JavaScript is disabled in your browser. Please enable JavaScript to view this website.
AB238679

Anti-DMRTA1 antibody

Be the first to review this product! Submit a review

|

(2 Publications)

Rabbit Polyclonal DMRTA1 antibody. Suitable for IHC-P and reacts with Human samples. Cited in 2 publications. Immunogen corresponding to Recombinant Fragment Protein within Human DMRTA1 aa 200 to C-terminus.

View Alternative Names

DMO, DMRTA1, Doublesex- and mab-3-related transcription factor A1

1 Images
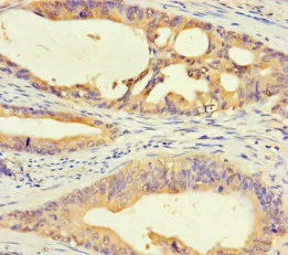
Immunohistochemistry (Formalin/PFA-fixed paraffin-embedded sections) - Anti-DMRTA1 antibody (AB238679)
  • IHC-P

Supplier Data

Immunohistochemistry (Formalin/PFA-fixed paraffin-embedded sections) - Anti-DMRTA1 antibody (AB238679)

Paraffin-embedded human colon cancer tissue stained for DMRTA1 using ab238679 at 1/100 dilution in immunohistochemical analysis.

Key facts

Host species

Rabbit

Clonality

Polyclonal

Isotype

IgG

Carrier free

No

Reacts with

Human

Applications

IHC-P

applications

Immunogen

Recombinant Fragment Protein within Human DMRTA1 aa 200 to C-terminus. The exact immunogen used to generate this antibody is proprietary information.

Q5VZB9

Reactivity data

{ "title": "Reactivity Data", "filters": { "stats": ["", "Species", "Dilution Info", "Notes"], "tabs": { "all-applications": {"fullname" : "All Applications", "shortname": "All Applications"}, "IHCP" : {"fullname" : "Immunohistochemistry (Formalin/PFA-fixed paraffin-embedded sections)", "shortname":"IHC-P"} }, "product-promise": { "all": "all", "testedAndGuaranteed": "tested", "guaranteed": "expected", "predicted": "predicted", "notRecommended": "not-recommended" } }, "values": { "Human": { "IHCP-species-checked": "testedAndGuaranteed", "IHCP-species-dilution-info": "1/20 - 1/200", "IHCP-species-notes": "<p></p>" } } }

Properties and storage information

Form
Liquid
Purification technique
Affinity purification Protein G
Purification notes
Purity >95%
Storage buffer
pH: 7.4 Preservative: 0.03% Proclin 300 Constituents: PBS, 50% Glycerol (glycerin, glycerine)
Shipped at conditions
Blue Ice
Appropriate short-term storage duration
1-2 weeks
Appropriate short-term storage conditions
+4°C
Appropriate long-term storage conditions
-20°C
Aliquoting information
Upon delivery aliquot
Storage information
Avoid freeze / thaw cycle

Supplementary information

This supplementary information is collated from multiple sources and compiled automatically.

DMRTA1 also known as Doublesex and Mab-3 related transcription factor A1 is a protein with a mass of approximately 54 kDa. This protein acts as a transcription factor and is involved in regulating gene expression. DMRTA1 is primarily expressed in the brain with high levels found in the cerebellum and frontal cortex. Researchers have also observed expression in testis and ovary tissues suggesting a role in reproductive system development.
Biological function summary

DMRTA1 influences sex determination and differentiation. It functions as part of the larger DMRT family of proteins which share a common DM domain. This domain allows DMRTA1 to bind to DNA and regulate gene transcription essential for sexual development. In mammals DMRTA1 is not typically known to form complex structures with other proteins but its role as a transcription factor indicates interaction with various cofactors during gene regulation.

Pathways

The role of DMRTA1 lies within the sexual development pathway and the broader context of embryonic development. It interacts with critical signaling proteins like SOX9 an important player in testis development and function. DMRTA1 complements the activity of WT1 another important transcription factor involved in gonadal development and differentiation further emphasizing its involvement in these pathways.

Altered DMRTA1 expression associates with disorders of sex development (DSDs) potentially leading to ambiguous genitalia or gonadal dysgenesis. Research suggests that DMRTA1 might also have connections with cancer particularly germ cell tumors due to its expression in reproductive tissues. In these contexts DMRTA1 may interact with other proteins such as GATA4 Well-characterized for its role in sex differentiation and tumorigenesis in reproductive organs.

Product protocols

For this product, it's our understanding that no specific protocols are required. You can visit:

Publications (2)

Recent publications for all applications. Explore the full list and refine your search

Nature communications 16:6347 PubMed40634286

2025

Early developmental origins of cortical disorders modeled in human neural stem cells.

Applications

Unspecified application

Species

Unspecified reactive species

Xoel Mato-Blanco,Suel-Kee Kim,Alexandre Jourdon,Shaojie Ma,Sang-Hun Choi,Alice M Giani,Miguel I Paredes,Andrew T N Tebbenkamp,Fuchen Liu,Alvaro Duque,Flora M Vaccarino,Nenad Sestan,Carlo Colantuoni,Pasko Rakic,Gabriel Santpere,Nicola Micali

Toxins 14: PubMed35050979

2021

Molecular Characterization and Functional Analysis of the Nattectin-like Toxin from the Venomous Fish .

Applications

Unspecified application

Species

Unspecified reactive species

Monica Lopes-Ferreira,Ines Sosa-Rosales,Pedro Ismael Silva Junior,Katia Conceicao,Adolfo Luis Almeida Maleski,Leticia Balan-Lima,Geonildo Rodrigo Disner,Carla Lima
View all publications

Product promise

We are committed to supporting your work with high-quality reagents, and we're here for you every step of the way. In the unlikely event that one of our products does not perform as expected, you're protected by our Product Promise.
For full details, please see our Terms & Conditions

Please note: All products are 'FOR RESEARCH USE ONLY. NOT FOR USE IN DIAGNOSTIC OR THERAPEUTIC PROCEDURES'.

For licensing inquiries, please contact partnerships@abcam.com