JavaScript is disabled in your browser. Please enable JavaScript to view this website.
AB316185

Anti-DMBT1 antibody [EPR25722-10]

  • BOND RX™ Validated
  • 20ul selling size
  • Recombinant
  • RabMAb
  • What is this?

Be the first to review this product! Submit a review

|

(0 Publication)

Rabbit Recombinant Monoclonal DMBT1 antibody. Suitable for WB, IP, IHC-P, Flow Cyt (Intra) and reacts with Recombinant fragment - Human, Human samples.

View Alternative Names

GP340, DMBT1, Scavenger receptor cysteine-rich domain-containing protein DMBT1, Deleted in malignant brain tumors 1 protein, Glycoprotein 340, Hensin, Salivary agglutinin, Surfactant pulmonary-associated D-binding protein, Gp-340, SAG

8 Images
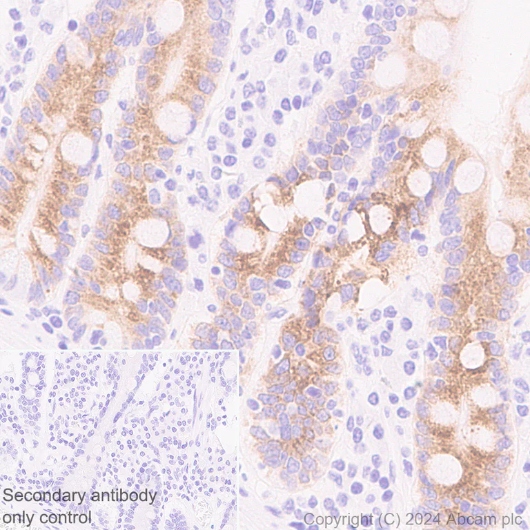
Immunohistochemistry (Formalin/PFA-fixed paraffin-embedded sections) - Anti-DMBT1 antibody [EPR25722-10] (AB316185)
  • IHC-P

Supplier Data

Immunohistochemistry (Formalin/PFA-fixed paraffin-embedded sections) - Anti-DMBT1 antibody [EPR25722-10] (AB316185)

Immunohistochemical analysis of paraffin-embedded Human ileum tissue labeling DMBT1 with ab316185 at 1/2000 (0.242 ug/ml) dilution, followed by a ready to use LeicaDS9800 (Bond™ Polymer Refine Detection).

Cytoplasmic staining of the crypts and very basal parts of human ileum (PMID : 32436776).
The section was incubated with ab316185 for 30 mins at room temperature.
The immunostaining was performed on a Leica Biosystems BOND® RX instrument.

Counterstained with Hematoxylin.

Secondary antibody only control : Secondary antibody is a ready to use LeicaDS9800 (Bond™ Polymer Refine Detection).

Heat mediated antigen retrieval was performed with Tris-EDTA buffer (pH 9.0, Epitope Retrieval Solution2) for 20 mins.

Immunohistochemistry (Formalin/PFA-fixed paraffin-embedded sections) - Anti-DMBT1 antibody [EPR25722-10] (AB316185)
  • IHC-P

Supplier Data

Immunohistochemistry (Formalin/PFA-fixed paraffin-embedded sections) - Anti-DMBT1 antibody [EPR25722-10] (AB316185)

Immunohistochemical analysis of paraffin-embedded Human duodenum tissue labeling DMBT1 with ab316185 at 1/2000 (0.242 ug/ml) dilution, followed by a ready to use LeicaDS9800 (Bond™ Polymer Refine Detection).

Cytoplasmic staining of the crypts and very basal parts of human duodenum(PMID : 32436776).
The section was incubated with ab316185 for 30 mins at room temperature.
The immunostaining was performed on a Leica Biosystems BOND® RX instrument.

Counterstained with Hematoxylin.

Secondary antibody only control : Secondary antibody is a ready to use LeicaDS9800 (Bond™ Polymer Refine Detection).

Heat mediated antigen retrieval was performed with Tris-EDTA buffer (pH 9.0, Epitope Retrieval Solution2) for 20 mins.

Flow Cytometry (Intracellular) - Anti-DMBT1 antibody [EPR25722-10] (AB316185)
  • Flow Cyt (Intra)

Supplier Data

Flow Cytometry (Intracellular) - Anti-DMBT1 antibody [EPR25722-10] (AB316185)

Flow cytometric analysis of 4% paraformaldehyde fixed 90% methanol permeabilized MCF7 (human breast adenocarcinoma epithelial cell, Left) / Capan-1 (human pancreatic adenocarcinoma epithelial cell, Right) cells labelling DMBT1 with ab316185 at 1/50 dilution (1 ug)/Red compared with a Rabbit monoclonal IgG (ab172730) (Black) isotype control.

Goat Anti-Rabbit IgG (Alexa Fluor® 488, ab150081) at 1/5000 dilution was used as the secondary antibody.

Negative control : MCF7.

Immunoprecipitation - Anti-DMBT1 antibody [EPR25722-10] (AB316185)
  • IP

Supplier Data

Immunoprecipitation - Anti-DMBT1 antibody [EPR25722-10] (AB316185)

DMBT1 was immunoprecipitated from 0.35 mg Capan-1 (human pancreas adenocarcinoma epithelial cell) whole cell lysate with ab316185 at 1/30 dilution (2ug in 0.35mg lysates). Western blot was performed on the immunoprecipitate using ab316185 at 1/1000 dilution. VeriBlot for IP secondary antibody(HRP)(ab131366) was used at 1/5000 dilution.

Blocking and diluting buffer and concentration : 5% NFDM/TBST.

All lanes:

Immunoprecipitation - Anti-DMBT1 antibody [EPR25722-10] (ab316185) at 1/1000 dilution

Lane 1:

Capan-1 (human pancreas adenocarcinoma epithelial cell) whole cell lysate

Lane 2:

ab316185 at 1/30 IP in Capan-1 (human pancreas adenocarcinoma epithelial cell) whole cell lysate

Lane 3:

Rabbit monoclonal IgG (<a href='/en-us/products/primary-antibodies/rabbit-igg-monoclonal-epr25a-isotype-control-ab172730'>ab172730</a>) instead of ab316185 in Capan-1 whole cell lysate

Secondary

All lanes:

Immunoprecipitation - VeriBlot for IP Detection Reagent (HRP) (<a href='/en-us/products/reagents/veriblot-for-ip-detection-reagent-hrp-ab131366'>ab131366</a>) at 1/5000 dilution

false

Exposure time: 41s

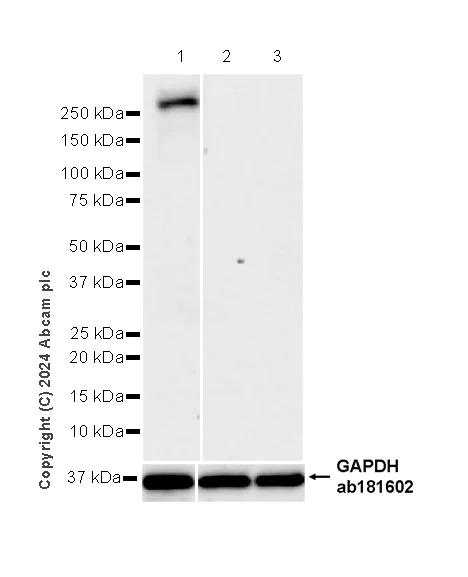
Western blot - Anti-DMBT1 antibody [EPR25722-10] (AB316185)
  • WB

Supplier Data

Western blot - Anti-DMBT1 antibody [EPR25722-10] (AB316185)

Low expression : U-937, THP-1.

The molecular weight observed is consistent with what has been described in the literature (PMID : 12015815).

In Western blot, Anti-GAPDH antibody [EPR16891] - Loading Control (ab181602) staining at 1/200000 dilution.

All lanes:

Western blot - Anti-DMBT1 antibody [EPR25722-10] (ab316185) at 1/1000 dilution

Lane 1:

SUM149PT (human breast adenocarcinoma cell) whole cell lysate at 20 µg with 5% NFDM/TBST

Lane 2:

U-937 (human histiocytic lymphoma monocyte) whole cell lysate at 20 µg with 5% NFDM/TBST

Lane 3:

THP-1 (human monocytic leukemia monocyte) whole cell lysate at 20 µg with 5% NFDM/TBST

Secondary

All lanes:

Western blot - Goat Anti-Rabbit IgG H&L (HRP) (<a href='/en-us/products/secondary-antibodies/goat-rabbit-igg-h-l-hrp-ab97051'>ab97051</a>) at 1/20000 dilution

Observed band size: 270 kDa,330 kDa,36 kDa

false

Exposure time: 70s

Western blot - Anti-DMBT1 antibody [EPR25722-10] (AB316185)
  • WB

Supplier Data

Western blot - Anti-DMBT1 antibody [EPR25722-10] (AB316185)

Nagative control : MCF7(PMID : 32436776)

The molecular weight observed is consistent with what has been described in the literature (PMID : 12015815).

Lysates were freshly made and used for Western blotting immediately to minimize protein degradation.

In Western blot, Anti-GAPDH antibody [EPR16891] - Loading Control (ab181602) staining at 1/200000 dilution.

All lanes:

Western blot - Anti-DMBT1 antibody [EPR25722-10] (ab316185) at 1/1000 dilution

Lane 1:

Capan-1 (human pancreatic adenocarcinoma epithelial cell) whole cell lysate at 20 µg with 5% NFDM/TBST

Lane 2:

MCF7 (human breast adenocarcinoma epithelial cell) whole cell lysate at 20 µg with 5% NFDM/TBST

Secondary

All lanes:

Western blot - Goat Anti-Rabbit IgG H&L (HRP) (<a href='/en-us/products/secondary-antibodies/goat-rabbit-igg-h-l-hrp-ab97051'>ab97051</a>) at 1/20000 dilution

Observed band size: 270 kDa,330 kDa,36 kDa

false

Exposure time: 70s

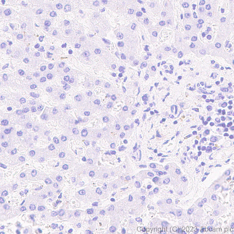
Immunohistochemistry (Formalin/PFA-fixed paraffin-embedded sections) - Anti-DMBT1 antibody [EPR25722-10] (AB316185)
  • IHC-P

Supplier Data

Immunohistochemistry (Formalin/PFA-fixed paraffin-embedded sections) - Anti-DMBT1 antibody [EPR25722-10] (AB316185)

Immunohistochemical analysis of paraffin-embedded Human liver tissue labeling DMBT1 with ab316185 at 1/2000 (0.242 ug/ml) dilution, followed by a ready to use LeicaDS9800 (Bond™ Polymer Refine Detection).

Negative control : No staining on human liver (PMID : 32436776).
The section was incubated with ab316185 for 30 mins at room temperature.
The immunostaining was performed on a Leica Biosystems BOND® RX instrument.

Counterstained with Hematoxylin.

Secondary antibody only control : Secondary antibody is a ready to use LeicaDS9800 (Bond™ Polymer Refine Detection).

Heat mediated antigen retrieval was performed with Tris-EDTA buffer (pH 9.0, Epitope Retrieval Solution2) for 20 mins.

Western blot - Anti-DMBT1 antibody [EPR25722-10] (AB316185)
  • WB

Supplier Data

Western blot - Anti-DMBT1 antibody [EPR25722-10] (AB316185)

In Western blot, Anti-6X His tag® antibody [EPR20547] - ChIP Grade (ab213204) staining at 1/5000 dilution.

All lanes:

Western blot - Anti-DMBT1 antibody [EPR25722-10] (ab316185) at 1/1000 dilution

All lanes:

His-tagged human DMBT1 recombinant protein fragment at 10 ng with 5% NFDM/TBST

Secondary

All lanes:

Western blot - Goat Anti-Rabbit IgG H&L (HRP) (<a href='/en-us/products/secondary-antibodies/goat-rabbit-igg-h-l-hrp-ab97051'>ab97051</a>) at 1/100000 dilution

Observed band size: 60 kDa

false

Exposure time: 10s

  • Carrier free

    Anti-DMBT1 antibody [EPR25722-10] - BSA and Azide free

Key facts

Host species

Rabbit

Clonality

Monoclonal

Clone number

EPR25722-10

Isotype

IgG

Carrier free

No

Reacts with

Human

Applications

Flow Cyt (Intra), IP, WB, IHC-P

applications

Immunogen

The exact immunogen used to generate this antibody is proprietary information.

Reactivity data

{ "title": "Reactivity Data", "filters": { "stats": ["", "Species", "Dilution Info", "Notes"], "tabs": { "all-applications": {"fullname" : "All Applications", "shortname": "All Applications"}, "WB" : {"fullname" : "Western blot", "shortname":"WB"}, "IP" : {"fullname" : "Immunoprecipitation", "shortname":"IP"}, "IHCP" : {"fullname" : "Immunohistochemistry (Formalin/PFA-fixed paraffin-embedded sections)", "shortname":"IHC-P"}, "FlowCytIntra" : {"fullname" : "Flow Cytometry (Intracellular)", "shortname":"Flow Cyt (Intra)"}, "ICCIF" : {"fullname" : "Immunocytochemistry/ Immunofluorescence", "shortname":"ICC/IF"} }, "product-promise": { "all": "all", "testedAndGuaranteed": "tested", "guaranteed": "expected", "predicted": "predicted", "notRecommended": "not-recommended" } }, "values": { "Human": { "WB-species-checked": "testedAndGuaranteed", "WB-species-dilution-info": "1/1000", "WB-species-notes": "<p></p>", "IP-species-checked": "testedAndGuaranteed", "IP-species-dilution-info": "1/30", "IP-species-notes": "<p></p>", "IHCP-species-checked": "testedAndGuaranteed", "IHCP-species-dilution-info": "1/2000", "IHCP-species-notes": "<p></p> Perform heat-mediated antigen retrieval with Tris/EDTA buffer pH 9.0 before commencing with IHC staining protocol.", "FlowCytIntra-species-checked": "testedAndGuaranteed", "FlowCytIntra-species-dilution-info": "1/50", "FlowCytIntra-species-notes": "<p></p>", "ICCIF-species-checked": "notRecommended", "ICCIF-species-dilution-info": "", "ICCIF-species-notes": "<p></p>" }, "Mouse": { "WB-species-checked": "notRecommended", "WB-species-dilution-info": "", "WB-species-notes": "<p></p>", "IP-species-checked": "notRecommended", "IP-species-dilution-info": "", "IP-species-notes": "", "IHCP-species-checked": "notRecommended", "IHCP-species-dilution-info": "", "IHCP-species-notes": "<p></p>", "FlowCytIntra-species-checked": "notRecommended", "FlowCytIntra-species-dilution-info": "", "FlowCytIntra-species-notes": "<p></p>", "ICCIF-species-checked": "notRecommended", "ICCIF-species-dilution-info": "", "ICCIF-species-notes": "<p></p>" }, "Rat": { "WB-species-checked": "notRecommended", "WB-species-dilution-info": "", "WB-species-notes": "<p></p>", "IP-species-checked": "notRecommended", "IP-species-dilution-info": "", "IP-species-notes": "", "IHCP-species-checked": "notRecommended", "IHCP-species-dilution-info": "", "IHCP-species-notes": "<p></p>", "FlowCytIntra-species-checked": "notRecommended", "FlowCytIntra-species-dilution-info": "", "FlowCytIntra-species-notes": "", "ICCIF-species-checked": "notRecommended", "ICCIF-species-dilution-info": "", "ICCIF-species-notes": "" }, "Recombinant fragment - Human": { "WB-species-checked": "testedAndGuaranteed", "WB-species-dilution-info": "1/1000", "WB-species-notes": "<p></p>", "IP-species-checked": "notRecommended", "IP-species-dilution-info": "", "IP-species-notes": "", "IHCP-species-checked": "notRecommended", "IHCP-species-dilution-info": "", "IHCP-species-notes": "", "FlowCytIntra-species-checked": "notRecommended", "FlowCytIntra-species-dilution-info": "", "FlowCytIntra-species-notes": "", "ICCIF-species-checked": "notRecommended", "ICCIF-species-dilution-info": "", "ICCIF-species-notes": "" } } }

Product details

Patented technology
Our RabMAb® technology is a patented hybridoma-based technology for making rabbit monoclonal antibodies. For details on our patents, please refer to RabMAb® patents.

What are the advantages of a recombinant monoclonal antibody?
This product is a recombinant monoclonal antibody, which offers several advantages including:

  • - High batch-to-batch consistency and reproducibility
  • - Improved sensitivity and specificity
  • - Long-term security of supply
  • - Animal-free batch production

For more information, read more on recombinant antibodies.

Properties and storage information

Form
Liquid
Purification technique
Affinity purification Protein A
Storage buffer
pH: 7.2 - 7.4 Preservative: 0.01% Sodium azide Constituents: PBS, 40% Glycerol (glycerin, glycerine), 0.05% BSA
Shipped at conditions
Blue Ice
Appropriate short-term storage duration
1-2 weeks
Appropriate short-term storage conditions
+4°C
Appropriate long-term storage conditions
-20°C
Aliquoting information
Upon delivery aliquot
Storage information
Avoid freeze / thaw cycle

Supplementary information

This supplementary information is collated from multiple sources and compiled automatically.

The DMBT1 protein also known as Deleted in Malignant Brain Tumors 1 plays an important role in the human immune response and tissue homeostasis. It has a molecular mass of approximately 340 kDa. The protein expresses in numerous tissues such as the respiratory tract gastrointestinal tract and reproductive organs suggesting its involvement in various physiological processes. DMBT1 expresses abundantly in epithelial cells where it is also secreted into body fluids.
Biological function summary

The DMBT1 protein acts as a pattern recognition receptor (PRR) which means it identifies and binds to pathogen-associated molecular patterns. This function helps in the elimination of pathogens and maintaining mucosal immunity. DMBT1 is not typically part of a larger stable protein complex but it interacts with other PRRs to enhance protective responses. It helps balance between immune defense and inflammation indicating its adaptive role in immunity.

Pathways

The Dmbt1 protein interacts significantly with the immune and inflammatory pathways. It is involved in the Toll-like receptor (TLR) signaling pathway which is important in recognizing microbial components and activating immune responses. Additionally DMBT1 has interactions with the NF-kB pathway which controls inflammatory reactions and immune response. Proteins involved in these pathways related to DMBT1 include TLR4 and MyD88 indicating its role in modulating immune responses.

The Dmbt1 protein is linked to cancer and inflammatory diseases. In certain cancers such as brain and lung cancer it functions as a tumor suppressor. Loss or alteration of the DMBT1 gene can result in reduced immune surveillance leading to tumor progression. It also relates to inflammatory bowel disease where altered DMBT1 expression contributes to intestinal inflammation. Proteins like TLR4 with which DMBT1 interacts are implicated in both cancer and chronic inflammatory responses highlighting their interconnected roles.

Product protocols

For this product, it's our understanding that no specific protocols are required. You can visit:

Target data

May be considered as a candidate tumor suppressor gene for brain, lung, esophageal, gastric, and colorectal cancers. May play roles in mucosal defense system, cellular immune defense and epithelial differentiation. May play a role as an opsonin receptor for SFTPD and SPAR in macrophage tissues throughout the body, including epithelial cells lining the gastrointestinal tract. May play a role in liver regeneration. May be an important factor in fate decision and differentiation of transit-amplifying ductular (oval) cells within the hepatic lineage. Required for terminal differentiation of columnar epithelial cells during early embryogenesis. May function as a binding protein in saliva for the regulation of taste sensation. Binds to HIV-1 envelope protein and has been shown to both inhibit and facilitate viral transmission. Displays a broad calcium-dependent binding spectrum against both Gram-positive and Gram-negative bacteria, suggesting a role in defense against bacterial pathogens. Binds to a range of poly-sulfated and poly-phosphorylated ligands which may explain its broad bacterial-binding specificity. Inhibits cytoinvasion of S.enterica. Associates with the actin cytoskeleton and is involved in its remodeling during regulated exocytosis. Interacts with pancreatic zymogens in a pH-dependent manner and may act as a Golgi cargo receptor in the regulated secretory pathway of the pancreatic acinar cell.
See full target information DMBT1

Product promise

We are committed to supporting your work with high-quality reagents, and we're here for you every step of the way. In the unlikely event that one of our products does not perform as expected, you're protected by our Product Promise.
For full details, please see our Terms & Conditions

Please note: All products are 'FOR RESEARCH USE ONLY. NOT FOR USE IN DIAGNOSTIC OR THERAPEUTIC PROCEDURES'.

For licensing inquiries, please contact partnerships@abcam.com