JavaScript is disabled in your browser. Please enable JavaScript to view this website.
AB166893

Anti-DMRT1 antibody [EPR6936-209]

Be the first to review this product! Submit a review

|

(2 Publications)

Rabbit Recombinant Monoclonal DMRT1 antibody. Suitable for IHC-P and reacts with Human samples. Cited in 2 publications.

View Alternative Names

DMT1, DMRT1, Doublesex- and mab-3-related transcription factor 1, DM domain expressed in testis protein 1

1 Images
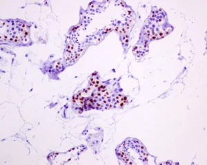
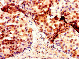
Immunohistochemistry (Formalin/PFA-fixed paraffin-embedded sections) - Anti-DMRT1 antibody [EPR6936-209] (AB166893)
  • IHC-P

Unknown

Immunohistochemistry (Formalin/PFA-fixed paraffin-embedded sections) - Anti-DMRT1 antibody [EPR6936-209] (AB166893)

Immunohistochemical analysis of paraffin embedded Human testis tissue labeling DMRT1 with ab166893 at 1/50 dilution.

Perform heat mediated antigen retrieval with citrate buffer pH 6 before commencing with IHC staining protocol.

  • Carrier free

    Anti-DMRT1 antibody [EPR6936-209] - BSA and Azide free

Key facts

Host species

Rabbit

Clonality

Monoclonal

Clone number

EPR6936-209

Isotype

IgG

Carrier free

No

Reacts with

Human

Applications

IHC-P

applications

Immunogen

The exact immunogen used to generate this antibody is proprietary information.

Reactivity data

{ "title": "Reactivity Data", "filters": { "stats": ["", "Species", "Dilution Info", "Notes"], "tabs": { "all-applications": {"fullname" : "All Applications", "shortname": "All Applications"}, "IHCP" : {"fullname" : "Immunohistochemistry (Formalin/PFA-fixed paraffin-embedded sections)", "shortname":"IHC-P"}, "IP" : {"fullname" : "Immunoprecipitation", "shortname":"IP"}, "WB" : {"fullname" : "Western blot", "shortname":"WB"} }, "product-promise": { "all": "all", "testedAndGuaranteed": "tested", "guaranteed": "expected", "predicted": "predicted", "notRecommended": "not-recommended" } }, "values": { "Human": { "IHCP-species-checked": "testedAndGuaranteed", "IHCP-species-dilution-info": "1/50 - 1/100", "IHCP-species-notes": "<p></p>", "IP-species-checked": "notRecommended", "IP-species-dilution-info": "", "IP-species-notes": "<p></p>", "WB-species-checked": "notRecommended", "WB-species-dilution-info": "", "WB-species-notes": "<p></p>" } } }

Product details

Species reactivity
Mouse, Rat: We have preliminary internal testing data to indicate this antibody may not react with these species.
Please contact us for more information.

Patented technology
Our RabMAb® technology is a patented hybridoma-based technology for making rabbit monoclonal antibodies. For details on our patents, please refer to RabMAb® patents.

What are the advantages of a recombinant monoclonal antibody?
This product is a recombinant monoclonal antibody, which offers several advantages including:

  • - High batch-to-batch consistency and reproducibility
  • - Improved sensitivity and specificity
  • - Long-term security of supply
  • - Animal-free batch production

For more information, read more on recombinant antibodies.

Properties and storage information

Form
Liquid
Purification technique
Affinity purification Protein A
Storage buffer
pH: 7.2 - 7.4 Preservative: 0.01% Sodium azide Constituents: PBS, 50% Tissue culture supernatant, 40% Glycerol (glycerin, glycerine), 0.05% BSA
Shipped at conditions
Blue Ice
Appropriate short-term storage conditions
+4°C
Appropriate long-term storage conditions
-20°C
Aliquoting information
Upon delivery aliquot
Storage information
Avoid freeze / thaw cycle

Supplementary information

This supplementary information is collated from multiple sources and compiled automatically.

The DMRT1 protein also known as Doublesex and Mab-3 related transcription factor 1 plays a mechanical role in sex determination and differentiation. This protein with an approximate mass of 40 kDa functions primarily as a transcription factor. DMRT1 is expressed in the gonads particularly in testicular tissues where it contributes to the development and maintenance of male-specific traits. The DMRT1 gene located on chromosome 9 in humans encodes this zinc finger-like DNA binding protein.
Biological function summary

The DMRT1 protein regulates the expression of other genes that are essential for male sexual development and spermatogenesis. As part of its biological role DMRT1 is an important factor in the formation of testicular structures and ensures the survival of male germ cells. The protein functions as part of complexes that interact with other transcriptional regulators to modulate gene activity. By exerting control over male-biased gene expression DMRT1 helps maintain the balance of sex-specific pathways while suppressing genes linked to female differentiation.

Pathways

The DMRT1 protein acts as a central player in the sex determination and development pathways. It is involved in the testis differentiation pathway which includes interactions with SOX9 and other transcription factors like SF1. DMRT1 also associates with pathways influencing Sertoli cell proliferation and function which are key in sustaining spermatogenesis. The engagement of DMRT1 in these pathways highlights its interconnected role with proteins that oversee reproductive development and function.

The DMRT1 protein shows connections to sex development disorders and testicular cancers. Abnormalities in DMRT1 expression or function can result in conditions like gonadal dysgenesis due to disrupted testicular differentiation. Testicular cancer also associates with altered DMRT1 activity. In these contexts mutations in DMRT1 or interacting partners like AMH have been linked with deviations from normal testicular development or tumorigenesis illustrating important clinical relevance and potential therapeutic interest.

Product protocols

For this product, it's our understanding that no specific protocols are required. You can visit:

Target data

Transcription factor that plays a key role in male sex determination and differentiation by controlling testis development and male germ cell proliferation. Plays a central role in spermatogonia by inhibiting meiosis in undifferentiated spermatogonia and promoting mitosis, leading to spermatogonial development and allowing abundant and continuous production of sperm. Acts both as a transcription repressor and activator : prevents meiosis by restricting retinoic acid (RA)-dependent transcription and repressing STRA8 expression and promotes spermatogonial development by activating spermatogonial differentiation genes, such as SOHLH1. Also plays a key role in postnatal sex maintenance by maintaining testis determination and preventing feminization : represses transcription of female promoting genes such as FOXL2 and activates male-specific genes. May act as a tumor suppressor. May also play a minor role in oogenesis (By similarity).
See full target information DMRT1

Publications (2)

Recent publications for all applications. Explore the full list and refine your search

Nature cell biology 25:1439-1452 PubMed37709822

2023

DMRT1 regulates human germline commitment.

Applications

Unspecified application

Species

Unspecified reactive species

Naoko Irie,Sun-Min Lee,Valentina Lorenzi,Haiqi Xu,Jinfeng Chen,Masato Inoue,Toshihiro Kobayashi,Carmen Sancho-Serra,Elena Drousioti,Sabine Dietmann,Roser Vento-Tormo,Chun-Xiao Song,M Azim Surani

Life science alliance 1:e201800070 PubMed30456350

2018

Proteomics and neuropathology identify ribosomes as poly-GR/PR interactors driving toxicity.

Applications

Unspecified application

Species

Unspecified reactive species

Hannelore Hartmann,Daniel Hornburg,Mareike Czuppa,Jakob Bader,Meike Michaelsen,Daniel Farny,Thomas Arzberger,Matthias Mann,Felix Meissner,Dieter Edbauer
View all publications

Product promise

We are committed to supporting your work with high-quality reagents, and we're here for you every step of the way. In the unlikely event that one of our products does not perform as expected, you're protected by our Product Promise.
For full details, please see our Terms & Conditions

Please note: All products are 'FOR RESEARCH USE ONLY. NOT FOR USE IN DIAGNOSTIC OR THERAPEUTIC PROCEDURES'.

For licensing inquiries, please contact partnerships@abcam.com