JavaScript is disabled in your browser. Please enable JavaScript to view this website.
AB249591

Anti-DNAI2 antibody [EPR11224] - BSA and Azide free

Be the first to review this product! Submit a review

|

(1 Publication)

Rabbit Recombinant Monoclonal DNAI2 antibody. Carrier free. Suitable for IP, WB, IHC-P and reacts with Human, Mouse, Rat samples. Cited in 1 publication.

View Alternative Names

Dynein axonemal intermediate chain 2, Axonemal dynein intermediate chain 2, DNAI2

3 Images
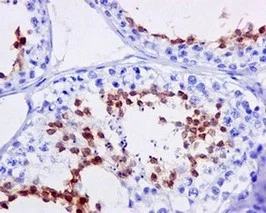
Immunohistochemistry (Formalin/PFA-fixed paraffin-embedded sections) - Anti-DNAI2 antibody [EPR11224] - BSA and Azide free (AB249591)
  • IHC-P

Supplier Data

Immunohistochemistry (Formalin/PFA-fixed paraffin-embedded sections) - Anti-DNAI2 antibody [EPR11224] - BSA and Azide free (AB249591)

This data was developed using ab170920, the same antibody clone in a different buffer formulation.

Immunohistochemical analysis of paraffin embedded testis tissue labeling DNAI2 with ab170920 at 1/100.

Perform heat mediated antigen retrieval with citrate buffer pH 6 before commencing with IHC staining protocol.

Immunoprecipitation - Anti-DNAI2 antibody [EPR11224] - BSA and Azide free (AB249591)
  • IP

Supplier Data

Immunoprecipitation - Anti-DNAI2 antibody [EPR11224] - BSA and Azide free (AB249591)

This data was developed using ab170920, the same antibody clone in a different buffer formulation.

All lanes:

Immunoprecipitation - Anti-DNAI2 antibody [EPR11224] (<a href='/en-us/products/primary-antibodies/dnai2-antibody-epr11224-ab170920'>ab170920</a>) at 1/1000 dilution

All lanes:

Immunoprecipitation pellet from human testis lysate using <a href='/en-us/products/primary-antibodies/dnai2-antibody-epr11224-ab170920'>ab170920</a> at 1/10.

Secondary

All lanes:

Goat anti-rabbit HRP conjugated antibody at 1/2000 dilution

Predicted band size: 69 kDa

Observed band size: ~50 kDa

true

Western blot - Anti-DNAI2 antibody [EPR11224] - BSA and Azide free (AB249591)
  • WB

Supplier Data

Western blot - Anti-DNAI2 antibody [EPR11224] - BSA and Azide free (AB249591)

This data was developed using ab170920, the same antibody clone in a different buffer formulation.

All lanes:

Western blot - Anti-DNAI2 antibody [EPR11224] (<a href='/en-us/products/primary-antibodies/dnai2-antibody-epr11224-ab170920'>ab170920</a>) at 1/1000 dilution

Lane 1:

Human testis lysate at 10 µg

Lane 2:

Rat testis lysate at 10 µg

Lane 3:

Mouse testis lysate at 10 µg

Lane 4:

Fetal lung lysate at 10 µg

Secondary

All lanes:

Goat anti-rabbit HRP conjugated antibody at 1/2000 dilution

Predicted band size: 69 kDa

true

Key facts

Host species

Rabbit

Clonality

Monoclonal

Clone number

EPR11224

Isotype

IgG

Carrier free

Yes

Reacts with

Mouse, Rat, Human

Applications

IP, WB, IHC-P

applications

Immunogen

The exact immunogen used to generate this antibody is proprietary information.

Reactivity data

{ "title": "Reactivity Data", "filters": { "stats": ["", "Species", "Dilution Info", "Notes"], "tabs": { "all-applications": {"fullname" : "All Applications", "shortname": "All Applications"}, "IP" : {"fullname" : "Immunoprecipitation", "shortname":"IP"}, "WB" : {"fullname" : "Western blot", "shortname":"WB"}, "IHCP" : {"fullname" : "Immunohistochemistry (Formalin/PFA-fixed paraffin-embedded sections)", "shortname":"IHC-P"}, "ICCIF" : {"fullname" : "Immunocytochemistry/ Immunofluorescence", "shortname":"ICC/IF"} }, "product-promise": { "all": "all", "testedAndGuaranteed": "tested", "guaranteed": "expected", "predicted": "predicted", "notRecommended": "not-recommended" } }, "values": { "Human": { "IP-species-checked": "testedAndGuaranteed", "IP-species-dilution-info": "", "IP-species-notes": "<p></p>", "WB-species-checked": "testedAndGuaranteed", "WB-species-dilution-info": "", "WB-species-notes": "<p></p>", "IHCP-species-checked": "testedAndGuaranteed", "IHCP-species-dilution-info": "", "IHCP-species-notes": "<p></p>", "ICCIF-species-checked": "notRecommended", "ICCIF-species-dilution-info": "", "ICCIF-species-notes": "<p></p>" }, "Mouse": { "IP-species-checked": "guaranteed", "IP-species-dilution-info": "", "IP-species-notes": "", "WB-species-checked": "testedAndGuaranteed", "WB-species-dilution-info": "", "WB-species-notes": "<p></p>", "IHCP-species-checked": "guaranteed", "IHCP-species-dilution-info": "", "IHCP-species-notes": "", "ICCIF-species-checked": "notRecommended", "ICCIF-species-dilution-info": "", "ICCIF-species-notes": "<p></p>" }, "Rat": { "IP-species-checked": "guaranteed", "IP-species-dilution-info": "", "IP-species-notes": "", "WB-species-checked": "testedAndGuaranteed", "WB-species-dilution-info": "", "WB-species-notes": "<p></p>", "IHCP-species-checked": "guaranteed", "IHCP-species-dilution-info": "", "IHCP-species-notes": "", "ICCIF-species-checked": "notRecommended", "ICCIF-species-dilution-info": "", "ICCIF-species-notes": "<p></p>" } } }

Product details

ab249591 is the carrier-free version of ab170920.

Patented technology
Our RabMAb® technology is a patented hybridoma-based technology for making rabbit monoclonal antibodies. For details on our patents, please refer to RabMAb® patents.

What are the advantages of a recombinant monoclonal antibody?
This product is a recombinant monoclonal antibody, which offers several advantages including:

  • - High batch-to-batch consistency and reproducibility
  • - Improved sensitivity and specificity
  • - Long-term security of supply
  • - Animal-free batch production

For more information, read more on recombinant antibodies.

Conjugation ready
Our carrier-free antibodies are typically supplied in a PBS-only formulation, purified and free of BSA, sodium azide and glycerol. This conjugation-ready format is designed for use with fluorochromes, metal isotopes, oligonucleotides, and enzymes, which makes them ideal for antibody labelling, functional and cell-based assays, flow-based assays (e.g. mass cytometry) and Multiplex Imaging applications.

Use our conjugation kits for antibody conjugates that are ready-to-use in as little as 20 minutes with 1 minute hands-on-time and 100% antibody recovery: available for fluorescent dyes, HRP, biotin and gold.

Compatibility
This product is compatible with the Maxpar® Antibody Labeling Kit from Fluidigm, without the need for antibody preparation. Maxpar® is a trademark of Fluidigm Canada Inc.

Properties and storage information

Form
Liquid
Purification technique
Affinity purification
Storage buffer
pH: 7.2 - 7.4 Constituents: PBS
Shipped at conditions
Blue Ice
Appropriate short-term storage conditions
+4°C
Appropriate long-term storage conditions
+4°C
Storage information
Do Not Freeze

Product protocols

For this product, it's our understanding that no specific protocols are required. You can visit:

Target data

Part of the dynein complex of respiratory cilia.
See full target information DNAI2

Publications (1)

Recent publications for all applications. Explore the full list and refine your search

Bio-protocol 15:e5206 PubMed39959296

2025

Cell-Sonar, an Easy and Low-cost Method to Track a Target Protein by Expression Changes of Specific Protein Markers.

Applications

Unspecified application

Species

Unspecified reactive species

Sabrina Brockmöller,Lara Maria Molitor,Franz Worek,Simone Rothmiller
View all publications

Product promise

We are committed to supporting your work with high-quality reagents, and we're here for you every step of the way. In the unlikely event that one of our products does not perform as expected, you're protected by our Product Promise.
For full details, please see our Terms & Conditions

Please note: All products are 'FOR RESEARCH USE ONLY. NOT FOR USE IN DIAGNOSTIC OR THERAPEUTIC PROCEDURES'.

For licensing inquiries, please contact partnerships@abcam.com