JavaScript is disabled in your browser. Please enable JavaScript to view this website.
AB250009

Anti-DLST antibody [EPR13318(B)] - BSA and Azide free

Be the first to review this product! Submit a review

|

(0 Publication)

Rabbit Recombinant Monoclonal DLST antibody. Carrier free. Suitable for IHC-P, IP, WB and reacts with Human samples.

View Alternative Names

DLTS, DLST, 2-oxoglutarate dehydrogenase complex component E2, Dihydrolipoamide succinyltransferase component of 2-oxoglutarate dehydrogenase complex, E2K, OGDC-E2

4 Images
Immunohistochemistry (Formalin/PFA-fixed paraffin-embedded sections) - Anti-DLST antibody [EPR13318(B)] - BSA and Azide free (AB250009)
  • IHC-P

Supplier Data

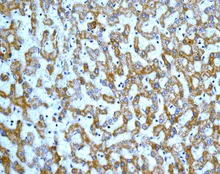
Immunohistochemistry (Formalin/PFA-fixed paraffin-embedded sections) - Anti-DLST antibody [EPR13318(B)] - BSA and Azide free (AB250009)

This data was developed using ab177934, the same antibody clone in a different buffer formulation.

Immunohistochemical analysis of paraffin-embedded Human liver tissue labeling DLST with ab177934 at 1/100 dilution.

Perform heat mediated antigen retrieval with citrate buffer pH 6 before commencing with IHC staining protocol.

Western blot - Anti-DLST antibody [EPR13318(B)] - BSA and Azide free (AB250009)
  • WB

Supplier Data

Western blot - Anti-DLST antibody [EPR13318(B)] - BSA and Azide free (AB250009)

This data was developed using ab177934, the same antibody clone in a different buffer formulation.

All lanes:

Western blot - Anti-DLST antibody [EPR13318(B)] (<a href='/en-us/products/primary-antibodies/dlst-antibody-epr13318b-ab177934'>ab177934</a>) at 1/10000 dilution

Lane 1:

HeLa cell lysate at 10 µg

Lane 2:

HepG2 cell lysate at 10 µg

Lane 3:

MCF-7 cell lysate at 10 µg

Lane 4:

293T cell lysate at 10 µg

Predicted band size: 49 kDa

false

Immunohistochemistry (Formalin/PFA-fixed paraffin-embedded sections) - Anti-DLST antibody [EPR13318(B)] - BSA and Azide free (AB250009)
  • IHC-P

Supplier Data

Immunohistochemistry (Formalin/PFA-fixed paraffin-embedded sections) - Anti-DLST antibody [EPR13318(B)] - BSA and Azide free (AB250009)

This data was developed using ab177934, the same antibody clone in a different buffer formulation.

Immunohistochemical analysis of paraffin-embedded Human heart tissue labeling DLST with ab177934 at 1/100 dilution.

Perform heat mediated antigen retrieval with citrate buffer pH 6 before commencing with IHC staining protocol.

Immunoprecipitation - Anti-DLST antibody [EPR13318(B)] - BSA and Azide free (AB250009)
  • IP

Supplier Data

Immunoprecipitation - Anti-DLST antibody [EPR13318(B)] - BSA and Azide free (AB250009)

This data was developed using ab177934, the same antibody clone in a different buffer formulation.

Western blot analysis on immunoprecipitation pellet from (Lane 1) MCF-7 lysate or (Lane 2) 1XPBS (negative control) using ab177934 and HRP-conjugated anti-rabbit IgG preferentially detecting the non-reduced form of rabbit IgG.

All lanes:

Immunoprecipitation - Anti-DLST antibody [EPR13318(B)] (<a href='/en-us/products/primary-antibodies/dlst-antibody-epr13318b-ab177934'>ab177934</a>)

Predicted band size: 49 kDa

false

Key facts

Host species

Rabbit

Clonality

Monoclonal

Clone number

EPR13318(B)

Isotype

IgG

Carrier free

Yes

Reacts with

Human

Applications

IP, WB, IHC-P

applications

Immunogen

The exact immunogen used to generate this antibody is proprietary information.

Reactivity data

{ "title": "Reactivity Data", "filters": { "stats": ["", "Species", "Dilution Info", "Notes"], "tabs": { "all-applications": {"fullname" : "All Applications", "shortname": "All Applications"}, "IHCP" : {"fullname" : "Immunohistochemistry (Formalin/PFA-fixed paraffin-embedded sections)", "shortname":"IHC-P"}, "IP" : {"fullname" : "Immunoprecipitation", "shortname":"IP"}, "FlowCyt" : {"fullname" : "Flow Cytometry", "shortname":"Flow Cyt"}, "WB" : {"fullname" : "Western blot", "shortname":"WB"} }, "product-promise": { "all": "all", "testedAndGuaranteed": "tested", "guaranteed": "expected", "predicted": "predicted", "notRecommended": "not-recommended" } }, "values": { "Human": { "IHCP-species-checked": "testedAndGuaranteed", "IHCP-species-dilution-info": "", "IHCP-species-notes": "<p></p>", "IP-species-checked": "testedAndGuaranteed", "IP-species-dilution-info": "", "IP-species-notes": "<p></p>", "FlowCyt-species-checked": "notRecommended", "FlowCyt-species-dilution-info": "", "FlowCyt-species-notes": "<p></p>", "WB-species-checked": "testedAndGuaranteed", "WB-species-dilution-info": "", "WB-species-notes": "<p></p>" }, "Mouse": { "IHCP-species-checked": "predicted", "IHCP-species-dilution-info": "", "IHCP-species-notes": "", "IP-species-checked": "predicted", "IP-species-dilution-info": "", "IP-species-notes": "", "FlowCyt-species-checked": "notRecommended", "FlowCyt-species-dilution-info": "", "FlowCyt-species-notes": "", "WB-species-checked": "predicted", "WB-species-dilution-info": "", "WB-species-notes": "" }, "Rat": { "IHCP-species-checked": "predicted", "IHCP-species-dilution-info": "", "IHCP-species-notes": "", "IP-species-checked": "predicted", "IP-species-dilution-info": "", "IP-species-notes": "", "FlowCyt-species-checked": "notRecommended", "FlowCyt-species-dilution-info": "", "FlowCyt-species-notes": "", "WB-species-checked": "predicted", "WB-species-dilution-info": "", "WB-species-notes": "" } } }

Product details

ab250009 is the carrier-free version of ab177934.

Patented technology
Our RabMAb® technology is a patented hybridoma-based technology for making rabbit monoclonal antibodies. For details on our patents, please refer to RabMAb® patents.

What are the advantages of a recombinant monoclonal antibody?
This product is a recombinant monoclonal antibody, which offers several advantages including:

  • - High batch-to-batch consistency and reproducibility
  • - Improved sensitivity and specificity
  • - Long-term security of supply
  • - Animal-free batch production

For more information, read more on recombinant antibodies.

Conjugation ready
Our carrier-free antibodies are typically supplied in a PBS-only formulation, purified and free of BSA, sodium azide and glycerol. This conjugation-ready format is designed for use with fluorochromes, metal isotopes, oligonucleotides, and enzymes, which makes them ideal for antibody labelling, functional and cell-based assays, flow-based assays (e.g. mass cytometry) and Multiplex Imaging applications.

Use our conjugation kits for antibody conjugates that are ready-to-use in as little as 20 minutes with 1 minute hands-on-time and 100% antibody recovery: available for fluorescent dyes, HRP, biotin and gold.

Compatibility
This product is compatible with the Maxpar® Antibody Labeling Kit from Fluidigm, without the need for antibody preparation. Maxpar® is a trademark of Fluidigm Canada Inc.

Properties and storage information

Form
Liquid
Purification technique
Affinity purification
Storage buffer
pH: 7.2 - 7.4 Constituents: PBS
Shipped at conditions
Blue Ice
Appropriate short-term storage conditions
+4°C
Appropriate long-term storage conditions
+4°C
Storage information
Do Not Freeze

Supplementary information

This supplementary information is collated from multiple sources and compiled automatically.

DLST also known as dihydrolipoamide S-succinyltransferase is an essential component of the 2-oxoglutarate dehydrogenase complex (OGDC). It possesses a molecular mass of approximately 48 kDa. Expressed primarily in mitochondrial matrices within mammalian tissues DLST plays a mechanical role in catalyzing the transfer of succinyl groups to coenzyme-A from S-succinyldihydrolipoyllysine. The target is integral to the energy metabolism processes occurring within cells especially in tissues with high energy demands such as the heart and skeletal muscles.
Biological function summary

The DLST enzyme acts within the tricarboxylic acid (TCA) cycle also known as the Krebs cycle or citric acid cycle. It forms a critical part of the multi-enzyme complex OGDC facilitating the oxidative decarboxylation of 2-oxoglutarate an important step in the TCA cycle. Through this action DLST helps produce succinyl-CoA a molecule pivotal for energy and biosynthetic processes. The activity of this protein ensures continuous energy supply and intermediary metabolite flow within cellular respiration.

Pathways

DLST plays a significant role within both the TCA cycle and the broader metabolic pathway of oxidative phosphorylation. These are important for efficient cellular energy production connecting many metabolic reactions and facilitating ATP generation. OGDC where DLST performs its function interacts with various proteins such as E1 (2-oxoglutarate dehydrogenase) and E3 (dihydrolipoamide dehydrogenase). This interaction is necessary to efficiently process and interconvert energy substrates for cellular use.

DLST has been implicated in conditions such as neurodegenerative diseases including Alzheimer's disease. Alterations in DLST activity or expression can lead to energy production defects contributing to the metabolic disturbances observed in these conditions. Additionally mutations or dysregulation within the OGDC complex featuring DLST are associated with some forms of cancer where metabolic reprogramming occurs. In both contexts the interaction between DLST and other complex components such as E3 displays potential involvement in disease mechanisms marking it as a target worth studying for therapeutic interventions.

Product protocols

For this product, it's our understanding that no specific protocols are required. You can visit:

Target data

Dihydrolipoamide succinyltransferase (E2) component of the 2-oxoglutarate dehydrogenase complex. The 2-oxoglutarate dehydrogenase complex catalyzes the overall conversion of 2-oxoglutarate to succinyl-CoA and CO(2). The 2-oxoglutarate dehydrogenase complex is mainly active in the mitochondrion (PubMed : 29211711, PubMed : 30929736). A fraction of the 2-oxoglutarate dehydrogenase complex also localizes in the nucleus and is required for lysine succinylation of histones : associates with KAT2A on chromatin and provides succinyl-CoA to histone succinyltransferase KAT2A (PubMed : 29211711).
See full target information DLST

Product promise

We are committed to supporting your work with high-quality reagents, and we're here for you every step of the way. In the unlikely event that one of our products does not perform as expected, you're protected by our Product Promise.
For full details, please see our Terms & Conditions

Please note: All products are 'FOR RESEARCH USE ONLY. NOT FOR USE IN DIAGNOSTIC OR THERAPEUTIC PROCEDURES'.

For licensing inquiries, please contact partnerships@abcam.com