JavaScript is disabled in your browser. Please enable JavaScript to view this website.
AB133239

Anti-DN-7 antibody [EPR5266]

Be the first to review this product! Submit a review

|

(2 Publications)

Rabbit Recombinant Monoclonal DN-7 antibody. Suitable for IHC-P, WB and reacts with Human samples. Cited in 2 publications.

View Alternative Names

TAF9L, TAF9B, Transcription initiation factor TFIID subunit 9B, Neuronal cell death-related protein 7, Transcription initiation factor TFIID subunit 9-like, Transcription-associated factor TAFII31L, DN-7

3 Images
Immunohistochemistry (Formalin/PFA-fixed paraffin-embedded sections) - Anti-DN-7 antibody [EPR5266] (AB133239)
  • IHC-P

Unknown

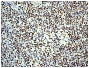
Immunohistochemistry (Formalin/PFA-fixed paraffin-embedded sections) - Anti-DN-7 antibody [EPR5266] (AB133239)

Immunohistochemical analysis of DN-7 in paraffin embedded Human cervical carcinoma tissue using ab133239 at a 1/250 dilution.

Perform heat mediated antigen retrieval with citrate buffer pH 6 before commencing with IHC staining protocol.

Immunohistochemistry (Formalin/PFA-fixed paraffin-embedded sections) - Anti-DN-7 antibody [EPR5266] (AB133239)
  • IHC-P

Unknown

Immunohistochemistry (Formalin/PFA-fixed paraffin-embedded sections) - Anti-DN-7 antibody [EPR5266] (AB133239)

Immunohistochemical analysis of DN-7 in paraffin embedded Human tonsil tissue using ab133239 at a 1/250 dilution.

Perform heat mediated antigen retrieval with citrate buffer pH 6 before commencing with IHC staining protocol.

Western blot - Anti-DN-7 antibody [EPR5266] (AB133239)
  • WB

Unknown

Western blot - Anti-DN-7 antibody [EPR5266] (AB133239)

All lanes:

Western blot - Anti-DN-7 antibody [EPR5266] (ab133239) at 1/1000 dilution

Lane 1:

293T (Human embryonic kidney epithelial cell) cell lysate at 10 µg

Lane 2:

MCF7 cell lysate at 10 µg

Lane 3:

HeLa cell lysate at 10 µg

Lane 4:

A549 cell lysate at 10 µg

Secondary

All lanes:

HRP labelled goat anti rabbit at 1/2000 dilution

Predicted band size: 28 kDa

false

Key facts

Host species

Rabbit

Clonality

Monoclonal

Clone number

EPR5266

Isotype

IgG

Carrier free

No

Reacts with

Human

Applications

IHC-P, WB

applications

Immunogen

The exact immunogen used to generate this antibody is proprietary information.

Reactivity data

{ "title": "Reactivity Data", "filters": { "stats": ["", "Species", "Dilution Info", "Notes"], "tabs": { "all-applications": {"fullname" : "All Applications", "shortname": "All Applications"}, "IHCP" : {"fullname" : "Immunohistochemistry (Formalin/PFA-fixed paraffin-embedded sections)", "shortname":"IHC-P"}, "ICCIF" : {"fullname" : "Immunocytochemistry/ Immunofluorescence", "shortname":"ICC/IF"}, "IP" : {"fullname" : "Immunoprecipitation", "shortname":"IP"}, "FlowCyt" : {"fullname" : "Flow Cytometry", "shortname":"Flow Cyt"}, "WB" : {"fullname" : "Western blot", "shortname":"WB"} }, "product-promise": { "all": "all", "testedAndGuaranteed": "tested", "guaranteed": "expected", "predicted": "predicted", "notRecommended": "not-recommended" } }, "values": { "Human": { "IHCP-species-checked": "testedAndGuaranteed", "IHCP-species-dilution-info": "1/250 - 1/500", "IHCP-species-notes": "<p></p>", "ICCIF-species-checked": "notRecommended", "ICCIF-species-dilution-info": "", "ICCIF-species-notes": "<p></p>", "IP-species-checked": "notRecommended", "IP-species-dilution-info": "", "IP-species-notes": "<p></p>", "FlowCyt-species-checked": "notRecommended", "FlowCyt-species-dilution-info": "", "FlowCyt-species-notes": "<p></p>", "WB-species-checked": "testedAndGuaranteed", "WB-species-dilution-info": "1/1000 - 1/10000", "WB-species-notes": "<p></p>" } } }

Product details

Species reactivity
Mouse, Rat: We have preliminary internal testing data to indicate this antibody may not react with these species.
Please contact us for more information.

Patented technology
Our RabMAb® technology is a patented hybridoma-based technology for making rabbit monoclonal antibodies. For details on our patents, please refer to RabMAb® patents.

What are the advantages of a recombinant monoclonal antibody?
This product is a recombinant monoclonal antibody, which offers several advantages including:

  • - High batch-to-batch consistency and reproducibility
  • - Improved sensitivity and specificity
  • - Long-term security of supply
  • - Animal-free batch production

For more information, read more on recombinant antibodies.

Properties and storage information

Form
Liquid
Purification technique
Affinity purification Protein A
Storage buffer
pH: 7.2 - 7.4 Preservative: 0.05% Sodium azide Constituents: 50% Tissue culture supernatant, 40% Glycerol (glycerin, glycerine), 9.85% Tris glycine, 0.1% BSA
Shipped at conditions
Blue Ice
Appropriate short-term storage conditions
+4°C
Appropriate long-term storage conditions
-20°C
Storage information
Stable for 12 months at -20°C

Supplementary information

This supplementary information is collated from multiple sources and compiled automatically.

DN-7 also known as Dedicated Nucleotide 7 or DNase-7 is a protein with a molecular mass of approximately 30 kDa. It plays a role in the breakdown of nucleic acids functioning efficiently in cellular environments where DNA turnover is high. DN-7 expression occurs across various tissues with notable levels in the spleen and thymus. This expression pattern reflects its involvement in the degradation of extranuclear DNA helping to maintain cellular homeostasis.
Biological function summary

DN-7 contributes to nucleic acid metabolism where it prevents the accumulation of DNA fragments. Its enzymatic activity facilitates the clearance of excess DNA critical for avoiding autoimmune reactions. DN-7 often partners with other nucleases forming transient complexes that enhance its efficacy particularly during the cell apoptosis process. These interactions highlight its importance in maintaining genomic stability.

Pathways

DN-7 integrates into the apoptosis pathway working alongside proteins such as caspases. Through regulated DNA cleavage DN-7 supports the systematic dismantling of cellular components during apoptosis. Another pathway involving DN-7 is DNA repair where it complements proteins like PARP ensuring any nonspecific DNA damage is adequately resolved to maintain genomic integrity.

DN-7 has connections to systemic lupus erythematosus (SLE) and other autoimmune conditions. Insufficient activity of DN-7 can lead to improper DNA clearance a factor contributing to autoimmune responses. Additionally abnormal DN-7 function relates to certain cancer types where its imbalance can influence tumor proliferation. In these contexts DN-7 interacts with proteins like DNase II affecting disease progression and pathology.

Product protocols

For this product, it's our understanding that no specific protocols are required. You can visit:

Target data

Essential for cell viability. TAF9 and TAF9B are involved in transcriptional activation as well as repression of distinct but overlapping sets of genes. May have a role in gene regulation associated with apoptosis. TAFs are components of the transcription factor IID (TFIID) complex, the TBP-free TAFII complex (TFTC), the PCAF histone acetylase complex and the STAGA transcription coactivator-HAT complex. TFIID or TFTC are essential for the regulation of RNA polymerase II-mediated transcription.
See full target information TAF9B

Publications (2)

Recent publications for all applications. Explore the full list and refine your search

OncoTargets and therapy 14:2917-2927 PubMed33958878

2021

Downregulation of TAF9B by miR-7-5p Inhibits the Progression of Osteosarcoma.

Applications

Unspecified application

Species

Unspecified reactive species

Wanli Gu,Peng Chen,Peng Ren,Yanhai Wang,Xiaobing Li,Mingzhi Gong

PloS one 10:e0129190 PubMed26061048

2015

p53 Represses the Oncogenic Sno-MiR-28 Derived from a SnoRNA.

Applications

Unspecified application

Species

Unspecified reactive species

Feng Yu,Cameron P Bracken,Katherine A Pillman,David M Lawrence,Gregory J Goodall,David F Callen,Paul M Neilsen
View all publications

Product promise

We are committed to supporting your work with high-quality reagents, and we're here for you every step of the way. In the unlikely event that one of our products does not perform as expected, you're protected by our Product Promise.
For full details, please see our Terms & Conditions

Please note: All products are 'FOR RESEARCH USE ONLY. NOT FOR USE IN DIAGNOSTIC OR THERAPEUTIC PROCEDURES'.

For licensing inquiries, please contact partnerships@abcam.com