JavaScript is disabled in your browser. Please enable JavaScript to view this website.
AB232658

Anti-DNA Ligase IV/LIG4 antibody [EPR16531] - BSA and Azide free

Be the first to review this product! Submit a review

|

(1 Publication)

Rabbit Recombinant Monoclonal DNA Ligase IV/LIG4 antibody. Carrier free. Suitable for WB, ICC/IF, IHC-P and reacts with Human samples. Cited in 1 publication.

View Alternative Names

DNA ligase 4, DNA ligase IV, Polydeoxyribonucleotide synthase [ATP] 4, LIG4

4 Images
Immunohistochemistry (Formalin/PFA-fixed paraffin-embedded sections) - Anti-DNA Ligase IV/LIG4 antibody [EPR16531] - BSA and Azide free (AB232658)
  • IHC-P

Supplier Data

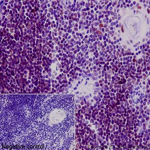
Immunohistochemistry (Formalin/PFA-fixed paraffin-embedded sections) - Anti-DNA Ligase IV/LIG4 antibody [EPR16531] - BSA and Azide free (AB232658)

Immunohistochemical analysis of paraffin embedded Human thymus tissue sections labeling DNA Ligase IV/LIG4 using ab193353 at a 1/50 dilution. A ready to use HRP Polymer for Rabbit IgG was used as the secondary. Hematoxylin counterstain.

This data was developed using the same antibody clone in a different buffer formulation containing PBS, BSA, glycerol, and sodium azide (ab193353).

Perform heat mediated antigen retrieval with Tris/EDTA buffer pH 9.0 before commencing with IHC staining protocol.

Immunocytochemistry/ Immunofluorescence - Anti-DNA Ligase IV/LIG4 antibody [EPR16531] - BSA and Azide free (AB232658)
  • ICC/IF

Lab

Immunocytochemistry/ Immunofluorescence - Anti-DNA Ligase IV/LIG4 antibody [EPR16531] - BSA and Azide free (AB232658)

ab193353 staining DNA Ligase IV/LIG4 in wild-type HAP1 cells (top panel) and LIG4 knockout HAP1 cells (bottom panel). The cells were fixed with 4% formaldehyde (10min), permeabilized with 0.1% Triton X-100 for 5 minutes and then blocked with 1% BSA/10% normal goat serum/0.3M glycine in 0.1% PBS-Tween for 1h. The cells were then incubated with ab193353 at 5μg/ml dilution and ab195889 at 1/250 dilution (shown in pseudo colour red) overnight at +4°C, followed by a further incubation at room temperature for 1h with a goat secondary antibody to Rabbit IgG (Alexa Fluor® 488) (ab150081) at 2 μg/ml (shown in green). Nuclear DNA was labelled in blue with DAPI.

This data was developed using the same antibody clone in a different buffer formulation containing PBS, BSA, glycerol, and sodium azide (ab193353).

Immunocytochemistry/ Immunofluorescence - Anti-DNA Ligase IV/LIG4 antibody [EPR16531] - BSA and Azide free (AB232658)
  • ICC/IF

Supplier Data

Immunocytochemistry/ Immunofluorescence - Anti-DNA Ligase IV/LIG4 antibody [EPR16531] - BSA and Azide free (AB232658)

Immunofluorescent analysis of 4% paraformaldehyde fixed SH-SY5Y cells labeling DNA Ligase IV/LIG4 using ab193353 at a 1/50 dilution. A Goat anti rabbit IgG (Alexa Fluor®488) (ab150077) was used as the secondary at a 1/400 dilution. Counterstain DAPI. Cells were permeabilized using 0.1% Triton X-100.

This data was developed using the same antibody clone in a different buffer formulation containing PBS, BSA, glycerol, and sodium azide (ab193353).

Western blot - Anti-DNA Ligase IV/LIG4 antibody [EPR16531] - BSA and Azide free (AB232658)
  • WB

Supplier Data

Western blot - Anti-DNA Ligase IV/LIG4 antibody [EPR16531] - BSA and Azide free (AB232658)

Lane 1 : Wild-type HAP1 cell lysate (20 μg)
Lane 2 : DNA Ligase IV/LIG4 knockout HAP1 cell lysate (20 μg)
Lane 3 : HepG2 cell lysate (20 μg)
Lane 4 : HeLa cell lysate (20 μg)
Lanes 1 - 4 : Merged signal (red and green). Green - ab193353 observed at 103 kDa. Red - loading control, ab8245, observed at 37 kDa.

ab193353 was shown to specifically react with DNA Ligase IV/LIG4 when DNA Ligase IV/LIG4 knockout samples were used. Wild-type and DNA Ligase IV/LIG4 knockout samples were subjected to SDS-PAGE. ab193353 and ab8245 (loading control to GAPDH) were diluted 1/1000 and 1/2000 respectively and incubated overnight at 4°C. Blots were developed with Goat anti-Rabbit IgG H&L (IRDye® 800CW) preadsorbed (ab216773) and Goat anti-Mouse IgG H&L (IRDye® 680RD) preadsorbed (ab216776) secondary antibodies at 1/10 000 dilution for 1 h at room temperature before imaging.

This data was developed using the same antibody clone in a different buffer formulation containing PBS, BSA, glycerol, and sodium azide (ab193353).

All lanes:

Western blot - Anti-DNA Ligase IV/LIG4 antibody [EPR16531] - BSA and Azide free (ab232658)

Predicted band size: 103 kDa

false

Key facts

Host species

Rabbit

Clonality

Monoclonal

Clone number

EPR16531

Isotype

IgG

Carrier free

Yes

Reacts with

Human

Applications

IHC-P, ICC/IF, WB

applications

Immunogen

The exact immunogen used to generate this antibody is proprietary information.

Reactivity data

{ "title": "Reactivity Data", "filters": { "stats": ["", "Species", "Dilution Info", "Notes"], "tabs": { "all-applications": {"fullname" : "All Applications", "shortname": "All Applications"}, "WB" : {"fullname" : "Western blot", "shortname":"WB"}, "ICCIF" : {"fullname" : "Immunocytochemistry/ Immunofluorescence", "shortname":"ICC/IF"}, "IHCP" : {"fullname" : "Immunohistochemistry (Formalin/PFA-fixed paraffin-embedded sections)", "shortname":"IHC-P"} }, "product-promise": { "all": "all", "testedAndGuaranteed": "tested", "guaranteed": "expected", "predicted": "predicted", "notRecommended": "not-recommended" } }, "values": { "Human": { "WB-species-checked": "testedAndGuaranteed", "WB-species-dilution-info": "", "WB-species-notes": "<p></p>", "ICCIF-species-checked": "testedAndGuaranteed", "ICCIF-species-dilution-info": "", "ICCIF-species-notes": "<p></p>", "IHCP-species-checked": "testedAndGuaranteed", "IHCP-species-dilution-info": "", "IHCP-species-notes": "<p></p>" } } }

Product details

ab232658 is the carrier-free version of ab193353.

Patented technology
Our RabMAb® technology is a patented hybridoma-based technology for making rabbit monoclonal antibodies. For details on our patents, please refer to RabMAb® patents.

What are the advantages of a recombinant monoclonal antibody?
This product is a recombinant monoclonal antibody, which offers several advantages including:

  • - High batch-to-batch consistency and reproducibility
  • - Improved sensitivity and specificity
  • - Long-term security of supply
  • - Animal-free batch production

For more information, read more on recombinant antibodies.

Conjugation ready
Our carrier-free antibodies are typically supplied in a PBS-only formulation, purified and free of BSA, sodium azide and glycerol. This conjugation-ready format is designed for use with fluorochromes, metal isotopes, oligonucleotides, and enzymes, which makes them ideal for antibody labelling, functional and cell-based assays, flow-based assays (e.g. mass cytometry) and Multiplex Imaging applications.

Use our conjugation kits for antibody conjugates that are ready-to-use in as little as 20 minutes with 1 minute hands-on-time and 100% antibody recovery: available for fluorescent dyes, HRP, biotin and gold.

Compatibility
This product is compatible with the Maxpar® Antibody Labeling Kit from Fluidigm, without the need for antibody preparation. Maxpar® is a trademark of Fluidigm Canada Inc.

Properties and storage information

Form
Liquid
Purification technique
Affinity purification Protein A
Storage buffer
pH: 7.2 - 7.4 Constituents: PBS
Shipped at conditions
Blue Ice
Appropriate short-term storage conditions
+4°C
Appropriate long-term storage conditions
+4°C
Storage information
Do Not Freeze

Supplementary information

This supplementary information is collated from multiple sources and compiled automatically.

DNA Ligase IV also known as LIG4 or DNA Ligase 4 is an enzyme with a molecular mass of approximately 103 kDa. It is known to play a vital role in the DNA repair process by catalyzing the final step of DNA double-strand breaks where it joins two DNA strands in a phosphodiester bond. DNA Ligase IV is widely expressed in human tissues and its activity is key in the non-homologous end joining (NHEJ) pathway which repairs double-strand breaks in DNA. This protein forms a multi-protein complex with its cofactor XRCC4 and sometimes with other accessory proteins for efficient functioning.
Biological function summary

The significance of DNA Ligase IV in maintaining genomic stability makes it essential for proper cellular functions. DNA Ligase IV is a part of the NHEJ repair complex and works in close association with proteins such as XRCC4 and XLF-Cernunnos which stabilize the complex. It orchestrates the repair of DNA damage that could otherwise lead to mutations or chromosomal translocations. Furthermore LIG4 is involved in V(D)J recombination a process critical for immune system development by creating diversity in immunoglobulins and T cell receptors.

Pathways

DNA Ligase IV plays a significant role in the NHEJ pathway which is one of the two main pathways for repairing DNA double-strand breaks. This pathway provides a rapid and essential means of maintaining DNA integrity. DNA-PKcs a kinase activates the NHEJ pathway and works closely with LIG4. Additionally LIG4 takes part in V(D)J recombination orchestrating the proper joining of DNA segments important for developing a functional immune system. The protein Ku is also essential in these pathways acting as a scaffold for the entire repair machinery.

Defects or mutations in DNA Ligase IV can lead to severe health issues such as LIG4 syndrome a condition characterized by immunodeficiency and developmental delay and increased radiation sensitivity. Another disorder associated is leukemia as faulty NHEJ can result in chromosomal translocations leading to cancer. The interaction with XRCC4 is necessary for its DNA repair tasks and mutations affecting this interaction can exacerbate the disorder's severity. Understanding the role of DNA Ligase IV in these contexts provides insight into potential therapeutic targets for managing such conditions.

Product protocols

For this product, it's our understanding that no specific protocols are required. You can visit:

Target data

DNA ligase involved in DNA non-homologous end joining (NHEJ); required for double-strand break (DSB) repair and V(D)J recombination (PubMed : 12517771, PubMed : 17290226, PubMed : 23523427, PubMed : 29980672, PubMed : 33586762, PubMed : 8798671, PubMed : 9242410, PubMed : 9809069). Catalyzes the NHEJ ligation step of the broken DNA during DSB repair by resealing the DNA breaks after the gap filling is completed (PubMed : 12517771, PubMed : 17290226, PubMed : 9242410, PubMed : 9809069). Joins single-strand breaks in a double-stranded polydeoxynucleotide in an ATP-dependent reaction (PubMed : 12517771, PubMed : 17290226, PubMed : 9242410, PubMed : 9809069). LIG4 is mechanistically flexible : it can ligate nicks as well as compatible DNA overhangs alone, while in the presence of XRCC4, it can ligate ends with 2-nucleotides (nt) microhomology and 1-nt gaps (PubMed : 17290226). Forms a subcomplex with XRCC4; the LIG4-XRCC4 subcomplex is responsible for the NHEJ ligation step and XRCC4 enhances the joining activity of LIG4 (PubMed : 9242410, PubMed : 9809069). Binding of the LIG4-XRCC4 complex to DNA ends is dependent on the assembly of the DNA-dependent protein kinase complex DNA-PK to these DNA ends (PubMed : 10854421). LIG4 regulates nuclear localization of XRCC4 (PubMed : 24984242).
See full target information LIG4

Publications (1)

Recent publications for all applications. Explore the full list and refine your search

Cells 13: PubMed39273021

2024

Cell-Sonar, a Novel Method for Intracellular Tracking of Secretory Pathways.

Applications

Unspecified application

Species

Unspecified reactive species

Sabrina Brockmöller,Thomas Seeger,Franz Worek,Simone Rothmiller
View all publications

Product promise

We are committed to supporting your work with high-quality reagents, and we're here for you every step of the way. In the unlikely event that one of our products does not perform as expected, you're protected by our Product Promise.
For full details, please see our Terms & Conditions

Please note: All products are 'FOR RESEARCH USE ONLY. NOT FOR USE IN DIAGNOSTIC OR THERAPEUTIC PROCEDURES'.

For licensing inquiries, please contact partnerships@abcam.com