JavaScript is disabled in your browser. Please enable JavaScript to view this website.
AB111218

Anti-DNA Polymerase theta antibody

0

(2 Reviews)

|

(3 Publications)

Rabbit Polyclonal DNA Polymerase theta antibody. Suitable for IHC-P and reacts with Human samples. Cited in 3 publications. Immunogen corresponding to Synthetic Peptide within Human POLQ aa 150-250.

View Alternative Names

POLH, POLQ, DNA polymerase theta, DNA polymerase eta

1 Images
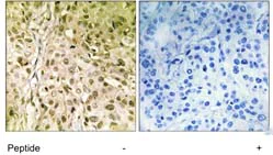
Immunohistochemistry (Formalin/PFA-fixed paraffin-embedded sections) - Anti-DNA Polymerase theta antibody (AB111218)
  • IHC-P

Unknown

Immunohistochemistry (Formalin/PFA-fixed paraffin-embedded sections) - Anti-DNA Polymerase theta antibody (AB111218)

ab111218 at 1/50 dilution staining DNA Polymerase theta in paraffin-embedded Human Breast carcinoma tissue by Immunohistochemistry. The image on the right is treated with the synthesized peptide.

Key facts

Host species

Rabbit

Clonality

Polyclonal

Isotype

IgG

Carrier free

No

Reacts with

Human

Applications

IHC-P

applications

Immunogen

Synthetic Peptide within Human POLQ aa 150-250. The exact immunogen used to generate this antibody is proprietary information.

O75417

Reactivity data

{ "title": "Reactivity Data", "filters": { "stats": ["", "Species", "Dilution Info", "Notes"], "tabs": { "all-applications": {"fullname" : "All Applications", "shortname": "All Applications"}, "IHCP" : {"fullname" : "Immunohistochemistry (Formalin/PFA-fixed paraffin-embedded sections)", "shortname":"IHC-P"} }, "product-promise": { "all": "all", "testedAndGuaranteed": "tested", "guaranteed": "expected", "predicted": "predicted", "notRecommended": "not-recommended" } }, "values": { "Human": { "IHCP-species-checked": "testedAndGuaranteed", "IHCP-species-dilution-info": "1/50 - 1/100", "IHCP-species-notes": "<p></p> Perform heat-mediated antigen retrieval with citrate buffer pH 6 before commencing with IHC staining protocol." } } }

Properties and storage information

Form
Liquid
Purification technique
Affinity purification Immunogen
Purification notes
ab111218 was affinity-purified from Rabbit antiserum by affinity-chromatography using epitope-specific immunogen.
Storage buffer
pH: 7.4 Preservative: 0.02% Sodium azide Constituents: PBS, 50% Glycerol (glycerin, glycerine), 0.88% Sodium chloride
Shipped at conditions
Blue Ice
Appropriate short-term storage conditions
+4°C
Appropriate long-term storage conditions
-20°C
Storage information
Stable for 12 months at -20°C

Supplementary information

This supplementary information is collated from multiple sources and compiled automatically.

DNA Polymerase theta also known as pol θ and encoded by the POLQ gene is a specialized enzyme that plays a role in DNA repair processes. It has a molecular mass of approximately 290 kDa. This enzyme functions by adding nucleotides to a DNA strand and excising incorrect bases ensuring the maintenance of genomic integrity. Pol θ is largely expressed in cells with proliferative capacity such as those found in the testes and certain types of tumor tissues. The enzyme's ability to perform template-independent nucleotide addition is unique among polymerases.
Biological function summary

DNA repair processes depend heavily on DNA Polymerase theta. This enzyme participates in a distinctive mechanism known as microhomology-mediated end-joining (MMEJ) which repairs double-strand breaks in DNA. Unlike canonical end-joining pathways MMEJ employs short homologous sequences to mediate repair where Pol θ serves a critical role. Although Pol θ acts independently it can still interact with other repair factors to ensure efficient DNA end-joining highlighting its importance.

Pathways

Maintenance of genome stability relies on pathways involving DNA Polymerase theta. The enzyme is an important component of the MMEJ pathway an alternative mechanism to the more common non-homologous end-joining (NHEJ). In this capacity Pol θ cooperates with proteins involved in DNA damage response such as BRCA1 and BRCA2 which help facilitate repair processes and support cell survival under genotoxic stress conditions.

DNA Polymerase theta has connections to cancer progression and resistance to DNA-damaging chemotherapy. Overexpression of Pol θ is common in various tumors such as breast and ovarian cancers where it promotes cell survival following DNA damage. The enzyme's interaction with the BRCA1 and BRCA2 proteins further implicates it in hereditary breast cancer syndromes suggesting a complex relationship with repair deficiencies and highlighting its potential as a therapeutic target.

Product protocols

For this product, it's our understanding that no specific protocols are required. You can visit:

Target data

Low-fidelity DNA polymerase with a helicase activity that promotes microhomology-mediated end-joining (MMEJ), an alternative non-homologous end-joining (NHEJ) machinery required to repair double-strand breaks in DNA during mitosis (PubMed : 14576298, PubMed : 18503084, PubMed : 24648516, PubMed : 25642963, PubMed : 25643323, PubMed : 25775267, PubMed : 26636256, PubMed : 27311885, PubMed : 27591252, PubMed : 30655289, PubMed : 31562312, PubMed : 32873648, PubMed : 34140467, PubMed : 34179826, PubMed : 36455556, PubMed : 37440612, PubMed : 37674080). MMEJ is an error-prone repair pathway that produces deletions of sequences from the strand being repaired and promotes genomic rearrangements, such as telomere fusions, some of them leading to cellular transformation (PubMed : 25642963, PubMed : 25643323, PubMed : 25775267, PubMed : 27311885, PubMed : 27591252, PubMed : 31562312, PubMed : 32873648). MMEJ is required during mitosis to repair persistent double-strand breaks that originate in S-phase (PubMed : 37440612, PubMed : 37674080). Although error-prone, MMEJ protects against chromosomal instability and tumorigenesis (By similarity). The polymerase acts by binding directly the 2 ends of resected double-strand breaks, allowing microhomologous sequences in the overhangs to form base pairs (PubMed : 25643323, PubMed : 25775267, PubMed : 27311885, PubMed : 27591252). It then extends each strand from the base-paired region using the opposing overhang as a template (PubMed : 25643323, PubMed : 25775267, PubMed : 27311885, PubMed : 27591252). Requires partially resected DNA containing 2 to 6 base pairs of microhomology to perform MMEJ (PubMed : 25643323, PubMed : 25775267, PubMed : 27311885, PubMed : 27591252). The polymerase lacks proofreading activity and is highly promiscuous : unlike most polymerases, promotes extension of ssDNA and partial ssDNA (pssDNA) substrates (PubMed : 18503084, PubMed : 21050863, PubMed : 22135286). When the ends of a break do not contain terminal microhomology must identify embedded complementary sequences through a scanning step (PubMed : 32234782). Also acts as a DNA helicase, promoting dissociation of the replication protein A complex (RPA/RP-A), composed of RPA1, RPA2 and RPA3, from resected double-strand breaks to allow their annealing and subsequent joining by MMEJ (PubMed : 36455556). Removal of RPA/RP-A complex proteins prevents RAD51 accumulation at resected ends, thereby inhibiting homology-recombination repair (HR) pathway (PubMed : 25642963, PubMed : 28695890). Also shows RNA-directed DNA polymerase activity to mediate DNA repair in vitro; however this activity needs additional evidence in vivo (PubMed : 34117057). May also have lyase activity (PubMed : 19188258). Involved in somatic hypermutation of immunoglobulin genes, a process that requires the activity of DNA polymerases to ultimately introduce mutations at both A/T and C/G base pairs (By similarity). POLQ-mediated end joining activity is involved in random integration of exogenous DNA hampers (PubMed : 28695890).
See full target information POLQ

Publications (3)

Recent publications for all applications. Explore the full list and refine your search

Journal of cellular and molecular medicine 28:e18541 PubMed39046429

2024

Novel candidate metastasis-associated genes for synovial sarcoma.

Applications

Unspecified application

Species

Unspecified reactive species

Zhiqing Zhao,Jianfang Niu,Jichuan Wang,Ranxin Zhang,Haijie Liang,Yingteng Ma,Alexander Ferrena,Wei Wang,Rui Yang,David S Geller,Wei Guo,Tingting Ren,Bang H Hoang,Xiaodong Tang,Taiqiang Yan

Cancers 14: PubMed36077614

2022

DNA Polymerase Theta Plays a Critical Role in Pancreatic Cancer Development and Metastasis.

Applications

Unspecified application

Species

Unspecified reactive species

Agnieszka Smolinska,Kerstin Singer,Janine Golchert,Urszula Smyczynska,Wojciech Fendler,Matthias Sendler,Jens van den Brandt,Stephan Singer,Georg Homuth,Markus M Lerch,Patryk Moskwa

Molecular medicine reports 11:434-46 PubMed25323205

2014

Variations of ABCB4 and ABCB11 genes are associated with primary intrahepatic stones.

Applications

Unspecified application

Species

Unspecified reactive species

Shuguang Pan,Xiaowu Li,Peng Jiang,Yan Jiang,Ling Shuai,Yu He,Zhihua Li
View all publications

Product promise

We are committed to supporting your work with high-quality reagents, and we're here for you every step of the way. In the unlikely event that one of our products does not perform as expected, you're protected by our Product Promise.
For full details, please see our Terms & Conditions

Please note: All products are 'FOR RESEARCH USE ONLY. NOT FOR USE IN DIAGNOSTIC OR THERAPEUTIC PROCEDURES'.

For licensing inquiries, please contact partnerships@abcam.com