JavaScript is disabled in your browser. Please enable JavaScript to view this website.
AB203091

Anti-DNA Polymerase epsilon p59 antibody

Be the first to review this product! Submit a review

|

(1 Publication)

Rabbit Polyclonal DNA Polymerase epsilon p59 antibody. Suitable for IHC-P and reacts with Mouse, Rat samples. Cited in 1 publication. Immunogen corresponding to Synthetic Peptide within Human POLE2 aa 100-200 conjugated to Keyhole Limpet Haemocyanin.

View Alternative Names

DPE2, POLE2, DNA polymerase epsilon subunit 2, DNA polymerase II subunit 2, DNA polymerase epsilon subunit B

2 Images
Immunohistochemistry (Formalin/PFA-fixed paraffin-embedded sections) - Anti-DNA Polymerase epsilon p59 antibody (AB203091)
  • IHC-P

Supplier Data

Immunohistochemistry (Formalin/PFA-fixed paraffin-embedded sections) - Anti-DNA Polymerase epsilon p59 antibody (AB203091)

Immunohistochemical analysis of formalin-fixed, paraffin-embedded Rat brain tissue labeling DNA Polymerase epsilon p59 with ab203091 at 1/200 dilution, followed by conjugation to the secondary antibody and DAB staining.

Immunohistochemistry (Formalin/PFA-fixed paraffin-embedded sections) - Anti-DNA Polymerase epsilon p59 antibody (AB203091)
  • IHC-P

Supplier Data

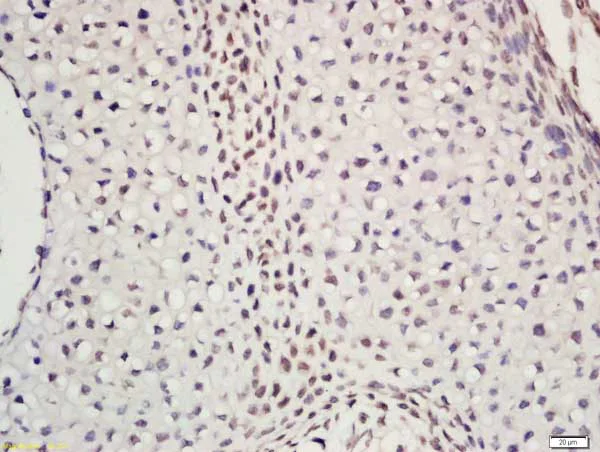
Immunohistochemistry (Formalin/PFA-fixed paraffin-embedded sections) - Anti-DNA Polymerase epsilon p59 antibody (AB203091)

Immunohistochemical analysis of formalin-fixed, paraffin-embedded Mouse embryo tissue labeling DNA Polymerase epsilon p59 with ab203091 at 1/200 dilution, followed by conjugation to the secondary antibody and DAB staining

Key facts

Host species

Rabbit

Clonality

Polyclonal

Isotype

IgG

Carrier free

No

Reacts with

Mouse, Rat

Applications

IHC-P

applications

Immunogen

Synthetic Peptide within Human POLE2 aa 100-200 conjugated to Keyhole Limpet Haemocyanin. The exact immunogen used to generate this antibody is proprietary information.

P56282

Reactivity data

{ "title": "Reactivity Data", "filters": { "stats": ["", "Species", "Dilution Info", "Notes"], "tabs": { "all-applications": {"fullname" : "All Applications", "shortname": "All Applications"}, "IHCP" : {"fullname" : "Immunohistochemistry (Formalin/PFA-fixed paraffin-embedded sections)", "shortname":"IHC-P"} }, "product-promise": { "all": "all", "testedAndGuaranteed": "tested", "guaranteed": "expected", "predicted": "predicted", "notRecommended": "not-recommended" } }, "values": { "Mouse": { "IHCP-species-checked": "testedAndGuaranteed", "IHCP-species-dilution-info": "1/100 - 1/500", "IHCP-species-notes": "<p>(or 1/50 - 1/200 using a fluorescent secondary antibody).</p>" }, "Rat": { "IHCP-species-checked": "testedAndGuaranteed", "IHCP-species-dilution-info": "1/100 - 1/500", "IHCP-species-notes": "<p>(or 1/50 - 1/200 using a fluorescent secondary antibody).</p>" } } }

Properties and storage information

Form
Liquid
Purification technique
Affinity purification Protein A
Storage buffer
pH: 7.4 Preservative: 0.02% Proclin 300 Constituents: 50% Glycerol (glycerin, glycerine), 48.98% TBS, 1X, 1% BSA
Shipped at conditions
Blue Ice
Appropriate short-term storage duration
1-2 weeks
Appropriate short-term storage conditions
+4°C
Appropriate long-term storage conditions
-20°C
Aliquoting information
Upon delivery aliquot
Storage information
Avoid freeze / thaw cycle

Supplementary information

This supplementary information is collated from multiple sources and compiled automatically.

DNA Polymerase epsilon p59 also known as Pol epsilon is an important subunit of DNA polymerase epsilon complex. It has a mass around 59 kDa. This protein exists mainly in the nucleus of eukaryotic cells where it plays a role in DNA replication and repair. The presence of DNA Polymerase epsilon p59 is highly conserved across different species which supports its significant mechanical functions in maintaining the integrity of genetic material during cell division.
Biological function summary

The involvement of this subunit spans several important cellular processes. DNA Polymerase epsilon p59 partakes in the assembly of the DNA polymerase epsilon complex which consists of multiple subunits combining to form a holoenzyme. This complex is essential for synthesizing the leading DNA strand during replication. Additionally DNA Polymerase epsilon contributes critically to the proofreading capabilities that ensure fidelity of DNA synthesis preventing mutations that may arise during replication.

Pathways

The DNA synthesis and repair mechanisms prominently feature DNA Polymerase epsilon p59. It integrates into the cell cycle replication pathway where it is vital for the S phase DNA synthesis. Additionally it functions in the DNA damage response pathway collaborating with other polymerases such as DNA Polymerase delta. This cooperation helps adapt cellular mechanisms to maintain genomic stability especially during cell stress conditions that compromise DNA integrity.

DNA Polymerase epsilon p59 shows associations with certain cancers such as colorectal cancer where mutations in its coding genes can lead to replication errors and tumorigenesis. Furthermore defects in DNA Polymerase epsilon p59 can contribute to DNA polymerase syndrome characterized by genomic instability and increased cancer risk. The protein has interactions with other checks and balances proteins like the tumor suppressor p53 linking it to pathways often dysregulated in oncogenic processes.

Product protocols

For this product, it's our understanding that no specific protocols are required. You can visit:

Target data

Accessory component of the DNA polymerase epsilon complex (PubMed : 10801849). Participates in DNA repair and in chromosomal DNA replication (By similarity).
See full target information POLE2

Publications (1)

Recent publications for all applications. Explore the full list and refine your search

Frontiers in immunology 14:1128244 PubMed37818357

2023

PLEKHA4 is a novel prognostic biomarker that reshapes the tumor microenvironment in lower-grade glioma.

Applications

Unspecified application

Species

Unspecified reactive species

Wenqian Zhi,Ye Wang,Chenyu Jiang,Yuqin Gong,Qiuyan Chen,Xiang Mao,Wensheng Deng,Shasha Zhao
View all publications

Product promise

We are committed to supporting your work with high-quality reagents, and we're here for you every step of the way. In the unlikely event that one of our products does not perform as expected, you're protected by our Product Promise.
For full details, please see our Terms & Conditions

Please note: All products are 'FOR RESEARCH USE ONLY. NOT FOR USE IN DIAGNOSTIC OR THERAPEUTIC PROCEDURES'.

For licensing inquiries, please contact partnerships@abcam.com