JavaScript is disabled in your browser. Please enable JavaScript to view this website.
AB236381

Anti-Dlx1 antibody [OTI1E6]

3

(1 Review)

|

(2 Publications)

Mouse Monoclonal DLX1 antibody. Suitable for WB, IHC-P and reacts with Human samples. Cited in 2 publications. Immunogen corresponding to Recombinant Full Length Protein corresponding to Human DLX1.

View Alternative Names

Homeobox protein DLX-1, DLX1

3 Images
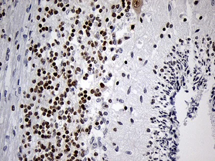
Immunohistochemistry (Formalin/PFA-fixed paraffin-embedded sections) - Anti-Dlx1 antibody [OTI1E6] (AB236381)
  • IHC-P

Supplier Data

Immunohistochemistry (Formalin/PFA-fixed paraffin-embedded sections) - Anti-Dlx1 antibody [OTI1E6] (AB236381)

Paraffin-embedded human embryonic cerebellum tissue stained for Dlx1 with ab236381 at a 1/500 dilution in immunohistochemical analysis.

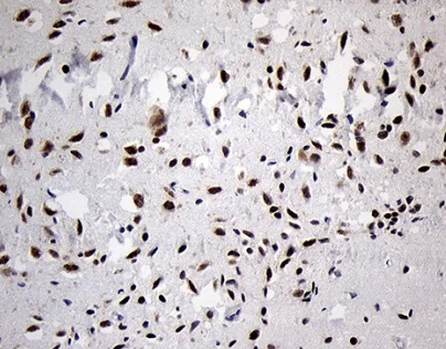
Immunohistochemistry (Formalin/PFA-fixed paraffin-embedded sections) - Anti-Dlx1 antibody [OTI1E6] (AB236381)
  • IHC-P

Supplier Data

Immunohistochemistry (Formalin/PFA-fixed paraffin-embedded sections) - Anti-Dlx1 antibody [OTI1E6] (AB236381)

Paraffin-embedded human adult brain tissue stained for Dlx1 with ab236381 at a 1/500 dilution in immunohistochemical analysis.

Western blot - Anti-Dlx1 antibody [OTI1E6] (AB236381)
  • WB

Supplier Data

Western blot - Anti-Dlx1 antibody [OTI1E6] (AB236381)

All lanes:

Western blot - Anti-Dlx1 antibody [OTI1E6] (ab236381) at 1/2000 dilution

Lane 1:

pCMV6-ENTRY control cDNA transfected HEK-293T (Human epithelial cell line from embryonic kidney transformed with large T antigen) cell lysate at 5 µg

Lane 2:

pCMV6-ENTRY Dlx1 cDNA transfected HEK-293T (Human epithelial cell line from embryonic kidney transformed with large T antigen) cell lysate at 5 µg

Predicted band size: 27 kDa

false

Key facts

Host species

Mouse

Clonality

Monoclonal

Clone number

OTI1E6

Isotype

IgG2b

Carrier free

No

Reacts with

Human

Applications

WB, IHC-P

applications

Immunogen

Recombinant Full Length Protein corresponding to Human DLX1.

P56177

Reactivity data

{ "title": "Reactivity Data", "filters": { "stats": ["", "Species", "Dilution Info", "Notes"], "tabs": { "all-applications": {"fullname" : "All Applications", "shortname": "All Applications"}, "WB" : {"fullname" : "Western blot", "shortname":"WB"}, "IHCP" : {"fullname" : "Immunohistochemistry (Formalin/PFA-fixed paraffin-embedded sections)", "shortname":"IHC-P"} }, "product-promise": { "all": "all", "testedAndGuaranteed": "tested", "guaranteed": "expected", "predicted": "predicted", "notRecommended": "not-recommended" } }, "values": { "Human": { "WB-species-checked": "testedAndGuaranteed", "WB-species-dilution-info": "1/2000", "WB-species-notes": "<p></p>", "IHCP-species-checked": "testedAndGuaranteed", "IHCP-species-dilution-info": "1/500", "IHCP-species-notes": "<p>Heat-induced epitope retrieval by 1 mM EDTA in 10 mM Tris buffer (pH 8.5) at 120°C for 3 minutes.</p>" }, "Mouse": { "WB-species-checked": "predicted", "WB-species-dilution-info": "", "WB-species-notes": "", "IHCP-species-checked": "predicted", "IHCP-species-dilution-info": "", "IHCP-species-notes": "" } } }

Properties and storage information

Form
Liquid
Purification technique
Affinity purification
Purification notes
Purified from cell culture supernatant.
Storage buffer
pH: 7.3 Preservative: 0.02% Sodium azide Constituents: PBS, 50% Glycerol (glycerin, glycerine), 1% BSA
Shipped at conditions
Blue Ice
Appropriate short-term storage duration
1-2 weeks
Appropriate short-term storage conditions
+4°C
Appropriate long-term storage conditions
-20°C
Aliquoting information
Upon delivery aliquot
Storage information
Avoid freeze / thaw cycle

Product protocols

For this product, it's our understanding that no specific protocols are required. You can visit:

Target data

Plays a role as a transcriptional activator or repressor (PubMed : 14671321). Inhibits several cytokine signaling pathways, such as TGFB1, activin-A/INHBA and BMP4 by interfering with the transcriptional stimulatory activity of transcription factors, such as MSX2, FAST2, SMAD2 and SMAD3 during hematopoietic cell differentiation (PubMed : 14671321). Plays a role in terminal differentiation of interneurons, such as amacrine and bipolar cells in the developing retina (By similarity). Likely to play a regulatory role in the development of the ventral forebrain (By similarity). May play a role in craniofacial patterning and morphogenesis and may be involved in the early development of diencephalic subdivisions (By similarity).
See full target information DLX1

Publications (2)

Recent publications for all applications. Explore the full list and refine your search

Journal of translational medicine 23:805 PubMed40682116

2025

Sinensetin serves as an AMPK activator to inhibit RANKL-induced osteoclastogenesis via osteoclast cytoskeleton reorganization.

Applications

Unspecified application

Species

Unspecified reactive species

Yijie Gao,Rui Zhou,Xixi Lin,Zhijuan Liu,Yuangang Su,Haoyu Lian,Bin Lin,Xiaofei Ding,Shijie Liao,Xiangde Li,Jinmin Zhao,Jiake Xu,Ren Xu,Qian Liu,Fangming Song

Dose-response : a publication of International Hormesis Society 17:1559325819886766 PubMed31762715

2019

mRNA and lncRNA Expression Profiling of Radiation-Induced Gastric Injury Reveals Potential Radiation-Responsive Transcription Factors.

Applications

Unspecified application

Species

Unspecified reactive species

Guangxia Chen,Yang Feng,Zhiqiang Sun,Yiying Gao,Chuannan Wu,Haihan Zhang,Jinming Cao,Zhuo Chen,Jianping Cao,Yaqun Zhu,Shuyu Zhang
View all publications

Product promise

We are committed to supporting your work with high-quality reagents, and we're here for you every step of the way. In the unlikely event that one of our products does not perform as expected, you're protected by our Product Promise.
For full details, please see our Terms & Conditions

Please note: All products are 'FOR RESEARCH USE ONLY. NOT FOR USE IN DIAGNOSTIC OR THERAPEUTIC PROCEDURES'.

For licensing inquiries, please contact partnerships@abcam.com