JavaScript is disabled in your browser. Please enable JavaScript to view this website.
AB62623

Anti-DNA/RNA Damage antibody [15A3]

4

(14 Reviews)

|

(216 Publications)

Anti-DNA/RNA Damage antibody [15A3] (ab62623) is a mouse monoclonal antibody detecting DNA/RNA Damage in IHC-P, IHC-Fr, ELISA.

- Over 160 publications
- Trusted since 2008

View Alternative Names

7,8-Dihydro-8-oxo-2'-deoxyguanosine, 7,8-Dihydro-8-oxodeoxyguanosine, 7,8-Dihydro-8-oxoguanine, 8-Hydroxy-2'-deoxyguanosine, 8-Hydroxydeoxyguanosine, 8-OH-dG, 8-Oxo-2'-deoxyguanosine, 8-Oxo-7,8-dihydro-2'-deoxyguanosine (Oxo-8-dG), 8-Oxo-7,8-dihydrodeoxyguanosine, 8-Oxo-G, 8-Oxo-dG, 8-Oxo-guanosine, 8-Oxo-riboguanosine, 8-Oxoguanine, 8-hydroxyguanine, 8-oxo-7,8-dihydroguanine (Oxo-8-Gua), 8-oxo-7,8-dihydroguanosine (Oxo-8-G), 8-oxo-Gua, OH8Gua

6 Images
Immunocytochemistry - Anti-DNA/RNA Damage antibody [15A3] (AB62623)
  • ICC

AbReview40675****

Immunocytochemistry - Anti-DNA/RNA Damage antibody [15A3] (AB62623)

Mouse hepatocytes stained for DNA/RNA Damage (green) using ab62623 at 1/500 dilution in ICC/IF, followed by Alexa-Fluor®488 conjugated Goat Anti-Mouse IgG (H+L).

This image is courtesy of an anonymous Abreview.

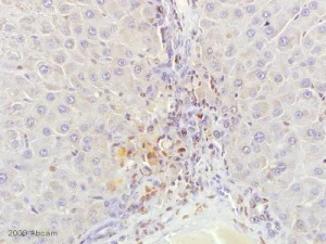
Immunohistochemistry (Formalin/PFA-fixed paraffin-embedded sections) - Anti-DNA/RNA Damage antibody [15A3] (AB62623)
  • IHC-P

AbReview15116****

Immunohistochemistry (Formalin/PFA-fixed paraffin-embedded sections) - Anti-DNA/RNA Damage antibody [15A3] (AB62623)

ab62623 staining in rat liver tissue section by Immunohistochemistry (Formalin/PFA-fixed paraffin-embedded sections).

Tissue underwent formaldehyde fixation before enzymatic antigen retrieval with Proteinase K solution and then blocking for 20 minutes at 37°C was performed. The primary antibody was diluted 1/4000 and incubated with sample for 2 hours at 37°C. A Biotin conjugated rabbit polyclonal to mouse IgG was used as secondary antibody at 1/200 dilution.

This image is a courtesy of Anonymous Abreview

Immunohistochemistry (Formalin/PFA-fixed paraffin-embedded sections) - Anti-DNA/RNA Damage antibody [15A3] (AB62623)
  • IHC-P

AbReview50590****

Immunohistochemistry (Formalin/PFA-fixed paraffin-embedded sections) - Anti-DNA/RNA Damage antibody [15A3] (AB62623)

Immunohistochemical analysis of PFA-fixed paraffin-embedded rat femural tissue, labeling with ab62623 at a dilution of 1/50 incubated for 13 hours at 4°C in 1% BSA in TBS. Heat mediated antigen retrival was performed via Tris-EDTA pH 9.0. Blocking was via ab93695 ABC kit incubated at 1% for 20 minutes at room temperature. A secondary was not used, but ab93695 detection kit was used for signal amplification.

Image is courtesy of an AbReview submitted by Mr Helder Fonseca.

Immunohistochemistry (Formalin/PFA-fixed paraffin-embedded sections) - Anti-DNA/RNA Damage antibody [15A3] (AB62623)
  • IHC-P

Unknown

Immunohistochemistry (Formalin/PFA-fixed paraffin-embedded sections) - Anti-DNA/RNA Damage antibody [15A3] (AB62623)

Left panel : ab62623 (1/1000 for 16 hours at RT) staining in ischemic rat brain tissue (fresh samples).
Center panel : DAPI staining
Right panel : merged

Secondary Antibody : Alexa Fluor®546 Goat Anti-mouse (Red) at 1/500 for 1 hour at RT.

Immunohistochemistry (Formalin/PFA-fixed paraffin-embedded sections) - Anti-DNA/RNA Damage antibody [15A3] (AB62623)
  • IHC-P

Supplier Data

Immunohistochemistry (Formalin/PFA-fixed paraffin-embedded sections) - Anti-DNA/RNA Damage antibody [15A3] (AB62623)

Bouin's Fixative, paraffin-embedded mouse back skin tissue stained for DNA/RNA Damage using ab62623 (1 hr at RT) at 1/100 dilution in immunohistochemical analysis.

Secondary Antibody : FITC Goat Anti-Mouse (green) at 1/50 for 1 hour at RT.

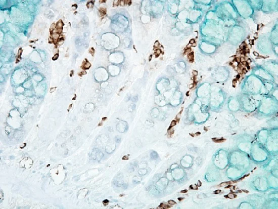
Immunohistochemistry (Formalin/PFA-fixed paraffin-embedded sections) - Anti-DNA/RNA Damage antibody [15A3] (AB62623)
  • IHC-P

Supplier Data

Immunohistochemistry (Formalin/PFA-fixed paraffin-embedded sections) - Anti-DNA/RNA Damage antibody [15A3] (AB62623)

Paraffin-embedded mouse inflammed colon tissue stained for DNA/RNA Damage using ab62623 at 1/1,000,000 dilution (12 hrs at 4°C) in immunohistochemical analysis.

Secondary Antibody : Biotin Goat Anti-Mouse at 1 : 2000 for 1 hour at RT. Counterstain : Mayer Hematoxylin (purple/blue) nuclear stain at 200 μl for 2 minutes at RT.

  • 519 FITC

    FITC Anti-DNA/RNA Damage antibody [15A3]

  • Biotin

    Biotin Anti-DNA/RNA Damage antibody [15A3]

Key facts

Host species

Mouse

Clonality

Monoclonal

Clone number

15A3

Isotype

IgG2b

Light chain type

kappa

Carrier free

No

Applications

ICC, IHC-Fr, AP, ELISA, IHC-P

applications

Specificity

Recognizes markers of oxidative damage to DNA (8-hydroxy-2'-deoxyguanosine, 8-hydroxyguanine and 8-hydroxyguanosine).

Reactivity data

{ "title": "Reactivity Data", "filters": { "stats": ["", "Species", "Dilution Info", "Notes"], "tabs": { "all-applications": {"fullname" : "All Applications", "shortname": "All Applications"}, "ICC" : {"fullname" : "Immunocytochemistry", "shortname":"ICC"}, "ELISA" : {"fullname" : "ELISA", "shortname":"ELISA"}, "IHCP" : {"fullname" : "Immunohistochemistry (Formalin/PFA-fixed paraffin-embedded sections)", "shortname":"IHC-P"}, "AP" : {"fullname" : "Affinity Purification", "shortname":"AP"}, "IHCFr" : {"fullname" : "Immunohistochemistry (Frozen sections)", "shortname":"IHC-Fr"} }, "product-promise": { "all": "all", "testedAndGuaranteed": "tested", "guaranteed": "expected", "predicted": "predicted", "notRecommended": "not-recommended" } }, "values": { "Nucleic Acid": { "ICC-species-checked": "testedAndGuaranteed", "ICC-species-dilution-info": "", "ICC-species-notes": "<p></p>", "ELISA-species-checked": "guaranteed", "ELISA-species-dilution-info": "", "ELISA-species-notes": "<p></p>", "IHCP-species-checked": "testedAndGuaranteed", "IHCP-species-dilution-info": "1-10 µg/mL", "IHCP-species-notes": "<p>Dilute antibody in PBS containing 0.3% Triton X-100, 0.08% sodium azide and 2% normal goat serum.</p>", "AP-species-checked": "guaranteed", "AP-species-dilution-info": "", "AP-species-notes": "<p></p>", "IHCFr-species-checked": "guaranteed", "IHCFr-species-dilution-info": "", "IHCFr-species-notes": "<p></p>" } } }

Product details

Please see the protocol booklet link below for recommended IHC and ICC staining procedure

Product Specifications
Anti-DNA/RNA Damage antibody [15A3] (ab62623) is a mouse monoclonal antibody and is validated for use in AP, ELISA, ICC, IHC-Fr, IHC-P.
Anti-DNA/RNA Damage antibody [15A3] (ab62623) specifically detects DNA/RNA Damage (UniProt ID: ; Molecular weight: kDa) and is sold in 100 µg selling sizes.

Quality and Validation
Abcam's high quality validation processes ensure Anti-DNA/RNA Damage antibody [15A3] (ab62623) has high sensitivity and specificity.
Anti-DNA/RNA Damage antibody [15A3] (ab62623) has been cited over 167 times in peer reviewed journals and is trusted by the scientific community.
Anti-DNA/RNA Damage antibody [15A3] (ab62623) has 13 independent reviews from customers.

Related Products
Antibody clone 15A3 is also available pre-conjugated to a variety of labels for your convenience - FITC, Biotin (ab183393, ab183395).

Properties and storage information

Form
Liquid
Purification technique
Affinity purification Protein G
Storage buffer
Preservative: 0.09% Sodium azide Constituents: PBS, 50% Glycerol (glycerin, glycerine)
Shipped at conditions
Blue Ice
Appropriate short-term storage duration
1-2 weeks
Appropriate short-term storage conditions
+4°C
Appropriate long-term storage conditions
-20°C
Aliquoting information
Upon delivery aliquot
Storage information
Avoid freeze / thaw cycle

Product protocols

For this product, it's our understanding that no specific protocols are required. You can visit:

Publications (216)

Recent publications for all applications. Explore the full list and refine your search

Clinical and translational radiation oncology 56:101050 PubMed41049393

2025

No differences in therapeutic efficacy while sparing healthy tissue for orthotopic glioblastoma patient-derived xenografts in context of proton FLASH.

Applications

Unspecified application

Species

Unspecified reactive species

Taylor L Schanel,Manoj Kumar,Lauren C Nassour-Caswell,Sreelakshmi Cherakara,Rhea Pandit,Andee M Beierle,Joshua C Anderson,Patrica H Hicks,Rex Cardan,Anita B Hjelmeland,Christopher D Willey

Theranostics 15:7219-7241 PubMed40756345

2025

Phosphoserine aminotransferase 1 promotes serine synthesis pathway and cardiac repair after myocardial infarction.

Applications

Unspecified application

Species

Unspecified reactive species

Ajit Magadum,Vandana Mallaredy,Rajika Roy,Darukeshwara Joladarashi,Charan Thej,Zhongjian Cheng,Maria Cimini,May Truongcao,Adam Chatoff,Claudia V Crispim,Vagner O C Rigaud,Carolina Gonzalez,Cindy Benedict,Celio X C Santos,Nathaniel W Snyder,Mohsin Khan,Ajay M Shah,Walter J Koch,Raj Kishore

Journal of cosmetic dermatology 24:e70298 PubMed40552640

2025

The Reduction of Skin Photodamage by the Ectoine-Thermus thermophilus Cofermentation Products.

Applications

Unspecified application

Species

Unspecified reactive species

Yiyu Wang,Jiayi Liang,Pengkun Zhang,Guihui Yan,Hui Jiang,Meijing Wang

Antioxidants (Basel, Switzerland) 14: PubMed40298761

2025

Agomelatine Alleviates Depressive-like Behaviors by Suppressing Hippocampal Oxidative Stress in the Chronic Social Defeat Stress Model.

Applications

Unspecified application

Species

Unspecified reactive species

Yan Zhu,Ye Li,Zhaoying Yu,Xiao Chen,Tian Lan,Meijian Wang,Shuyan Yu

Journal of cheminformatics 17:59 PubMed40269950

2025

High-throughput screening data generation, scoring and FAIRification: a case study on nanomaterials.

Applications

Unspecified application

Species

Unspecified reactive species

Gergana Tancheva,Vesa Hongisto,Konrad Patyra,Luchesar Iliev,Nikolay Kochev,Penny Nymark,Pekka Kohonen,Nina Jeliazkova,Roland Grafström

Materials today. Bio 32:101722 PubMed40236813

2025

Drug-free hyaluronic acid-microneedle with unexpected inhibition activity on benzalkonium chloride-induced corneal inflammation and stromal scarring.

Applications

Unspecified application

Species

Unspecified reactive species

Baoshan Huang,Rui Zeng,Xiao Liu,Lu Pan,Haitong Bai,Jiachen Liao,Wenkai Xu,Hong Fu,Kaihui Nan,Sen Lin

NPJ Parkinson's disease 11:61 PubMed40155632

2025

The homozygous LRRK2.p.N1437D point mutation mouse is a novel model of parkinsonism.

Applications

Unspecified application

Species

Unspecified reactive species

Lin-Hua Gan,Yi-Min Sun,Xin-Yue Zhou,Zhi-Yuan Qi,Feng-Tao Liu,Yi-Lin Tang,Wen-Bo Yu,Bao-Guo Xiao,Jian Wang,Jian-Jun Wu

Advanced science (Weinheim, Baden-Wurttemberg, Germany) 12:e2414960 PubMed40135829

2025

Syntaxin 17 Translocation Mediated Mitophagy Switching Drives Hyperglycemia-Induced Vascular Injury.

Applications

Unspecified application

Species

Unspecified reactive species

Anqi Luo,Rui Wang,Jingwen Gong,Shuting Wang,Chuan Yun,Zongcun Chen,Yanan Jiang,Xiaoquan Liu,Haofu Dai,Haochen Liu,Yunsi Zheng

Redox biology 81:103566 PubMed40054060

2025

NRF2 deficiency leads to inadequate beta cell adaptation during pregnancy and gestational diabetes.

Applications

Unspecified application

Species

Unspecified reactive species

Fatema Haidery,Luca Lambertini,Isabelle Tse,Sriya Dodda,Adolfo Garcia-Ocaña,Donald K Scott,Sharon Baumel-Alterzon

Cellular and molecular gastroenterology and hepatology 19:101485 PubMed40024534

2025

Therapeutic Potential of STE20-Type Kinase STK25 Inhibition for the Prevention and Treatment of Metabolically Induced Hepatocellular Carcinoma.

Applications

Unspecified application

Species

Unspecified reactive species

Ying Xia,Mara Caputo,Emma Andersson,Bernice Asiedu,Jingjing Zhang,Wei Hou,Manoj Amrutkar,Emmelie Cansby,Nadia Gul,Anne Gemmink,Caitlyn Myers,Mariam Aghajan,Sheri Booten,Andrew J Hoy,Anetta Härtlova,Per Lindahl,Anders Ståhlberg,Gert Schaart,Matthijs K C Hesselink,Andreas Peter,Sue Murray,Margit Mahlapuu
View all publications
websiteProtocolBooklet
en

Product promise

We are committed to supporting your work with high-quality reagents, and we're here for you every step of the way. In the unlikely event that one of our products does not perform as expected, you're protected by our Product Promise.
For full details, please see our Terms & Conditions

Please note: All products are 'FOR RESEARCH USE ONLY. NOT FOR USE IN DIAGNOSTIC OR THERAPEUTIC PROCEDURES'.

For licensing inquiries, please contact partnerships@abcam.com