JavaScript is disabled in your browser. Please enable JavaScript to view this website.
AB313375

Anti-DNA Ligase III/LIG3 antibody [EPR27265-44] - BSA and Azide free

Be the first to review this product! Submit a review

|

(0 Publication)

Rabbit Recombinant Monoclonal DNA Ligase III/LIG3 antibody. Carrier free. Suitable for Flow Cyt (Intra), IHC-P, IP, ICC/IF, WB and reacts with Human, Mouse, Rat samples.

View Alternative Names

DNA ligase 3, DNA ligase III, Polydeoxyribonucleotide synthase [ATP] 3, LIG3

11 Images
Immunocytochemistry/ Immunofluorescence - Anti-DNA Ligase III/LIG3 antibody [EPR27265-44] - BSA and Azide free (AB313375)
  • ICC/IF

Supplier Data

Immunocytochemistry/ Immunofluorescence - Anti-DNA Ligase III/LIG3 antibody [EPR27265-44] - BSA and Azide free (AB313375)

This data was developed using ab313374, the same antibody clone in a different buffer formulation. Immunofluorescent analysis of 4% Paraformaldehyde-fixed, 0.1% TritonX-100 permeabilized HeLa (human cervical adenocarcinoma epithelial cell) cells labelling DNA Ligase III/LIG3 with ab313374 at 1/100 (5.05 ug/ml) dilution, followed by ab150081 Goat Anti-Rabbit IgG H&L (Alexa Fluor® 488) preadsorbed antibody at 1/1000 2ug/ml dilution (Green). Confocal image showing nuclear and weak cytoplasmic staining in HeLa cells.Image was taken with a confocal microscope (Leica-Microsystems, TCS SP8). is observed. ab195889 Anti-alpha Tubulin mouse monoclonal antibody - Microtubule Marker (Alexa Fluor® 594) was used to counterstain tubulin at 1/200 2.5ug/ml dilution (Red). The Nuclear counterstain was DAPI (Blue). Secondary antibody only control : Secondary antibody is ab150081 Goat Anti-Rabbit IgG H&L (Alexa Fluor® 488) preadsorbed at 1/1000 2ug/ml dilution.

Flow Cytometry (Intracellular) - Anti-DNA Ligase III/LIG3 antibody [EPR27265-44] - BSA and Azide free (AB313375)
  • Flow Cyt (Intra)

Supplier Data

Flow Cytometry (Intracellular) - Anti-DNA Ligase III/LIG3 antibody [EPR27265-44] - BSA and Azide free (AB313375)

This data was developed using ab313374, the same antibody clone in a different buffer formulation. Flow cytometric analysis of 4% paraformaldehyde fixed 90% methanol permeabilized Jurkat (human T cell leukemia T lymphocyte from peripheral blood) cells labelling DNA Ligase III/LIG3 with ab313374 at 1/500 dilution (0.1 ug)/Red (Red) compared with a Rabbit monoclonal IgG (ab172730) (Black) isotype control and an unlabelled control (cells without incubation with primary antibody and secondary antibody) (Blue). A Goat Anti-Rabbit IgG (Alexa Fluor® 488, ab150081) at 1/5000 dilution was used as the secondary antibody.

Flow Cytometry (Intracellular) - Anti-DNA Ligase III/LIG3 antibody [EPR27265-44] - BSA and Azide free (AB313375)
  • Flow Cyt (Intra)

Supplier Data

Flow Cytometry (Intracellular) - Anti-DNA Ligase III/LIG3 antibody [EPR27265-44] - BSA and Azide free (AB313375)

This data was developed using ab313374, the same antibody clone in a different buffer formulation. Flow cytometric analysis of 4% paraformaldehyde fixed 90% methanol permeabilized HeLa (human cervical adenocarcinoma epithelial cell) cells labelling DNA Ligase III/LIG3 with ab313374 at 1/500 dilution (0.1 ug)/Red (Red) compared with a Rabbit monoclonal IgG (ab172730) (Black) isotype control and an unlabelled control (cells without incubation with primary antibody and secondary antibody) (Blue). A Goat Anti-Rabbit IgG (Alexa Fluor® 488, ab150081) at 1/5000 dilution was used as the secondary antibody.

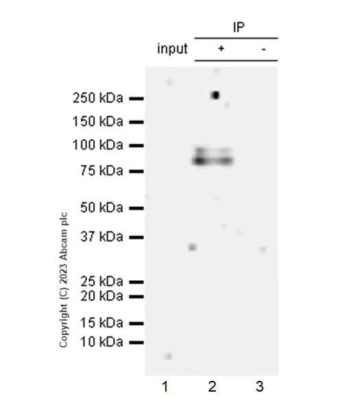
Immunoprecipitation - Anti-DNA Ligase III/LIG3 antibody [EPR27265-44] - BSA and Azide free (AB313375)
  • IP

Supplier Data

Immunoprecipitation - Anti-DNA Ligase III/LIG3 antibody [EPR27265-44] - BSA and Azide free (AB313375)

This data was developed using ab313374, the same antibody clone in a different buffer formulation. DNA Ligase III/LIG3 was immunoprecipitated from 0.35 mg HeLa (human cervical adenocarcinoma epithelial cell) whole cell lysate with ab313374 at 1/30 dilution (2ug in 0.35mg lysates). Western blot was performed on the immunoprecipitate using ab313374 at 1/1000 dilution. VeriBlot for IP secondary antibody(HRP)(ab131366) was used at 1/5000 dilution. Lane 1 : HeLa (human cervical adenocarcinoma epithelial cell) whole cell lysate Lane 2 : ab313374 IP in HeLa (human cervical adenocarcinoma epithelial cell) whole cell lysate Lane 3 : Rabbit monoclonal IgG (ab172730) instead of ab313374 in HeLa whole cell lysate Blocking and dilution buffer and concentration : 5% NFDM/TBST. Exposure time : 180 seconds

All lanes:

Immunoprecipitation - Anti-DNA Ligase III/LIG3 antibody [EPR27265-44] (<a href='/en-us/products/primary-antibodies/dna-ligase-iii-lig3-antibody-epr27265-44-ab313374'>ab313374</a>) at 1/30 dilution

All lanes:

HeLa (human cervical adenocarcinoma epithelial cell) whole cell lysate

Secondary

All lanes:

Immunoprecipitation - VeriBlot for IP Detection Reagent (HRP) (<a href='/en-us/products/reagents/veriblot-for-ip-detection-reagent-hrp-ab131366'>ab131366</a>) at 1/5000 dilution

false

Exposure time: 180s

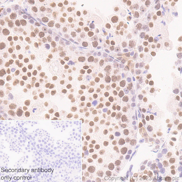
Immunohistochemistry (Formalin/PFA-fixed paraffin-embedded sections) - Anti-DNA Ligase III/LIG3 antibody [EPR27265-44] - BSA and Azide free (AB313375)
  • IHC-P

Supplier Data

Immunohistochemistry (Formalin/PFA-fixed paraffin-embedded sections) - Anti-DNA Ligase III/LIG3 antibody [EPR27265-44] - BSA and Azide free (AB313375)

This data was developed using ab313374, the same antibody clone in a different buffer formulation. Immunohistochemical analysis of paraffin-embedded Mouse testis tissue labeling DNA Ligase III/LIG3 with ab313374 at 1/2000 (0.253 ug/ml) followed by a ready to use LeicaDS9800 (Bond™ Polymer Refine Detection). Positive staining on mouse testis. The section was incubated with ab313374 for 30 mins at room temperature.The immunostaining was performed on a Leica Biosystems BOND® RX instrument Counterstained with Hematoxylin. Secondary antibody only control : Secondary antibody is a ready to use LeicaDS9800 (Bond™ Polymer Refine Detection). Heat mediated antigen retrieval was performed with Tris-EDTA buffer (pH 9.0, Epitope Retrieval Solution2) for 20 mins

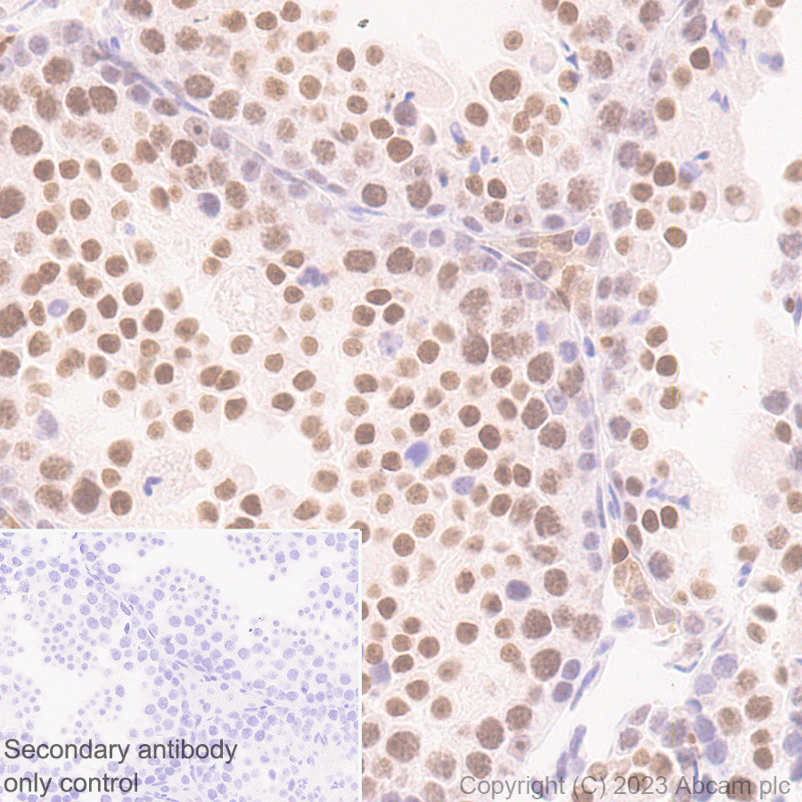
Immunohistochemistry (Formalin/PFA-fixed paraffin-embedded sections) - Anti-DNA Ligase III/LIG3 antibody [EPR27265-44] - BSA and Azide free (AB313375)
  • IHC-P

Supplier Data

Immunohistochemistry (Formalin/PFA-fixed paraffin-embedded sections) - Anti-DNA Ligase III/LIG3 antibody [EPR27265-44] - BSA and Azide free (AB313375)

This data was developed using ab313374, the same antibody clone in a different buffer formulation. Immunohistochemical analysis of paraffin-embedded Rat testis tissue labeling DNA Ligase III/LIG3 with ab313374 at 1/2000 (0.253 ug/ml) followed by a ready to use LeicaDS9800 (Bond™ Polymer Refine Detection). Positive staining on rat testis. The section was incubated with ab313374 for 30 mins at room temperature.The immunostaining was performed on a Leica Biosystems BOND® RX instrument Counterstained with Hematoxylin. Secondary antibody only control : Secondary antibody is a ready to use LeicaDS9800 (Bond™ Polymer Refine Detection). Heat mediated antigen retrieval was performed with Tris-EDTA buffer (pH 9.0, Epitope Retrieval Solution2) for 20 mins

Immunocytochemistry/ Immunofluorescence - Anti-DNA Ligase III/LIG3 antibody [EPR27265-44] - BSA and Azide free (AB313375)
  • ICC/IF

Supplier Data

Immunocytochemistry/ Immunofluorescence - Anti-DNA Ligase III/LIG3 antibody [EPR27265-44] - BSA and Azide free (AB313375)

This data was developed using ab313374, the same antibody clone in a different buffer formulation. Immunofluorescent analysis of 4% Paraformaldehyde-fixed, 0.1% TritonX-100 permeabilized NIH/3T3 (mouse embryonic fibroblast) cells labelling DNA Ligase III/LIG3 with ab313374 at 1/100 (5.05 ug/ml) dilution, followed by ab150081 Goat Anti-Rabbit IgG H&L (Alexa Fluor® 488) preadsorbed antibody at 1/1000 2ug/ml dilution (Green). Confocal image showing nuclear and weak cytoplasmic staining in NIH/3T3 cells.Image was taken with a confocal microscope (Leica-Microsystems, TCS SP8). is observed. ab195889 Anti-alpha Tubulin mouse monoclonal antibody - Microtubule Marker (Alexa Fluor® 594) was used to counterstain tubulin at 1/200 2.5ug/ml dilution (Red). The Nuclear counterstain was DAPI (Blue). Secondary antibody only control : Secondary antibody is ab150081 Goat Anti-Rabbit IgG H&L (Alexa Fluor® 488) preadsorbed at 1/1000 2ug/ml dilution.

Flow Cytometry (Intracellular) - Anti-DNA Ligase III/LIG3 antibody [EPR27265-44] - BSA and Azide free (AB313375)
  • Flow Cyt (Intra)

Supplier Data

Flow Cytometry (Intracellular) - Anti-DNA Ligase III/LIG3 antibody [EPR27265-44] - BSA and Azide free (AB313375)

This data was developed using ab313374, the same antibody clone in a different buffer formulation. Flow cytometric analysis of 4% paraformaldehyde fixed 90% methanol permeabilized NIH/3T3 (mouse embryonic fibroblast) cells labelling DNA Ligase III/LIG3 with ab313374 at 1/500 dilution (0.1 ug)/Red (Red) compared with a Rabbit monoclonal IgG (ab172730) (Black) isotype control and an unlabelled control (cells without incubation with primary antibody and secondary antibody) (Blue). A Goat Anti-Rabbit IgG (Alexa Fluor® 488, ab150081) at 1/5000 dilution was used as the secondary antibody.

Western blot - Anti-DNA Ligase III/LIG3 antibody [EPR27265-44] - BSA and Azide free (AB313375)
  • WB

Supplier Data

Western blot - Anti-DNA Ligase III/LIG3 antibody [EPR27265-44] - BSA and Azide free (AB313375)

Blocking and diluting buffer and concentration : 5% NFDM/TBST.

Low expression : pancreas (PMID : 7760816).

In Western blot, anti-GAPDH antibody (ab181602) loading control staining at 1/200000 dilution.

All lanes:

Western blot - Anti-DNA Ligase III/LIG3 antibody [EPR27265-44] (<a href='/en-us/products/primary-antibodies/dna-ligase-iii-lig3-antibody-epr27265-44-ab313374'>ab313374</a>) at 1/1000 dilution

Lane 1:

Human testis tissue lysate at 20 µg

Lane 2:

Human pancreas tissue lysate at 20 µg

Lane 3:

HepG2 non-nuclear fraction at 20 µg

Lane 4:

HepG2 nuclear fraction at 20 µg

Lane 5:

Jurkat (human t cell leukemia t lymphocyte from peripheral blood) whole cell lysate at 20 µg

Secondary

Lanes 1 - 2:

Goat Anti-Rabbit IgG (HRP) with minimal cross-reactivity with human IgG at 1/2000 dilution

Lanes 3 - 5:

Western blot - Goat Anti-Rabbit IgG H&L (HRP) (<a href='/en-us/products/secondary-antibodies/goat-rabbit-igg-h-l-hrp-ab97051'>ab97051</a>) at 1/20000 dilution

Observed band size: 102 kDa,95 kDa

false

Exposure time: 180s

Western blot - Anti-DNA Ligase III/LIG3 antibody [EPR27265-44] - BSA and Azide free (AB313375)
  • WB

Supplier Data

Western blot - Anti-DNA Ligase III/LIG3 antibody [EPR27265-44] - BSA and Azide free (AB313375)

This data was developed using ab313374, the same antibody clone in a different buffer formulation. Blocking and diluting buffer and concentration : 5% NFDM/TBST Exposure time : 26 seconds

All lanes:

Western blot - Anti-DNA Ligase III/LIG3 antibody [EPR27265-44] (<a href='/en-us/products/primary-antibodies/dna-ligase-iii-lig3-antibody-epr27265-44-ab313374'>ab313374</a>) at 1/1000 dilution

Lane 1:

PC-12 (rat adrenal gland pheochromocytoma cell) whole cell lysate at 20 µg

Lane 2:

Rat testis tissue lysate at 20 µg

Secondary

All lanes:

Western blot - Goat Anti-Rabbit IgG H&L (HRP) (<a href='/en-us/products/secondary-antibodies/goat-rabbit-igg-h-l-hrp-ab97051'>ab97051</a>) at 1/20000 dilution

Observed band size: 102 kDa

false

Exposure time: 26s

Western blot - Anti-DNA Ligase III/LIG3 antibody [EPR27265-44] - BSA and Azide free (AB313375)
  • WB

Supplier Data

Western blot - Anti-DNA Ligase III/LIG3 antibody [EPR27265-44] - BSA and Azide free (AB313375)

This data was developed using ab313374, the same antibody clone in a different buffer formulation.

Blocking and diluting buffer and concentration : 5% NFDM/TBST.

Low expression : spleen, pancreas (PMID : 7760816).

Exposure time : Lanes 1-3 : 37 seconds; Lanes 4-8 : 59 seconds.

In Western blot, anti-GAPDH antibody (ab181602) loading control staining at 1/200, 000 dilution.

All lanes:

Western blot - Anti-DNA Ligase III/LIG3 antibody [EPR27265-44] (<a href='/en-us/products/primary-antibodies/dna-ligase-iii-lig3-antibody-epr27265-44-ab313374'>ab313374</a>) at 1/1000 dilution

Lane 1:

Rat thymus tissue lysate at 20 µg

Lane 2:

Rat spleen tissue lysate at 20 µg

Lane 3:

Rat pancreas tissue lysate at 20 µg

Lane 4:

NIH/3T3 (mouse embryonic fibroblast) whole cell lysate at 20 µg

Lane 5:

Mouse testis tissue lysate at 20 µg

Lane 6:

Mouse thymus tissue lysate at 20 µg

Lane 7:

Mouse spleen tissue lysate at 20 µg

Lane 8:

Mouse pancreas tissue lysate at 20 µg

Secondary

All lanes:

Western blot - Goat Anti-Rabbit IgG H&L (HRP) (<a href='/en-us/products/secondary-antibodies/goat-rabbit-igg-h-l-hrp-ab97051'>ab97051</a>) at 1/20000 dilution

Observed band size: 102 kDa,95 kDa

false

Key facts

Host species

Rabbit

Clonality

Monoclonal

Clone number

EPR27265-44

Isotype

IgG

Carrier free

Yes

Reacts with

Human, Mouse, Rat

Applications

WB, ICC/IF, IHC-P, Flow Cyt (Intra), IP

applications

Immunogen

The exact immunogen used to generate this antibody is proprietary information.

Specificity

Unsuitable for human IHC-P, and rat ICC and FC-Intra.

Reactivity data

{ "title": "Reactivity Data", "filters": { "stats": ["", "Species", "Dilution Info", "Notes"], "tabs": { "all-applications": {"fullname" : "All Applications", "shortname": "All Applications"}, "FlowCytIntra" : {"fullname" : "Flow Cytometry (Intracellular)", "shortname":"Flow Cyt (Intra)"}, "IHCP" : {"fullname" : "Immunohistochemistry (Formalin/PFA-fixed paraffin-embedded sections)", "shortname":"IHC-P"}, "IP" : {"fullname" : "Immunoprecipitation", "shortname":"IP"}, "ICCIF" : {"fullname" : "Immunocytochemistry/ Immunofluorescence", "shortname":"ICC/IF"}, "WB" : {"fullname" : "Western blot", "shortname":"WB"} }, "product-promise": { "all": "all", "testedAndGuaranteed": "tested", "guaranteed": "expected", "predicted": "predicted", "notRecommended": "not-recommended" } }, "values": { "Human": { "FlowCytIntra-species-checked": "testedAndGuaranteed", "FlowCytIntra-species-dilution-info": "", "FlowCytIntra-species-notes": "<p></p>", "IHCP-species-checked": "notRecommended", "IHCP-species-dilution-info": "", "IHCP-species-notes": "<p></p>", "IP-species-checked": "testedAndGuaranteed", "IP-species-dilution-info": "", "IP-species-notes": "<p></p>", "ICCIF-species-checked": "testedAndGuaranteed", "ICCIF-species-dilution-info": "", "ICCIF-species-notes": "<p></p>", "WB-species-checked": "testedAndGuaranteed", "WB-species-dilution-info": "", "WB-species-notes": "<p></p>" }, "Mouse": { "FlowCytIntra-species-checked": "testedAndGuaranteed", "FlowCytIntra-species-dilution-info": "", "FlowCytIntra-species-notes": "<p></p>", "IHCP-species-checked": "testedAndGuaranteed", "IHCP-species-dilution-info": "", "IHCP-species-notes": "<p></p>", "IP-species-checked": "guaranteed", "IP-species-dilution-info": "", "IP-species-notes": "", "ICCIF-species-checked": "testedAndGuaranteed", "ICCIF-species-dilution-info": "", "ICCIF-species-notes": "<p></p>", "WB-species-checked": "testedAndGuaranteed", "WB-species-dilution-info": "", "WB-species-notes": "<p></p>" }, "Rat": { "FlowCytIntra-species-checked": "notRecommended", "FlowCytIntra-species-dilution-info": "", "FlowCytIntra-species-notes": "<p></p>", "IHCP-species-checked": "testedAndGuaranteed", "IHCP-species-dilution-info": "", "IHCP-species-notes": "<p></p>", "IP-species-checked": "guaranteed", "IP-species-dilution-info": "", "IP-species-notes": "", "ICCIF-species-checked": "notRecommended", "ICCIF-species-dilution-info": "", "ICCIF-species-notes": "<p></p>", "WB-species-checked": "testedAndGuaranteed", "WB-species-dilution-info": "", "WB-species-notes": "<p></p>" } } }

Product details

Patented technology
Our RabMAb® technology is a patented hybridoma-based technology for making rabbit monoclonal antibodies. For details on our patents, please refer to RabMAb® patents.

What are the advantages of a recombinant monoclonal antibody?
This product is a recombinant monoclonal antibody, which offers several advantages including:

  • - High batch-to-batch consistency and reproducibility
  • - Improved sensitivity and specificity
  • - Long-term security of supply
  • - Animal-free batch production

For more information, read more on recombinant antibodies.

Conjugation ready
Our carrier-free antibodies are typically supplied in a PBS-only formulation, purified and free of BSA, sodium azide and glycerol. This conjugation-ready format is designed for use with fluorochromes, metal isotopes, oligonucleotides, and enzymes, which makes them ideal for antibody labelling, functional and cell-based assays, flow-based assays (e.g. mass cytometry) and Multiplex Imaging applications.

Use our conjugation kits for antibody conjugates that are ready-to-use in as little as 20 minutes with 1 minute hands-on-time and 100% antibody recovery: available for fluorescent dyes, HRP, biotin and gold.

Compatibility
This product is compatible with the Maxpar® Antibody Labeling Kit from Fluidigm, without the need for antibody preparation. Maxpar® is a trademark of Fluidigm Canada Inc.

Properties and storage information

Form
Liquid
Purification technique
Affinity purification Protein A
Storage buffer
pH: 7.2 - 7.4 Constituents: PBS
Shipped at conditions
Blue Ice
Appropriate short-term storage conditions
+4°C
Appropriate long-term storage conditions
+4°C

Supplementary information

This supplementary information is collated from multiple sources and compiled automatically.

DNA Ligase III also known as LIG3 or Lig 3 is an enzyme that plays a central role in DNA repair by catalyzing the joining of DNA strands. Mechanically it facilitates the ligation step in the DNA repair process sealing nicks in the DNA backbone. This ligase has a sizing mass of approximately 103 kDa. It is expressed widely in human cells with a high concentration in tissues with active DNA repair needs such as testes and ovaries. Ligase acts in various subcellular locations including the nucleus and mitochondria with distinct isoforms functioning in these compartments.
Biological function summary

DNA Ligase III is significant in maintaining genomic stability. It often operates as part of multi-protein complexes interacting especially with XRCC1 during base excision repair (BER). It ensures the continuity of DNA strands after damage-induced breaks are processed. LIG3 also has a pivotal function in the mitochondria where it is involved in repair and replication of mitochondrial DNA therefore preserving mitochondrial genome integrity.

Pathways

DNA Ligase III is an integral part of the DNA repair pathways particularly the base excision repair (BER) and single-strand break repair (SSBR) pathways. In the BER pathway LIG3 collaborates closely with other proteins like XRCC1 to mend damaged DNA by filling in missing nucleotides and sealing nicks. It also plays a role in non-homologous end joining (NHEJ) though this is more dominantly accomplished by DNA Ligase IV. These pathways are important for correcting oxidative damage and abasic sites that can disrupt the DNA structure.

DNA Ligase III has associations with certain syndromes and cancers. Mutations or malfunctions in this enzyme can lead to ataxia-telangiectasia-like disorder owing to impaired DNA repair processes. Additionally LIG3 expression is often evaluated in the context of cancerous cells where aberrant repair processes could promote tumor progression. A connection with XRCC1 another key player in the repair machinery is critical as XRCC1 mutations may magnify the impact of LIG3 deficiencies contributing to disease pathology.

Product protocols

For this product, it's our understanding that no specific protocols are required. You can visit:

Target data

Isoform 3 functions as a heterodimer with DNA-repair protein XRCC1 in the nucleus and can correct defective DNA strand-break repair and sister chromatid exchange following treatment with ionizing radiation and alkylating agents. Isoform 1 is targeted to mitochondria, where it functions as a DNA ligase in mitochondrial base-excision DNA repair (PubMed : 10207110, PubMed : 24674627).
See full target information LIG3

Product promise

We are committed to supporting your work with high-quality reagents, and we're here for you every step of the way. In the unlikely event that one of our products does not perform as expected, you're protected by our Product Promise.
For full details, please see our Terms & Conditions

Please note: All products are 'FOR RESEARCH USE ONLY. NOT FOR USE IN DIAGNOSTIC OR THERAPEUTIC PROCEDURES'.

For licensing inquiries, please contact partnerships@abcam.com