-dilution-info": "", "IP-species-notes": "", "WB-species-checked": "notRecommended", "WB-species-dilution-info": "", "WB-species-notes": "<p></p>", "ICCIF-species-checked": "guaranteed", "ICCIF-species-dilution-info": "", "ICCIF-species-notes": "", "FlowCytIntra-species-checked": "guaranteed", "FlowCytIntra-species-dilution-info": "", "FlowCytIntra-species-notes": "", "IHCP-species-checked": "testedAndGuaranteed", "IHCP-species-dilution-info": "", "IHCP-species-notes": "<p></p>" } } }

Product details

ab255694 is the carrier-free version of ab229902.

Patented technology
Our RabMAb® technology is a patented hybridoma-based technology for making rabbit monoclonal antibodies. For details on our patents, please refer to RabMAb® patents.

What are the advantages of a recombinant monoclonal antibody?
This product is a recombinant monoclonal antibody, which offers several advantages including:

  • - High batch-to-batch consistency and reproducibility
  • - Improved sensitivity and specificity
  • - Long-term security of supply
  • - Animal-free batch production

For more information, read more on recombinant antibodies.

Conjugation ready
Our carrier-free antibodies are typically supplied in a PBS-only formulation, purified and free of BSA, sodium azide and glycerol. This conjugation-ready format is designed for use with fluorochromes, metal isotopes, oligonucleotides, and enzymes, which makes them ideal for antibody labelling, functional and cell-based assays, flow-based assays (e.g. mass cytometry) and Multiplex Imaging applications.

Use our conjugation kits for antibody conjugates that are ready-to-use in as little as 20 minutes with 1 minute hands-on-time and 100% antibody recovery: available for fluorescent dyes, HRP, biotin and gold.

Compatibility
This product is compatible with the Maxpar® Antibody Labeling Kit from Fluidigm, without the need for antibody preparation. Maxpar® is a trademark of Fluidigm Canada Inc.

Properties and storage information

Form
Liquid
Purification technique
Affinity purification Protein A
Storage buffer
pH: 7.2 - 7.4 Constituents: PBS
Shipped at conditions
Blue Ice
Appropriate short-term storage conditions
+4°C
Appropriate long-term storage conditions
+4°C
Storage information
Do Not Freeze

Supplementary information

This supplementary information is collated from multiple sources and compiled automatically.

DLL3 also known as Delta-like protein 3 is a member of the Delta/Serrate/Jagged family. This protein has a molecular mass of approximately 64 kDa. Scientists find DLL3 expression primarily in the Golgi apparatus of cells. In healthy tissues DLL3 is mostly present in the central nervous system whereas in abnormal conditions it appears in certain types of cancer cells. The detection of DLL3 expression commonly performed using IHC (immunohistochemistry) highlights its potential as a biomarker in pathological studies.
Biological function summary

DLL3 functions mainly in the modulation of the Notch signaling pathway. It does not activate this pathway but acts as an inhibitor blocking Notch ligand activation on adjacent cells. DLL3's role involves binding directly to Notch receptors altering cellular differentiation and growth processes. Despite being related to the Delta/Serrate/LAG-2 family DLL3 exhibits unique characteristics in its interactions forming part of a regulatory complex different from its family members.

Pathways

DLL3 engages importantly in the Notch signaling pathway affecting important cellular communications that regulate development and differentiation. Its interaction with proteins of the Notch family specifically the Notch receptors highlights its inhibitory role. Additionally DLL3 intersects with the Wnt signaling pathway though indirect influencing its output by modulating availability of pathway regulators.

DLL3 has significant implications in cancer notably small cell lung cancer (SCLC) and neuroendocrine tumors. Researchers associate increased DLL3 expression with aggressive tumor behavior and poor prognosis. The protein also shows relevance in congenital disorders such as spondylocostal dysostosis where abnormal DLL3 function leads to vertebral segmentation defects. In these contexts DLL3 often relates to proteins involved in the disruption of normal signaling cascades impacting both tumor progression and developmental anomalies.

Product protocols

For this product, it's our understanding that no specific protocols are required. You can visit:

Target data

Inhibits primary neurogenesis. May be required to divert neurons along a specific differentiation pathway. Plays a role in the formation of somite boundaries during segmentation of the paraxial mesoderm (By similarity).
See full target information DLL3

Publications (1)

Recent publications for all applications. Explore the full list and refine your search

Acta neuropathologica communications 13:86 PubMed40307956

2025

Prion replication in organotypic brain slice cultures is distinct from in vivo inoculation and is species dependent.

Applications

Unspecified application

Species

Unspecified reactive species

Jessy A Slota,Lise Lamoureux,Jennifer Myskiw,Kathy L Frost,Sarah J Medina,Dominic M S Kielich,Melanie Leonhardt,Gunjan Thapar,Ben A Bailey-Elkin,Stephanie A Booth
View all publications

Product promise

We are committed to supporting your work with high-quality reagents, and we're here for you every step of the way. In the unlikely event that one of our products does not perform as expected, you're protected by our Product Promise.
For full details, please see our Terms & Conditions

Please note: All products are 'FOR RESEARCH USE ONLY. NOT FOR USE IN DIAGNOSTIC OR THERAPEUTIC PROCEDURES'.

For licensing inquiries, please contact partnerships@abcam.com