JavaScript is disabled in your browser. Please enable JavaScript to view this website.
AB64827

Anti-Dlx5 antibody

4

(4 Reviews)

|

(6 Publications)

Rabbit Polyclonal DLX5 antibody. Suitable for IHC-P, WB and reacts with Human samples. Cited in 6 publications. Immunogen corresponding to Synthetic Peptide within Human DLX5.

View Alternative Names

Homeobox protein DLX-5, DLX5

2 Images
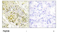
Immunohistochemistry (Formalin/PFA-fixed paraffin-embedded sections) - Anti-Dlx5 antibody (AB64827)
  • IHC-P

Unknown

Immunohistochemistry (Formalin/PFA-fixed paraffin-embedded sections) - Anti-Dlx5 antibody (AB64827)

ab64827, at 1/50 dilution, staining Dlx5 in paraffin embedded human lung carcinoma tissue by Immunohistochemistry in the absence or presence of the immunising peptide.

Western blot - Anti-Dlx5 antibody (AB64827)
  • WB

Unknown

Western blot - Anti-Dlx5 antibody (AB64827)

All lanes:

Western blot - Anti-Dlx5 antibody (ab64827) at 1/500 dilution

Lane 1:

HeLa cell extract at 30 µg

Lane 2:

293 cell extract at 30 µg

Lane 3:

COLO205 cell extract at 30 µg

Predicted band size: 32 kDa

Observed band size: 32 kDa

false

Key facts

Host species

Rabbit

Clonality

Polyclonal

Isotype

IgG

Carrier free

No

Reacts with

Human

Applications

IHC-P, WB

applications

Immunogen

Synthetic Peptide within Human DLX5. The exact immunogen used to generate this antibody is proprietary information.

P56178

Reactivity data

{ "title": "Reactivity Data", "filters": { "stats": ["", "Species", "Dilution Info", "Notes"], "tabs": { "all-applications": {"fullname" : "All Applications", "shortname": "All Applications"}, "IHCP" : {"fullname" : "Immunohistochemistry (Formalin/PFA-fixed paraffin-embedded sections)", "shortname":"IHC-P"}, "WB" : {"fullname" : "Western blot", "shortname":"WB"} }, "product-promise": { "all": "all", "testedAndGuaranteed": "tested", "guaranteed": "expected", "predicted": "predicted", "notRecommended": "not-recommended" } }, "values": { "Human": { "IHCP-species-checked": "testedAndGuaranteed", "IHCP-species-dilution-info": "1/50 - 1/100", "IHCP-species-notes": "<p></p> Perform heat-mediated antigen retrieval via the pressure cooker method before commencing with IHC staining protocol.", "WB-species-checked": "testedAndGuaranteed", "WB-species-dilution-info": "1/500 - 1/1000", "WB-species-notes": "<p></p>" } } }

Properties and storage information

Form
Liquid
Purification technique
Affinity purification Immunogen
Purification notes
ab64827 was affinity purified from rabbit antiserum by affinity chromatography using epitope specific immunogen.
Storage buffer
pH: 7.4 Preservative: 0.02% Sodium azide Constituents: PBS, 50% Glycerol (glycerin, glycerine), 0.87% Sodium chloride
Shipped at conditions
Blue Ice
Appropriate short-term storage conditions
+4°C
Appropriate long-term storage conditions
-20°C
Storage information
Stable for 12 months at -20°C

Product protocols

For this product, it's our understanding that no specific protocols are required. You can visit:

Target data

Transcriptional factor involved in bone development. Acts as an immediate early BMP-responsive transcriptional activator essential for osteoblast differentiation. Stimulates ALPL promoter activity in a RUNX2-independent manner during osteoblast differentiation. Stimulates SP7 promoter activity during osteoblast differentiation. Promotes cell proliferation by up-regulating MYC promoter activity. Involved as a positive regulator of both chondrogenesis and chondrocyte hypertrophy in the endochondral skeleton. Binds to the homeodomain-response element of the ALPL and SP7 promoter. Binds to the MYC promoter. Requires the 5'-TAATTA-3' consensus sequence for DNA-binding.
See full target information DLX5

Publications (6)

Recent publications for all applications. Explore the full list and refine your search

BioFactors (Oxford, England) 48:239-248 PubMed34932831

2021

NXNL1 negatively regulates osteoblast differentiation via GDF15-induced PP2A Cα dependent manner in MC3T3-E1 cells.

Applications

Unspecified application

Species

Unspecified reactive species

Kyeong-Min Kim,Won-Gu Jang

Clinical and experimental pharmacology & physiology 48:1336-1345 PubMed34053129

2021

Policosanol attenuates Pi-induced calcification via AMPK-mediated INSIGs expression in rat VSMCs.

Applications

Unspecified application

Species

Unspecified reactive species

Kyeong-Min Kim,Chang-Hyun Kim,Kyung-Hyun Cho,Won-Gu Jang

Brain injury 35:850-862 PubMed33780298

2021

Contribution of Human Trophoblast Progenitor Cells to Neurogenesis in Rat Focal Cerebral Ischemia Model.

Applications

Unspecified application

Species

Unspecified reactive species

Kerem Yanar,Muge Molbay,Eylem Özaydın-Goksu,Gozde Unek,Emre Cetindağ,Ali Unal,Emin Turkay Korgun

JBMR plus 4:e10382 PubMed32803111

2020

Different Responsiveness of Alveolar Bone and Long Bone to Epithelial-Mesenchymal Interaction-Related Factor.

Applications

Unspecified application

Species

Unspecified reactive species

Chul Son,Moon Sil Choi,Joo-Cheol Park

Current protocols in stem cell biology 32:1H.8.1-1H.8.20 PubMed25640818

2015

Generation of highly enriched populations of optic vesicle-like retinal cells from human pluripotent stem cells.

Applications

Unspecified application

Species

Unspecified reactive species

Sarah K Ohlemacher,Clara L Iglesias,Akshayalakshmi Sridhar,David M Gamm,Jason S Meyer

American journal of physiology. Cell physiology 308:C209-19 PubMed25394470

2014

Characterization of a subpopulation of developing cortical interneurons from human iPSCs within serum-free embryoid bodies.

Applications

ICC/IF

Species

Mouse

Michael W Nestor,Samson Jacob,Bruce Sun,Deborah Prè,Andrew A Sproul,Seong Im Hong,Chris Woodard,Matthew Zimmer,Vorapin Chinchalongporn,Ottavio Arancio,Scott A Noggle
View all publications

Product promise

We are committed to supporting your work with high-quality reagents, and we're here for you every step of the way. In the unlikely event that one of our products does not perform as expected, you're protected by our Product Promise.
For full details, please see our Terms & Conditions

Please note: All products are 'FOR RESEARCH USE ONLY. NOT FOR USE IN DIAGNOSTIC OR THERAPEUTIC PROCEDURES'.

For licensing inquiries, please contact partnerships@abcam.com