JavaScript is disabled in your browser. Please enable JavaScript to view this website.
AB109737

Anti-Dlx5 antibody [EPR4488]

Be the first to review this product! Submit a review

|

(18 Publications)

Rabbit Recombinant Monoclonal DLX5 antibody. Suitable for IHC-P, WB, ICC/IF and reacts with Human samples. Cited in 18 publications.

View Alternative Names

Homeobox protein DLX-5, DLX5

5 Images
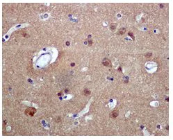
Immunohistochemistry (Formalin/PFA-fixed paraffin-embedded sections) - Anti-Dlx5 antibody [EPR4488] (AB109737)
  • IHC-P

Unknown

Immunohistochemistry (Formalin/PFA-fixed paraffin-embedded sections) - Anti-Dlx5 antibody [EPR4488] (AB109737)

Immunohistochemistry (Formalin/PFA-fixed paraffin-embedded sections) analysis of Human brain tissue labelling Dlx5 with unpurified ab109737 at 1/100.

Perform heat mediated antigen retrieval via the pressure cooker method before commencing with IHC staining protocol.

Western blot - Anti-Dlx5 antibody [EPR4488] (AB109737)
  • WB

Unknown

Western blot - Anti-Dlx5 antibody [EPR4488] (AB109737)

Blocking buffer and concentration : 5% NFDM/TBST.

Diluting buffer and concentration : 5% NFDM /TBST.

All lanes:

Western blot - Anti-Dlx5 antibody [EPR4488] (ab109737) at 1/5000 dilution

Lane 1:

HeLa cell lysate at 20 µg

Lane 2:

U87-MG cell lysate at 20 µg

Secondary

All lanes:

Western blot - Goat Anti-Rabbit IgG H&L (HRP) (<a href='/en-us/products/secondary-antibodies/goat-rabbit-igg-h-l-hrp-ab97051'>ab97051</a>) at 1/10000 dilution

Predicted band size: 32 kDa

false

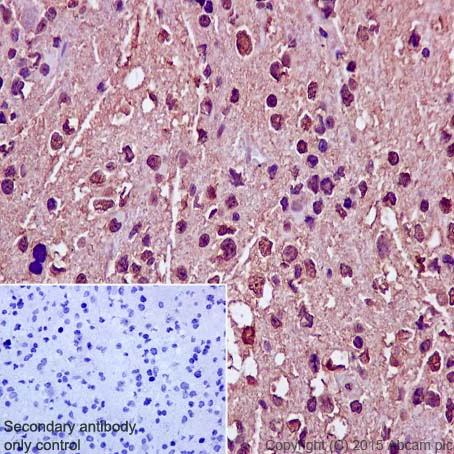
Immunohistochemistry (Formalin/PFA-fixed paraffin-embedded sections) - Anti-Dlx5 antibody [EPR4488] (AB109737)
  • IHC-P

Unknown

Immunohistochemistry (Formalin/PFA-fixed paraffin-embedded sections) - Anti-Dlx5 antibody [EPR4488] (AB109737)

Immunohistochemistry (Formalin/PFA-fixed paraffin-embedded sections) analysis of human astrocytoma tissue labelling Dlx5 with purified ab109737 at 1/1000. Heat mediated antigen retrieval was performed using Tris/EDTA buffer pH 9. ab97051, a goat anti-rabbit IgG H&L (HRP) was used as the secondary antibody (1/500). Negative control using PBS instead of primary antibody. Counterstained with hematoxylin.

Western blot - Anti-Dlx5 antibody [EPR4488] (AB109737)
  • WB

Lab

Western blot - Anti-Dlx5 antibody [EPR4488] (AB109737)

Blocking buffer and concentration : 5% NFDM/TBST

All lanes:

Western blot - Anti-Dlx5 antibody [EPR4488] (ab109737) at 1/1000 dilution

All lanes:

GST and His tagged recombinant Human Dlx5 protein at 0.01 µg

Secondary

All lanes:

Western blot - Goat Anti-Rabbit IgG H&L (HRP) (<a href='/en-us/products/secondary-antibodies/goat-rabbit-igg-h-l-hrp-ab97051'>ab97051</a>) at 1/20000 dilution

Predicted band size: 32 kDa

Observed band size: 60 kDa

false

Exposure time: 3s

Western blot - Anti-Dlx5 antibody [EPR4488] (AB109737)
  • WB

CiteAb

Western blot - Anti-Dlx5 antibody [EPR4488] (AB109737)

Dlx5 western blot using anti-Dlx5 antibody [EPR4488] ab109737. Publication image and figure legend from Twomey-Kozak, J., Desai, S., et al., 2020, Int J Mol Sci, PubMed 32650430.

ab109737 was used in this publication in western blot. This may not be the same as the application(s) guaranteed by Abcam. For a full list of applications guaranteed by Abcam for ab109737 please see the product overview.

DLX5 knockdown results in reduced expression of hypertrophy/ossification-related genes and decreased apoptosis in BM-MSCs. Relative mRNA expression levels of (A) DLX5, early chondrogenesis markers (B) COL1 and (C) COL2, terminal hypertrophic differentiation and ossification-related markers (D) COL10, (E) BGLAP and (F) ALPL in DLX5 siRNA knockdown BM-MSCs vs Control-scrambled siRNA BM-MSCs. The mRNA expression results are displayed at the basal level (“Noninduced” black-colored bars in the graph) and then again after undergoing chondrogenesis (“Chondro-induced” white-colored bars in the graph) to confirm the retention of the genotype. N ≥ 3; *, p ≤ 0.05; **, p ≤ 0.01 relative to control BM-MSCs. (G) Caspase-3/7 immunofluorescent staining of DLX5 siRNA knockdown BM-MSCs vs. Control-scrambled siRNA BM-MSCs. Scale = 250 µm. (H) Western blot analysis of DLX5, cleaved caspase-3, and the respective actin loading controls in DLX5 siRNA knockdown BM-MSCs and Control-scrambled siRNA BM-MSCs. Bar graphs represent the mean densitometric intensities of bands, normalized to Actin loading control bands. Measurements were made using ImageJ software. N = 3; *, p ≤ 0.05; ***, p ≤ 0.005.

false

Key facts

Host species

Rabbit

Clonality

Monoclonal

Clone number

EPR4488

Isotype

IgG

Carrier free

No

Reacts with

Human

Applications

WB, IHC-P, ICC/IF

applications

Immunogen

The exact immunogen used to generate this antibody is proprietary information.

Reactivity data

{ "title": "Reactivity Data", "filters": { "stats": ["", "Species", "Dilution Info", "Notes"], "tabs": { "all-applications": {"fullname" : "All Applications", "shortname": "All Applications"}, "IHCP" : {"fullname" : "Immunohistochemistry (Formalin/PFA-fixed paraffin-embedded sections)", "shortname":"IHC-P"}, "WB" : {"fullname" : "Western blot", "shortname":"WB"}, "ICCIF" : {"fullname" : "Immunocytochemistry/ Immunofluorescence", "shortname":"ICC/IF"} }, "product-promise": { "all": "all", "testedAndGuaranteed": "tested", "guaranteed": "expected", "predicted": "predicted", "notRecommended": "not-recommended" } }, "values": { "Human": { "IHCP-species-checked": "testedAndGuaranteed", "IHCP-species-dilution-info": "1/1000", "IHCP-species-notes": "<p><strong>For unpurified use at 1/100 - 1/250.</strong></p><p>Antigen retreval recommended; heat up to 98°C, below boiling, and then let cool for 10-20 min.</p> Perform heat-mediated antigen retrieval via the pressure cooker method before commencing with IHC staining protocol.", "WB-species-checked": "testedAndGuaranteed", "WB-species-dilution-info": "1/1000 - 1/10000", "WB-species-notes": "<p></p>", "ICCIF-species-checked": "testedAndGuaranteed", "ICCIF-species-dilution-info": "1/1000", "ICCIF-species-notes": "<p><strong>For unpurified use at 1/50 - 1/100.</strong></p>" }, "Mouse": { "IHCP-species-checked": "notRecommended", "IHCP-species-dilution-info": "", "IHCP-species-notes": "", "WB-species-checked": "notRecommended", "WB-species-dilution-info": "", "WB-species-notes": "<p></p>", "ICCIF-species-checked": "notRecommended", "ICCIF-species-dilution-info": "", "ICCIF-species-notes": "" }, "Rat": { "IHCP-species-checked": "notRecommended", "IHCP-species-dilution-info": "", "IHCP-species-notes": "", "WB-species-checked": "notRecommended", "WB-species-dilution-info": "", "WB-species-notes": "<p></p>", "ICCIF-species-checked": "notRecommended", "ICCIF-species-dilution-info": "", "ICCIF-species-notes": "" } } }

Product details

Patented technology
Our RabMAb® technology is a patented hybridoma-based technology for making rabbit monoclonal antibodies. For details on our patents, please refer to RabMAb® patents.

What are the advantages of a recombinant monoclonal antibody?
This product is a recombinant monoclonal antibody, which offers several advantages including:

  • - High batch-to-batch consistency and reproducibility
  • - Improved sensitivity and specificity
  • - Long-term security of supply
  • - Animal-free batch production

For more information, read more on recombinant antibodies.

Properties and storage information

Form
Liquid
Purification technique
Affinity purification Protein A
Storage buffer
pH: 7.2 - 7.4 Preservative: 0.01% Sodium azide Constituents: 59% PBS, 40% Glycerol (glycerin, glycerine), 0.05% BSA
Shipped at conditions
Blue Ice
Appropriate short-term storage duration
1-2 weeks
Appropriate short-term storage conditions
+4°C
Appropriate long-term storage conditions
-20°C
Aliquoting information
Upon delivery aliquot
Storage information
Avoid freeze / thaw cycle

Product protocols

For this product, it's our understanding that no specific protocols are required. You can visit:

Target data

Transcriptional factor involved in bone development. Acts as an immediate early BMP-responsive transcriptional activator essential for osteoblast differentiation. Stimulates ALPL promoter activity in a RUNX2-independent manner during osteoblast differentiation. Stimulates SP7 promoter activity during osteoblast differentiation. Promotes cell proliferation by up-regulating MYC promoter activity. Involved as a positive regulator of both chondrogenesis and chondrocyte hypertrophy in the endochondral skeleton. Binds to the homeodomain-response element of the ALPL and SP7 promoter. Binds to the MYC promoter. Requires the 5'-TAATTA-3' consensus sequence for DNA-binding.
See full target information DLX5

Publications (18)

Recent publications for all applications. Explore the full list and refine your search

Nucleic acids research 53: PubMed40705926

2025

PPARG-centric transcriptional re-wiring during differentiation of human trophoblast stem cells into extravillous trophoblasts.

Applications

Unspecified application

Species

Unspecified reactive species

Qingqing Guo,Joonhyuk Choi,Muyoung Lee,Jonghwan Kim

Genes & diseases 10:2097-2108 PubMed37492739

2023

DLX5 promotes expression and chondrocyte hypertrophy and is involved in osteoarthritis progression.

Applications

Unspecified application

Species

Unspecified reactive species

Jinnan Chen,Fangzhou Chen,Xuan Wu,Huiqin Bian,Chen Chen,Xiaojing Zhang,Ruoxuan Hei, XiaotongYang,Haochun Yuan,Qian Wang,Yaojuan Lu,Longwei Qiao,Qiping Zheng

Disease models & mechanisms 15: PubMed35833364

2022

FGF8-FGFR1 signaling regulates human GnRH neuron differentiation in a time- and dose-dependent manner.

Applications

Unspecified application

Species

Unspecified reactive species

Venkatram Yellapragada,Nazli Eskici,Yafei Wang,Shrinidhi Madhusudan,Kirsi Vaaralahti,Timo Tuuri,Taneli Raivio

Bioactive materials 20:179-193 PubMed35663336

2022

A bioactive material with dual integrin-targeting ligands regulates specific endogenous cell adhesion and promotes vascularized bone regeneration in adult and fetal bone defects.

Applications

Unspecified application

Species

Unspecified reactive species

Dake Hao,Ruiwu Liu,Tomas Gonzalez Fernandez,Christopher Pivetti,Jordan Elizabeth Jackson,Edwin Samuel Kulubya,Hong-Jiang Jiang,Hai-Yang Ju,Wen-Liang Liu,Alyssa Panitch,Kit S Lam,J Kent Leach,Diana L Farmer,Aijun Wang

Evidence-based complementary and alternative medicine : eCAM 2022:5019920 PubMed35280506

2022

Anti-Dlx5 Retards the Progression of Osteoarthritis through Inhibiting Chondrocyte Hypertrophy and Apoptosis.

Applications

Unspecified application

Species

Unspecified reactive species

Ye Lu,Chengyuan Zhang,Shilin Jiang,Feng Yuan

American journal of cancer research 11:3354-3374 PubMed34249467

2021

DLX5 promotes osteosarcoma progression via activation of the NOTCH signaling pathway.

Applications

Unspecified application

Species

Unspecified reactive species

Xiaojing Zhang,Huiqin Bian,Wei Wei,Qian Wang,Jinnan Chen,Ruoxuan Hei,Chen Chen,Xuan Wu,Haochun Yuan,Junxia Gu,Yaojuan Lu,Cheguo Cai,Qiping Zheng

International journal of molecular sciences 22: PubMed33919218

2021

Metallothionein 3 Promotes Osteoblast Differentiation in C2C12 Cells via Reduction of Oxidative Stress.

Applications

Unspecified application

Species

Unspecified reactive species

Santie Li,Myeong-Ji Kim,Sung-Ho Lee,Litai Jin,Weitao Cong,Hye-Gwang Jeong,Kwang-Youl Lee

BioFactors (Oxford, England) 46:788-802 PubMed32856377

2020

Inhibition of microRNA-27b-3p relieves osteoarthritis pain via regulation of KDM4B-dependent DLX5.

Applications

Unspecified application

Species

Unspecified reactive species

Guixiang Zhang,Yang Zhou,Manman Su,Xucheng Yang,Biyun Zeng

International journal of molecular sciences 21: PubMed32650430

2020

Distal-Less Homeobox 5 Is a Therapeutic Target for Attenuating Hypertrophy and Apoptosis of Mesenchymal Progenitor Cells.

Applications

Unspecified application

Species

Unspecified reactive species

John Twomey-Kozak,Salomi Desai,Wenguang Liu,Neill Y Li,Nicholas Lemme,Qian Chen,Brett D Owens,Chathuraka T Jayasuriya

Regenerative therapy 14:245-251 PubMed32455154

2020

Msx2 plays an important role in BMP6-induced osteogenic differentiation of two mesenchymal cell lines: C3H10T1/2 and C2C12.

Applications

Unspecified application

Species

Unspecified reactive species

Chuan Cai,Jing Wang,Na Huo,Li Wen,Peng Xue,Ye Huang
View all publications

Product promise

We are committed to supporting your work with high-quality reagents, and we're here for you every step of the way. In the unlikely event that one of our products does not perform as expected, you're protected by our Product Promise.
For full details, please see our Terms & Conditions

Please note: All products are 'FOR RESEARCH USE ONLY. NOT FOR USE IN DIAGNOSTIC OR THERAPEUTIC PROCEDURES'.

For licensing inquiries, please contact partnerships@abcam.com