JavaScript is disabled in your browser. Please enable JavaScript to view this website.
AB187699

Anti-DLST antibody

Be the first to review this product! Submit a review

|

(5 Publications)

Rabbit Polyclonal DLST antibody. Suitable for IHC-Fr, IHC-P, IP, WB and reacts with Human, Mouse samples. Cited in 5 publications. Immunogen corresponding to Synthetic Peptide within Human DLST aa 50-100.

View Alternative Names

DLTS, DLST, 2-oxoglutarate dehydrogenase complex component E2, Dihydrolipoamide succinyltransferase component of 2-oxoglutarate dehydrogenase complex, E2K, OGDC-E2

4 Images
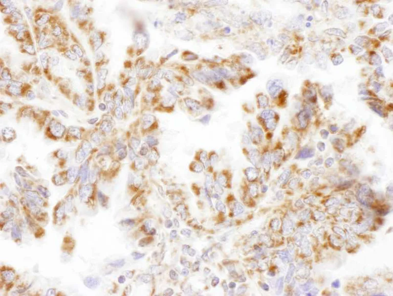
Immunohistochemistry (Formalin/PFA-fixed paraffin-embedded sections) - Anti-DLST antibody (AB187699)
  • IHC-P

Supplier Data

Immunohistochemistry (Formalin/PFA-fixed paraffin-embedded sections) - Anti-DLST antibody (AB187699)

Immunohistochemical analysis of formalin-fixed, paraffin-embedded human ovarian carcinoma tissue labeling DLST with ab187699 at a 1/1000 dilution.

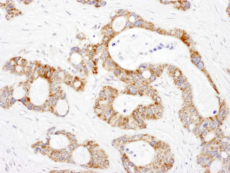
Immunohistochemistry (Frozen sections) - Anti-DLST antibody (AB187699)
  • IHC-Fr

Supplier Data

Immunohistochemistry (Frozen sections) - Anti-DLST antibody (AB187699)

Immunohistochemical analysis of formalin-fixed, paraffin-embedded human lung cancer tissue labeling DLST with ab187699 at a 1/1000 dilution.

Immunoprecipitation - Anti-DLST antibody (AB187699)
  • IP

Supplier Data

Immunoprecipitation - Anti-DLST antibody (AB187699)

Detection of DLST by Western Blot of Immunprecipitate.

Lane 1 : ab187699 at 1 μg/ml labeling DLST in Jurkat whole cell lysate immunoprecipitated using ab187699 at 6μg/mg lysate (1 mg/IP; 20% of IP loaded/lane).

Lane 2 : Control IgG
Detection : Chemiluminescence with exposure time of 3 seconds.

All lanes:

Immunoprecipitation - Anti-DLST antibody (ab187699)

Predicted band size: 49 kDa

false

Western blot - Anti-DLST antibody (AB187699)
  • WB

Supplier Data

Western blot - Anti-DLST antibody (AB187699)

All lanes:

Western blot - Anti-DLST antibody (ab187699) at 0.1 µg/mL

Lane 1:

HeLa whole cell lysate at 50 µg

Lane 2:

293T whole cell lysate at 50 µg

Lane 3:

Jurkat whole cell lysate at 50 µg

Lane 4:

TCMK-1 cell lysate at 50 µg

Lane 5:

NIH3T3 whole cell lysate at 50 µg

Predicted band size: 49 kDa

true

Exposure time: 30s

Key facts

Host species

Rabbit

Clonality

Polyclonal

Isotype

IgG

Carrier free

No

Reacts with

Mouse, Human

Applications

IP, IHC-Fr, IHC-P, WB

applications

Immunogen

Synthetic Peptide within Human DLST aa 50-100. The exact immunogen used to generate this antibody is proprietary information.

P36957

Reactivity data

{ "title": "Reactivity Data", "filters": { "stats": ["", "Species", "Dilution Info", "Notes"], "tabs": { "all-applications": {"fullname" : "All Applications", "shortname": "All Applications"}, "IHCFr" : {"fullname" : "Immunohistochemistry (Frozen sections)", "shortname":"IHC-Fr"}, "IHCP" : {"fullname" : "Immunohistochemistry (Formalin/PFA-fixed paraffin-embedded sections)", "shortname":"IHC-P"}, "IP" : {"fullname" : "Immunoprecipitation", "shortname":"IP"}, "WB" : {"fullname" : "Western blot", "shortname":"WB"} }, "product-promise": { "all": "all", "testedAndGuaranteed": "tested", "guaranteed": "expected", "predicted": "predicted", "notRecommended": "not-recommended" } }, "values": { "Human": { "IHCFr-species-checked": "testedAndGuaranteed", "IHCFr-species-dilution-info": "1/1000", "IHCFr-species-notes": "<p></p>", "IHCP-species-checked": "testedAndGuaranteed", "IHCP-species-dilution-info": "1/500 - 1/2000", "IHCP-species-notes": "<p></p> Perform heat-mediated antigen retrieval with citrate buffer pH 6 before commencing with IHC staining protocol.", "IP-species-checked": "testedAndGuaranteed", "IP-species-dilution-info": "2-10 µg/mg of lysate", "IP-species-notes": "<p></p>", "WB-species-checked": "testedAndGuaranteed", "WB-species-dilution-info": "1/2000 - 1/10000", "WB-species-notes": "<p></p>" }, "Mouse": { "IHCFr-species-checked": "guaranteed", "IHCFr-species-dilution-info": "", "IHCFr-species-notes": "", "IHCP-species-checked": "guaranteed", "IHCP-species-dilution-info": "", "IHCP-species-notes": "", "IP-species-checked": "guaranteed", "IP-species-dilution-info": "", "IP-species-notes": "", "WB-species-checked": "testedAndGuaranteed", "WB-species-dilution-info": "1/2000 - 1/10000", "WB-species-notes": "<p></p>" }, "Chimpanzee": { "IHCFr-species-checked": "predicted", "IHCFr-species-dilution-info": "", "IHCFr-species-notes": "", "IHCP-species-checked": "predicted", "IHCP-species-dilution-info": "", "IHCP-species-notes": "", "IP-species-checked": "predicted", "IP-species-dilution-info": "", "IP-species-notes": "", "WB-species-checked": "predicted", "WB-species-dilution-info": "", "WB-species-notes": "" }, "Gorilla": { "IHCFr-species-checked": "predicted", "IHCFr-species-dilution-info": "", "IHCFr-species-notes": "", "IHCP-species-checked": "predicted", "IHCP-species-dilution-info": "", "IHCP-species-notes": "", "IP-species-checked": "predicted", "IP-species-dilution-info": "", "IP-species-notes": "", "WB-species-checked": "predicted", "WB-species-dilution-info": "", "WB-species-notes": "" }, "Orangutan": { "IHCFr-species-checked": "predicted", "IHCFr-species-dilution-info": "", "IHCFr-species-notes": "", "IHCP-species-checked": "predicted", "IHCP-species-dilution-info": "", "IHCP-species-notes": "", "IP-species-checked": "predicted", "IP-species-dilution-info": "", "IP-species-notes": "", "WB-species-checked": "predicted", "WB-species-dilution-info": "", "WB-species-notes": "" }, "Rhesus monkey": { "IHCFr-species-checked": "predicted", "IHCFr-species-dilution-info": "", "IHCFr-species-notes": "", "IHCP-species-checked": "predicted", "IHCP-species-dilution-info": "", "IHCP-species-notes": "", "IP-species-checked": "predicted", "IP-species-dilution-info": "", "IP-species-notes": "", "WB-species-checked": "predicted", "WB-species-dilution-info": "", "WB-species-notes": "" } } }

Properties and storage information

Form
Liquid
Purification technique
Affinity purification Immunogen
Storage buffer
pH: 7 - 8 Preservative: 0.09% Sodium azide Constituents: 99% Tris citrate/phosphate
Shipped at conditions
Blue Ice
Appropriate short-term storage duration
1-2 weeks
Appropriate short-term storage conditions
+4°C
Appropriate long-term storage conditions
+4°C
Aliquoting information
Upon delivery aliquot
Storage information
Avoid freeze / thaw cycle

Supplementary information

This supplementary information is collated from multiple sources and compiled automatically.

DLST also known as dihydrolipoamide S-succinyltransferase is an essential component of the 2-oxoglutarate dehydrogenase complex (OGDC). It possesses a molecular mass of approximately 48 kDa. Expressed primarily in mitochondrial matrices within mammalian tissues DLST plays a mechanical role in catalyzing the transfer of succinyl groups to coenzyme-A from S-succinyldihydrolipoyllysine. The target is integral to the energy metabolism processes occurring within cells especially in tissues with high energy demands such as the heart and skeletal muscles.
Biological function summary

The DLST enzyme acts within the tricarboxylic acid (TCA) cycle also known as the Krebs cycle or citric acid cycle. It forms a critical part of the multi-enzyme complex OGDC facilitating the oxidative decarboxylation of 2-oxoglutarate an important step in the TCA cycle. Through this action DLST helps produce succinyl-CoA a molecule pivotal for energy and biosynthetic processes. The activity of this protein ensures continuous energy supply and intermediary metabolite flow within cellular respiration.

Pathways

DLST plays a significant role within both the TCA cycle and the broader metabolic pathway of oxidative phosphorylation. These are important for efficient cellular energy production connecting many metabolic reactions and facilitating ATP generation. OGDC where DLST performs its function interacts with various proteins such as E1 (2-oxoglutarate dehydrogenase) and E3 (dihydrolipoamide dehydrogenase). This interaction is necessary to efficiently process and interconvert energy substrates for cellular use.

DLST has been implicated in conditions such as neurodegenerative diseases including Alzheimer's disease. Alterations in DLST activity or expression can lead to energy production defects contributing to the metabolic disturbances observed in these conditions. Additionally mutations or dysregulation within the OGDC complex featuring DLST are associated with some forms of cancer where metabolic reprogramming occurs. In both contexts the interaction between DLST and other complex components such as E3 displays potential involvement in disease mechanisms marking it as a target worth studying for therapeutic interventions.

Product protocols

For this product, it's our understanding that no specific protocols are required. You can visit:

Target data

Dihydrolipoamide succinyltransferase (E2) component of the 2-oxoglutarate dehydrogenase complex. The 2-oxoglutarate dehydrogenase complex catalyzes the overall conversion of 2-oxoglutarate to succinyl-CoA and CO(2). The 2-oxoglutarate dehydrogenase complex is mainly active in the mitochondrion (PubMed : 29211711, PubMed : 30929736). A fraction of the 2-oxoglutarate dehydrogenase complex also localizes in the nucleus and is required for lysine succinylation of histones : associates with KAT2A on chromatin and provides succinyl-CoA to histone succinyltransferase KAT2A (PubMed : 29211711).
See full target information DLST

Publications (5)

Recent publications for all applications. Explore the full list and refine your search

The Journal of biological chemistry 299:105333 PubMed37827290

2023

Reactive nitrogen species inhibit branched chain alpha-ketoacid dehydrogenase complex and impact muscle cell metabolism.

Applications

Unspecified application

Species

Unspecified reactive species

Nicholas L Arp,Gretchen L Seim,James A Votava,Jordyn Josephson,Jing Fan

Nature chemical biology 19:265-274 PubMed36266351

2022

Nitric oxide-driven modifications of lipoic arm inhibit α-ketoacid dehydrogenases.

Applications

Unspecified application

Species

Unspecified reactive species

Gretchen L Seim,Steven V John,Nicholas L Arp,Zixiang Fang,David J Pagliarini,Jing Fan

Metabolism: clinical and experimental 114:154416 PubMed33137378

2020

Pioglitazone corrects dysregulation of skeletal muscle mitochondrial proteins involved in ATP synthesis in type 2 diabetes.

Applications

Unspecified application

Species

Unspecified reactive species

Teresa Vanessa Fiorentino,Adriana Monroy,Subash Kamath,Rosa Sotero,Michele Dei Cas,Giuseppe Daniele,Alberto O Chavez,Muhammad Abdul-Ghani,Marta Letizia Hribal,Giorgio Sesti,Devjit Tripathy,Ralph A DeFronzo,Franco Folli

The Journal of clinical investigation 129:4708-4723 PubMed31393856

2019

Hotspot SF3B1 mutations induce metabolic reprogramming and vulnerability to serine deprivation.

Applications

Unspecified application

Species

Unspecified reactive species

W Brian Dalton,Eric Helmenstine,Noel Walsh,Lukasz P Gondek,Dhanashree S Kelkar,Abigail Read,Rachael Natrajan,Eric S Christenson,Barbara Roman,Samarjit Das,Liang Zhao,Robert D Leone,Daniel Shinn,Taylor Groginski,Anil K Madugundu,Arun Patil,Daniel J Zabransky,Arielle Medford,Justin Lee,Alex J Cole,Marc Rosen,Maya Thakar,Alexander Ambinder,Joshua Donaldson,Amy E DeZern,Karen Cravero,David Chu,Rafael Madero-Marroquin,Akhilesh Pandey,Paula J Hurley,Josh Lauring,Ben Ho Park

Nature immunology 16:415-25 PubMed25706746

2015

The RNA-binding protein HuR is essential for the B cell antibody response.

Applications

WB

Species

Mouse

Manuel D Diaz-Muñoz,Sarah E Bell,Kirsten Fairfax,Elisa Monzon-Casanova,Adam F Cunningham,Mar Gonzalez-Porta,Simon R Andrews,Victoria I Bunik,Kathi Zarnack,Tomaž Curk,Ward A Heggermont,Stephane Heymans,Gary E Gibson,Dimitris L Kontoyiannis,Jernej Ule,Martin Turner
View all publications

Product promise

We are committed to supporting your work with high-quality reagents, and we're here for you every step of the way. In the unlikely event that one of our products does not perform as expected, you're protected by our Product Promise.
For full details, please see our Terms & Conditions

Please note: All products are 'FOR RESEARCH USE ONLY. NOT FOR USE IN DIAGNOSTIC OR THERAPEUTIC PROCEDURES'.

For licensing inquiries, please contact partnerships@abcam.com