JavaScript is disabled in your browser. Please enable JavaScript to view this website.
AB217860

Anti-DLL4 antibody

1

(1 Review)

|

(2 Publications)

Rabbit Polyclonal DLL4 antibody. Suitable for IHC-P and reacts with Mouse samples. Cited in 2 publications. Immunogen corresponding to Synthetic Peptide within Human DLL4 aa 550-650 conjugated to Keyhole Limpet Haemocyanin.

View Alternative Names

UNQ1895/PRO4341, DLL4, Delta-like protein 4, Drosophila Delta homolog 4, Delta4

1 Images
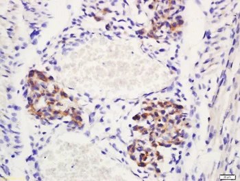
Immunohistochemistry (Formalin/PFA-fixed paraffin-embedded sections) - Anti-DLL4 antibody (AB217860)
  • IHC-P

Supplier Data

Immunohistochemistry (Formalin/PFA-fixed paraffin-embedded sections) - Anti-DLL4 antibody (AB217860)

Immunohistochemical analysis of formalin-fixed and paraffin-embedded mouse embryo tissue labeling DLL4 with ab217860 at 1/200 dilution, followed by conjugation to the secondary antibody and DAB staining.

Key facts

Host species

Rabbit

Clonality

Polyclonal

Isotype

IgG

Carrier free

No

Reacts with

Mouse

Applications

IHC-P

applications

Immunogen

Synthetic Peptide within Human DLL4 aa 550-650 conjugated to Keyhole Limpet Haemocyanin. The exact immunogen used to generate this antibody is proprietary information.

Q9NR61

Reactivity data

{ "title": "Reactivity Data", "filters": { "stats": ["", "Species", "Dilution Info", "Notes"], "tabs": { "all-applications": {"fullname" : "All Applications", "shortname": "All Applications"}, "IHCP" : {"fullname" : "Immunohistochemistry (Formalin/PFA-fixed paraffin-embedded sections)", "shortname":"IHC-P"} }, "product-promise": { "all": "all", "testedAndGuaranteed": "tested", "guaranteed": "expected", "predicted": "predicted", "notRecommended": "not-recommended" } }, "values": { "Human": { "IHCP-species-checked": "predicted", "IHCP-species-dilution-info": "", "IHCP-species-notes": "" }, "Mouse": { "IHCP-species-checked": "testedAndGuaranteed", "IHCP-species-dilution-info": "1/100 - 1/500", "IHCP-species-notes": "<p></p>" }, "Rat": { "IHCP-species-checked": "predicted", "IHCP-species-dilution-info": "", "IHCP-species-notes": "" } } }

Properties and storage information

Form
Liquid
Purification technique
Affinity purification Protein A
Storage buffer
pH: 7.4 Preservative: 0.02% Proclin 300 Constituents: 50% Glycerol (glycerin, glycerine), 48.98% TBS, 1X, 1% BSA
Shipped at conditions
Blue Ice
Appropriate short-term storage duration
1-2 weeks
Appropriate short-term storage conditions
+4°C
Appropriate long-term storage conditions
-20°C
Aliquoting information
Upon delivery aliquot
Storage information
Avoid freeze / thaw cycle

Supplementary information

This supplementary information is collated from multiple sources and compiled automatically.

DLL4 also known as Delta-like ligand 4 is a member of the Delta/Serrate/Lag-2 family. This target is a single-pass type I membrane protein with a molecular weight of approximately 65 kDa. It features prominently in the vascular endothelium where it impacts angiogenic activity. DLL4 acts as a ligand for Notch receptors initiating a signaling cascade important to cell fate decisions. DLL4 expression occurs mainly on the arterial endothelium and the tumor vasculature highlighting its significance in angiogenesis.
Biological function summary

DLL4 engages in precise regulation of angiogenesis and vascular development. It participates in the Notch signaling pathway playing an integral role in controlling endothelial cell proliferation differentiation and migration. DLL4 does not operate in isolation; instead it functions as part of the Notch receptor-ligand complex. This relationship effectively regulates the sprouting of new blood vessels ensuring proper vascular patterning and functional blood supply.

Pathways

DLL4 links directly to the Notch signaling and VEGF (vascular endothelial growth factor) pathways both of which play critical roles in vascular development and homeostasis. Through the Notch pathway DLL4 interacts with Notch1 and Notch4 receptors facilitating communication that inhibits endothelial cell proliferation distinguishing it from other pro-angiogenic factors. Its relationship with the VEGF pathway allows DLL4 to modulate angiogenic processes balancing vessel sprouting by opposing excessive VEGF-induced activities.

Aberrations of DLL4 influence cancer and cardiovascular diseases. Overexpression and dysregulation of DLL4 have been observed in various cancers where it contributes to tumor angiogenesis promoting the growth and spread of cancer cells. In cardiovascular disorders dysfunctional DLL4 signaling impacts vascular development which can lead to fatal arteriovenous malformations. In these conditions DLL4 interacts with proteins like Notch1 and VEGF underlining its critical involvement in pathological angiogenesis and vessel formation.

Product protocols

For this product, it's our understanding that no specific protocols are required. You can visit:

Target data

Involved in the Notch signaling pathway as Notch ligand (PubMed : 11134954). Activates NOTCH1 and NOTCH4. Involved in angiogenesis; negatively regulates endothelial cell proliferation and migration and angiogenic sprouting (PubMed : 20616313). Essential for retinal progenitor proliferation. Required for suppressing rod fates in late retinal progenitors as well as for proper generation of other retinal cell types (By similarity). During spinal cord neurogenesis, inhibits V2a interneuron fate (PubMed : 17728344).
See full target information DLL4

Publications (2)

Recent publications for all applications. Explore the full list and refine your search

The Journal of biological chemistry 297:101337 PubMed34688655

2021

The sialidase NEU1 directly interacts with the juxtamembranous segment of the cytoplasmic domain of mucin-1 to inhibit downstream PI3K-Akt signaling.

Applications

Unspecified application

Species

Unspecified reactive species

Sang W Hyun,Akihiro Imamura,Hideharu Ishida,Kurt H Piepenbrink,Simeon E Goldblum,Erik P Lillehoj

International journal of medical sciences 16:1642-1651 PubMed31839752

2019

Inhibition of Triple-Negative Breast Cancer Tumor Growth by Electroacupuncture with Encircled Needling and Its Mechanisms in a Mice Xenograft Model.

Applications

Unspecified application

Species

Unspecified reactive species

Xin Jiang,Yehong Tian,Lin Xu,Qiaoli Zhang,Yuxiang Wan,Xuewei Qi,Bo Li,Jing Guo,Weiliang Sun,Aiping Luo,Jinchang Huang,Xiaohong Gu
View all publications

Product promise

We are committed to supporting your work with high-quality reagents, and we're here for you every step of the way. In the unlikely event that one of our products does not perform as expected, you're protected by our Product Promise.
For full details, please see our Terms & Conditions

Please note: All products are 'FOR RESEARCH USE ONLY. NOT FOR USE IN DIAGNOSTIC OR THERAPEUTIC PROCEDURES'.

For licensing inquiries, please contact partnerships@abcam.com