JavaScript is disabled in your browser. Please enable JavaScript to view this website.
AB175218

Anti-Dlx4/BP1 antibody [EPR9263]

Be the first to review this product! Submit a review

|

(2 Publications)

Rabbit Recombinant Monoclonal Dlx4/BP1 antibody. Suitable for IHC-P, IP, WB, ICC/IF and reacts with Human samples. Cited in 2 publications.

View Alternative Names

BP1, DLX7, DLX8, DLX9, DLX4, Homeobox protein DLX-4, Beta protein 1, Homeobox protein DLX-7, Homeobox protein DLX-8

5 Images
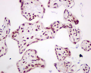
Immunohistochemistry (Formalin/PFA-fixed paraffin-embedded sections) - Anti-Dlx4/BP1 antibody [EPR9263] (AB175218)
  • IHC-P

Supplier Data

Immunohistochemistry (Formalin/PFA-fixed paraffin-embedded sections) - Anti-Dlx4/BP1 antibody [EPR9263] (AB175218)

Immunohistochemical analysis of paraffin-embedded Human placenta tissue labeling Dlx4/BP1 with ab175218 at 1/100 dilution.

Perform heat mediated antigen retrieval with citrate buffer pH 6 before commencing with IHC staining protocol.

Immunohistochemistry (Formalin/PFA-fixed paraffin-embedded sections) - Anti-Dlx4/BP1 antibody [EPR9263] (AB175218)
  • IHC-P

Unknown

Immunohistochemistry (Formalin/PFA-fixed paraffin-embedded sections) - Anti-Dlx4/BP1 antibody [EPR9263] (AB175218)

Immunohistochemical analysis of paraffin-embedded Human prostatic hyperplasia tissue labeling Dlx4/BP1 with ab175218 at 1/100 dilution.

Perform heat mediated antigen retrieval with citrate buffer pH 6 before commencing with IHC staining protocol.

Immunocytochemistry/ Immunofluorescence - Anti-Dlx4/BP1 antibody [EPR9263] (AB175218)
  • ICC/IF

Supplier Data

Immunocytochemistry/ Immunofluorescence - Anti-Dlx4/BP1 antibody [EPR9263] (AB175218)

Immunofluorescence analysis of SW480 cells labeling Dlx4/BP1 with ab175218 at 1/100 dilution.

Immunoprecipitation - Anti-Dlx4/BP1 antibody [EPR9263] (AB175218)
  • IP

Unknown

Immunoprecipitation - Anti-Dlx4/BP1 antibody [EPR9263] (AB175218)

Western blot analysis on immunoprecipitation pellet from K562 cell lysate using ab175218 at 1/10 dilution.

All lanes:

Immunoprecipitation - Anti-Dlx4/BP1 antibody [EPR9263] (ab175218)

Predicted band size: 26 kDa

false

Western blot - Anti-Dlx4/BP1 antibody [EPR9263] (AB175218)
  • WB

Supplier Data

Western blot - Anti-Dlx4/BP1 antibody [EPR9263] (AB175218)

All lanes:

Western blot - Anti-Dlx4/BP1 antibody [EPR9263] (ab175218) at 1/1000 dilution

Lane 1:

SW480 cell lysate at 10 µg

Lane 2:

K562 cell lysate at 10 µg

Lane 3:

Human placenta tissue lysate at 10 µg

Predicted band size: 26 kDa

false

  • Carrier free

    Anti-Dlx4/BP1 antibody [EPR9263] - BSA and Azide free

Key facts

Host species

Rabbit

Clonality

Monoclonal

Clone number

EPR9263

Isotype

IgG

Carrier free

No

Reacts with

Human

Applications

IP, WB, ICC/IF, IHC-P

applications

Immunogen

The exact immunogen used to generate this antibody is proprietary information.

Reactivity data

{ "title": "Reactivity Data", "filters": { "stats": ["", "Species", "Dilution Info", "Notes"], "tabs": { "all-applications": {"fullname" : "All Applications", "shortname": "All Applications"}, "IHCP" : {"fullname" : "Immunohistochemistry (Formalin/PFA-fixed paraffin-embedded sections)", "shortname":"IHC-P"}, "IP" : {"fullname" : "Immunoprecipitation", "shortname":"IP"}, "FlowCyt" : {"fullname" : "Flow Cytometry", "shortname":"Flow Cyt"}, "WB" : {"fullname" : "Western blot", "shortname":"WB"}, "ICCIF" : {"fullname" : "Immunocytochemistry/ Immunofluorescence", "shortname":"ICC/IF"} }, "product-promise": { "all": "all", "testedAndGuaranteed": "tested", "guaranteed": "expected", "predicted": "predicted", "notRecommended": "not-recommended" } }, "values": { "Human": { "IHCP-species-checked": "testedAndGuaranteed", "IHCP-species-dilution-info": "1/100 - 1/250", "IHCP-species-notes": "<p></p> Perform heat-mediated antigen retrieval with citrate buffer pH 6 before commencing with IHC staining protocol.", "IP-species-checked": "testedAndGuaranteed", "IP-species-dilution-info": "1/10 - 1/100", "IP-species-notes": "<p></p>", "FlowCyt-species-checked": "notRecommended", "FlowCyt-species-dilution-info": "", "FlowCyt-species-notes": "<p></p>", "WB-species-checked": "testedAndGuaranteed", "WB-species-dilution-info": "1/1000 - 1/5000", "WB-species-notes": "<p></p>", "ICCIF-species-checked": "testedAndGuaranteed", "ICCIF-species-dilution-info": "1/100 - 1/250", "ICCIF-species-notes": "<p></p>" }, "Mouse": { "IHCP-species-checked": "predicted", "IHCP-species-dilution-info": "", "IHCP-species-notes": "", "IP-species-checked": "predicted", "IP-species-dilution-info": "", "IP-species-notes": "", "FlowCyt-species-checked": "notRecommended", "FlowCyt-species-dilution-info": "", "FlowCyt-species-notes": "", "WB-species-checked": "predicted", "WB-species-dilution-info": "", "WB-species-notes": "", "ICCIF-species-checked": "predicted", "ICCIF-species-dilution-info": "", "ICCIF-species-notes": "" }, "Rat": { "IHCP-species-checked": "predicted", "IHCP-species-dilution-info": "", "IHCP-species-notes": "", "IP-species-checked": "predicted", "IP-species-dilution-info": "", "IP-species-notes": "", "FlowCyt-species-checked": "notRecommended", "FlowCyt-species-dilution-info": "", "FlowCyt-species-notes": "", "WB-species-checked": "predicted", "WB-species-dilution-info": "", "WB-species-notes": "", "ICCIF-species-checked": "predicted", "ICCIF-species-dilution-info": "", "ICCIF-species-notes": "" } } }

Product details

Patented technology
Our RabMAb® technology is a patented hybridoma-based technology for making rabbit monoclonal antibodies. For details on our patents, please refer to RabMAb® patents.

What are the advantages of a recombinant monoclonal antibody?
This product is a recombinant monoclonal antibody, which offers several advantages including:

  • - High batch-to-batch consistency and reproducibility
  • - Improved sensitivity and specificity
  • - Long-term security of supply
  • - Animal-free batch production

For more information, read more on recombinant antibodies.

Properties and storage information

Form
Liquid
Purification technique
Affinity purification Protein A
Storage buffer
pH: 7.2 - 7.4 Preservative: 0.01% Sodium azide Constituents: PBS, 50% Tissue culture supernatant, 40% Glycerol (glycerin, glycerine), 0.05% BSA
Shipped at conditions
Blue Ice
Appropriate short-term storage duration
1-2 weeks
Appropriate short-term storage conditions
+4°C
Appropriate long-term storage conditions
-20°C
Aliquoting information
Upon delivery aliquot
Storage information
Avoid freeze / thaw cycle

Product protocols

For this product, it's our understanding that no specific protocols are required. You can visit:

Target data

May play a role in determining the production of hemoglobin S. May act as a repressor. During embryonic development, plays a role in palatogenesis.
See full target information DLX4

Publications (2)

Recent publications for all applications. Explore the full list and refine your search

Discover oncology 16:467 PubMed40186710

2025

Multi-omics analysis identifies DLX4 as a novel biomarker for diagnosis, prognosis, and immune infiltration: from pan-cancer to renal cancer.

Applications

Unspecified application

Species

Unspecified reactive species

Zengshun Kou,Shuaizhi Zhu,Jiaxi Zhu,Shufei Wang,Yu Zheng,Shengjie Zhou,Zi'ang Si,Hai Zhu

RNA (New York, N.Y.) 30:1041-1057 PubMed38697667

2024

A novel reporter for helicase activity in translation uncovers DDX3X interactions.

Applications

Unspecified application

Species

Unspecified reactive species

Kevin C Wilkins,Till Schroeder,Sohyun Gu,Jezrael L Revalde,Stephen N Floor
View all publications

Product promise

We are committed to supporting your work with high-quality reagents, and we're here for you every step of the way. In the unlikely event that one of our products does not perform as expected, you're protected by our Product Promise.
For full details, please see our Terms & Conditions

Please note: All products are 'FOR RESEARCH USE ONLY. NOT FOR USE IN DIAGNOSTIC OR THERAPEUTIC PROCEDURES'.

For licensing inquiries, please contact partnerships@abcam.com