JavaScript is disabled in your browser. Please enable JavaScript to view this website.
AB230249

Anti-DNAJB2 antibody

Be the first to review this product! Submit a review

|

(0 Publication)

Rabbit Polyclonal DNAJB2 antibody. Suitable for WB, IHC-P and reacts with Human samples. Immunogen corresponding to Recombinant Fragment Protein within Human DNAJB2 aa 200 to C-terminus.

View Alternative Names

HSJ1, HSPF3, DNAJB2, DnaJ homolog subfamily B member 2, Heat shock 40 kDa protein 3, Heat shock protein J1, HSJ-1

2 Images
Western blot - Anti-DNAJB2 antibody (AB230249)
  • WB

Supplier Data

Western blot - Anti-DNAJB2 antibody (AB230249)

All lanes:

Western blot - Anti-DNAJB2 antibody (ab230249) at 1/1000 dilution

Lane 1:

HEK-293T (human epithelial cell line from embryonic kidney transformed with large T antigen) whole cell lysate

Lane 2:

PC-3 (human prostate adenocarcinoma cell line) whole cell lysate

Lane 3:

A431 (human epidermoid carcinoma cell line) whole cell lysate

Secondary

All lanes:

Goat polyclonal to rabbit IgG at 1/10000 dilution

Predicted band size: 36 kDa

Observed band size: 36 kDa

true

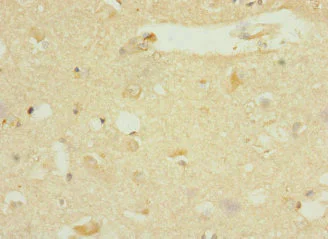
Immunohistochemistry (Formalin/PFA-fixed paraffin-embedded sections) - Anti-DNAJB2 antibody (AB230249)
  • IHC-P

Supplier Data

Immunohistochemistry (Formalin/PFA-fixed paraffin-embedded sections) - Anti-DNAJB2 antibody (AB230249)

Paraffin-embedded human brain tissue stained for DNAJB2 with ab230249 at 1/100 dilution in immunohistochemical analysis.

Key facts

Host species

Rabbit

Clonality

Polyclonal

Isotype

IgG

Carrier free

No

Reacts with

Human

Applications

IHC-P, WB

applications

Immunogen

Recombinant Fragment Protein within Human DNAJB2 aa 200 to C-terminus. The exact immunogen used to generate this antibody is proprietary information.

P25686

Reactivity data

{ "title": "Reactivity Data", "filters": { "stats": ["", "Species", "Dilution Info", "Notes"], "tabs": { "all-applications": {"fullname" : "All Applications", "shortname": "All Applications"}, "WB" : {"fullname" : "Western blot", "shortname":"WB"}, "IHCP" : {"fullname" : "Immunohistochemistry (Formalin/PFA-fixed paraffin-embedded sections)", "shortname":"IHC-P"} }, "product-promise": { "all": "all", "testedAndGuaranteed": "tested", "guaranteed": "expected", "predicted": "predicted", "notRecommended": "not-recommended" } }, "values": { "Human": { "WB-species-checked": "testedAndGuaranteed", "WB-species-dilution-info": "1/1000 - 1/5000", "WB-species-notes": "<p></p>", "IHCP-species-checked": "testedAndGuaranteed", "IHCP-species-dilution-info": "1/20 - 1/200", "IHCP-species-notes": "<p></p>" } } }

Properties and storage information

Form
Liquid
Purification technique
Affinity purification Immunogen
Storage buffer
pH: 7.3 Preservative: 0.02% Sodium azide Constituents: PBS, 50% Glycerol (glycerin, glycerine)
Shipped at conditions
Blue Ice
Appropriate short-term storage duration
1-2 weeks
Appropriate short-term storage conditions
+4°C
Appropriate long-term storage conditions
-20°C
Aliquoting information
Upon delivery aliquot
Storage information
Avoid freeze / thaw cycle

Product protocols

For this product, it's our understanding that no specific protocols are required. You can visit:

Target data

Functions as a co-chaperone, regulating the substrate binding and activating the ATPase activity of chaperones of the HSP70/heat shock protein 70 family (PubMed : 22219199, PubMed : 7957263). In parallel, also contributes to the ubiquitin-dependent proteasomal degradation of misfolded proteins (PubMed : 15936278, PubMed : 21625540). Thereby, may regulate the aggregation and promote the functional recovery of misfolded proteins like HTT, MC4R, PRKN, RHO and SOD1 and be crucial for many biological processes (PubMed : 12754272, PubMed : 20889486, PubMed : 21719532, PubMed : 22396390, PubMed : 24023695). Isoform 1 which is localized to the endoplasmic reticulum membranes may specifically function in ER-associated protein degradation of misfolded proteins (PubMed : 15936278).
See full target information DNAJB2

Product promise

We are committed to supporting your work with high-quality reagents, and we're here for you every step of the way. In the unlikely event that one of our products does not perform as expected, you're protected by our Product Promise.
For full details, please see our Terms & Conditions

Please note: All products are 'FOR RESEARCH USE ONLY. NOT FOR USE IN DIAGNOSTIC OR THERAPEUTIC PROCEDURES'.

For licensing inquiries, please contact partnerships@abcam.com